right groin US image with color doppler. What intervention did the pt likely have, diagnosis, and what is the treatment?

femoral artery pseudoaneurysm with classic “yin-yang” sign indicated to and fro flow into and out fo the pseudoaneurysm sac.
likely right femoral arterial access recently (like heart cath)
treatment = ultrasound guided thrombin injection. GOAL: introduce thrombogenic material under sonographic visualization to eleimate visible flow within the pseudoaneurysm sac


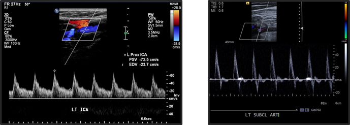
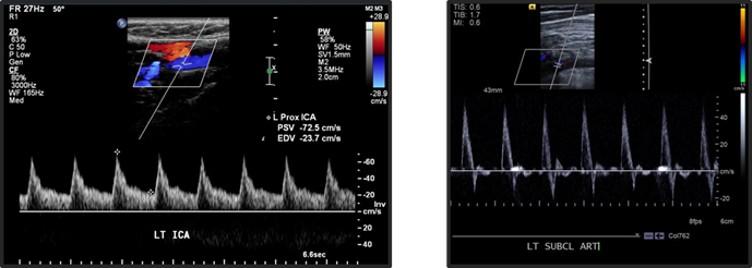
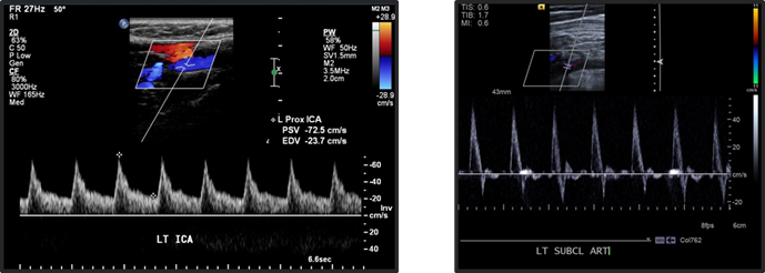
tardus parvus waveform. PROXIMAL stenosis

If shown BILATERAL parvus tardus in the carotids:
aortic stenosis









if you are given a doppler US of the vertebral artery. most likely diagnosis?
subclavian steal.
Resistive Index equation
RI = (PSV - EDV)/PSV

higher diastolic flow is seen in what arteries?
carotid and vertebral artries (lower resistance waveforms –> lower RI)

lower diastolic flow is seen in what vessels?
extremities
lower diastolic flow = higher resistance waveform (higher RI)
due to elastic recoil.
retrograde flow may be seen in early diastole (triphasic flow)

both of these are normal waveforms. Which is an upper and which is a lower extremity vein?

























