Endocarditis Flashcards

(58 cards)

1
Q

When this is seen along with a heart murmur, think ….

A

Infective endocarditis. Hemorrhages underneath the fingernails (i.e., splinter hemorrhages) are a common finding in IE and are caused by septic microemboli from infected heart valves. Immune complex deposition or microthrombosis occurs in subacute, infective endocarditis, as well as with SLE, or rheumatoid arthritis.

How well did you know this?
1
Not at all
2
3
4
5
Perfectly
2
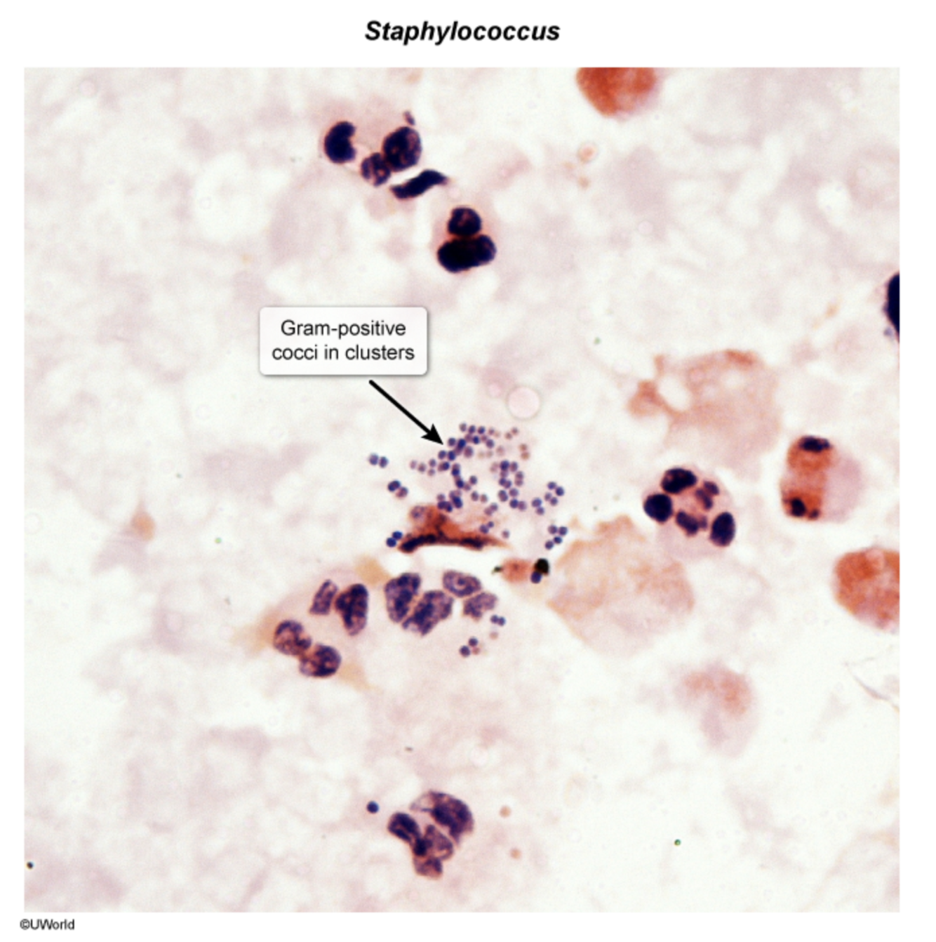
Q

What is the most common cause of inflammatory cardiac disease of any pathogen?

A

Staphylococcus aureus

Increased risk with IV drug users, prosthetic valves, and cardiac devices.

Staphylococcus aureus is the leading cause of prosthetic valve infective endocarditis, and typically causes acute (sudden onset over subacute) disease with rapid onset of high fever, and severe constitutional symptoms.

How well did you know this?
1
Not at all
2
3
4
5
Perfectly
3
Q

Infectious endocarditis secondary to Staphylococcus aureus commonly has what systemic complication?

A

Septic emboli (PE in lungs or brain).

How well did you know this?
1
Not at all
2
3
4
5
Perfectly
4
Q

What are the most common locations of infective endocarditis (IE) in order of frequency?

A
  1. Mitral valve
  2. Aortic valve
  3. Tricuspid valve (common in IV drug users)
How well did you know this?
1
Not at all
2
3
4
5
Perfectly
5
Q

Following Staphylococcus aureus, what is the second most common pathogen that causes Infectious endocarditis in IV drug users?

A

Pseudomonas aeruginosa

How well did you know this?
1
Not at all
2
3
4
5
Perfectly
6
Q

What are the common risk factors for infective endocarditis?

A

Prosthetic valves
Cardiac devices
Valvular disease (e.g., mitral valve prolapse, rheumatic heart disease)
Congenital heart disease
IV drug use (IVDU)
Poor dental hygiene or recent dental procedures

How well did you know this?
1
Not at all
2
3
4
5
Perfectly
7
Q

What is the major causative organism of infective endocarditis secondary to gingival manipulation or poor dentition?

A

Streptococcus viridans
(usually subacute).

HACEK organisms
(rare).

How well did you know this?
1
Not at all
2
3
4
5
Perfectly
8
Q

What is the major causative organism of infective endocarditis secondary to either UTIs or genitourinary procedures (cytoscopy)?

A

Enterococcus spp (usually subacute).

Can cause either right-sided or left-sided endocarditis.

How well did you know this?
1
Not at all
2
3
4
5
Perfectly
9
Q

What is the major causative organism of infective endocarditis secondary to colon cancer?

A

Streptococcus gallolyticus (bovis)

How well did you know this?
1
Not at all
2
3
4
5
Perfectly
10
Q

What is the major causative organism of infective endocarditis secondary to prosthetic devices?

A

Coagulase-negative Staphylococci (S. epidermitis)

Coagulase-negative staphylococci (e.g, S. epidermidis) have the ability to adhere to foreign bodies and form a biofilm. They are a common cause of early-onset prosthetic valve infective endocarditis (i.e., ≤ 12 months following surgery). They are also implicated in infections following use of venous catheters. Infective endocarditis due to S. epidermidis typically has an insidious onset with a subacute disease course. Even though the course can be subacute, symptoms will usually manifest early following surgical interventions (days to weeks).

How well did you know this?
1
Not at all
2
3
4
5
Perfectly
11
Q

What is the major causative organism of infective endocarditis in immunocompromised patients?

A

Candida or other fungal pathogens.

How well did you know this?
1
Not at all
2
3
4
5
Perfectly
12
Q

What is the major causative organism of infective endocarditis secondary to animal exposure?

A

Brucella or Coxiella (5% of cases).

How well did you know this?
1
Not at all
2
3
4
5
Perfectly
13
Q

What are the clinical features of infective endocarditis?

A

Dyspnea (SOB), cough, pleuritic chest pain.

Constitutional symptoms: Fever, weight loss, night sweats.
Cardiac: New murmur or worsening of preexisting murmur.
Vascular phenomena: Splinter hemorrhages, Janeway lesions.
Immunologic phenomena: Osler nodes, Roth spots, glomerulonephritis.

The clinical presentation, involves fever, petechiae, history of intravenous drug abuse, and holosystolic murmur at the apex, is suggestive of infective endocarditis (IE) involving the mitral valve. Headache, lethargy, and neck stiffness suggest subarachnoid hemorrhage secondary to rupture of a mycotic aneurysm.

How well did you know this?
1
Not at all
2
3
4
5
Perfectly
14
Q

What is the Modified Duke Criteria for the diagnosis of infective endocarditis?

A

2 major criteria

OR

1 major + 3 minor criteria

OR

5 minor criteria

How well did you know this?
1
Not at all
2
3
4
5
Perfectly
15
Q

What are the major criteria for the Modified Duke Criteria?

A

1.Echocardiographic evidence.

2.Positive blood cultures
- typical organisms: 2 cultures drawn >12 hours apart.
- nontypical organisms: 3 cultures with the 1st and last drawn at least 1-hr apart

3.Serology from a culture negative organism (>1:800)
- Coxiella
- Bartonella
- Tropheryma whipplei

How well did you know this?
1
Not at all
2
3
4
5
Perfectly
16
Q

What are the minor criteria for the Modified Duke Criteria?

A

Predisposing factor (e.g., congenital heart disease, prosthetic valve, IV drug use).
Fever >38°C.
Vascular events (e.g., Janeway lesions, arterial emboli, septic infarcts).
Immunologic events (e.g., Osler nodes, Roth spots, RF).
New valvular regurgitation.
Atypical blood culture or serology.

How well did you know this?
1
Not at all
2
3
4
5
Perfectly
17
Q

How is infective endocarditis managed?

A

First: Obtain 3 sets of blood cultures before starting antibiotics.

Second: Empiric therapy for acutely ill patients: Vancomycin ± gentamicin.

Third: Transition to pathogen-specific antibiotics once cultures are available (typically 4–6 weeks total therapy).

Last: Surgery if severe valve dysfunction, abscess, or persistent infection.

How well did you know this?
1
Not at all
2
3
4
5
Perfectly
18
Q

What are complications of infective endocarditis?

A

Heart failure
Perivalvular abscess (conduction defects or persistent bacteremia)
Septic emboli (e.g., strokes, pulmonary infarcts)
Mycotic aneurysms
Glomerulonephritis

How well did you know this?
1
Not at all
2
3
4
5
Perfectly
19
Q

Mycotic aneurysms arise from endocarditis for what specific reason?

A

Mycotic or infected arterial aneurysms can develop due to metastatic infection from infective endocarditis, with septic embolization and localized vessel wall destruction in the cerebral (or systemic) circulation. Intracerebral mycotic aneurysms can present as an expanding mass with focal neurologic findings or may not be apparent until aneurysm rupture with stroke or subarachnoid hemorrhage. The diagnosis of mycotic cerebral aneurysm can usually be confirmed with computed tomography angiography. Management includes broad-spectrum antibiotics (tailored to blood culture results) and surgical intervention (open or endovascular).

How well did you know this?
1
Not at all
2
3
4
5
Perfectly
20
Q

What are the high risk situations that require the use of antibiotic prophylaxis in regards to infective endocarditis?

A

If any of these scenarios exist in a patient who is going for a risky procedure, prophylactic antibiotic to prevent endocarditis is necessary:

1) a patient with a prosthetic heart valve or previous repair using prosthetic material
2) a patient with an unrepaired congenital heart defect
3) a patient with a repaired congenital heart defect with residual shunt or defect
4) a patient with a previous case of infective endocarditis
5) valvular disease in transplanted heart

How well did you know this?
1
Not at all
2
3
4
5
Perfectly
21
Q

What are the indicated cases that increase the risk of infective endocarditis?

A

1) Dental procedures that involve manipulation of gingival tissue or the periapical region of teeth (eg, routine dental cleaning) or perforation of the oral mucosa.
vvvvvvvvvvvvv
2) Respiratory tract procedures that involve incision or biopsy of the respiratory mucosa (eg, tonsillectomy, bronchoscopy with biopsy).
vvvvvvvvvvvvv
3) Ongoing GI or GU infection.

How well did you know this?
1
Not at all
2
3
4
5
Perfectly
22
Q

Is ongoing infection with Helicobacter pylori considered an ongoing G.I. infection that would justify giving prophylactic antibiotics to prevent endocarditis in a patient with a high risk cardiovascular condition?

A

No.

How well did you know this?
1
Not at all
2
3
4
5
Perfectly
23
Q

What are the preferred antibiotics for infective endocarditis prophylaxis in patients with high-risk cardiovascular conditions?

A
  • Amoxicillin (first-line)
  • Cephalexin (alternative)
  • Azithromycin or doxycycline (if PCN allergy)
How well did you know this?
1
Not at all
2
3
4
5
Perfectly
24
Q

A 35-year-old woman with a history of cyanotic congenital heart disease undergoes a dental extraction. What prophylactic antibiotics should she receive, and why?

A) None; prophylaxis is not indicated.
B) Ceftriaxone to prevent Staphylococcus aureus.
C) Amoxicillin to prevent Viridans streptococci.
D) Vancomycin to prevent Enterococcus faecalis.

A

C) Amoxicillin to prevent Viridans streptococci.

Explanation: Patients with cyanotic congenital heart disease are at risk for endocarditis, particularly with dental procedures. Amoxicillin is the first-line prophylactic antibiotic for Viridans streptococci.

25
When should prophylactic antibiotics be administered before a procedure to prevent infective endocarditis?
Prophylactic antibiotic therapy is usually administered in one dose 30-60 minutes prior to the procedure.
26
Question A 58-year-old man with a history of mechanical mitral valve replacement presents to the clinic for routine follow-up. His medications include warfarin, metoprolol, and atorvastatin. He reports no recent symptoms of bleeding, chest pain, or shortness of breath. His INR today is 2.6. He is scheduled for a routine dental cleaning next week. Upon reviewing his history, the dentist contacts his physician, expressing concern about the patient's risk of endocarditis due to mild gingival bleeding during cleanings. Which of the following is the most appropriate next step in managing this patient? A. No additional prophylactic measures are needed. B. Administer a single dose of amoxicillin 2 g one hour before the procedure. C. Recommend delaying the dental procedure until warfarin can be temporarily discontinued. D. Switch warfarin to low-molecular-weight heparin before the dental procedure. E. Administer a single dose of vancomycin 1 g one hour before the procedure.
Answer: B. Administer a single dose of amoxicillin 2 g one hour before the procedure. Explanation: This patient requires antibiotic prophylaxis before his dental cleaning because of his increased risk of infective endocarditis (IE). Patients with high-risk conditions such as a mechanical valve, prior IE, or unrepaired congenital heart conditions should receive prophylaxis before procedures likely to cause bacteremia. Although routine dental cleaning is generally low-risk, gingival bleeding during the procedure increases the likelihood of transient bacteremia, particularly in a patient on warfarin. The standard prophylaxis is a single dose of amoxicillin 2 g administered one hour before the procedure. The risk of endocarditis in such patients outweighs the risks associated with prophylactic antibiotic administration. Warfarin does not contraindicate prophylaxis, but it may increase the bleeding risk during the procedure, which further justifies taking precautions against IE. Incorrect Answers A. No additional prophylactic measures are needed: While dental cleanings are typically low-risk, this patient's mechanical valve and increased bleeding risk from warfarin necessitate prophylaxis due to the potential for transient bacteremia. C. Recommend delaying the dental procedure until warfarin can be temporarily discontinued: Temporarily discontinuing warfarin is unnecessary for routine dental cleanings and would increase the risk of thromboembolic complications without significantly reducing the bleeding risk. D. Switch warfarin to low-molecular-weight heparin before the dental procedure: Bridging therapy is not indicated for this patient undergoing a minor procedure like a dental cleaning. This approach would be excessive and inappropriate. E. Administer a single dose of vancomycin 1 g one hour before the procedure: Vancomycin is not the first-line antibiotic for prophylaxis unless the patient has a beta-lactam allergy. In this case, amoxicillin remains the drug of choice.
27
Which invasive procedures, following a specific history of infective endocarditis, call for prophylaxis with antibiotics?
Dental procedures involving gingival manipulation such as an extraction, implants, peridontal, and cleanings (due to risk of gingival bleeding). Respiratory biopsy. Procedures on infected GI/GU tract or skin. Heart surgery involving prosthetic valves or intracardiac materials. The most commonly used antibiotic regimen is oral amoxicillin administered 30–60 minutes prior to a high-risk procedure. Alternatives to amoxicillin include intravenous ampicillin in patients unable to take oral medication and azithromycin in patients allergic to penicillin.
28
What specific heart issues call for prophylaxis with antibiotics due to an increased risk of infective endocarditis?
Implantation of prosthetic valves or cardiac material. History of endocarditis. Unrepaired cyanotic congenital heart disease. Repaired cyanotic congenital heart disease with defects. Valvular abnormalities in a transplanted heart.
29
In relation to infective endocarditis, is prophylaxis with antibiotics warranted when a patient has a limb prosthesis?
No
30
Prophylaxis due to specific history in relation to infective endocarditis, is with which antibiotics?
Prophylactic regimen: Amoxicillin. Alternatives: Cephalexin or Clindamycin. With penicillin allergy: Azithromycin.
31
If antibiotics are indicated for prevention of endocarditis, when are they given?
Prophylactic antibiotic therapy is usually administered in one dose 30-60 minutes prior to the procedure.
32
Prophylactic antibiotic therapy to prevent endocarditis is conditional dependant (i.e. high risk cardiac condition) and procedural dependant (dental or respiratory procedure), when would antibiotics NOT be indicated in a patient who has a high risk heart condition, undergoing a procedure?
Patients who have a high-risk cardiac condition (prosthetic aortic valve), which increases the risk of developing infective endocarditis (IE), might require antibiotics for some procedures, however, even in these patients with high-risk cardiac conditions, the absolute risk of developing IE from a gastrointestinal (GI) or genitourinary (GU) tract procedure (eg, esophagogastroduodenoscopy, urethral stricture dilation) is low. Therefore, the administration of antibiotics to prevent IE is not recommended in most patients undergoing such a procedure. Only patients with a high-risk cardiovascular condition and **ongoing GI or GU infection** should receive appropriate antibiotic therapy, including an agent active against enterococci (eg, ampicillin, vancomycin), prior to the procedure. Possible Helicobacter pylori infection does not count as ongoing Gl infection. The procedures that warrant antibiotic prophylaxis for lE in patients with high-risk cardiac conditions in the absence of active infection include, 1) Dental procedures that involve manipulation of gingival tissue or the periapical region of teeth (eg, routine dental cleaning) or perforation of the oral mucosa, and 2) Respiratory tract procedures that involve incision or biopsy of the respiratory mucosa (eg, tonsillectomy, bronchoscopy with biopsy).
33
A 30-year-old IV drug user presents with fever and a new murmur. Blood cultures grow gram-positive cocci in clusters. What is the most likely pathogen, and which valve is likely affected?
Pathogen: Staphylococcus aureus Valve: Tricuspid Treatment: Vancomycin
34
A 65-year-old male with a history of colon cancer presents with fatigue, fever, and a new murmur. Blood cultures grow Streptococcus gallolyticus (bovis). What is the next best step in management?
Perform a colonoscopy to evaluate for malignancy or polyps. Streptococcus gallolyticus can be found in the normal bowel flora of healthy humans. A link between S. gallolyticus bacteremia, particularly in endocarditis, and colorectal cancer has been well established. However, it remains unclear whether this pathogen is part of the etiology of colorectal malignancies or a consequence of the disease. A colonoscopy is indicated in all patients with S. gallolyticus on blood culture.
35
A patient with a prosthetic valve develops fever, weight loss, and positive blood cultures for coagulase-negative staphylococci. What is the most appropriate initial treatment?
Empiric antibiotics: Vancomycin + Rifampin ± Gentamicin.
36
A patient with fever, Osler nodes, and Janeway lesions meets 1 major Duke criterion and 2 minor criteria. Is this sufficient for a definite diagnosis of infective endocarditis?
No. To meet criteria for definite IE: **2 major** OR **1 major + 3 minor** OR **5 minor**
37
A 45-year-old woman presents with fever, weight loss, and fatigue. She has a history of mitral valve prolapse. Physical examination reveals splinter hemorrhages and a new systolic murmur. Blood cultures are pending. What is the next best step in management? A) Start broad-spectrum antibiotics. B) Obtain 3 sets of blood cultures. C) Perform echocardiography. D) Prescribe prophylactic antibiotics.
B) Obtain 3 sets of blood cultures. Explanation: Blood cultures should always be obtained before starting antibiotics to improve diagnostic yield. Empiric antibiotics can be started after cultures are drawn.
38
A 60-year-old man with a history of aortic valve replacement presents with fever, chills, and confusion. Blood cultures grow Staphylococcus epidermidis. Echocardiography reveals a 1.5 cm vegetation on the prosthetic valve. What is the definitive treatment? A) High-dose vancomycin for 6 weeks. B) Rifampin for 4 weeks and gentamicin for 2 weeks. C) Surgical valve replacement. D) Amoxicillin for 6 weeks.
C) Surgical valve replacement. Explanation: Prosthetic valve endocarditis with large vegetations and systemic symptoms often requires surgical intervention in addition to antibiotics. Indications for aortic valve replacement in infective endocarditis include severe destruction of the valve, leading to aortic regurgitation and heart failure, persistent infection despite appropriate antibiotic treatment, and infections with difficult-to-treat pathogens (e.g., fungi, resistant organisms), among others. If a patient makes made a full recovery following antibiotic therapy and a repeat echocardiography shows only mild aortic regurgitation, surgery would not indicated.
39
A 32-year-old man presents with fever and hematuria. Blood cultures grow Enterococcus faecalis. What is the most likely predisposing factor, and how should this patient be managed? A) Recent dental procedure; treat with vancomycin. B) IV drug use; treat with ceftriaxone. C) Genitourinary manipulation; treat with ampicillin and gentamicin. D) Colon cancer; treat with ceftriaxone and doxycycline.
C) Genitourinary manipulation; treat with ampicillin and gentamicin. Explanation: Enterococcal endocarditis is often associated with genitourinary procedures or infections. The combination of ampicillin and gentamicin provides synergistic activity. Note: Ampicillin can be replaced with Penicillin G in this case. Note: Treatment regimen can be with Ampicillin and Ceftriaxone. Note: with penicillin resistance, treat with Vancomycin and Gentimicin.
40
A 28-year-old IV drug user presents with fever and a new systolic murmur. Transthoracic echocardiography (TTE) is inconclusive. What is the next best imaging study? A) Chest X-ray. B) CT scan of the chest. C) Transesophageal echocardiography (TEE). D) Repeat TTE in 48 hours.
C) Transesophageal echocardiography (TEE). Explanation: TEE is more sensitive than TTE for detecting vegetations and is the preferred imaging modality when TTE is inconclusive.
41
A 52-year-old man presents with a 2-week history of fever and malaise. Blood cultures grow Streptococcus viridans. Modified Duke Criteria are met for infective endocarditis. What is the standard antibiotic regimen for this patient? A) Vancomycin for 4–6 weeks. B) Ceftriaxone for 2 weeks. C) Penicillin G ± gentamicin for 4–6 weeks. D) Amoxicillin for 2 weeks.
C) Penicillin G ± gentamicin for 4–6 weeks. Explanation: Native valve endocarditis caused by Streptococcus viridans is typically treated with penicillin G, often combined with gentamicin for synergistic activity. Note: Viridans is the second most common cause of native valve infective endocarditis while S. aureus is the most common cause. Note: an alternative to these antibiotics is Vancomycin.
42
A 70-year-old man presents with a history of fever, a new murmur, and a petechial rash. Echocardiography shows a vegetation on the mitral valve. Blood cultures are negative after 48 hours. What is the most likely cause? A) Recent antibiotic use. B) Infection with HACEK organisms. C) Coxiella burnetii infection. D) Staphylococcus epidermidis.
A) Recent antibiotic use. Explanation: Negative blood cultures in infective endocarditis are commonly due to prior antibiotic use. **Rarely** fastidious organisms like HACEK or Coxiella burnetii can also cause culture-negative endocarditis.
43
Infective endocarditis secondary a HACEK organism (Haemophilus genus, Aggregatibacter actinomycetemcomitans, Cardiobacterium hominis, Eikenella corrodens, and Kingella kingae) is treated with ... ?
Ceftriaxone Alternatively: Cefepime, Ampicillin or Ciprofloxacin Note: use Ampicillin only if in vitro susceptibility has been proven.
44
What pathogens are most commonly implicated in Central line-associated bloodstream infection?
Staphylococci such as S. aureus account for the majority of cases of healthcare-associated infective endocarditis. Rapid progression and an acute onset of symptoms is usually S. aureus. Acute infective endocarditis due to S. aureus can quickly lead to complications such as valvular insufficiency, heart failure, and septic emboli. Therefore, in addition to removing the infected CVC, empiric antibiotic therapy (vancomycin plus beta-lactam for native valve endocarditis) should be initiated after obtaining blood cultures. Coagulase-negative staphylococci (e.g., S. epidermidis), S. aureus, enterococci, and Candida spp. are the organisms most commonly associated with CLABSI with a more insidious progression (weeks to months) with low-grade fever and nonspecific symptoms.
45
Is Streptococcus pneumoniae a common cause of infective endocarditis?
No. Streptococcus pneumoniae is a very rare cause of IE, although it is more commonly seen in patients with underlying conditions such as HIV, cirrhosis, asthma and diabetes mellitus.
46
What pathogen is the most common cause of subacute infective endocarditis?
Viridans streptococci (e.g. S. sanguinis, S. mutans, S. salivarius, S. mitis, and S. anginosus) are the most common cause of subacute infective endocarditis and generally infect individuals with preexisting damage to the heart valves, structural heart defects, or prosthetic valves. infective endocarditis due to infection with viridans streptococci typically occurs > 1 year after valve replacement (i.e., late-onset infective endocarditis). Subacute infective endocarditis, which is characterized by an insidious onset (weeks to months) and less severe constitutional symptoms (e.g., low-grade fever), is most commonly caused by viridans streptococci.
47
If blood cultures drawn from a patient with suspected infective endocarditis (with a prosthetic valve) confirm infection with methicillin-susceptible Staphylococcus epidermidis, what is the most appropriate pharmacotherapy?
Intravenous therapy with nafcillin and rifampin for at least 6 weeks in combination with gentamicin for 2 weeks is the treatment of choice for prosthetic valve infective endocarditis due to methicillin-susceptible staphylococci. Treatment with gentamicin is restricted to 2 weeks because the risk of renal toxicity increases with duration of therapy. Prosthetic valve infective endocarditis generally requires a longer duration than native valve infective endocarditis. Prosthetic valve infective endocarditis caused by methicillin-*resistant* staphylococci should be treated with an intravenous combination of vancomycin, rifampin, and gentamicin.
48
What is the treatment for Staphylococcus epidermidis infective endocarditis on a native valve?
Intravenous gentamicin and penicillin G are effective in the treatment of native valve infective endocarditis caused by penicillin-susceptible gram-positive cocci as long as there are no complications, such as perivalvular abscess. If the response to therapy is adequate (resolution of fever, chills), a 2-week course is sufficient.
49
What are the two forms of S. aureus in relation to infective endocarditis and how are they treated differently?
MSSA (Methicillin-susceptible) For native valve: Oxacillin, Nafcillin or Cefazolin For Prosthetic valves: Oxacillin or Nafcillin WITH Rifampin and Gentamicin MRSA (Methicillin-resistant) For native valve: Vancomycin For Prosthetic valves: Vancomycin WITH Rifampin and Gentamicin
50
What makes a pulmonary septic emboli secondary to Staphylococcus aureus more common than Roth spots, Janeway lesions, embolic arterial occlusion of the kidney, brain, and spleen?
Septic pulmonary embolism is a common and severe complication of right-sided infective endocarditis from the tricuspid valve in the heart and is caused by bacterial thromboemboli that form and dislodge into the lung. Patients present with cough, pleuritic chest pain, and nodular pulmonary infiltrates. While tricuspid valve infective endocarditis is rare, nonsterile injections (e.g., in individuals who use IV drugs) leading to bacteremia as well as indwelling intravascular devices increase the risk for this condition.
51
Osler nodes are more common in _____ infective endocarditis.
Osler nodes are more common in protracted infective endocarditis. Osler nodes typically occur in protracted cases of IE. These are painful nodules on the pads of the fingers as a result of circulating immune complex deposition in the skin and are a relatively rare but highly suggestive finding of IE.
52
What eye finding is associated with infective endocarditis?
Retinal hemorrhages with pale centers (i.e., Roth spots) are highly suggestive of IE. This is a rare finding.
53
What vascular symptom is associated with infective endocarditis?
Janeway lesions are typically caused by septic microembolisms secondary to infective endocarditis.
54
Why is gentamicin not a great antibiotic for the treatment of a HACEK organism (Haemophilus genus, Aggregatibacter actinomycetemcomitans, Cardiobacterium hominis, Eikenella corrodens, and Kingella kingae) ?
Gentamicin is effective against gram-negative bacteria including HACEK organisms. However, gentamicin is both nephrotoxic and ototoxic, and the risk of developing one or more of the side effects of gentamicin is considerably higher if used for longer than 2 weeks. Since antibiotic therapy would be indicated for a minimum duration of 4 weeks in the case of infective endocarditis caused by a HACEK organism, a different antibiotic regimen is preferred, such as ceftriaxone.
55
Is thrombolytic therapy recommended for septic emboli?
Thrombolytic therapy is not recommended for patients with infective endocarditis and embolic stroke because of the risk of cerebral hemorrhage. Empiric antibiotic treatment, which reduces the risk of recurrent embolism, should be initiated after collecting three sets of blood cultures. Moreover, evaluation of the brain with a noncontrast CT is indicated to rule out hemorrhage. Cardiothoracic surgery may be necessary for complicated infective endocarditis.
56
Echocardiographic evidence of infective endocarditis is generally collected with ... ?
Transthoracic echocardiography is typically performed first, since it is a much less invasive test.
57
Streptococcus pyogenes would be considered a typical or nontypical bacterial cause for infective endocarditis?
Non-typical. Streptococcus pneumoniae is also non typical.
58
Following Staphylococcus aureus, what is the second most common pathogen that causes Infectious endocarditis in IV drug users in immune compromised patients?
Candida species