
Vitelline artery (blue arrow)
Will typically be show in combo with Nuc med scan (tagged RBC) showing a Meckel diverticulum


persistent collection of radiotracer in the RLQ, WITHOUT movement through the GI tract
angiography shows a prominent vitelline artery
Meckel’s diverticula are a persistent outpouching due to periistent non involuting omphalomesenteric (vitelline) duct. 50% contain gastric mucosa


IVC stenosis and stent placement
the presence of venous collaterals indicates hemodynamically significant stenosis
what is a potential complication of embolization of the selected vessel?

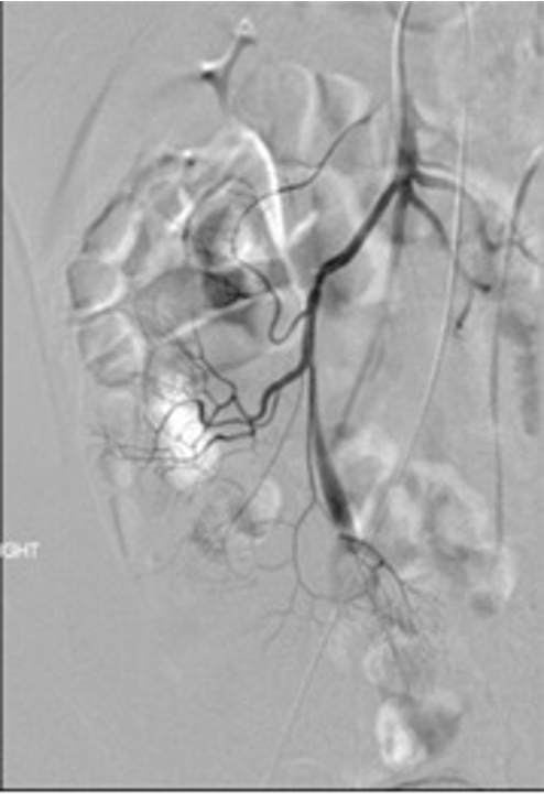
ovarian artery is selected in the right image.
Potential complication of ovarian failure
This is a pt with uterine fibroids with some blood supply coming from an enlarged ovarian artery




hypothenar hammer syndrome with distal embolus

vasospasm
what is the most commonly involved artery in FMD?
renal artery followed by carotids
what are the two methods for splenic artery embolization?
1) proximal SAE: splenic artery is occluded distal to the dorsal pancreatic artery with the use of coils or vascular plug
2) distal SAE: peripheral branch is occluded with coils, gelform, or other embolic agents

HCC

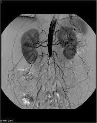
polyarteritis nodosa(PAN)
multiple small aneurysms in the right renal arterioles
this is an Aunt Minnie and diagnostic of PAN
associated with HBV and HCV

leriche syndrome (aorto-occlusive disease)

leriche syndrome
ideal femoral access location
enter skin inferomedial to the femoral head
femoral head provides a hard surface for hemostasis
at the level of the femoral head, the femoral artery and nerve are side by side

Injection rate for inferior vena cavogram
20 for 30
(20 cc/s for a total of 30 cc)
Injection rate for aortogram (abdominal aorta)
20 for 20
(20 cc/s for a total of 20 cc)
Injection rate for aortogram (aortic arch)
20 for 30
(20 cc/s for a total of 30 cc)
Which vessel has an aberrant origin?

A
replaced right subclavian artery which arises last. This is considered the most common aortic arch anomaly, with incidence 0.5-2.0%. In right-sided arches an aberrant left subclavian artery is a common finding, possibly 50%. The CT image demonstrates the replaced right subclavian origin with 2 things to note. First, the caliber is large which is termed Kommerell diverticulum. Secondly, note how the esophagus is pinched in there by this vascular sling; this scenario can result in dysphagia lusoria.
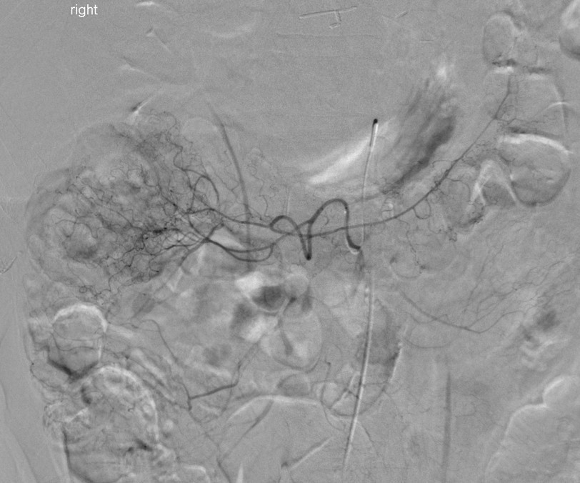
the microcatheter is selected into which artery?

middle colic
A patient has celiac axis chronic occlusion as the only site of disease. What would be the expected clinical presentation?
asymptomatic
Generally speaking, there are 3 main connections from the aorta to the viscera: celiac, SMA, IMA. There is a lot of collateral communication between these vessels. If 1 is occluded, there will virtually never be any clinical consequence, provided it’s a gradual process (which allows for hypertrophy of the collateral system). If 2 of the 3 are occluded, this classically presents with post-prandial pain from the stress-ischemia to the bowel.

anterior tibial

lateral sacral artery
The iliolumbar travels in a cephalad direction which is an identifying feature. It may arise directly off of the internal iliac, rather than a posterior trunk. The lateral sacral artery travels medially and posteriorly in its relationship with the sacrum. There may be more than one lateral sacral branch.


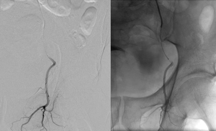
obturator artery
Helpful is the characteristic inverted ‘Y’ at the obturator foramen. This can be a site of bleeding with pelvic trauma. An interesting and important variant is worth mentioning here. The obturator artery can also arise from, or anastomose with, the inferior epigastric artery, running along the posterior aspect of the superior pubic ramus. It can be an unwelcome surprise to a surgeon and can be difficult to control, earning the moniker ‘corona mortise’ or crown of death.
