Appendicite Flashcards

(42 cards)

1
Q

Aspect appendicite en histo pathologie

A

Histologiquement, les couches sont les mêmes que dans le reste du tube digestif : muqueuse, sous-muqueuse, musculeuse, sous-séreuse, séreuse.

La particularité est la présence de nombreux follicules lymphoïdes dans la sous-muqueuse, l’appendice étant un organe lymphoïde

How well did you know this?
1
Not at all
2
3
4
5
Perfectly
2
Q

Aspect imagerie abcès appendiculaire

A
  • Echo ou surtout TDM
  • Collection liquidienne dans région appendiculaire, entourée d’une coque prenant contraste
  • Avec réaction inflammatoire des mésos et des organes ajdacents, un iléus réflexe
How well did you know this?
1
Not at all
2
3
4
5
Perfectly
3
Q

Aspect TDM appendicite dite typique

A
  • Augmentation taille appendice et paroi
  • Infiltration graisse du méso appendice
  • Présence éventuelle stercolithe
  • Présence éventuelle complication
How well did you know this?
1
Not at all
2
3
4
5
Perfectly
4
Q

Aspect échographique appendicite dite typique

A
  • Diamètre appendice >8mm
  • Paroi appendiculaire >3mm
  • Aspect en cocarde
  • Épanchement ou abcès périappendiculaire
  • Stercolithe appendiculaire
How well did you know this?
1
Not at all
2
3
4
5
Perfectly
5
Q

Caractéristique appendicite forme mésocoeliaque

A
  • Appendice située au milieu anses digestives
  • Iléus réflexe dans contexte fébrile
  • Occlusion + fièvre
  • Imagerie pas facile car iléus
  • Tableau clinique importe intervention urgente
How well did you know this?
1
Not at all
2
3
4
5
Perfectly
6
Q

caractéristique diverticule meckel

A
  • Diverticule taille variable, sur bord antimésentérique de l’iléon terminal en regard terminaison artère mésentérique supérieure
  • Peut contenir muqueuse gastrique ectopique
  • Presque toujours asymptomatique, peut se compliquer avec douleurs FID, souvent intenses et début brutal, dans contexte fébrile
  • Signes péritonéaux rares au début
  • Diagnostic évoqué en imagerie, confirmé souvent en peropératoire
How well did you know this?
1
Not at all
2
3
4
5
Perfectly
7
Q

Caractéristique torsion frange épiploique (diag diff appendicite)

A
  • Peut mimer sd appendiculaire quand elle interesse colon droit
  • Douleur FID souvent brutal
  • Signes péritonéaux en FID
  • Absence signes infectieux
  • Sd inflammatoire sans hyperleucocytose
  • Echo > TDM : appendice N et formation arrondie en cocarde appendue au colon et contact du péritoine
  • TT : AINS, si doute ou non amélioration en 12H > exploration chirurgicale
How well did you know this?
1
Not at all
2
3
4
5
Perfectly
8
Q

Caractéristiques adénolymphite mésentérique (diag diff appendicite)

A
  • Cause 1ère tableau pseudo appendiculaire enfant
  • ATCD récent rhino pharyngite
  • Fièvre >39°C
  • Douleur FID sans défense
  • Echo ou TDM : élimine appendicite et montre adénopathies multiples et volumineuses du mésentère derrière anse iléale
How well did you know this?
1
Not at all
2
3
4
5
Perfectly
9
Q

Caractéristiques appendicite femme enceinte

A
  • T1 : situation semblable à pop° générale
  • Ensuite appendice refoulé par utérus gravide vers hypochondre D où siégent les douleurs
  • Les signes péritonéaux sont souvent absents en raison situation plus profonde de l’appendice, avec diag cholecystite évoqué
  • Echographie : aide essentielle au diag
How well did you know this?
1
Not at all
2
3
4
5
Perfectly
10
Q

Caractéristiques appendicite forme retro caecale

A
  • Appendice située arrière caecum et avant muscle psoas
  • douleurs lombaires droites
  • position antalgique en psoitis (cuisse droit fléchie sur tronc)
  • Pas de défense en FID
  • On cherche une douleur provoquée en FID avec patient décubitus dorsal qui soulève ambe droite du plan du lit
  • Diagnostic confirmé au scanner
How well did you know this?
1
Not at all
2
3
4
5
Perfectly
11
Q

Caractéristiques appendicite forme sous hépatique

A
  • Similaire cholécystite aigue
  • Douleurs hypochondre droit
  • Fièvre, défense
  • Échographie élimine cholécystite
How well did you know this?
1
Not at all
2
3
4
5
Perfectly
12
Q

Caractéristiques appendicite nourisson

A
  • Evolution vers perforation et péritonite généalisée rapide
  • tableau souvent trompeur
  • Agitation, insomnie, anorexie, diarrhée
  • T°C souvent élevée et état rapidement altérée avec signes déshydratation
How well did you know this?
1
Not at all
2
3
4
5
Perfectly
13
Q

caractéristiques appendicite sujet âgé

A
  • Douleur et réaction péritonéale moins marquées que chez sujet jeune
  • Diag souvent porté au stade appendicite gagngréneuse, voire abcès
  • Diag diff : tumeur colique droite
How well did you know this?
1
Not at all
2
3
4
5
Perfectly
14
Q

Caractéristiques plastron appendiculaire

A
  • Définition : Péritonite localisée
  • Douleurs : FID assez diffuses avec sensation empâtement douloureux
  • Peau en regard FID : rouge, chaude
  • Palpation : recherche masse douloureuse, mal limitée, de la FID
  • Reste abdomen : souple, indolore, sans défense
  • Sd infectieux marqué : fièvre >38,5°C et hyperleucocytose marquée
  • Imagerie : TDM injecté
How well did you know this?
1
Not at all
2
3
4
5
Perfectly
15
Q

Caractéristiques TDM plastron appendiculaire

A
  • Masse FID engainant anses grêles avec signes inflammatoires très importants
How well did you know this?
1
Not at all
2
3
4
5
Perfectly
16
Q

Caractéritiques abcès appendiculaire

A
  • Complication appendicite suppuruée ou inaugurale
  • Douleur localisée, peut être diffuse ou postérieure, parfois pulsatile
  • Ilésu réflexe
  • Fièvre élevée >39°C en plateau, sans frissons
  • Examen : éventuelle masse douloureuse FID, reste abdomen souple et indolore
  • État génral altéré, traits marqués
  • Hyperleucocytose importe >15000/mm3
  • Echo ou surtout TDM
How well did you know this?
1
Not at all
2
3
4
5
Perfectly
17
Q

Caractéritiques appendicite forme pelvienne

A
  • Douleurs région hypogastrique D au premier plan
  • Souvent fébricule
  • Parfois signes urinaires : poallkiurie, dysurie
  • Ou signes rectaux : ténesme, faux besoins
  • Douleur provoquée voire défense hypogastrique
  • Douleur lat droite TR
  • BU, ECBU éliminent cause urinaire
  • Examen gynéco + échographie éliminent affection gynéco
18
Q

Caracéristiques péritonite généralisée dans contexte appendicite

A
  • Douleur commence FID, début progressif
  • Fièvre >38,5°C, hyperleucocytose marquée
  • Pas de pneumopéritoine
  • Examen physique : signes péritonéaux comme contractures, défense généralisée, douleur intense TR lors palpation cul de sac Douglas
  • Devant ce tableau typique : pas d’imagerie > intervention en urgence après courte réanimation et ATB
19
Q

Citer diagnostic différentiel d’appendicite en lien avec affections intra abdominales

A
  • Adénolymphite mésentérique
  • Torsion frange épiploique
  • Gastroentérite
  • Diverticule de Meckel
  • Autres : diverticulite colon droit, diverticule sigmoide, Crohn iléocolique, tuberculose iléo caecale, sarcoidose, tumeur carcinoide appendice, invagination intestinale
20
Q

Citer formes anatomiques appendicite

A
  • Appendicite pelvienne
  • Appendicite sous hépatique
  • Appendicite rétrocaecale
  • Appendicite mésocoeliaque
21
Q

Citer formes compliquées appendicite

A
  • Abcès appendiculaire
  • Plastron appendiculaire
  • Péritonite généralisée
22
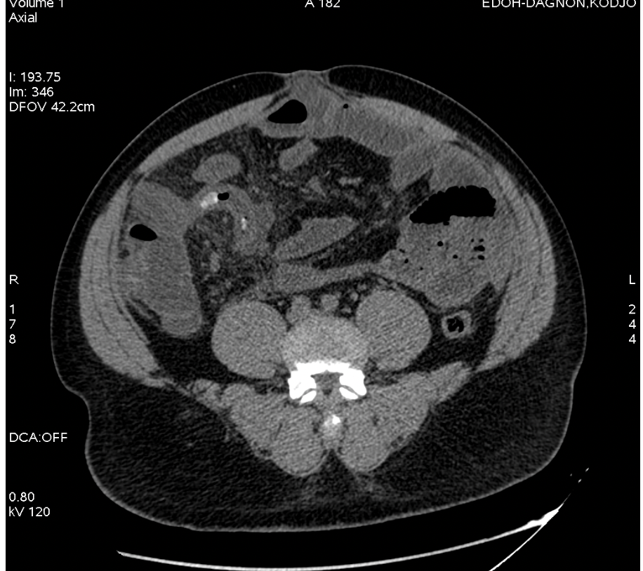
Q

Commenter image

23
Q

Complications moins fréquentes appendicite ?

A

Occlusion fonctionnelle : par iléus réflexe /ou mécanique sur iléite réactionnelle sténosante
Abcès hépatiques (par drainage de la veine porte)
Pyléphlébite : thrombose septique du tronc porte (par drainage de la veine porte : rare et de diagnostic tardif)
Perforation

24
Q

Complications postopératoires appendicetomie

A
  • Iléus prolongé
  • Hématome ou abcès paroi
  • abcès cul de sac de Douglas ou péritonie postopératoire par lâchage moignon appendiculaire
  • Compliations non spé extra abdo : anesthésique, infection urinaire, veinite, thromboembolique
  • A distance: occlusions sur brides ou éventrarions sur Mc Bruney ou origice de trocart
25
Diagnostic différentiel appendicite : affection extra abdominale
1) Affections gynéco femme jeune - Salpingite : douleurs hypogastrique + sd infectieux > écho pelvienne - Torsion annexe, GEU, ovulation douloureuse, endométriose : sd infectieux bio ou clinique alors absent > écho pelvienne en urgence 2) Affections urinaires - PNA D : douleurs lombaires et FID avec sd infectieux; signes urinaires, BU, ECBU, Echo éventuelle
26
Diagnostic positif clinique appendicite aigue typique
- Douleur+++: localisée en fosse iliaque droite (FID). Parfois, elle a débuté au niveau de l'épigastre ou périombilicale+++ et a migré ensuite. De début brutal, continue, pas d'irradiation, intensité progressive et croissante. - Signes digestifs : Nausées > Vomissements > Diarrhées possibles ``` - Etat général : conservé, fièvre entre 37,5 et 38,5°C, accélération du pouls. La moitié des patients sont apyrétiques. La langue est saburrale (recouverte d'un enduit blanc-jaunâtre) dans 30 % des cas. ``` - Palpation de l'abdomen : * Défense++ ou douleur provoquée à la palpation de la FID. Maximale au point de McBurney + Le signe de Blumberg (douleur à la décom- pression brutale de la FID) + le signe de Roswing (douleur à la décompression de la FIG) ou le heel drop test (douleur abdo- minale lors du contact des talons sur le sol après avoir été placé sur la pointe des pieds) signent également une irritation péritonéale. * Défense du flanc: sa présence évoque fortement une appendicite latéro-crecale. Son absence n'élimine pas le diagnostic • Touchers pelviens: typiquement, ils retrouvent une douleur latéro-rectale droite.
27
Diamètre appendice patho chez enfant ?
>6mm
28
Examens paracliniques diagnostic positif appendicite aigue dite typique
- NFS : hyperleuco >10000/mm3 à PNN - CRP >8mg/ml - BU négative - Dosage B hcg - Echographie : 1ère intention - Scanner abdominal : examen complémentaire de référence pour toute urgence abdominale si doute, 1ère intention chez suejt âgé
29
Physiopathologie infection appendiculaire
- Provoquée par obstruction lumière appenice par un obstacle - Endoluminal : stercolithe, ascaris... - Pariétal : hyperplasie lymphoide, tumeur - Caecal > Pullulation microbienne localisée et lésions muqueuses puis pans pariétales associant infiltrat inflammatoire à des lésions infectieuses et ischémique
30
Qu'est ce que le muccocèle appendiculaire ?
Le mucocèle appendiculaire est une dilatation de l'appendice par accumulation de liquide dans sa lumière. Parfois bénin il peut parfois etre le siège d'une cystadénome mucineux voire d'un cystadénocarcinome. > Diag différentiel appendicite
31
Quel diagnostic différentiel d'appendicite est très important à connaitre avant appendicetomie du fait de sa fréquence?
- Maladie Crohn iléocolique | - Existence sd diarrhéique parfois signs extradigestifs peut orienter
32
Quel est le signe scannographique le plus spé d'appendicite ?
INFILTRATION GRAISSE PERI APPENDICULAIRE
33
Quelle est la position la plus courante appendice ?
latéro caecale, discretement retro caecale
34
Quelle est la proportion de tumeur retrouvée sur pièce appendicectomie pour appendicite ? Quels types ?
Une tumeur est retrouvée dans 0.5% des pièces d'appendicectomie. Le plus souvent il s'agit de tumeurs neuro-endocrines, localisées le plus souvent au niveau de la pointe appendiculaire (partie distale). Les adénocarcinomes, adénomes et lymphomes sont possibles mais bcp plus rares
35
Quels sont les cas où la chirurgie est programmée à froid ?
Appendicite compliquée avec abcès de grande taille => Drainage sous scanner ou échographie + ATB Appendicite compliquée avec plastron appendiculaire => ATB Dans ces cas la chirurgie d'appendicectomie à lieu à froid à distance de l'épisode aigu
36
Quels sont les deux types inflammatoire possible dans appendicite ?
- Appendice inflammatoire/catharrhal : congestion appendice + dilatation vaisseaux séréuse - Appendicite suppurée : surfinfection avec appendice recouverte fausses membranes
37
Symptomatologie appendicite méso coeliaque ?
L'appendicite méso-coeliaque réalise un tableau d'occlusion grélique fébrile : Douleurs abdominales diffuses Arrêt des matières et des gaz Vomissement et nausées
38
Traitement abcès appendiculaire
- Drainage en urgence le plus souvent abord chir associée à appendicectomie - Si abcès volumineux : drainage percutané radiologique puis appendicetimie 2 à 4 mois plus tard
39
Traitement appendicite aigue non compliquée
- base traitement toute appendicite aigue compliquée ou non - À jeun, voie d'abord veineuse pour hydratation et correction éventuels tr hydroéléctrolytiques et perf antalgiques, antispasmodiques - Visite anesth urgente - Appendicetomie dès que possible par laparotomie (incision de Mc burney) ou coelisocopie - ATBprophylaxie en peropératoire - Prélèvements bactériologiques si épanchement louche ou purulent - Pièce appendicteomie envoyée en anapath - Reprise alimentation le lendemain, sortie 3è J si tout est ok
40
Traitement plastron appendiculaire
- ATB IV - Hospitalisation - Si évolution vers sédation symptomes cliniques et bio : appendicetomie programmée ultérieurement - si absence tt ou inefficace : évolution vers abcédation en général
41
Traitement péritonite appendiculaire
- Urgence chir - ATB parentérale - Appendicectomie + lavage abondant cavité péritonéale - Coelioscopie possible - ATB poursuive 5 à 7J
42
Éléments sémiologiques de bonnes valeur diagnostic appendicite dite plus difficile (HAS 2012)
1) Peu probable - Douleur abdominale évocatrice appendicite + absence défense FID + absence leucoytose + absence CRP >8mg/L 2) très probable - Douleur abdominale évocatrice + défense FID + leucocytose + CRP >8mg/L chez jeune homme 3) A noter - Devant douleur abdo aucun paramètre clinique (y compris fièvre/apyrexie) ne peut affirmer ou exclure diagnostic appendicite - Idem pour paramètre bio : leuco, PNN, CRP > Faire scanner