OSTEOARTRITE Flashcards

(10 cards)

1
Q

PREDOMÍNIO ARTICULAR

A

MÃOS

QUADRIL

JOELHOS

DOR MECÂNICA PROTOCINÉTICA< 30 MIN

How well did you know this?
1
Not at all
2
3
4
5
Perfectly
2
Q

OA GENERALIZADA

QUANDO ACOMETE

A

> 3 SEGMENTOS

How well did you know this?
1
Not at all
2
3
4
5
Perfectly
3
Q

OA PRIMÁRIA

OA SECUNDÁRIA

A

OA SECUNDÁRIA (acometimento articular por outra doença que leva a OA como sequela)

How well did you know this?
1
Not at all
2
3
4
5
Perfectly
4
Q

RISARTROSE

A

ACOMETIMENTO DA PRIMEIRA CARPO-METACARPO

(Doença das costureiras)

How well did you know this?
1
Not at all
2
3
4
5
Perfectly
5
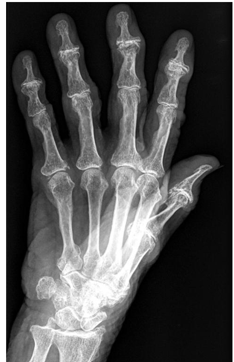
Q

NÓDULOS

PROXIMAIS

DISTAIS

OA

A

BOUCHARD (PROXIMAL)

HEBERDEN (DISTAL)

How well did you know this?
1
Not at all
2
3
4
5
Perfectly
6
Q

ACHADOS RADIOGRÁFICOS
NA OA

A

ESCLEROSE SUBCONDRAL

OSTEOFITOSE

REDUÇÃO E DESALINHAMENTO

How well did you know this?
1
Not at all
2
3
4
5
Perfectly
7
Q

TTO NÃO FARMACOLÓGICO

A

PERDA DE PESO + EXERCÍCIOS FÍSICOS

ALONGAMENTO

ÓRTESE

How well did you know this?
1
Not at all
2
3
4
5
Perfectly
8
Q

OA TTO FARMACOLÓGICO

A

AINE TÓPICO + ORAL

INFILTRAÇÃO DE CORTICOIDES

SEMAGLUTIDA (2,4mg SC /sem –> 52 sem possui melhora de qualidade de vida e dor)

DULOXETINA (efeito central da dor - ex: associação com fibromialgia)

CAPSAICINA TÓPICA (não mais indicada)

How well did you know this?
1
Not at all
2
3
4
5
Perfectly
9
Q

Evidência de Infiltração de ácido hialurônico

evidência

A

a principio fraca

efeito placebo?

sem benefício definido

How well did you know this?
1
Not at all
2
3
4
5
Perfectly
10
Q

TTO CIRÚRGICO

INDICAÇÕES

A

DOR INTRATÁVEL

PREJUÍZO A MOBILIDADE

PROCEDIMENTO: ARTROPLASTIA

How well did you know this?
1
Not at all
2
3
4
5
Perfectly