Pneumothorax Flashcards

(35 cards)

1
Q

What are the two main types of pneumothorax?

A

A pneumothorax occurs whenever there is an accumulation of air in the pleural space, leading to lung collapse. The two overarching types are spontaneous (including primary and secondary) and traumatic (including iatrogenic causes).

How well did you know this?
1
Not at all
2
3
4
5
Perfectly
2
Q

What are the risk factors for primary spontaneous pneumothorax?

A

Tall, thin males, smoking, Marfan syndrome, subpleural bleb rupture.

How well did you know this?
1
Not at all
2
3
4
5
Perfectly
3
Q

What is the most common cause of primary spontaneous pneumothorax?

A

Rupture of subpleural blebs in tall, thin young males.

How well did you know this?
1
Not at all
2
3
4
5
Perfectly
4
Q

What are common causes of secondary spontaneous pneumothorax?

A

COPD, cystic fibrosis, tuberculosis, lung cancer, necrotizing pneumonia.

How well did you know this?
1
Not at all
2
3
4
5
Perfectly
5
Q

What is the most common cause of secondary spontaneous pneumothorax?

A

COPD with rupture of emphysematous bullae.

How well did you know this?
1
Not at all
2
3
4
5
Perfectly
6
Q

What are some iatrogenic causes of pneumothorax?

A
  • Central line placement
  • Thoracentesis
  • Mechanical ventilation
  • CPR
  • Lung biopsy
How well did you know this?
1
Not at all
2
3
4
5
Perfectly
7
Q

What are traumatic causes of pneumothorax?

A

Blunt or penetrating chest trauma, rib fractures, barotrauma from mechanical ventilation.

How well did you know this?
1
Not at all
2
3
4
5
Perfectly
8
Q

What are the symptoms of pneumothorax?

A

Acute onset ipsilateral pleuritic chest pain, dyspnea, and cough. The trachea doesn’t get displaced significantly in pneumothorax, this is mainly a feature of tension pneumothorax.

How well did you know this?
1
Not at all
2
3
4
5
Perfectly
9
Q

What are the physical exam findings in pneumothorax?

A

Decreased breath sounds, hyperresonance to percussion, and decreased tactile fremitus.

How well did you know this?
1
Not at all
2
3
4
5
Perfectly
10
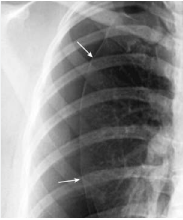
Q

What is the first-line imaging for diagnosing pneumothorax?

A

Chest X-ray showing absent lung markings and a visible pleural line.

How well did you know this?
1
Not at all
2
3
4
5
Perfectly
11
Q

What is the most sensitive imaging modality for pneumothorax?

A

Chest CT (detects small pneumothoraces that may be missed on X-ray).

How well did you know this?
1
Not at all
2
3
4
5
Perfectly
12
Q

How are small pneumothoraces (<2.5 cm) managed?

A

Observation with supplemental oxygen (increases air resorption).

How well did you know this?
1
Not at all
2
3
4
5
Perfectly
13
Q

How are large pneumothoraces (>2.5 cm) or unstable patients managed?

A

Needle decompression followed by chest tube placement.

How well did you know this?
1
Not at all
2
3
4
5
Perfectly
14
Q

What is the recommended intervention for patients on mechanical ventilation with suspected pneumothorax?

A

Immediate needle decompression followed by chest tube placement to prevent tension pneumothorax.

How well did you know this?
1
Not at all
2
3
4
5
Perfectly
15
Q

Where is the chest tube placed for spontaneous (nontraumatic) pneumothorax?

A

Within the triangle of safety
- Above the 5th intercostal space (inferior boundary)
- Between the lateral edges of the latissimus dorsi pectoralis major at the midaxillary line
- The superior boundary is at the base of the axilla

How well did you know this?
1
Not at all
2
3
4
5
Perfectly
16
Q

When performing a needle decompression or chest tube, what important anatomical structure needs to be avoided?

A

Neurovascular bundles, these are located at the lower edge of each rib. Therefore, the needle/tube must be placed over the upper edge of the rib to avoid damage to the neurovascular bundle.

17
Q

What KEY lab values should be known prior to placing a chest tube?

A

PLT count (should be greater than 50 K) and INR (should be 1.5 seconds or less).

18
Q

What is tension pneumothorax?

A

A life-threatening condition where accumulating air creates high intrapleural pressure, leading to lung collapse and hemodynamic compromise.

19
Q

What imaging finding suggests a tension pneumothorax?

A

Mediastinal shift and tracheal deviation away from the affected lung.

20
Q

How does tracheal deviation occur in pneumothorax?

A

In tension pneumothorax, trachea deviates away (contralateral) from the affected lung due to increased pressure.

21
Q

What is the imaging modality for tension pneumothorax?

A

Bedside ultrasonography can be rapilly performed and has high sensitivity and specificity for pneumothorax. It has become the test of choice for evaluation of tension pneumothorax in the acute setting (eg, trauma bay, intensive care unit). Ultrasound has a high sensitivity and specificity (both >90%) for pneumothorax and allows for diagnostic evaluation without transporting a critically ill patient, and can be more rapidly performed than chest x-ray or CT scan.

22
Q

In terms of imaging, what would justify an X Ray versus an ultrasound, to diagnose a pneumothorax?

A

An upright posteroanterior chest x-ray has high sensitivity for detecting pneumothorax; it is the initial test of choice when there is suspicion for pneumothorax in the nonacute setting (low risk of tension physiology). However, in the acute setting, where rapid decompensation from tension pneumothorax is possible, upright chest x-ray is not appropriate. In addition, posteroanterior chest x-ray requires standing, which may not be possible in some patients (e.g. with pelvic fracture). Additionally, expiratory chest x-rays do not provide additional sensitivity compared to inspiratory chest x-rays; therefore, inspiratory chest x-rays are generally used when evaluating for pneumothorax. A portable supine anteroposterior chest x-ray can be quickly obtained in the acute setting; however, the sensitivity for detecting pneumothorax is estimated at ~50%, far below that for bedside ultrasonography. It is an acceptable alternative when relatively rapid confirmation of pneumothorax is needed and bedside ultrasonography is unavailable.

23
Q

What are the findings needed to definitively diagnose tension pneumothorax on ultrasound?

A

Ultrasonography allows visualization of the parietal and visceral pleura; inability to detect lung sliding, the 2 pleural layers moving against one another during respiration, is consistent with pneumothorax. Visualization of sliding is enough to out pneumothorax (99-100% negative predictive value). The inability to see lung sliding is not sufficient to rule in pneumothorax (lack of sliding could be from an emphysematous bleb, pleurodesis, or infection from pneumonia). To rule in pneumothorax on ultrasound, what is required is visualization of the lung point, the boundary between air and the visceral pleura (with the exception being a complete pneumothorax).

24
Q

For patients with suspected tension pneumothorax, is imaging required?

A

In patients for whom tension pneumothorax is highly suspected (eg, chest trauma with hypotension, tracheal deviation), diagnostic confirmation is not needed and urgent treatment can be given with needle decompression or chest tube placement.

25
What are the key clinical features of tension pneumothorax?
Severe respiratory distress, tracheal deviation, **hypotension**, jugular venous distension, and absent breath sounds.
26
Why does tension pneumothorax cause obstructive shock?
Increased intrathoracic pressure compresses the vena cava, decreasing venous return and cardiac output.
27
How does tension pneumothorax affect central venous pressure (CVP)?
Increases due to impaired venous return.
28
How does tension pneumothorax affect pulmonary capillary wedge pressure (PCWP)?
Decreases due to decreased left atrial filling.
29
How does tension pneumothorax affect cardiac output?
Decreases due to impaired venous return and ventricular filling.
30
How does tension pneumothorax affect systemic blood pressure?
Decreases, leading to hypotension and shock.
31
What is the immediate treatment for tension pneumothorax?
Emergent needle thoracostomy in the 2nd intercostal space at the midclavicular line.
32
This is observed along with dys-synchronous respirations that occurred suddenly with a patient on a ventilator. Oxygen saturation dropped to 85%, the tidal volume spontaneously decreases from 350 to 200 mL, and the patient's temperature is 37.2 C (99 F), blood pressure is 125/60 mm Hg, pulse is 110/min, and respirations are 25/min. The physical examination shows that the trachea is midline and the endotracheal tube is in place. There is no jugular venous distension and breath sounds are markedly decreased on the right side. Does this patient require a needle decompression?
Needle decompressions are appropriate emergency treatment of a **tension pneumothorax** in a patient in whom cardiac arrest is imminent. A needle decompression must always be followed by chest tube placement for definitive management. Therefore, placement of a chest tube is more appropriate in this patient who has not yet developed tension physiology.
33
When performing a needle thoracostomy, what important anatomical structure needs to be avoided?
Neurovascular bundles are located at the lower edge of each rib. Therefore, the needle must be placed over the upper edge of the rib to avoid damage to the neurovascular bundle.
34
What is the risk of recurrence for spontaneous pneumothorax?
30% within 1 year; higher in smokers and those with underlying lung disease.
35
What is the definitive treatment for recurrent pneumothorax?
Pleurodesis (chemical or surgical adhesion of pleural layers).