Peritonitis Flashcards

(27 cards)

1
Q

Inflammation of the peritoneum is called …?

A

Peritonitis. This is classified as primary, secondary, or tertiary based on etiology.

How well did you know this?
1
Not at all
2
3
4
5
Perfectly
2
Q

The presence of air or gas within the peritoneal cavity, often indicating gastrointestinal tract perforation is called … ?

A

Pneumoperitoneum this is a medical emergency and requires emergent surgical intervention.

How well did you know this?
1
Not at all
2
3
4
5
Perfectly
3
Q

Why is pneumoperitoneum considered a surgical emergency?

A

Pneumoperitoneum suggests gastrointestinal perforation, leading to bacterial contamination of the peritoneal cavity, causing peritonitis and sepsis, necessitating emergent surgical intervention.

How well did you know this?
1
Not at all
2
3
4
5
Perfectly
4
Q

What initial steps should be taken in a patient with suspected peritonitis or pneumoperitoneum?

A

Perform an ABCDE assessment to determine stability, provide supplemental oxygen, obtain IV access, and monitor hemodynamics. If stable, proceed with history, physical exam, and imaging.

How well did you know this?
1
Not at all
2
3
4
5
Perfectly
5
Q

What is the acute management for an unstable patient with peritonitis?

A

Acute Management
- Stabilize airway, breathing, circulation
- Establish IV access
- Provide supplemental O2
- Continuous vital sign monitoring
- Emergent surgical intervention

How well did you know this?
1
Not at all
2
3
4
5
Perfectly
6
Q

What are the concerning physical exam findings observed in a patient with peritonitis?

A

Subjective: Severe abdominal pain, nausea & vomiting, bowel changes, fever, chills, generalize malaise.
Objective: Abdominal distention, tenderness, rigidity, rebound, guarding, decreased or absent bowel sounds.

How well did you know this?
1
Not at all
2
3
4
5
Perfectly
7
Q

What is the next step after ruling out pneumoperitoneum in a patient with suspected peritonitis?

A

Obtain a full set of labs (CBC, CMP, LFTs, lactate, lipase, amylase) and an abdominal/pelvic CT scan to determine the etiology.

How well did you know this?
1
Not at all
2
3
4
5
Perfectly
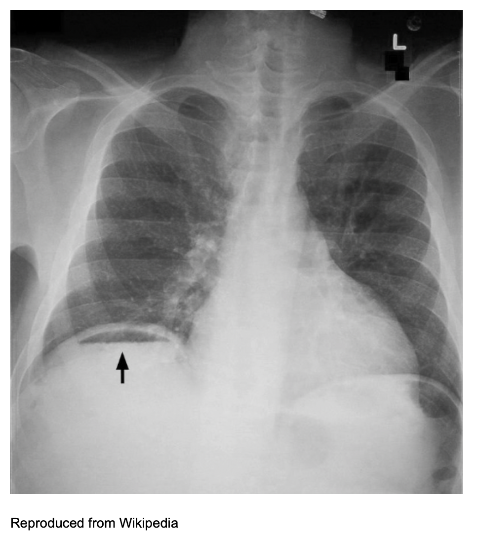
8
Q

What imaging modality is used to diagnose pneumoperitoneum?

A

An upright chest or three-view abdominal x-ray is used to detect air under the diaphragm, which is pathognomonic for pneumoperitoneum.

How well did you know this?
1
Not at all
2
3
4
5
Perfectly
9
Q

What are the CT findings of primary peritonitis?

A

Free fluid in the abdomen with no evidence of gastrointestinal perforation.

How well did you know this?
1
Not at all
2
3
4
5
Perfectly
10
Q

What are the key differentiating factors between pneumoperitoneum and peritonitis?

A

Pneumoperitoneum is diagnosed radiologically (air under diaphragm), while peritonitis is a clinical diagnosis with supporting laboratory and imaging findings in the absence of pneumoperitoneum.

How well did you know this?
1
Not at all
2
3
4
5
Perfectly
11
Q

When the index of suspicion is high for a peritonitis (rebound tenderness, rigidity, or guarding) in a female of reproductive age, what is the next best step in diagnosis if the CXR is negative?

A

A negative CXR rules out pneumoperitoneum (a medical emergency). Even if an ultrasound is available, it is not the best form of imaging (even for a female of reproductive age and pending labs) in the context of peritonitis. The best form of imaging is with abdominal CT to classify the type of peritonitis.

How well did you know this?
1
Not at all
2
3
4
5
Perfectly
12
Q

What are the clinical features of a perforated peptic ulcer?

A
  • This is common in patients with a risk factor in their history, such as GERD.
  • The presentation is usually with an acute onset of postprandial epigastric pain or the inability to lie supine.
  • Requires emergent surgical intervention.
How well did you know this?
1
Not at all
2
3
4
5
Perfectly
13
Q

A 56-year-old man is brought by ambulance to the emergency department with altered mental status. The patient was found down by his wife this morning and was unable to be aroused. The wife reports that the patient had been complaining of upper abdominal pain for the past several days and also noted that his stool appeared darker. Past medical history is significant for alcohol use disorder, peptic ulcer disease, hypertension, diabetes type 2, and a 10-pack-year smoking history. Temperature is 37.8 °C (100.0 °F), pulse is 131/min, blood pressure is 101/77 mmHg and respirations are 22/min, and oxygen saturation is 78% on room air. On physical examination the patient is ill-appearing, with altered mental status, and cool and clammy extremities. He responds only to painful stimuli. The patient has abdominal distension, diffuse abdominal tenderness, rebound and guarding on abdominal exam. IV access has been obtained, supplemental oxygen has been provided, and intravenous fluids are being administered. Which of the following is the best next step in management?

A

Peritonitis refers to the inflammation of the peritoneum. It presents with a distended, rigid abdomen, with rebound, guarding, and diffuse abdominal tenderness. It may be seen with a perforated viscus. In addition to being caused by a significant intra-abdominal process like perforation, it can be seen with intra-abdominal bleeding, anastomotic leak, and gross spillage from the gastrointestinal tract. Depending on the cause of peritonitis it can be classified as primary, secondary, and tertiary. This critically ill patient presents with signs and symptoms suggestive of peritonitis which may be secondary to a perforated gastric ulcer. He has profound hypoxia and altered mental status making him unable to protect his airway. Given the unstable nature of this patient’s airway the best next step in management is rapid sequence intubation. Any patient presenting with peritonitis with an acute abdomen should have pneumoperitoneum ruled out with upright chest radiograph or abdominal radiograph because the presence of air or gas within the peritoneal cavity, is considered a surgical emergency because it often indicates perforation in the gastrointestinal tract. The acute management of patients presenting with pneumoperitoneum and/or peritonitis involves the rapid assessment of the airway, breathing, and circulation. Patients with evidence of airway compromise, or significant vital sign derangements should receive the appropriate interventions prior to obtaining a further diagnostic evaluation. Stable patients should have a full history obtained and a thorough physical examination performed. Surgery should be called for an emergent consultation.

How well did you know this?
1
Not at all
2
3
4
5
Perfectly
14
Q

What are the clinical features of perforated appendicitis?

A

Several days of worsening periumbilical or right lower quadrant pain in an otherwise healthy young patient. Requires emergent surgical intervention.

How well did you know this?
1
Not at all
2
3
4
5
Perfectly
15
Q

What are the clinical features of perforated diverticulitis?

A

Progressive left lower quadrant pain in a middle-aged or older patient with a history of diverticulosis and chronic constipation. Requires emergent surgical intervention.

How well did you know this?
1
Not at all
2
3
4
5
Perfectly
16
Q

How does gastrointestinal malignancy present as a cause of peritonitis?

A

Patients, typically older than 60, present with anorexia, unintended weight loss, fatigue, and a personal or family history of cancer or a significant smoking history. Requires emergent resection and colostomy/ileostomy with pathology confirmation.

17
Q

How can small bowel perforation occur secondary to small bowel obstruction?

A

Proximal bowel dilation leads to ischemia and necrosis, resulting in perforation. Presents with bilious vomiting, oral intake intolerance, and bowel changes (constipation, obstipation, or overflow diarrhea). Requires emergent surgery.

18
Q

When considering peritonitis, but perforation is not evident, what are the differentials and how is this worked up?

A
  • Primary peritonitis: SBP, peritoneal dialysis-associated peritonitis, peritoneal carcinomatosis, peritoneal endometriosis.
  • Secondary peritonitis: appendicitis, diverticulitis, IBD, cholecystitis.
  • Tertiary peritonitis: Postoperative peritonitis

The diagnostic labs that are required include: CBC, CMP, LFTs. lactate, amylase and lipase.

19
Q

What do all causes of primary peritonitis have in common on imaging, and how does this change the management?

A

GI tract is intact but these is obvious fluid in the abdomen. A paracentesis will been needed to evaluate SAAG.

20
Q

How is spontaneous bacterial peritonitis (SBP) diagnosed?

A

Paracentesis showing a serum-ascitic albumin gradient (SAAG) ≥1.1, WBC elevation with neutrophilic predominance, high protein, low glucose, and positive single-pathogen culture.

21
Q

How does peritoneal dialysis-associated peritonitis present?

A

Patients on peritoneal dialysis report increased resistance during fluid inflow, decreased fluid output, and cloudy peritoneal fluid with polymicrobial growth. The SAAG will be less than 1.1.

22
Q

What are the clinical and diagnostic findings of peritoneal carcinomatosis?

A

Anorexia, weight loss, and fatigue in patients with a cancer history. CT may show peritoneal seeding. Paracentesis reveals lymphocytic dominance and malignant cells on cytology. The SAAG will be less than 1.1.

23
Q

How is peritoneal endometriosis diagnosed?

A

This condition is suspected in biologically female patients of reproductive age with cyclical abdominal pain and distension. The choice imaging is with abdominal CT showing fluid in the peritoneum. After the paracentesis is performed, the SAAG will be less than 1.1. Diagnosis is confirmed via diagnostic laparoscopy with biopsy showing endometrial tissue.

24
Q

What is secondary peritonitis?

A

Secondary peritonitis refers to peritonitis caused by peritoneal infections secondary to intra abdominal lesions, such as perforation of hollow viscus, bowel necrosis, nonbacterial peritonitis, or penetrating infectious processes. Inflammation and infection of the peritoneum due to gastrointestinal perforation or transmural infection, often diagnosed with CT showing bowel wall thickening or abscess.

25
What is tertiary peritonitis?
A postoperative inflammatory process following abdominopelvic surgery, usually self-limiting and expectantly managed unless complications arise.
26
How is tertiary peritonitis managed?
These patients have had a recent abdominopelvic operation or preoperative intra-abdominal infection. The abdominal CT will usually reveal expectant postoperative inflammatory changes, with no new signs of infection (fluid collection, abscess, phlegmon). The treatment is usually supportive.
27
What are the key differences between primary, secondary, and tertiary peritonitis?
- Primary peritonitis results from bacterial seeding (SBP, peritoneal dialysis associated peritonitis, or malignancy). - Secondary peritonitis is due to GI tract pathology (appendicitis, diverticulitis, IBD, cholecystitis). - Tertiary peritonitis occurs postoperatively.