Doença hepática difusa Flashcards

(51 cards)

1
Q

Abdome: doença hepática difusa

Depósito de gordura.

Espectro de evolução?

A

Esteatose –> Esteatohepatite (NASH) –> Cirrose.

How well did you know this?
1
Not at all
2
3
4
5
Perfectly
2
Q

Abdome: doença hepática difusa

Depósito de gordura

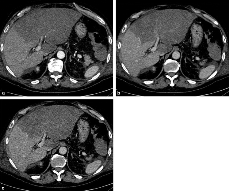
V ou F?

A NASH está ligada a obesidade.

A

Verdadeiro.

(15-20% dos obesos, DM-2 e hiperlipidemia.)

How well did you know this?
1
Not at all
2
3
4
5
Perfectly
3
Q

Abdome: doença hepática difusa

Depósito de gordura

V ou F?

A NASH é irreversível.

A

Falso.

A NASH é reversível, porém seu próximo espectro, a cirrose, é irreversível.

How well did you know this?
1
Not at all
2
3
4
5
Perfectly
4
Q

Abdome: doença hepática difusa

Depósito de gordura

V ou F?

O exame histopatológico é o método referência para diagnóstico e gradução.

A

Verdadeiro.

Porém, é um método invasivo e pouco prático, impraticável na monitorização.

How well did you know this?
1
Not at all
2
3
4
5
Perfectly
5
Q

Abdome: doença hepática difusa

Depósito de gordura

V ou F?

A quimioterapia no geral não está associada à doença hepática gordurosa não alcoólica (DHGNA).

A

Falso.

Esteatose hepática difusa associada à quimioterapia em paciente com metástases hepáticas de câncer colorretal.

A quimioterapia é um fator de indução da DHGNA.

How well did you know this?
1
Not at all
2
3
4
5
Perfectly
6
Q

Abdome: doença hepática difusa

Depósito de gordura

Fatores de confusão do diagnóstico ao USG? (3)

A
  1. A avaliação qualitativa é feita de forma subjetiva;
  2. O parênquima a ser comparado alterado (ex: fibrose renal);
  3. Lesões focais hepáticas podem confundir.
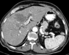
Infiltração tumoral no lobo esquerdo simulando fígado com esteatose assimétrica.
How well did you know this?
1
Not at all
2
3
4
5
Perfectly
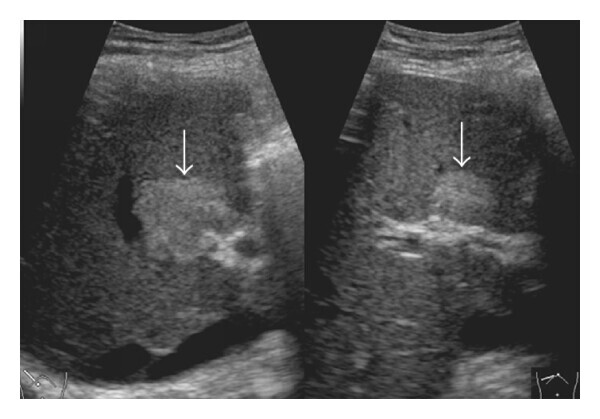
7
Q

Abdome: doença hepática difusa

Depósito de gordura

Referências para comparação/graduação da ecogenicidade hepática ao USG? (4)

A
  1. Parênquima renal;
  2. Parênquima esplênico;
  3. Vasos intra-hepáticos;
  4. Diafragma.
How well did you know this?
1
Not at all
2
3
4
5
Perfectly
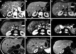
8
Q

Abdome: doença hepática difusa

Depósito de gordura

V ou F?

Na TC a avaliação é feita na fase pré-contraste. Avalia-se objetivamente através do valor absoluto e comparativo do ROI (diferença >5 entre fígado e baço) e subjetivamente através da visualização dos vasos.

A

Verdadeiro.

How well did you know this?
1
Not at all
2
3
4
5
Perfectly
9
Q

Abdome: doença hepática difusa

Depósito de gordura

V ou F?

A RM é o método mais sensível para detecção e caracterização.

A

Verdadeiro.

How well did you know this?
1
Not at all
2
3
4
5
Perfectly
10
Q

Abdome: doença hepática difusa

Depósito de gordura

V ou F?

A coexistência de sobrecarga férrica não atrapalha o diagnóstico.

A

Falso.

A coexistência de sobrecarga férrica
falseia o diagnóstico.

How well did you know this?
1
Not at all
2
3
4
5
Perfectly
11
Q

Abdome: doença hepática difusa

Depósito de gordura

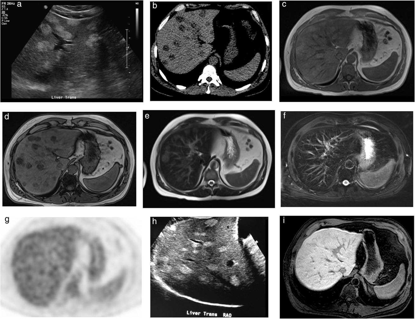
Padrões possíveis? (7)

A
  1. Difuso;
  2. Distribuição heterogênea;
  3. Esteatose focal;
  4. Área poupada de esteatose;
  5. Multifocal / multinodular;
  6. Perivascular;
  7. Subcapsular.
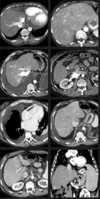
Esteatose simulando lesões focais.
How well did you know this?
1
Not at all
2
3
4
5
Perfectly
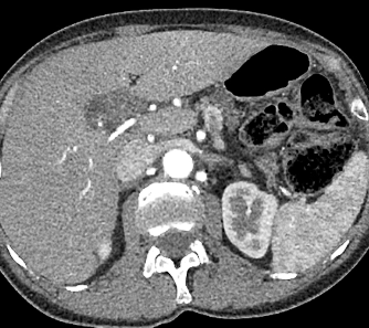
12
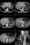
Q

Abdome: doença hepática difusa

V ou F?

A lesão hipoatenuante próxima ao hilo hepático corresponde a um nódulo a ser esclarecido.

A

Falso.

A lesão hipoatenuante próxima ao hilo hepático corresponde a área poupada de esteatose.

How well did you know this?
1
Not at all
2
3
4
5
Perfectly
13
Q

Abdome: doença hepática difusa

Locais característicos de pseudolesão devido à área poupada de esteatose? (4)

A
  1. Adjacente à porta hepatis (segmento 4);
  2. Fossa da vesícula biliar;
  3. Adjacente ao ligamento falciforme;
  4. Parênquima subcapsular.
How well did you know this?
1
Not at all
2
3
4
5
Perfectly
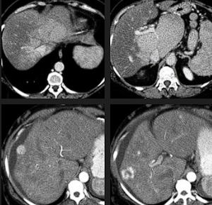
14
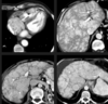
Q

Abdome: doença hepática difusa

V ou F?

As lesões focais hepáticas na imagem são suspeitas para metástases.

Sequências GRE em fase/fora de fase.
A

Falso.

As lesões na imagem correspondem a esteatose multifocal/multinodular.

How well did you know this?
1
Not at all
2
3
4
5
Perfectly
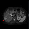
15
Q

Abdome: doença hepática difusa

Aspectos importantes na diferenciação de depósito de gordura para lesões nodulares focais verdadeiras? (5)

A
  1. Topografias típicas;
  2. Não ocupa espaço no parênquima hepático;
  3. Não exerce efeito de massa;
  4. Não desvia estruturas vasculares;
  5. Preserva o contorno hepático.
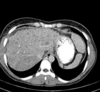
Esteatose focal típica no segmento IV.
How well did you know this?
1
Not at all
2
3
4
5
Perfectly
16
Q

Abdome: doença hepática difusa

Depósito de ferro

V ou F?

O espectro da doença possue sintomas, sinais e laboratório inespecífico.

A

Verdadeiro.

Por isso o diagnóstico geralmente é tardio. O aumento de ferritina e saturação de transferrina não é específico.

How well did you know this?
1
Not at all
2
3
4
5
Perfectly
17
Q

Abdome: doença hepática difusa

Depósito de ferro

V ou F?

Na hemocromatose primária, o acúmulo de ferro ocorre devido a uma condição genética, enquanto na forma secundária resulta de fatores externos, como transfusões ou dieta.

A

Verdadeiro.

How well did you know this?
1
Not at all
2
3
4
5
Perfectly
18
Q

Abdome: doença hepática difusa

Depósito de ferro

A hemocromatose primária afeta ____________( múltiplos órgãos/fígado e baço), enquanto a secundária afeta ___________ (múltiplos órgãos/fígado e baço).

A

Múltiplos órgãos/fígado e baço.

A primária afeta fígado, pâncreas, hipófise, tireoide e coração, enquanto a secundária afeta os órgãos do sistema retículo endotelial.

How well did you know this?
1
Not at all
2
3
4
5
Perfectly
19
Q

Abdome: doença hepática difusa

Depósito de ferro

O melhor método de avaliação é a __ (TC/RM).

A

RM.

Perda do sinal do fígado em paciente com hemocromatose primária acentuada.

Na TC o achado de aumento da atenuação é inespecífico, encontrado também em diversas outras doenças (uso de amiodarona, sais de ouro, doença Wilson)

How well did you know this?
1
Not at all
2
3
4
5
Perfectly
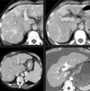
20
Q

Abdome: doença hepática difusa

Depósito de ferro

Vantagens da RM?

A
  • Confirmação diagnóstica;
  • Quantificação da sobrecarga férrica;
  • Determinar severidade;
  • Monitorar terapia;
  • Diferenciar hemocromatose primária e secundária.
Graduação da sobrecarga férrica na RM.
How well did you know this?
1
Not at all
2
3
4
5
Perfectly
21
Q

Abdome: doença hepática difusa

Depósito de ferro

Achado característico na RM?

A

Queda de sinal na sequência “em fase” em relação à sequência “fora de fase”.

(Efeito oposto ao observado na esteatose)

GRE dual-sequence: inphase/outphase.
22
Q

Abdome: doença hepática difusa

HD?

A

Budd-Chiari.

Achados característicos:
Hipertrofia do lobo caudado; atrofia / necrose do parênquima periférico – realce em mosaico; veias colaterais intra-hepáticas; nódulos regenerativos; ascite.

23
Q

Abdome: doença hepática difusa

Budd-Chiari?

A

Obstrução da drenagem venosa (veias centro-lobulares, veias hepáticas e VCI), levando a um estado de hipercoagubilidade.

24
Q

Abdome: doença hepática difusa

Budd-Chiari

Achados de imagem? (6)

A
  1. Hipertrofia do lobo caudado;
  2. Atrofia / necrose do parênquima periférico – realce em mosaico;
  3. Veias colaterais intra-hepáticas;
  4. Nódulos regenerativos;
  5. Ausência de fluxo na VCI;
  6. Ascite.
25
# Abdome: doença hepática difusa HD?
Pericardite com hepatopatia congestiva (crônica). ## Footnote Padrão heterogêneo, mosqueado, reticulado e em mosaico do parênquima hepático (fígado em noz-moscada) e presença de nódulos regenerativos e ascite.
26
# Abdome: doença hepática difusa **Hepatopatia congestiva** Fisiopatologia?
Drenagem venosa prejudicada ➔ estase sanguínea no parênquima hepático (VCI e veias hepáticas dilatadas)
27
# Abdome: doença hepática difusa **Hepatopatia congestiva** Achados típicos no Doppler? (5)
1. Perda do padrão normal de fluxo trifásico; 2. O sinal espectral pode apresentar um formato em "M"; 3. Cirrose cardíaca: achatamento do padrão de onda Doppler nas veias hepáticas; 4. Movimento de "vai e vem" nas VHs e na VCI; 5. Hepatomegalia e ascite. .
28
# Abdome: doença hepática difusa **Hepatopatia congestiva** Achados típicos TC? (4)
1. Realce retrógrado precoce da veia cava inferior (VCI) dilatada e das veias hepáticas (VHs); 2. Padrão heterogêneo, mosqueado, reticulado e em mosaico do parênquima hepático (fígado em noz-moscada); 3. Baixa atenuação periportal (linfedema perivascular); 4. Hepatomegalia e ascite.
29
# Abdome: doença hepática difusa HD?
Telangiectasia Hemorrágica Hereditária ou Síndrome de Osler-Weber-Rendu (THH-OWR). ## Footnote Malformações vasculares intra-hepáticas (e pulmonares), com artérias ectasiadas e tortuosas, shunts; realce venoso precoce .
30
# Abdome: doença hepática difusa Telangiectasia Hemorrágica Hereditária ou Síndrome de Osler-Weber-Rendu (THH-OWR) ?
Doença genética autossômica dominante caracterizada por telangiectasias múltiplas e malformações arteriovenosas (MAV) em diversos órgãos.
31
# Abdome: doença hepática difusa Achados hepáticos da THH-OWR? (3)
1. Malformações vasculares intra e extra-hepáticas, com artérias ectasiadas e tortuosas; 2. Realce heterogêneo do parênquima hepático devido a telangiectasias e malformações AV; 3. Opacificação precoce das veias.
32
# Abdome: doença hepática difusa HD?
Hepatite aguda (HepA). ## Footnote Edema periportal, líquido livre e **importante** espessamento parietal da vesícula biliar (seta). Geralmente também há hepatomegalia.
33
# Abdome: doença hepática difusa HD?
Esquistossomose. ## Footnote Distorção arquitetural (aparência em casco de tartaruga) bandas fibrosas periportais e fissuras alargadas; Calcificação capsular - setsa (paralela ou perpendicular à superfície do fígado) característica. Hipertensão portal.
34
# Abdome: doença hepática difusa **V ou F?** A esquistossomose danifica geralmente os hepatócitos.
Falso. | (A esquistossomose _não_ danifica geralmente os hepatócitos,) ## Footnote A fisiopatologia ao invés, envolve fibrose periportal e hipertensão portal.
35
# Abdome: doença hepática difusa **V ou F?** Na doença auto-imune os achados são de hepatopatia inespecífica e a imagem é importante na exclusão de outras causas e complicações.
Verdadeiro.
36
# Abdome: doença hepática difusa HD?
Colangite esclerosante primária (CEP). ## Footnote Irregularidade dos ductos biliares, com áreas de estenose alternando com dilatações. Na TC sinais de fibrose (doença avançada).
37
# Abdome: doença hepática difusa Colangite Esclerosante Primária (CEP)?
Doença crônica e progressiva que afeta os ductos biliares, causando inflamação, fibrose e eventual obstrução. É um processo autoimune, frequentemente associado a doenças inflamatórias intestinais.
38
# Abdome: doença hepática difusa **V ou F?** A CEP apresenta um curso característico com piora progressiva progressiva e aumento do risco de colangiocarcinoma.
Verdadeiro.
39
# Abdome: doença hepática difusa **V ou F?** Na imagem temos o aspecto de atrofia do fígado periférico e hipertrofia central (pseudotumor do lobo caudado), característico da CEP em estágio avançado.
Verdadeiro.
40
# Abdome: doença hepática difusa **Cirrose** Principais causas? (9)
1. Álcool; 2. Vírus (B e C); 3. Criptogênica / DHGNA; 4. Biliar: CEP, CBP; 5. Metabólica: hemocromatose, Wilson, deficiência de alfa1-antitripsina; 6. Auto-imune; 7. Vascular: congestão cardíaca, Budd-Chiari, doença hepática veno-oclusiva; 8. Fibrose cística; 9. Medicamentos.
41
# Abdome: doença hepática difusa **Cirrose** Os achados clínicos (icterícia, ascite, encefalopatia hepática, discrasias sanguíneas, varizes) são __________(precoces/tardios) em relação ao início do dano hepático.
Tardios.
42
# Abdome: doença hepática difusa **Cirrose** Histopatologia?
* Nódulos regenerativos e fibrose ➔ irregularidade dos contornos e alargamento das fissuras;
43
# Abdome: doença hepática difusa **Cirrose** Alterações volumétricas?
* Hipertrofia do lobo caudado e dos segmentos laterais do lobo esquerdo; * Atrofia do lobo direito e dos segmentos mediais do lobo esquerdo.
44
**Cirrose** Alterações morfológicas? (3)
1. Contornos irregulares; 2. Sinal/atenuação heterogêneo (a); 3. Traves fibróticas (RM).
45
# Abdome: doença hepática difusa **Cirrose** Alterações perfusionais?
* ↑ Resistência vascular hepática; * ↓ Fração de perfusão portal; ## Footnote Levando a shunts vasculares intra-hepáticos e distúrbios perfusionais.
46
# Abdome: doença hepática difusa **Cirrose** Achados associados?
* Linfonodomegalias peri-hepáticas; * Ascite; * Esplenomegalia; * Depósito de ferro hepático; * Circulação colateral porto-sistêmica; * Alterações nodulares focais;
47
# Abdome: doença hepática difusa **Cirrose** Locais característicos da circulação colateral porto-sistêmica? (7)
1. Junção gastro-esofagiana; 2. Veias paraumbilicais; 3. Perigástricas; 4. Esplenorenal; 5. Omental-peritoneal; 6. Retroperitoneal; 7. Plexo hemorroidário.
48
# Abdome: doença hepática difusa **Cirrose** A principal ferramenta de rastreamento é ____ (USG/TC).
USG. ## Footnote A ultrassonografia é eficaz na avaliação da hipertensão portal, complicações e rastreio de CHC.
49
# Abdome: doença hepática difusa Achado evidenciado na seta?
Fibrose confluente. ## Footnote Retração capsular profunda, característica em pacientes cirróticos, notadamente quando junto com emaranhado vascular.
50
# Abdome: doença hepática difusa **V ou F?** A difusão já foi estudada para estratificar a fibrose, porém hoje o seu uso restrito à detecção e caracterização de lesões focais.
Verdadeiro. ## Footnote A difusão não se mostrou eficaz para estratificar a fibrose.
51
# Abdome: doença hepática difusa **V ou F?** A elastrografia por USG e elastoRM são específicas para avaliação e classificação da fibrose.
Falso. ## Footnote A rigidez hepática avaliada pela elastografia é um "preditor" de fibrose. A relação entre rigidez hepática e fibrose não é linear e outros fatores podem aumentar a rigidez hepática (Inflamação, congestão vascular, colestase)