What is a significant requirement/info prior to TIPS
the MELD!
treatment of Budd-Chiari
TIPS
following TIPS performed for bleeding gastroesophageal varices, which of the following is an appropriate post-treatment portosystemic pressure gradient?
5-12 mmHg

portal vein embolization
what is REILD
radioembolization-induced liver disease, may happen after transarterial radioembo (TARE), aka Y-90
4-8 wk after treatment
jaundice and ascites (life threatening).
supportive care
REILD = Hepatomegaly with heterogeneous parenchymal enhancement and randomly distributed ill-defined hypoattenuating or hypointense areas in portal venous phase, usually associated with development of ascites
what is the ablative margin for HCC?
5 - 10 mm
when do you do percutaneous stent placement of bil dil versus endoscopy stent placement
the anatomic landmark is the hepatic duct confluence
if the obstruction is above the level of the hepatic duct confluence, then do percutaneous, if below do endoscopic
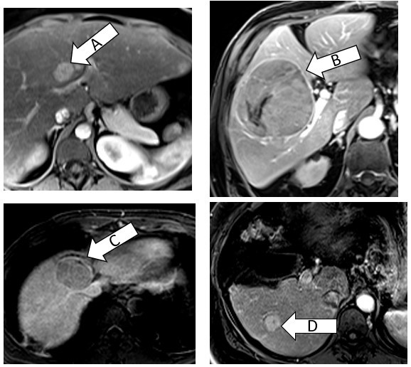
Based only on imaging, which of these is the best ablation candidate?

D
A isn’t great because it’s right up against the central structures with a fair chance of central biliary damage and long-term stricturing. B is too big. C is tucked against the cava-therefore due to heat sink issues, it would be hard or impossible to get all of the tumor. D is under 3cm, away from central structures. Surface/capsular tumors are doable but carry a higher risk of bleeding/seeding; the technical approach also has to be considered as to not burn body wall.
Which is the most typical first-line approach to TIPS?
R hepatic vein –> R portal vein

If a liver transplant survives hepatic artery thrombosis, what is the most likely delayed complication?
biliary stricture
Hepatic artery thrombosis, can be classified into an early (<21 days) or late complication. If the initial insult cannot be overcome, there is transaminitis and the graft is threatened. If there is enough flow via collaterals and portal system, the graft can survive but it is important that the biliary system gets its blood from the artery rather than the portal. Therefore, chronic changes from hepatic artery thrombosis includes biliary wall compromise presenting as infeciton, bilomas or strictures.
schedule for TIPS patency
1 month, every 3 months, then every 6-12 months
Portal hypertension is defined as a portosystemic gradient of:
> 5 mmHg
MELD score components
Bilirubin
Dialysis (twice in the last week)
Creatinine
INR
Sodium
Child Pugh Score components
Bilirubin
Albumin
INR
Ascites
Encephalopathy
best intervention for budd-chiari
TIPS
type of stent used in TIPS
Viatorr stent
it is both covered and uncovered
