Aorta- och arteriella aneurysmer ger stasis och är därför sites där vad uppkommer?
Tromboser
Aterosklerotiskt plack
Och även till aneurysmer genom, ja vilka sätt?
Tryck av placket på underliggande media alternativt ischemisk atrofi av media, detta leder till förlust av elasticitet, försvagar och ökar risken för ruptur
Vilka olika typer av äkta aneurysmer har vi?

Vanligaste orsaken till aortaaneurysmer är vad? Hur skiljer det sig i geografi?
Vad ökar ytterligare risken?
Kan också ske genetiskt, vad innebär Marfan syndrom?
Den intrinsiska kvaliteten av stödjevävanden i vaskulär vägg är dålig. Mekanismen är att defekt syntes av proteinet fibrillin leder till felaktig TGF-beta aktivitet och elastisk vävnad i aorta försvagas vilket ger progressiv dilatation

Kan också ske genetiskt, ex genom Loeys-Dietz syndrom – mutationer i TGF-beta receptorer ger defekt syntes av elastin och kollagen
Men vad innebär Ehler Danlos syndrom?
Defekt typ III kollagensyntes
Vad innebär AAA (abdominal)?
Vilka drabbas av AAA?
Var i kroppen är AAA vanligast?
AAA uppkommer som sagt genom ateroskleros och är specifikt associerad med cytokiner som stimulerar till frisättning av MMP från makrofager
Men vilka är cytokinerna i ovanstående exempel?
IL-4 och IL-10
Vilka är ofta de första symptomen vid AAA?

Vad säger detta om risken?
Ökar exponentiellt med aneurysmens diameter

Hur kan vi behandla AAA kirurgiskt?
Hur ser risken ut för övriga sjukdomar?

Hur ser mortalitet ut efter en ruptur?
80 %
TAA (Thorasic)
Hur uppkommer denna sjukdom?
Uppkommer genom högt blodtryck (även Marfan syndrom och andra genetiska åkommor)
Vad innebär aortadissektion och på vilka sätt kan det ske?

Aortadissektion
Hos vilka är aortadissektion vanligast?
Vilka är de vanliga tre orsakerna till att aortadissektion uppkommer?
Aortadissektion
Vilken typ av aortadissektion är mest allvarlig?
De proximala varianterna (Typ A) som uppkommer innan de stora kärlen avgår

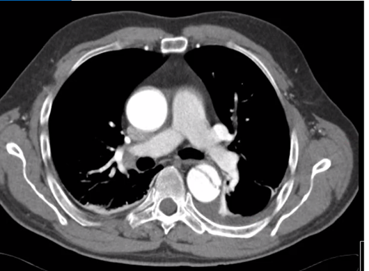
Vad ser du på bilden?

Aortadissektion
Falsk lumen på denna bild
Vilken typ av sekundär prevention finns gällande bukaortaaneurysmer?
Hur kan vi diagnosticera AAA?
Hur behandlas en ruptur av ex AAA, hur bråttom är det?
Vilka symptom ser vi vid ruptur av aortaaneurysm, AAA då den är i fri bukhåla?
Kort medvetandeförlust initialt
Smärta i buken främst till vänster med eller utan utstrålning till ryggen