Blodlaboration Flashcards

(24 cards)

1
Q

Vad är serum?

A

Plasma utan koagulationsfaktorer

How well did you know this?
1
Not at all
2
3
4
5
Perfectly
2
Q

Utveckling erytrocyt

  • Proeytroblast, tidigt, mkt kärna och liten cytoplasma, kärna minskar i storlek i utvecklingen
  • EPO nödvändigt för utveckling

Vad kallas den omogna erytrocyten som kan finnas i blodomloppet?

Hur länge finns erytrocyten i blodomloppet?

A
  • Reticulocyt (omogen erytrocyt)
  • 120 dagar i blodströmmen
How well did you know this?
1
Not at all
2
3
4
5
Perfectly
3
Q

Vad innebär måttet/provet RDW?

A
  • RDW – ett mått på variation i erytrocyternas storlek (ref. 16 %) -bilden
How well did you know this?
1
Not at all
2
3
4
5
Perfectly
4
Q

Vad innebär EPK?

A

Erytrocytplasmakoncentration/liter

How well did you know this?
1
Not at all
2
3
4
5
Perfectly
5
Q

Vad innebär EVF?

A

Erytocytvolymfraktion

How well did you know this?
1
Not at all
2
3
4
5
Perfectly
6
Q

Vad innebär MCV?

  • 82-98
A

Mean Cell Volume

EVF/EPK x 1000 = (erytrocyternas volym)

How well did you know this?
1
Not at all
2
3
4
5
Perfectly
7
Q

Vad innebär MCH?

  • 27-33
A

Mean Cell Hemoglobin

Hb/EPK = (genomsnittlig massa hemoglobin i analyserade erytrocyter)

How well did you know this?
1
Not at all
2
3
4
5
Perfectly
8
Q

På vilka två sätt kan vi della in anemier?

A

MCH - Hb per cell – ger olika färgsättning

  • Hyper-, normo- eller hypokrom

MCV - baserat på storlek hos erytrocyterna

  • Makro-, normo- eller mikrocytär
How well did you know this?
1
Not at all
2
3
4
5
Perfectly
9
Q

När kan vi se små erytrocyter?

A

Järnbrist, thalassemi

How well did you know this?
1
Not at all
2
3
4
5
Perfectly
10
Q

När kan vi se lågt MCV och lågt MCH?

A

Järnbrist

How well did you know this?
1
Not at all
2
3
4
5
Perfectly
11
Q

När kan vi se högt MCV?

Vad kallas det med ett annat ord?

A

B12-brist och folatbrist

Makrocytär

How well did you know this?
1
Not at all
2
3
4
5
Perfectly
12
Q

Vad kallas en neutrofil med många kärnor där vi också kan se ett högt MCV?

A

Hypersegmenterad neutrofil granulocyt

How well did you know this?
1
Not at all
2
3
4
5
Perfectly
13
Q
  • MCV - EVF/EPK x 1000 = (erytrocyternas volym)
    • 82-98
    • RDW – ett mått på variation i erytrocyternas storlek (ref. 16 %) -bilden
  • MCH - Hb/EPK = (genomsnittlig massa hemoglobin i analyserade erytrocyter)
    • 27-33

Vad kallar du en erytrocyt med dessa värden?

  • MCV = 112
  • MCH = 38
A
  • Makrocytär hyperkrom
How well did you know this?
1
Not at all
2
3
4
5
Perfectly
14
Q

MCV - EVF/EPK x 1000 = (erytrocyternas volym)

  • 82-98

MCH - Hb/EPK = (genomsnittlig massa hemoglobin i analyserade erytrocyter)

  • 27-33

Vad kallar du en erytrocyt med dessa värden?

  • MCV = 67
  • MCH = 19,4
A

Mikrocytär hypokrom

How well did you know this?
1
Not at all
2
3
4
5
Perfectly
15
Q

Vad kan tyda på en sickelcell-anemi?

A

Sickleceller (nymånar)

Hypersegmenterade neutrofil granulocyt

How well did you know this?
1
Not at all
2
3
4
5
Perfectly
16
Q

Vad kan ökad mängd reticulocyter i blodet tyda på?

A

ex hyperproliferation och hemolys

17
Q

Beskriv kortfattat B12-folatcykeln och varför är dessa ämnen viktiga?

A
  • Sker i cytoplasman
  • Metylkobalamin verkar som en cofaktor i omvandlingen av homocystein till metionin (metionincykeln) och även i omvandlingen av metyltetrahydrofolat till tetrahydrofolat (folatcykeln) där en metylgrupp överförs mellan cyklerna.
  • För att folatcykeln ska kunna fortgå normalt krävs flera enzymatiska steg där MTHFR (metylentetrahydrofolatreduktas) är ett nyckelenzym.
    • Detta betyder att brist på B12 och/eller folat ger en homocysteinstegring
    • Folat går (i övrigt) i normalfallet vidare och är viktig vid bildningen av thymedine – viktig i DNA-syntes i nukleus
    • Methionine är viktig för proteinsyntes och metylering
18
Q

Varför tar du provet homocystein på patienten?

Vad kan den säga och hur bör vi gå vidare?

A
  • Homocystein är högt både vid folat och B12-brist, är denna hög kan vi gå vidare och ta MMA
  • Är MMA för högt är det B12-brist!
19
Q

Varför berättar högt MMA att vi har brist på B12?

A
  • Processen sker i mitokondrie
  • Methylmalonyl-CoA ska i normalfallet genom bland annat B12 som kofaktor bilda succenyl-Coa (viktig i CSC), saknas B12 får vi istället mer MMA (vilket då är signifikant för B12-brist)
20
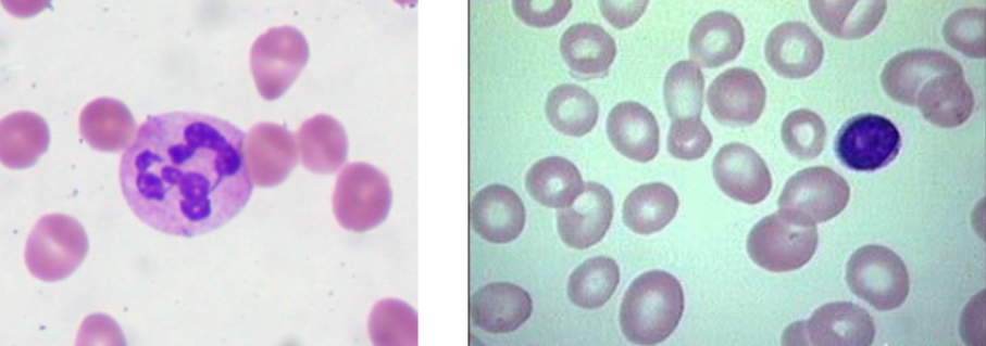
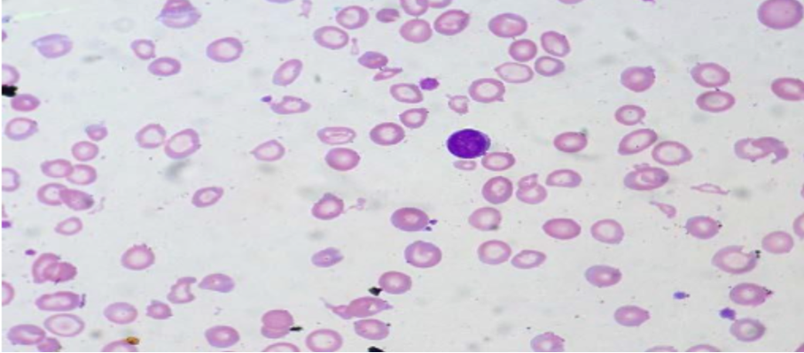
Q

Vad visar bilden?

21
Q

Vad visar bilden?

22
Q

Kalle 71årKallekommer till vårdcentralen.Hanberättaratthanharkäntsigtrött ochdeppigdesenastemånaderna.Kalles fruhar påpekatatt hanharbörjat blilite glömsk. Hanuppleveratt det stickerihänder ochfötter och iblandkännsdet somatthan”gårpåkuddar”. Hanhar ocksåmärktattdet sviderimunnennärhandrickersitt morgonkaffe.Kalleärfrisk förövrigt. Han äter inga mediciner och drickerendastalkohol tilljul ochmidsommar.När man undersökerKalle hittar man nedsattvibrationssinne påbägge fötterna. Han harmunvinkelragaderochenrödtunga. Inget annat avvikandehittas istatus.Man beställer ettantalprover.Medan du väntar på svar på proverna tittar du på ett blodutstryk från Kalle.

Vad vill du kalla det du ser och vad beror det på?

A

Kallehar enmegaloblastisk anemi pågrund avB12-brist. B12 krävs för DNA-syntesen. Därför sker en mognadshämning i förstadierna och erytrocyterna hinner växa för mycket i storlek innan det finns tillräckligt med kärnmaterial för endelning

23
Q

Stina23årPåvårdcentralenträffar duStinasomserliteblek ochhängigut.Honberättaratt honnästanalltidkännersigtrött ochattdetoftasvartnar förögonennärhonhastigt ställersigupp.Stinaflyttadehemifrån för ettårsedan.Honharvaritvegetarian sedantonårenochhonerkänner att detärsisådärmedmatlagningen,”det ärsåtråkigtatt laga matbara tillsigsjälv”berättarhon. Stinaärfrisksedantidigare.Honharintesett blod iavföringenochhennesavföringsvanor är normala. Hon äteringamediciner,inte ensp-piller,ochingakosttillskott. Närdufrågar särskilt om p-pillernämner Stina att hon har funderat på att börja med p-piller, inte för att hon har någon pojkvän förnärvarande, utan för att hon har hört att man kan få mindre och mer regelbundna blödningar vid menstruationer när man äter p-piller. Du tar lite prover på Stina.

Vad ser du och vad tror du är grunden till problemet?

A

Stina har en hypokrom mikrocytär anemi på grund av järnbrist.

24
Q

Vegetarianen Stina som har rikliga menstrationer har en hypokrom mikrocytär anemi till följd av järnbrist, hur vill du behandla?

A

Flera riskfaktorer för järnbrist, hon har både rikliga menstruationer och är vegetarian. Du sätter in Stina på järntillskott, Duroferon®, och rekommenderar henne att gå till kvinnohälsan för att diskutera insättning av p-piller.