Aortic dissection Flashcards

(20 cards)

1
Q

A patient presents with sudden severe tearing chest pain that radiates to the back. There is a difference between the right and left arm systolic blood pressures of greater than 20 mmHg. A chest x-ray shows a widened mediastinum, what is the likely diagnosis?

A

Aortic dissection.

How well did you know this?
1
Not at all
2
3
4
5
Perfectly
2
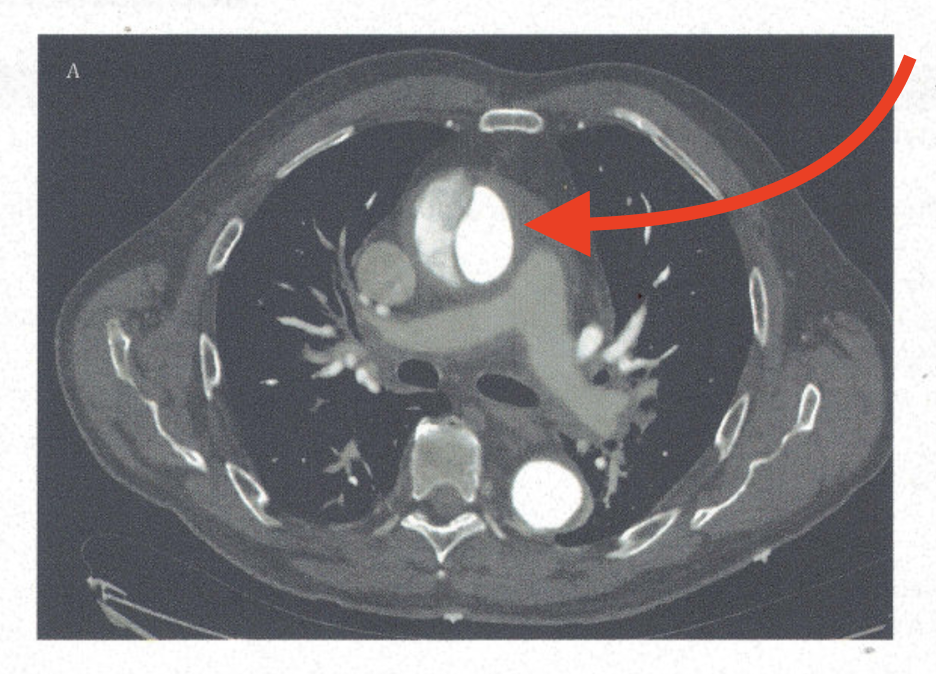
Q

What is the primary mechanism of aortic dissection?

A

Separation of the layers of the aortic wall due to an intimal tear.

How well did you know this?
1
Not at all
2
3
4
5
Perfectly
3
Q

What are the Stanford subtypes of aortic dissection?

A

Stanford Type A involves the ascending aorta or arch. Stanford Type B involves the descending aorta distal to the subclavian artery.

How well did you know this?
1
Not at all
2
3
4
5
Perfectly
4
Q

What are common risk factors for aortic dissection?

A
  • Aortic damage (e.g., hypertension, thoracic aneurysm, atherosclerosis)
  • Marfan’s syndrome
  • Ehlers-Danlos syndrome
  • Congenital bicuspid aortic valve (Turner syndrome)
  • syphilis aortitis
  • cocaine
How well did you know this?
1
Not at all
2
3
4
5
Perfectly
5
Q

What large-vessel vasculitis can cause aortic dissection, particularly in the elderly?

A

Giant cell arteritis is a large-vessel vasculitis that predominantly affects the aorta and its major branches. Chronic inflammation from GCA can weaken the aortic wall, leading to aneurysms, dissections, or rupture. The inflammation compromises the structural integrity of the intima and media layers, predisposing the aorta to tears.

How well did you know this?
1
Not at all
2
3
4
5
Perfectly
6
Q

What large-vessel vasculitis can cause aortic dissection, particularly in females of Asian descent?

A

Takayasu arteritis primarily affects large vessels, specifically the aorta and its major branches (e.g., subclavian, carotid, and renal arteries). It leads to inflammation of the vessel walls, which can result in stenosis, occlusion, aneurysm formation, and, in rare cases, aortic dissection. The condition predominantly occurs in young women, particularly of Asian descent, and presents with symptoms like claudication, diminished pulses (“pulseless disease”), and arterial bruits.

How well did you know this?
1
Not at all
2
3
4
5
Perfectly
7
Q

What is the most common cause for aortic dissection, is it hypertension or is it atherosclerosis?

A

Hypertension is the leading risk factor because it increases shear stress on the aortic wall, predisposing it to intimal tears. Over time, the high blood pressure weakens the aortic wall, particularly at points of stress, such as near the aortic arch or ascending aorta, which are more prone to dissection. This explains why hypertension is so commonly associated with both Stanford Type A and Type B dissections. While atherosclerosis is a contributing factor to many vascular conditions and can weaken the aortic wall, it is not the primary cause of aortic dissection. Instead, it is more strongly associated with aneurysms rather than acute dissections. Atherosclerosis can, however, exacerbate pre-existing conditions or contribute to chronic damage, making the aorta more susceptible to a dissection triggered by hypertension or other stressors. This is commonly seen in elderly patients where there’s a medial degeneration of aorta with basophilic ground substance.

How well did you know this?
1
Not at all
2
3
4
5
Perfectly
8
Q

What is the strongest risk factor in acute aortic dissection?

A

Hypertension.

How well did you know this?
1
Not at all
2
3
4
5
Perfectly
9
Q

What traumatic event can lead to aortic dissection?

A

Blunt chest trauma, such as from a motor vehicle accident, can cause aortic dissection due to the rupture of the ligamentum arteriosum. These are often fatal. The most common cause of sudden death after a steering wheel injury from motor vehicle accident is aortic injury.

How well did you know this?
1
Not at all
2
3
4
5
Perfectly
10
Q

What is the most common cause of sudden death following a motor vehicle accident, and what are the other potential causes?

A

The most common cause of sudden death after a steering wheel injury from motor vehicle accident is aortic injury.

  • Tension pneumothorax is a life-threatening condition that may result in cardiovascular collapse; however, the resulting death is not usually instantaneous.
  • Abdominal injury may result in profound shock if rapid internal bleeding occurs.
  • Cardiac contusion produces sudden death when the injury involves the cardiac chambers or vessels.
  • Cervical spine injury leads to quadriparesis and sometimes respiratory paralysis.
How well did you know this?
1
Not at all
2
3
4
5
Perfectly
11
Q

What are the hallmark symptoms of aortic dissection?

A

Severe chest pain radiating to the back with a ‘tearing’ quality and asymmetric blood pressure (>20 mmHg difference).

How well did you know this?
1
Not at all
2
3
4
5
Perfectly
12
Q

What findings on a chest X-ray may suggest aortic dissection?

A

A widened mediastinum. A normal CXR does not rule out an aortic dissection.

How well did you know this?
1
Not at all
2
3
4
5
Perfectly
13
Q

What are the risks associated with Stanford Type A dissections?

A

Risk for myocardial infarction, stroke, aortic regurgitation, cardiac tamponade, Horner’s syndrome, and vocal cord paralysis.

How well did you know this?
1
Not at all
2
3
4
5
Perfectly
14
Q

What are the risks associated with Stanford Type B dissections?

A

Risk for limb ischemia, renal ischemia, and mesenteric ischemia.

How well did you know this?
1
Not at all
2
3
4
5
Perfectly
15
Q

A 76-year-old man presents to the emergency department with a syncopal episode that occurred after the acute onset of sudden and severe low back and groin pain. The patient was in his usual state of health before this episode. He has a past medical history of uncontrolled hypertension, diabetes type 2, and a 30-pack-year smoking history. The patient denies dysuria, hematuria, polyuria or incontinence. Temperature is 37°C (98.6°F), blood pressure is 96/56 mmHg, pulse is 134/min, respiratory rate is 22/min, and oxygen saturation is 97% on room air. Physical examination reveals a pale and ill-appearing man. Genitourinary examination demonstrates normal appearing external genitalia. Back examination is unremarkable. Which of the following physical examination findings is most likely to be found on further evaluation?
A) Diminished radial pulse
B) Positive straight leg raise
C) Migratory thrombophlebitis
D) Absent cremasteric reflex
E) Pulsatile abdominal mass

A

A pulsatile abdominal mass is one of the hallmark clinical findings in patients with an abdominal aortic aneurysm. This patient presents with an episode of sudden and severe low back and groin pain followed by syncope. He is hypotensive and ill-appearing. Together these clinical findings are concerning for a ruptured abdominal aortic aneurysm. One of the hallmark clinical findings is the presence of a pulsatile abdominal mass. An abdominal aortic aneurysm, or AAA, is defined as aortic dilatation greater than 3 cm in diameter. Most AAAs are fusiform, which means they’re spindle-shaped and involve the entire circumference of the aortic wall. AAA can be symptomatic or asymptomatic. While most AAAs are asymptomatic and found incidentally on imaging studies, all AAAs are at risk for expansion and rupture. Most abdominal aortic aneurysms are silent, meaning, they are discovered incidentally on imaging without any associated symptoms or clinical findings. Symptomatic patients typically present in the setting of rupture or peri-rupture and present with sudden onset abdominal, back, or flank pain with or without groin pain and with associated syncope. Risk factors associated with AAA include those associated with atherosclerotic disease, including hypertension, diabetes, and smoking history. Patients may also have a history of connective tissue disease or a familial history of aneurysm.

How well did you know this?
1
Not at all
2
3
4
5
Perfectly
16
Q

What is the test of choice for diagnosing aortic dissection in hemodynamically stable patients?

A

CT angiography (CTA).

17
Q

What is the test of choice for diagnosing aortic dissection in hemodynamically unstable or CKD patients?

A

Transesophageal echocardiography (TEE).

18
Q

What is the primary medical management goal for both subtypes of aortic dissection?

A

Maintain heart rate < 60 bpm and systolic blood pressure between 100-120 mmHg using IV beta blockers (e.g., Esmolol or Labetalol). Nitroprusside may be added if BP remains elevated. Provide IV opioids. Esmolol is often preferred in acute settings due to its short half-life (~9 minutes), which can allow for rapid titration and optimal heart rate and blood pressure control. Adequate pain control (eg, morphine) also assists in reducing aortic wall shear stress by further reducing sympathetic drive to decrease blood pressure and heart rate. In addition to medication therapy, emergency surgical repair is needed for ascending dissection.

19
Q

What is the management approach for Stanford Type A dissections?

A

Surgical emergency.

20
Q

What is the management approach for Stanford Type B dissections?

A

Medically managed unless complications develop. Surgery is indicated for ischemic complications or disease progression, with options for endovascular or open surgery.