Próstata Flashcards

(19 cards)

1
Q

Abdome: próstata

Prevalência câncer próstata?

A
  1. Segundo câncer mais comum em homens;
  2. 10% dos homens aos 50 anos;
  3. 30% aos 70 anos;
  4. 100% dos que chegam aos 100 anos apresentam o câncer (mesmo que indolente);
  5. Histórico familiar: risco aumenta de 2 a 5 vezes se pai ou irmão forem acometidos;
  6. Maior prevalência em homens negros.
How well did you know this?
1
Not at all
2
3
4
5
Perfectly
2
Q

Abdome: próstata

Câncer de próstata

PSA valores como fator de risco?

A
  1. PSA total > 4 ng/ml:
    Sensibilidade (S): 71,73%
    Especificidade (E): 46,25%
    → usado como valor de corte tradicional;
  2. Densidade do PSA > 0,15
    PSA dividido pelo volume da próstata (via US ou RM)
    ↑ valores sugerem maior risco de câncer
  3. Velocidade do PSA > 0,75 ng/ml/ano
    Aumento rápido ao longo do tempo → mais sugestivo de malignidade
    4.Relação PSA livre/total < 0,10
    Válido na faixa de PSA entre 4 a 10 ng/ml
    Relações mais baixas (<0,10) → maior risco de câncer.
How well did you know this?
1
Not at all
2
3
4
5
Perfectly
3
Q

Abdome: próstata

Câncer de próstata

Sensibilidade e especificidade do USG?

A

40 a 50%.

Maioria aparece hipoecoico e hipervascularizado.
Utilizado na verdade para guiar biópsia.

How well did you know this?
1
Not at all
2
3
4
5
Perfectly
4
Q

Abdome: próstata

Câncer de próstata

Estadiamento T?

A

T1 – Tumor pequeno até (T1c) Tumor identificado por biópsia de agulha
T2 – Tumor limitado à próstata
T2a e T2b – Tumor envolve metade de um dos lobos
T2c – Tumor envolve os dois lobos
T3a – Extensão extracapsular (unilateral ou bilateral)
T3b – Tumor invade vesícula(s) seminal(is)
T4 – Tumor invade outras estruturas adjacentes

How well did you know this?
1
Not at all
2
3
4
5
Perfectly
5
Q

Abdome: próstata

Divisão da próstata por zonas?

A
  1. Zona periférica: posterolateral 70% dos cânceres ocorrem aqui;
  2. Zona central: ao redor dos ductos ejaculatórios, 25% do volume prostático;
  3. Zona transicional: envolvendo a uretra proximal: origem da hiperplasia prostática benigna (HPB);
  4. Zona fibromuscular anterior: sem glândulas, região muscular, sem importância tumoral.
How well did you know this?
1
Not at all
2
3
4
5
Perfectly
6
Q

Abdome: próstata

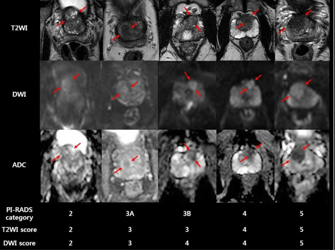
PI-RADS zona periférica? (5)

A

1: Sinal alto homogêneo (normal);

2: Hipossinal linear ou em cunha
ou hipossinal leve difuso, geralmente mal definido;

3:Sinal heterogêneo
ou lesão arredondada não circunscrita, hipointensa moderada

4:Lesão circunscrita, homogênea, hipointensa moderada
< 1,5 cm;

5:Igual ao 4, porém:
≥ 1,5 cm
ou
extensão extraprostatica.

(Zona Periférica (ZP) – Sequência dominante: DWI)

How well did you know this?
1
Not at all
2
3
4
5
Perfectly
7
Q

PI-RADS zona transicional? (5)

A

1:Zona de transição com aspecto normal (raro)
ou nódulo arredondado, completamente encapsulado (nódulo típico de HPB)

2:Nódulo majoritariamente encapsulado
ou nódulo homogêneo circunscrito sem cápsula (nódulo atípico)
ou área homogênea levemente hipointensa entre nódulos

3:Sinal heterogêneo com margens mal definidas
(inclui lesões que não se encaixam em 2, 4 ou 5)

4:Lesão lentiforme ou não circunscrita, homogênea,
moderadamente hipointensa, < 1,5 cm

5:Igual ao 4, porém:
≥ 1,5 cm
ou extensão extraprostatica / comportamento invasivo.

(Zona de Transição (ZT) – Sequência dominante: T2)

Exemplos de câncer de próstata na zona de transição interpretados segundo a PI-RADS v2.1.
How well did you know this?
1
Not at all
2
3
4
5
Perfectly
8
Q

Abdome: próstata

V ou F?

A combinação de 1.5T com bobina endorretal e bobina de corpo oferece qualidade de imagem inferior a uma RM de 3T habitual.

A

Falso.

A combinação de 1.5T com bobina endorretal e bobina de corpo oferece qualidade de imagem comparável a uma RM de 3T sem bobina endorretal.
Porém: maior custo,maior tempo de exame, desconforto para o paciente.

How well did you know this?
1
Not at all
2
3
4
5
Perfectly
9
Q

Abdome: próstata

Indicações da ressonância magnética multiparamétrica (RMmp) da próstata? (4)

A
  1. Detecção de cânceres clinicamente significativos, especialmente em casos de:
    Elevação do PSA;
    Toque retal alterado;
    Biópsia anterior negativa;
  2. Estadiamento do câncer de próstata;
  3. Vigilância ativa de câncer de próstata;
  4. Controle pós-tratamento, incluindo:
    Pós-prostatectomia;
    Radioterapia;
    Braquiterapia;
    Hormonoterapia.
How well did you know this?
1
Not at all
2
3
4
5
Perfectly
10
Q

Abdome: próstata

Localização e incidência do câncer nas zonas da próstata? (2)

A
  • 70% na zona periférica;
  • 30% na zona de transição.
How well did you know this?
1
Not at all
2
3
4
5
Perfectly
11
Q

Abdome: próstata

Câncer de próstata

Sequência dominante para zona periférica?

A

Difusão.

A perfusão é uma sequência de menor importância, porém pode auxiliar.

How well did you know this?
1
Not at all
2
3
4
5
Perfectly
12
Q

Abdome: próstata

Câncer de próstata

Sequência dominante para zona de transição?

A

T2.

(Transição - T)

Sinal do carvão apagado, tipicamente.

How well did you know this?
1
Not at all
2
3
4
5
Perfectly
13
Q

Abdome: próstata

Câncer de próstata

Estadiamento T? (4)

A

T1 – Tumor não palpável ou visível por imagem
T1a: Achado incidental em < 5% do tecido ressecado (ex: RTU).
T1b: Achado incidental em ≥ 5% do tecido ressecado.
T1c: Identificado por biópsia por aumento de PSA.

T2 – Tumor limitado à próstata
T2a: Envolve até metade de um lobo.
T2b: Envolve mais da metade de um lobo.
T2c: Envolve ambos os lobos.

T3 – Tumor com invasão extracapsular
T3a: Extensão extracapsular (unilateral ou bilateral).
T3b: Invasão das vesículas seminais.

T4 – Tumor invade estruturas adjacentes
Como reto, músculos elevadores do ânus, bexiga, parede pélvica.

How well did you know this?
1
Not at all
2
3
4
5
Perfectly
14
Q

Abdome: próstata

V ou F?

A RM multiparamétrica (RMmp) tem alta especificidade para detecção de metástases linfonodais.

A

Falso.

A RM multiparamétrica (RMmp) tem baixa especificidade para detecção de metástases linfonodais. PSMA PET/CT ou PET/MR (mais moderno e mais específico) tem mais acurácia.
25% dos linfonodos metastáticos têm tamanho normal (< 1 cm).

How well did you know this?
1
Not at all
2
3
4
5
Perfectly
15
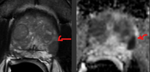
Q

PI-RADS?

A

PI-RADS 5.

ADC axial mostra sinal marcadamente diminuído (esquerda). A imagem correspondente em DWI mostra sinal marcadamente aumentado. Escore PI-RADS DWI foi 5. Escore PI-RADS global é 5. Biópsia revelou câncer com Gleason 4+3 (grupo de grau 3).

How well did you know this?
1
Not at all
2
3
4
5
Perfectly
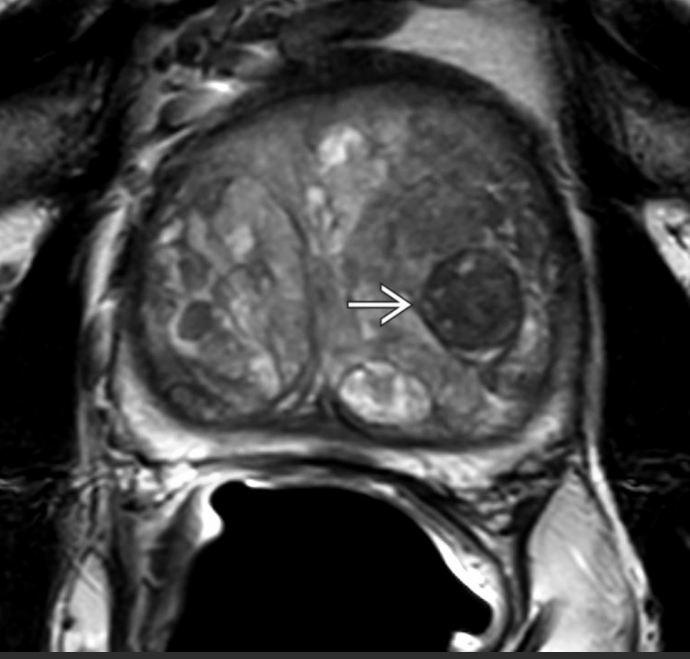
16
Q

PI-RADS?

A

PI-RADS 2.

Nódulo anterior na zona de transição, hipointenso em T2, bem circunscrito e homogêneo, sem cápsula..

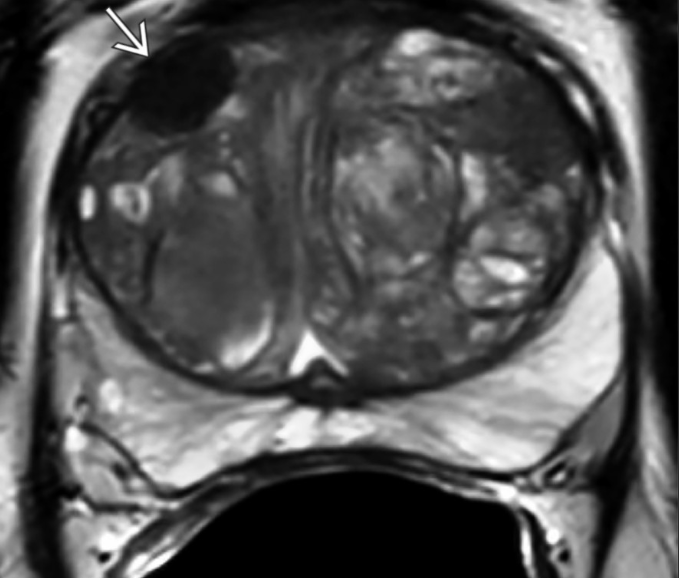
17
Q

Pi-RADS?

A

PI-RADS 1.

Hiperplasia prostática benigna (HPB) com aparência típica heterogênea, porém organizada. Um nódulo encapsulado e heterogêneo se destaca do parênquima de fundo. Escore

18
Q

Abdome: próstata

Nódulos hiperplásicos na RM em T2? (2)

A
  1. Estromal → hipossinal em T2, podem simular neoplasia, porém são redondos e a restrição à difusão não é acentuada.
  2. Glandular → hipersinal em T2;

Localização → Crescem na zona de transição da próstata

19
Q

Abdome: próstata

HD?

A

Cisto de utrículo.

Lesão incidental subcentimétrica, na linha média, com sinal hiperintenso em STIR, isointensa em T1, com realce periférico na glândula prostática, que demonstra, nas imagens sagitais, uma extensão em formato de “bico” em direção à uretra.