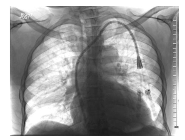
how do you position the patient after a percutaneous lung biopsy

on the same side as the biopsy to tamponade and to prevent contralateral spread of blood to the airways
contraindication for pulmonary artery angiogram
left bundle branch block
When passing a wire/catheter through the right heart, arrythmia can be caused. Of specific concern here would be to create a new right sided block if there already underlying left bundle branch block resulting in complete block.
standard injection rate from the main PA
25 for 50
The lungs hold a massive volume, therefore contrast injection must equally large. A standard injection rate from the main PA would be 25cc/sec for 50cc total.
most common arterial source of hemoptysis
Regarding hemoptysis, the bronchial arteries are usually the first place to look, but the pulmonary system may be the source.
A patient with hx of cystic fibrosis and hemoptysis. What agent is the best treatment agent for the bronchial artery embolization?
permananent particles
A pretty ubiquitous boards question here. Big picture is that you’re treating a field of abnormal tissue; you would not expect to see focal active extravasation. Coils are the classic wrong answer because they would jail you out from future treatments which are likely in these patients with chronic disease processes. Angio of before and after particle embolization:
What pressure (MAP) is the commonly used threshold to diagnose pulmonary hypertension?
>25mmHg in the main PA at rest is diagnostic for pulmonarty hypertension.
What tool would be the best choice to embolize this pulmonary avm?
vascular plug
Rule 1 of embolics: don’t be dangerous. Clear, large caliber right to left shunt here, so liquids and particles are no good (this is a different scenario than chronic lung disease with bronchial shunting, for which large particles are acceptable). Here, even coils are nerve wracking as they could slip right through, though are definitely an acceptable answer. The vascular plugs are a nice option here as migration risks are lower.

