ARTRITES Flashcards

(21 cards)

1
Q

DIAGNÓSTICO GOTA

CRISTAIS?

CARACTERISTICA NA LUZ POLARIZADA?

A

punção articular

Urato monossódico (formato de agulha)

forte birrefringência negativa

How well did you know this?
1
Not at all
2
3
4
5
Perfectly
2
Q

PSEUDOGOTA CRISTAIS

CARACTERISTICA NA LUZ POLARIZADA?

A

PIROFOSFATO DE CALCIO

CRISTAIS ROMBOÉDRICOS COM birrefringência FRACAMENTE POSITIVA

PPP:
Pseudogota - Pirofosfato - Positiva

How well did you know this?
1
Not at all
2
3
4
5
Perfectly
3
Q

TTO PSEUDOGOTA É SEMELHANTE A CRISE DE GOTA

A

VERDADEIRO

AINE
COLCHICINA
COITICOIDE INTpRA-ARTICULAR

TTO GOTA CAOS REFRATÁRIOS:

  • ANAKINRA
    ANTI IL-1
  • canaquinumabe
How well did you know this?
1
Not at all
2
3
4
5
Perfectly
4
Q

ARTRITE ENTEROPÁTICA

DOENÇA INFLAMATÓRIA INTESTINAL

EVITAR:

PREFERIR:

A

EVITAR:
- ANTI-IL17
- ETANERCEPT (anti-TNF)

PREFERIR:
- Sulfassalazina
- Infliximab

How well did you know this?
1
Not at all
2
3
4
5
Perfectly
5
Q

ESPONDILITE ANQUILOSANTE TTO

A

CRISE: AINE (indometacina), pode ser em associação

x OBS: CORTICOIDE SEM BENEFÍCIO !!!!

x Anti-TNF: INFLIXIMABE, ETANERCEPT, ADALIMUMABE E GOLIMUMABE

x INIBIDORES IL-17: SECUQUINUMABE, IXEQUIZUMABE

x INIBIDORES JAK: TOFACITINIBE, BARICITINIBE, UPADACITINIBE

x SULFASSALAZINA: POUCO BENEFÍCIO

x MTX: maior benefício na atividade periaférica

How well did you know this?
1
Not at all
2
3
4
5
Perfectly
6
Q

ARTRITE GOTOSA

NA CRISE DE GOTA

CONDUTA EM RELAÇÃO AO ALOPURINOL

A

SE JA TOMA, MANTER

NÃO INICIAR NAS CRISES (Diretrizes brasileiras, americanas falam na possibilidade de iniciar, desde que ja em uso de aines de forma adequada), se paciente for perder seguimento tbm abre margem para inicio do alopurinol

How well did you know this?
1
Not at all
2
3
4
5
Perfectly
7
Q

contagem de leucócitos e % de neutrófilos liquido articular

normal

não inflamatório (OA, trauma)

inflamatório (AR, EpA, Gota, LES, pseudogota)

séptico (AS, TB)

hemorrágico

A

normal: < 200 leuco (<25% neut)

não inflamatório: 200-2.000 (<25% neut)

inflamatório: 2.000 a 20.000 (neut > 50%)

séptico: 20.000 a 100.000 (>75% neut)

hemorrágico: leuco variável (50-75% neut)

How well did you know this?
1
Not at all
2
3
4
5
Perfectly
8
Q

ARTRITE SÉPTICA

PRINCIPAL AGENTE ETIOLÓGICO EM ADULTOS?

A

S. AUREUS

How well did you know this?
1
Not at all
2
3
4
5
Perfectly
9
Q

CALCIFICAÇÕES MENISCAIS

TÍPIDO DE

A

PSEUDOGOTA

How well did you know this?
1
Not at all
2
3
4
5
Perfectly
10
Q

CLINICA PSEUDOGOTA

A

+ EM IDOSOS

associada com os 4Hs:
- hemocromatose
- hiperparatireoidismo
- hipoMg
- hipofosfatasia

ESPECTRO CLÍNICO:
- assintomática
- pseudogota (atrite aguda)
> + em joelho, uma ou mais articulações periféricas, artrite

  • artrite inflamatória cronica
  • pseudo-OA

RX - CONDROCALCINOSE

How well did you know this?
1
Not at all
2
3
4
5
Perfectly
11
Q

PACIENTE COM CRISE DE GOTA + DRC

TTO CRISE AGUDA

A

AINE CONTRAINDICADO

COLCHICINA EM DOSE BAIXA

How well did you know this?
1
Not at all
2
3
4
5
Perfectly
12
Q

COLCHICINA

CONTRAINDICADA EM PACIENTES QUE USAM QUAIS MEDICAÇÕES?

A

contraindicada na presença de QUALQUER grau de insuficiência renal ou hepática em pacientes, recebendo um inibidor da glicoproteína-P

ex: CARVEDILOL, amiodarona, propafenona, claritromicina, eritromicina, verapamil,
inibidores da protease usados no tratamento do HIV, claritromicina e antifúngicos azólicos)

How well did you know this?
1
Not at all
2
3
4
5
Perfectly
13
Q

GOTA TTO MANUTENÇÃO

A

COLCHICINA 0,5MG 12/12H POR 6 MESES

How well did you know this?
1
Not at all
2
3
4
5
Perfectly
14
Q

TTO FARMACOLÓGICO CRÔNICO GOTA

A

MTX

HIDROXICLOROQUINA

ANTI-IL1 (anakinra)

How well did you know this?
1
Not at all
2
3
4
5
Perfectly
15
Q

principais características radiográficas da OSTEOARTRITE?

A

OSTEÓFITOS MARGINAIS

ESCLEROSE SUBCONDRAL

REDUÇÃO ASSIMÉTRICA DO ESPAÇO ARTICULAR

How well did you know this?
1
Not at all
2
3
4
5
Perfectly
16
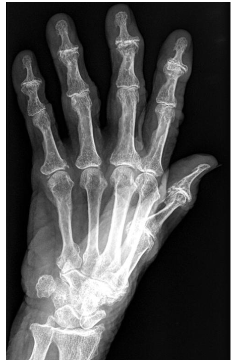
Q

EROSÕES EM SACA BOCADO EM ARTICULAÇÕES PERIFÉRICAS

PENSAR EM

17
Q

TTO ARTRITE PSORIÁSICA

A

o TTO QUADRO PERIFÉRICO: AINE +/- DMARDS (MTX É O MAIS UTILIZADO. APÓS 3 MESES, SEM MELHORA  BIOLÓGICOS (ANTI-TNF; ANTI-IL17, ANTI-IL23, INIBIDORES DA JAK

o TTO QUADRO AXIAL: AINE CONTINUO (Escolha) = 4 semanas. Se boa resposta, manter. Se ausência de respota, trocar por outro AINE por mais 4 semanas. Caso não haja resposta  biológicos (anti-TNF; anti-IL17)

NAS AXIAIS NAO USAR IL-23 / IL12-23

18
Q

ANTI-TNF ALFA

QUANDO EVITAR

A

ILTB

TB PRÉVIA

IC DESCOMPENSADA

19
Q

ESPONDILOARTRITE + UVEITE(manifest extra-articular)

qual anti-TNF performa MENOS?

A

etanercept

escolher os outros (infliximabe, adalimumabe, golimumabe)

20
Q

DOENÇA INFLAMATÓRIA INTESTINAL PRINCIPALMENTE EM ATIVIDADE

QUAL IMUNOBIOLÓGICO EVITAR?

A

ANTI-IL 17

SECUQUINUMABE
IXEKIZUMABE

ESCOLHA = ANTI TNF

21
Q

NAS ESPONDILOARTRITES
AXIAIS QUAL IMUNOBIOLÓGICO NÃO USAR?

A

NAS AXIAIS NAO USAR IL-23 / IL12-23

USTEQUINUMABE