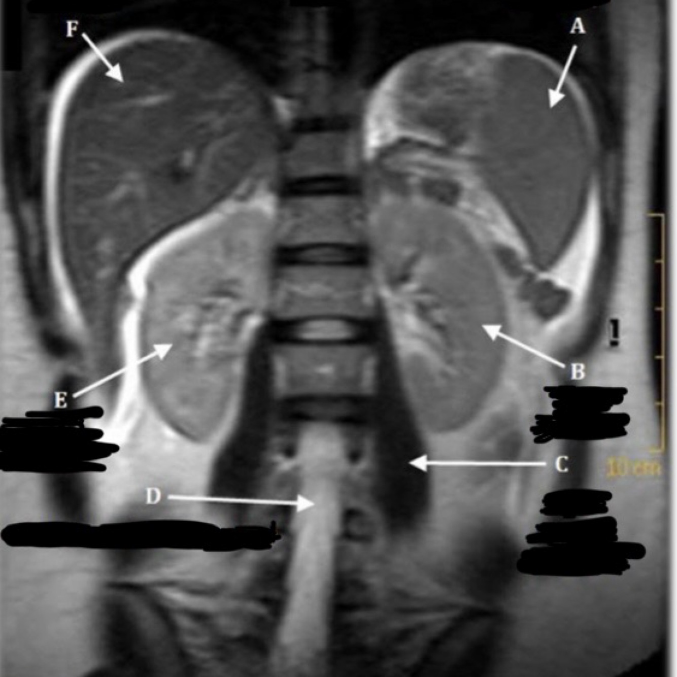
Body Anatomy Flashcards

(110 cards)

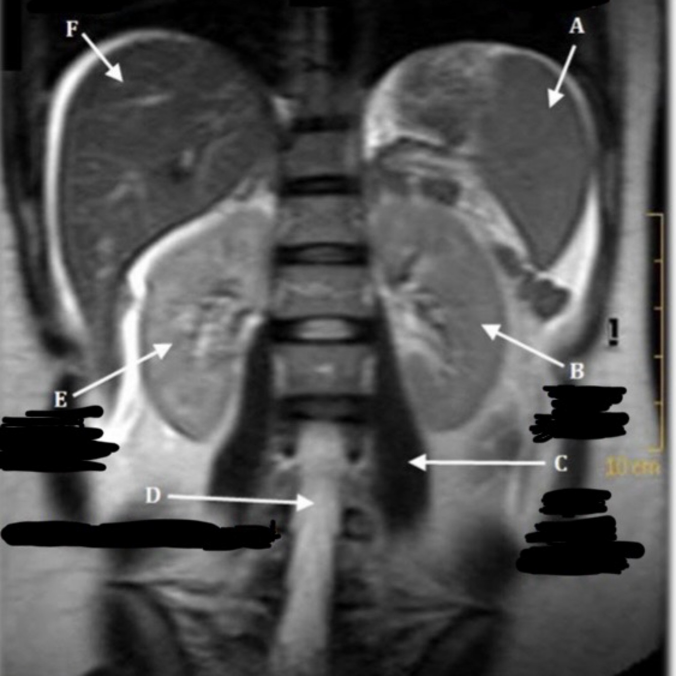
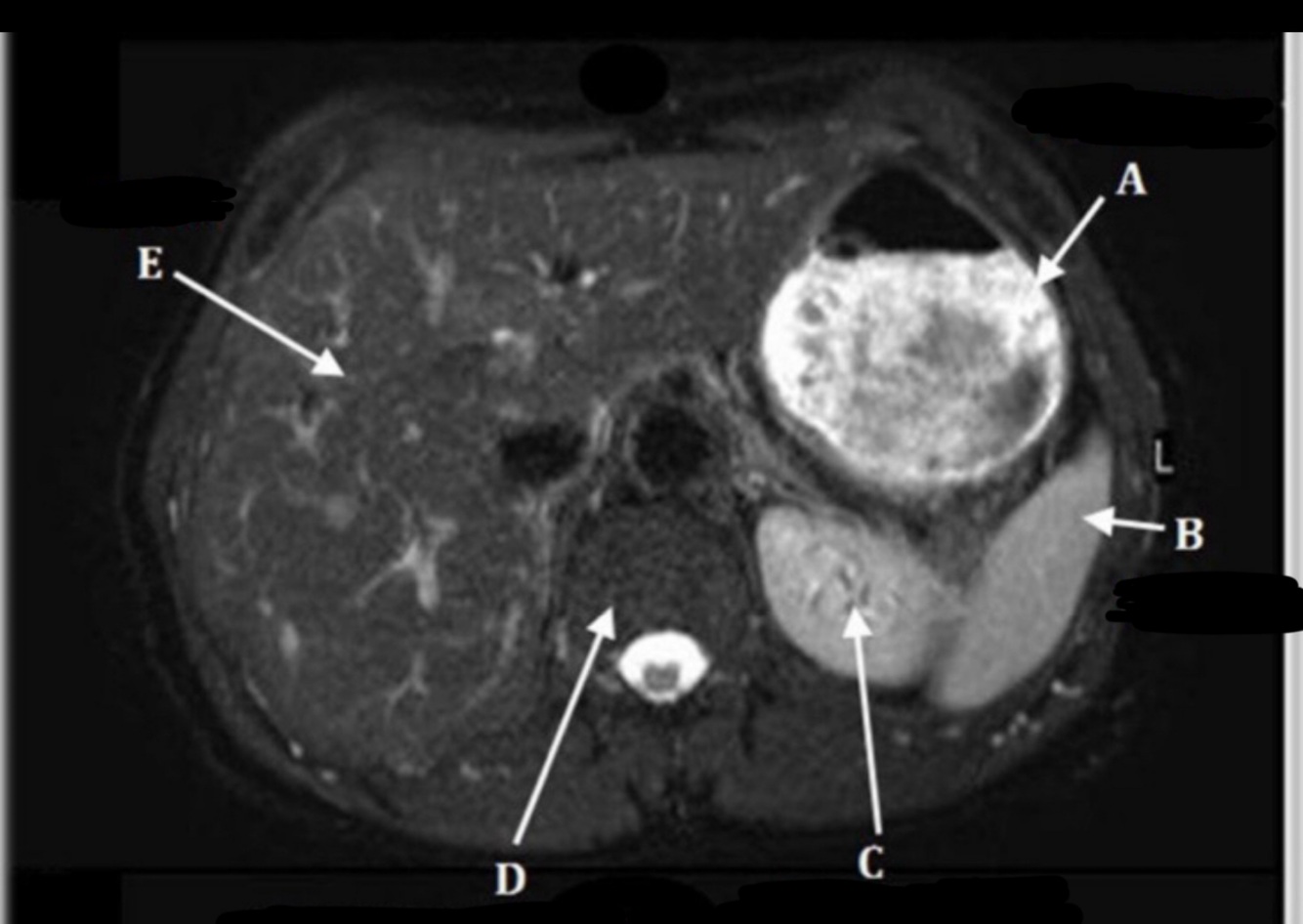
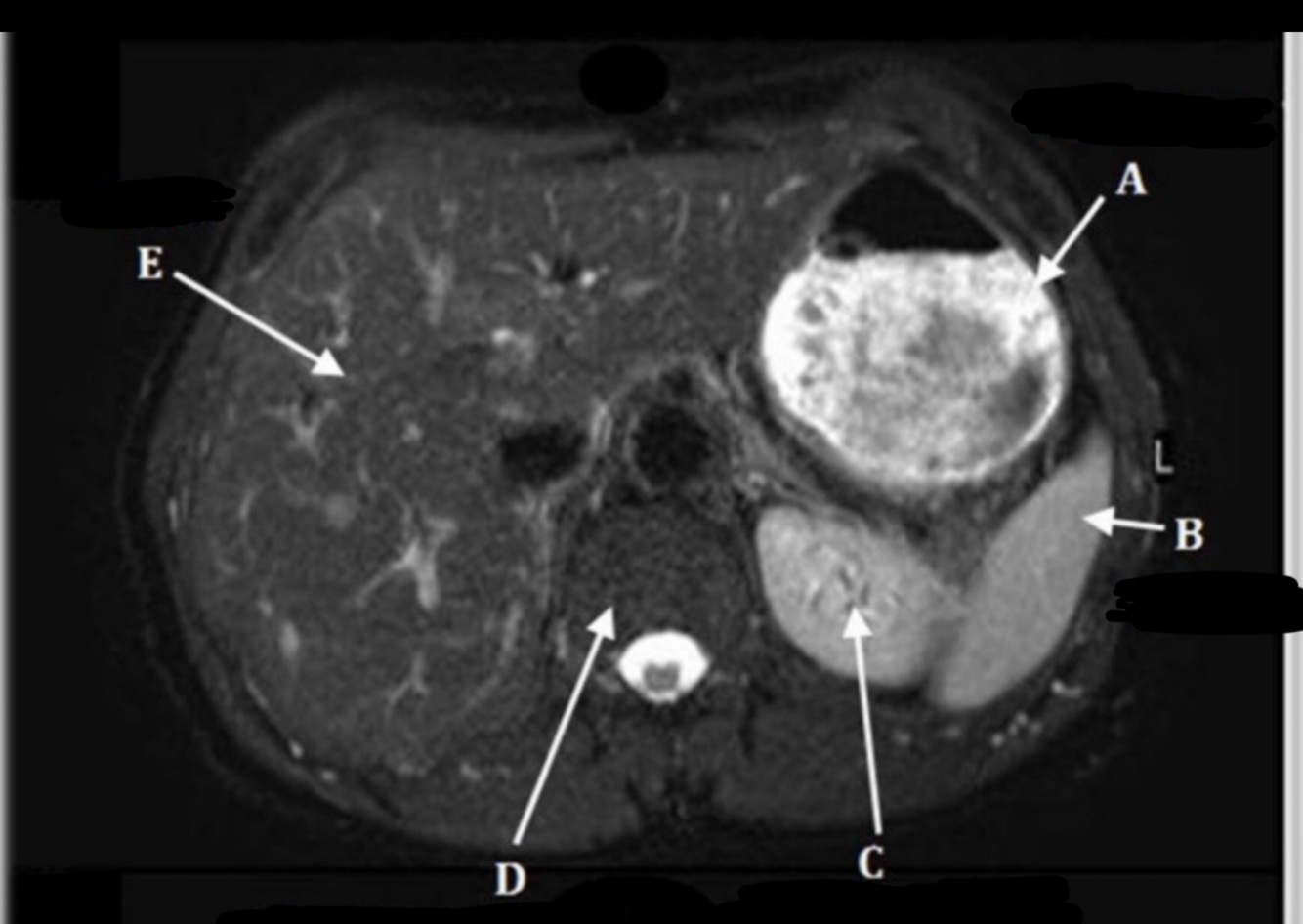
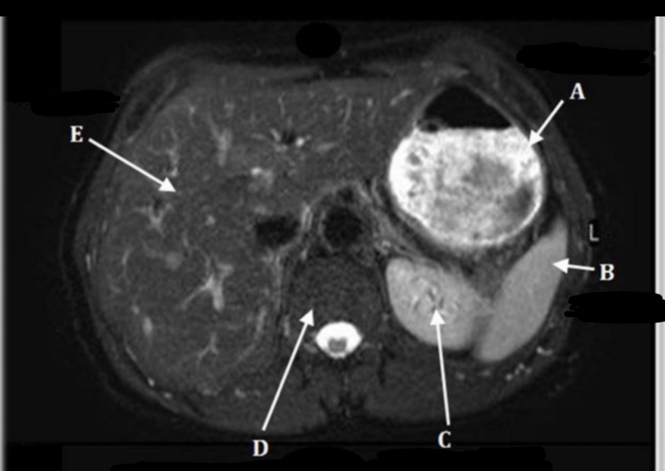
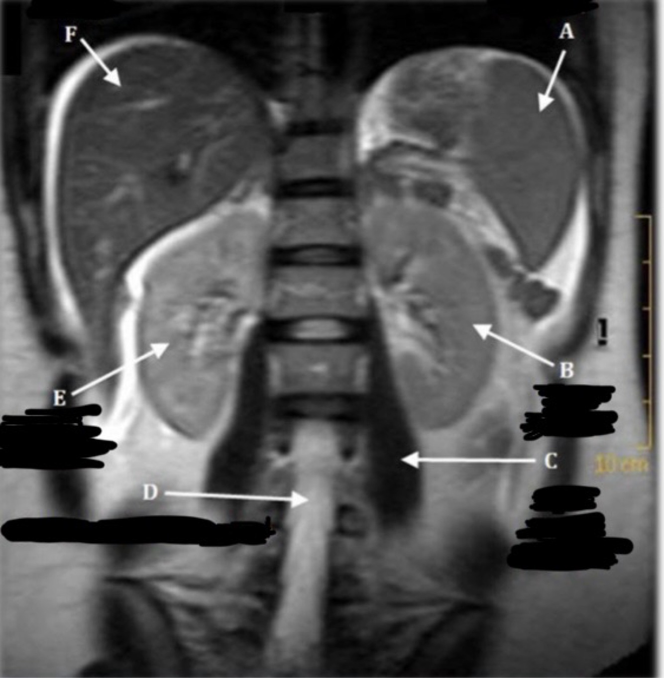
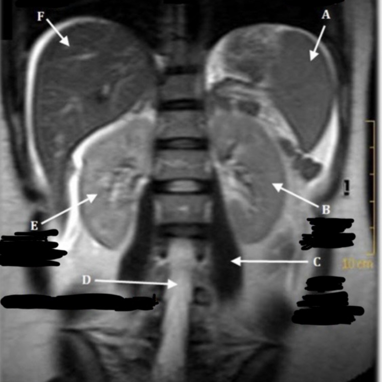
1
Q

What is letter A?

A

STOMACH

How well did you know this?
1
Not at all
2
3
4
5
Perfectly
2
Q

What is letter B?

A

SPLEEN

How well did you know this?
1
Not at all
2
3
4
5
Perfectly
3
Q

What is letter C?

A

LT KIDNEY

How well did you know this?
1
Not at all
2
3
4
5
Perfectly
4
Q

What is letter D?

A

VERTEBRAL BODY

How well did you know this?
1
Not at all
2
3
4
5
Perfectly
5
Q

What is letter E?

A

LIVER

How well did you know this?
1
Not at all
2
3
4
5
Perfectly
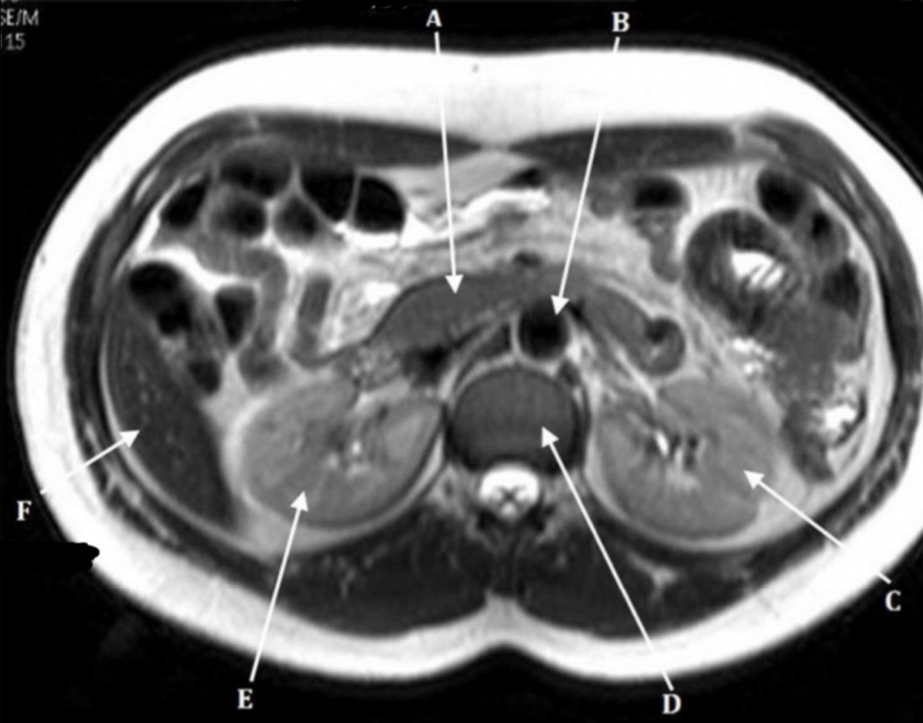
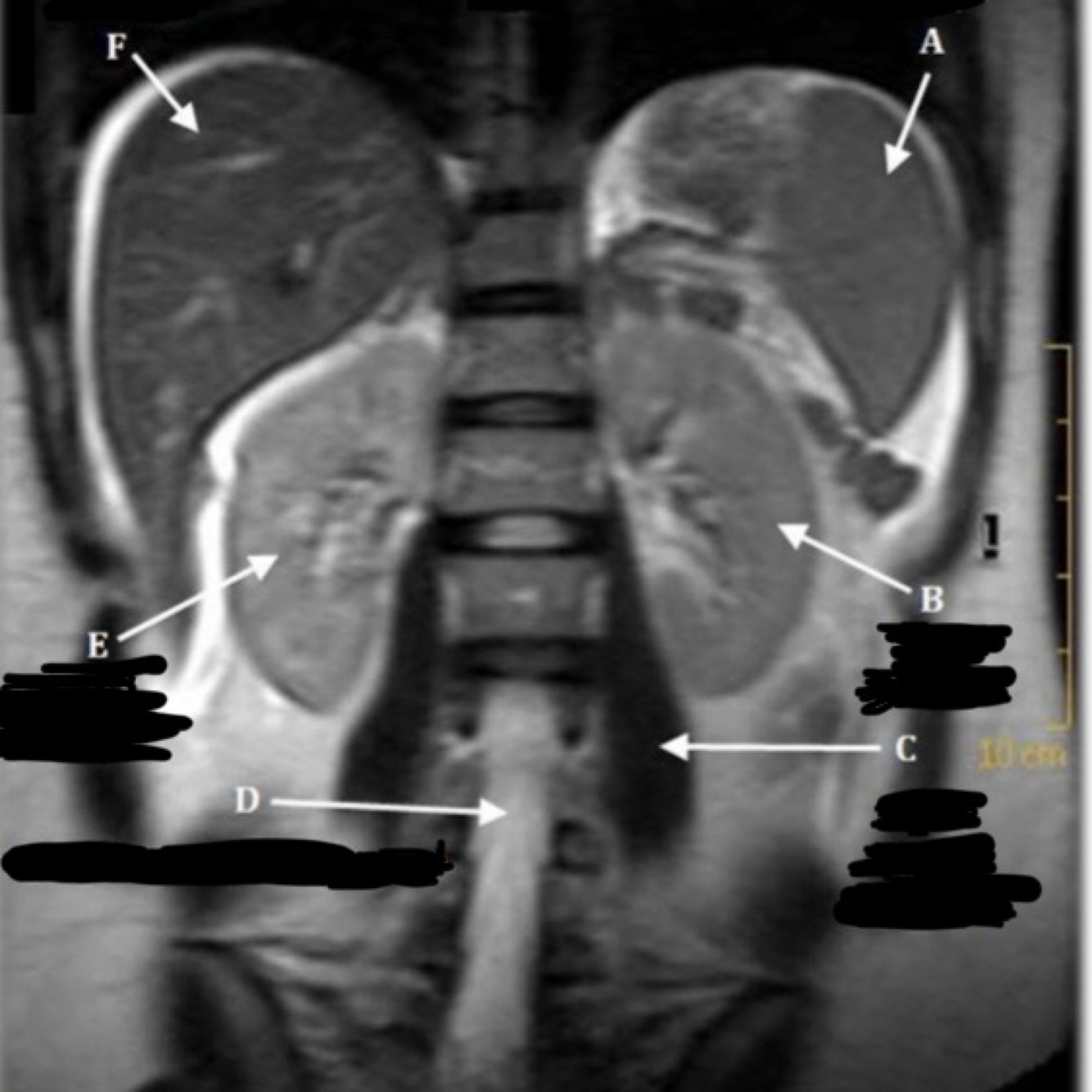
6
Q

What is letter A?

A

SPLEEN

How well did you know this?
1
Not at all
2
3
4
5
Perfectly
7
Q

What is letter B?

A

LT KIDNEY

How well did you know this?
1
Not at all
2
3
4
5
Perfectly
8
Q

What is letter C?

A

LT PSOAS MUSCLE

How well did you know this?
1
Not at all
2
3
4
5
Perfectly
9
Q

What is letter D?

A

CSF

How well did you know this?
1
Not at all
2
3
4
5
Perfectly
10
Q

What is letter E?

A

RT. KIDNEY

How well did you know this?
1
Not at all
2
3
4
5
Perfectly
11
Q

What is letter E?

A

RT KIDNEY

How well did you know this?
1
Not at all
2
3
4
5
Perfectly
12
Q

What is letter F?

A

LIVER

How well did you know this?
1
Not at all
2
3
4
5
Perfectly
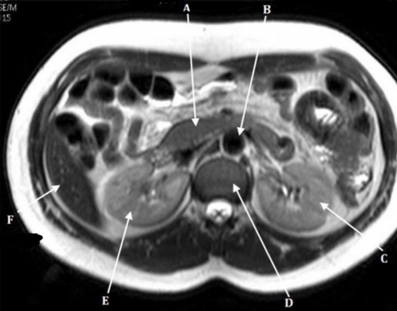
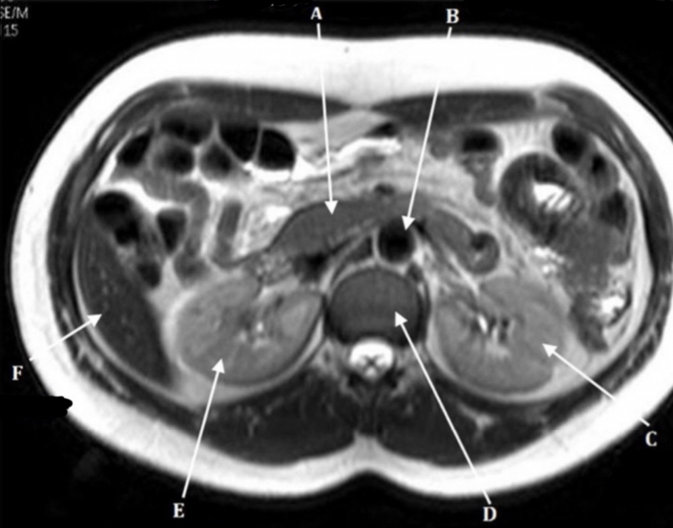
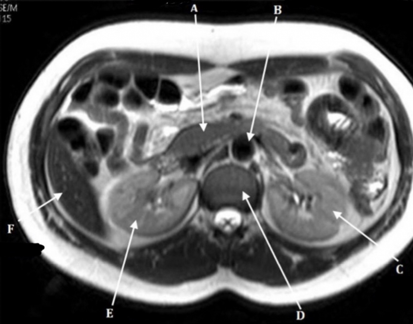
13
Q

What is letter A?

A

PANCREAS

How well did you know this?
1
Not at all
2
3
4
5
Perfectly
14
Q

What is letter B?

A

ABDOMINAL AORTA

How well did you know this?
1
Not at all
2
3
4
5
Perfectly
15
Q

What is letter C?

A

LT KIDNEY

How well did you know this?
1
Not at all
2
3
4
5
Perfectly
16
Q

What is letter D?

A

VERTEBRAL BODY

How well did you know this?
1
Not at all
2
3
4
5
Perfectly
17
Q

What is letter E?

A

RT KIDNEY

How well did you know this?
1
Not at all
2
3
4
5
Perfectly
18
Q

What is letter F?

A

LIVER

How well did you know this?
1
Not at all
2
3
4
5
Perfectly
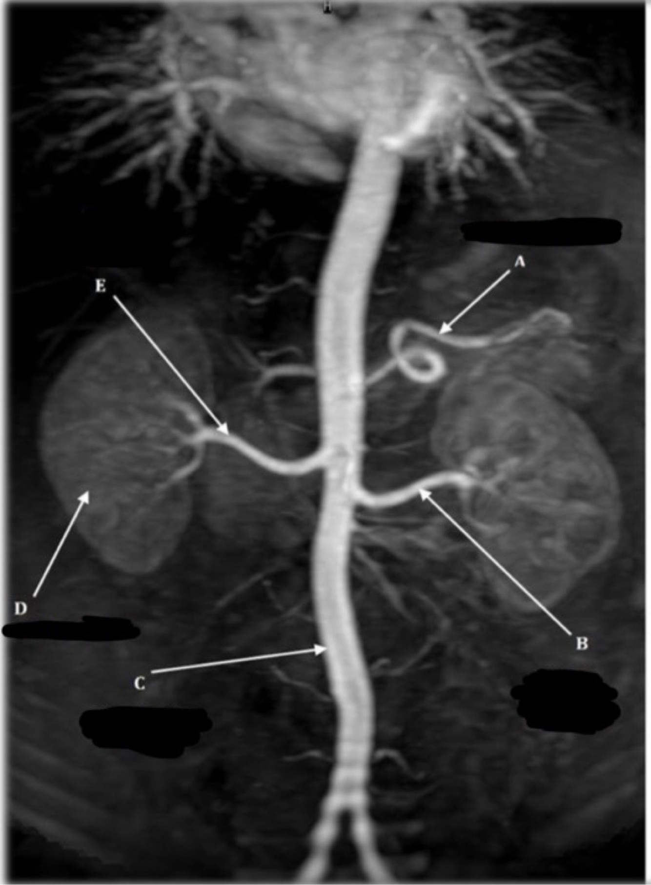
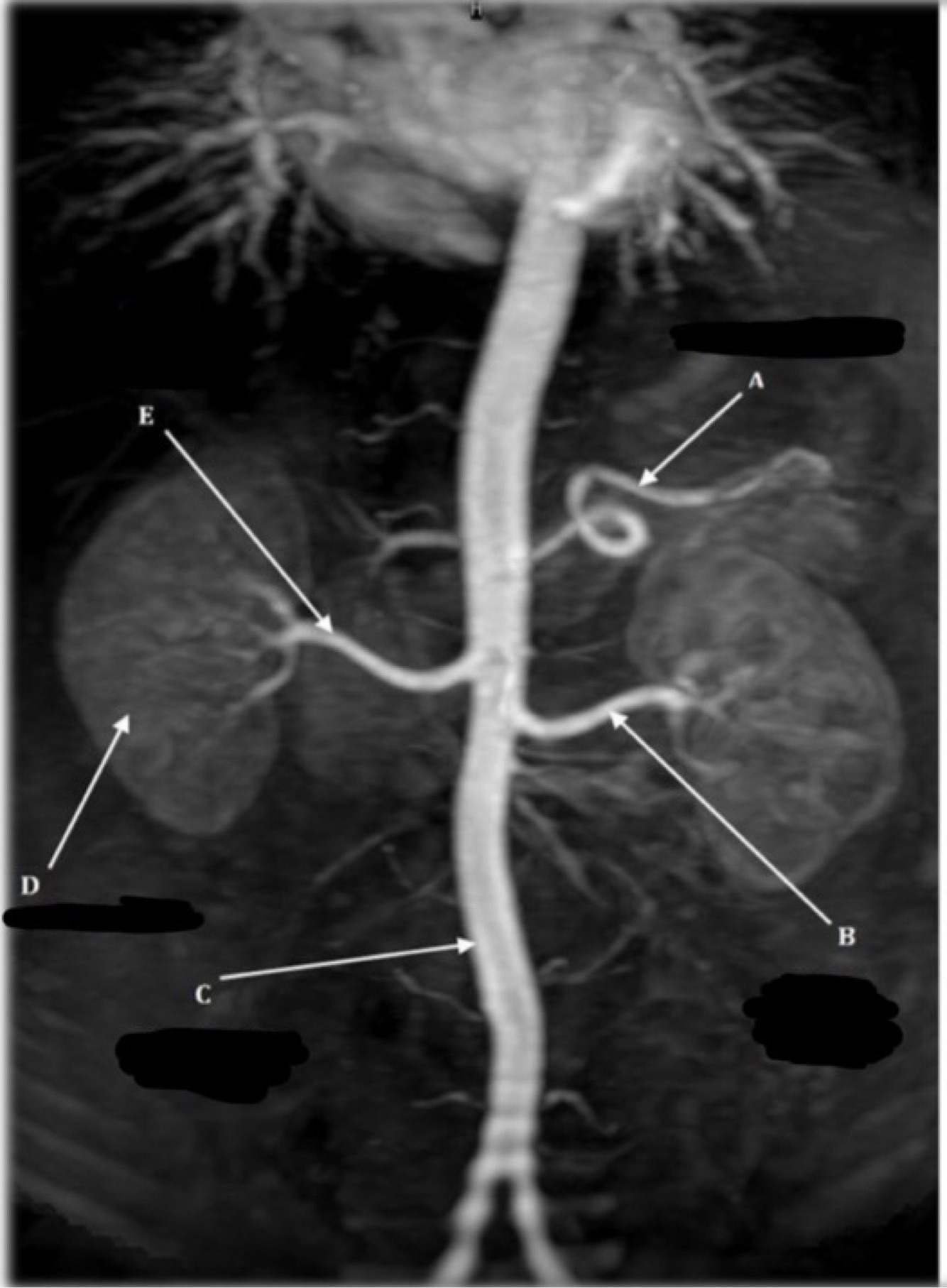
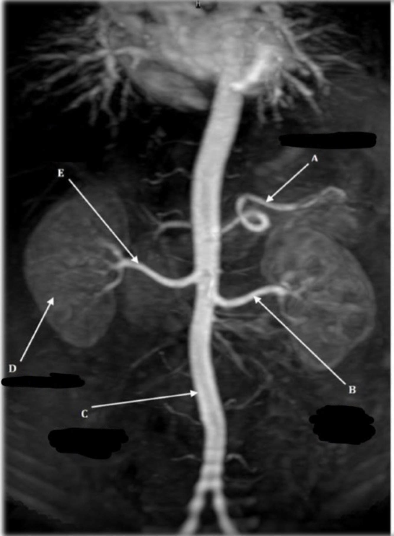
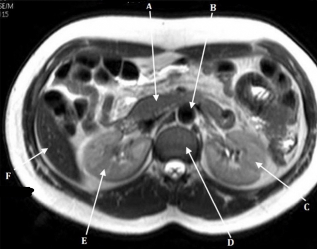
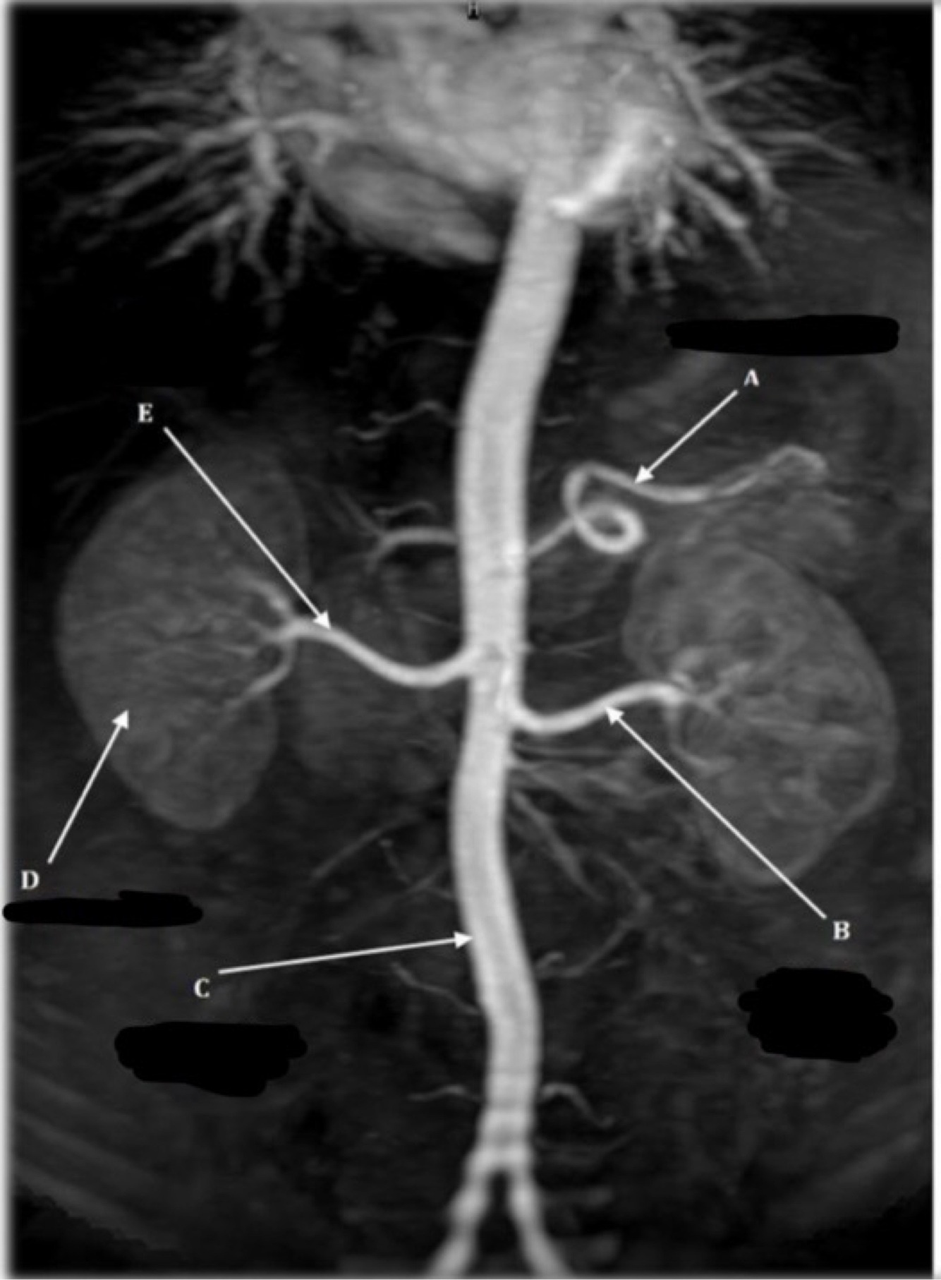
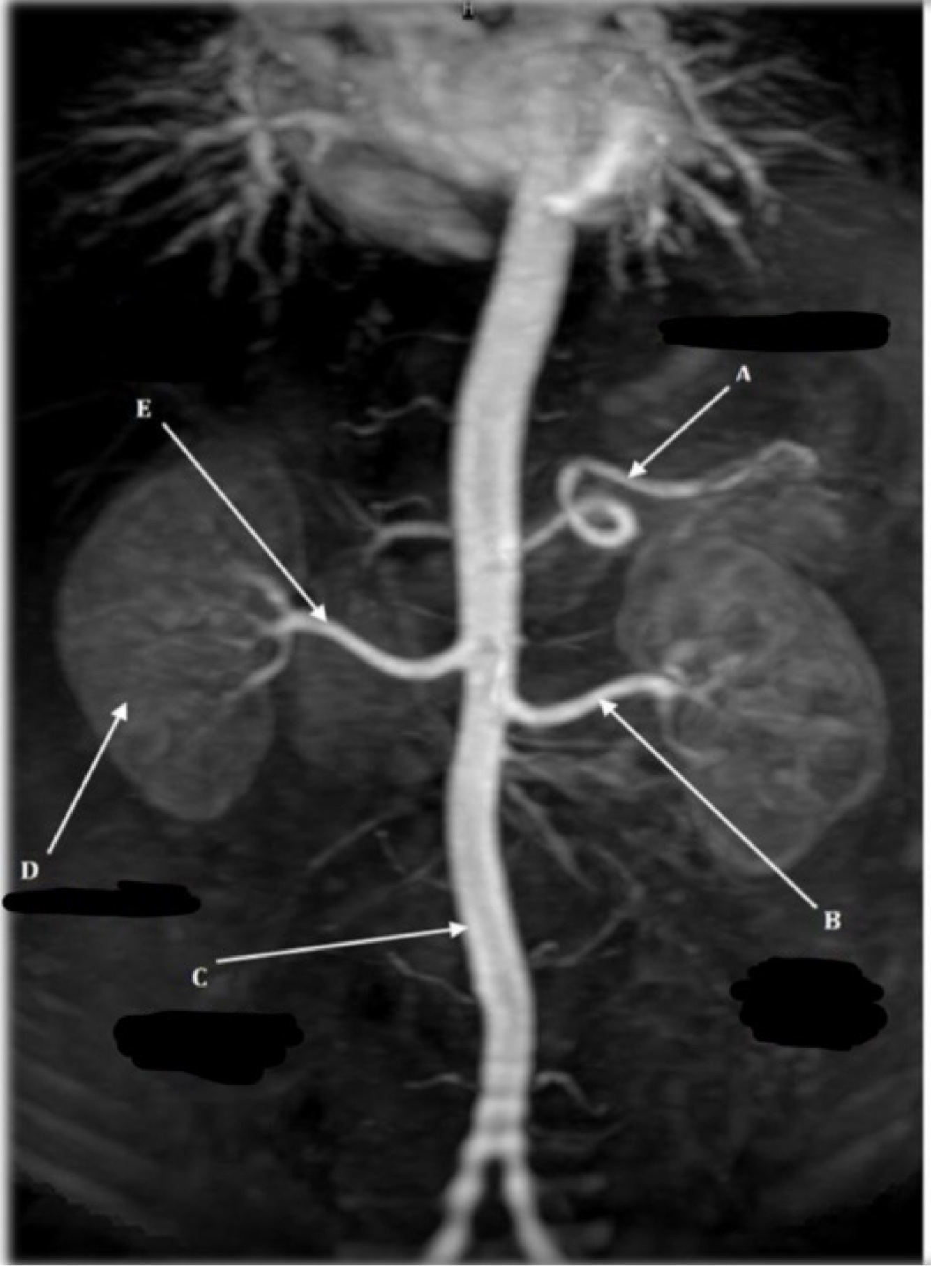
19
Q

What is letter A?

A

SPLENIC ARTERY

How well did you know this?
1
Not at all
2
3
4
5
Perfectly
20
Q

What is letter B?

A

LT RENAL ARTERY

How well did you know this?
1
Not at all
2
3
4
5
Perfectly
21
Q

What is letter C?

A

ABDOMINAL AORTA

How well did you know this?
1
Not at all
2
3
4
5
Perfectly
22
Q

What is letter D?

A

RT KIDNEY

How well did you know this?
1
Not at all
2
3
4
5
Perfectly
23
Q

What is letter E?

A

RT RENAL ARTERY

How well did you know this?
1
Not at all
2
3
4
5
Perfectly
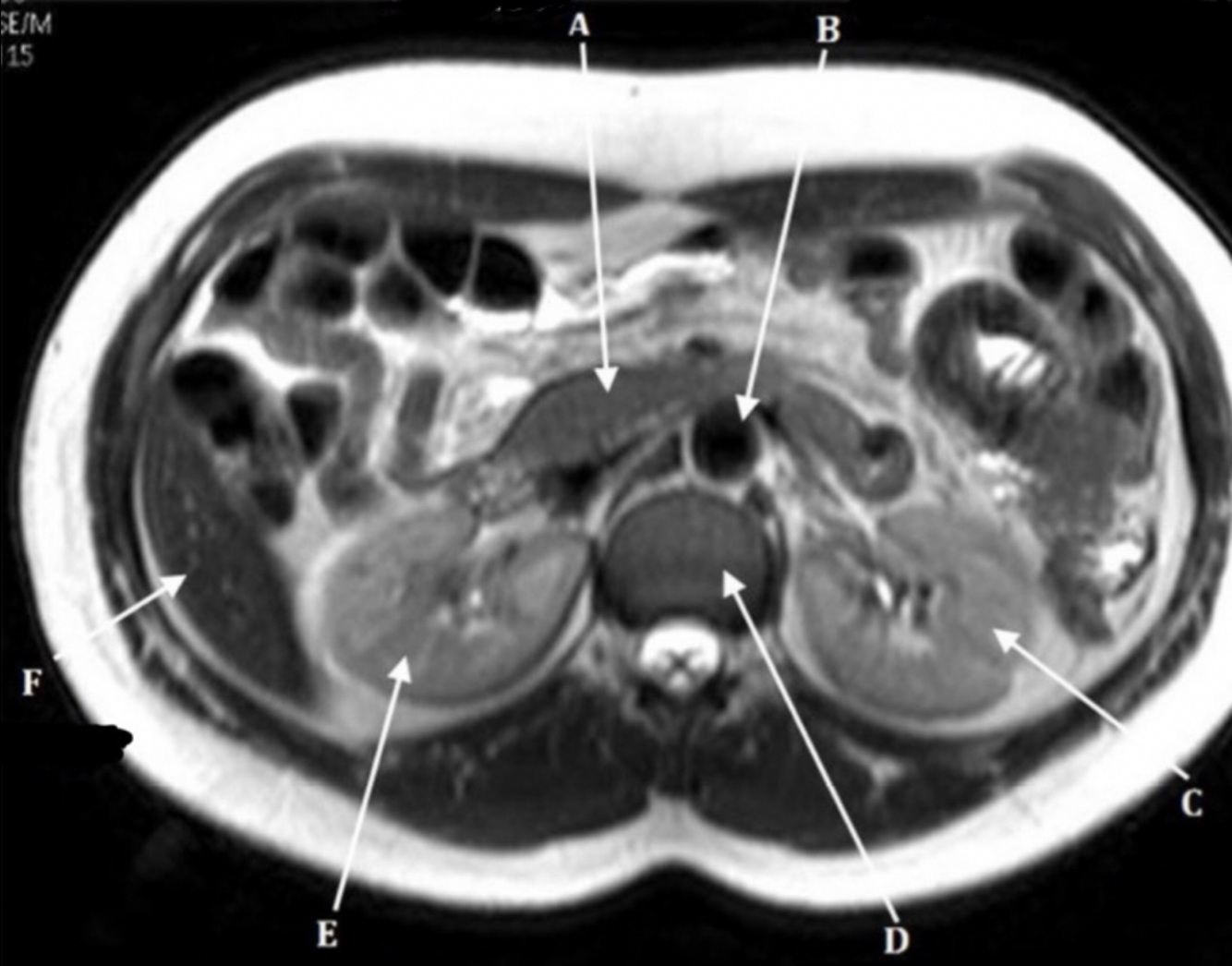
24
Q

What is letter A?

A

STOMACH

How well did you know this?
1
Not at all
2
3
4
5
Perfectly
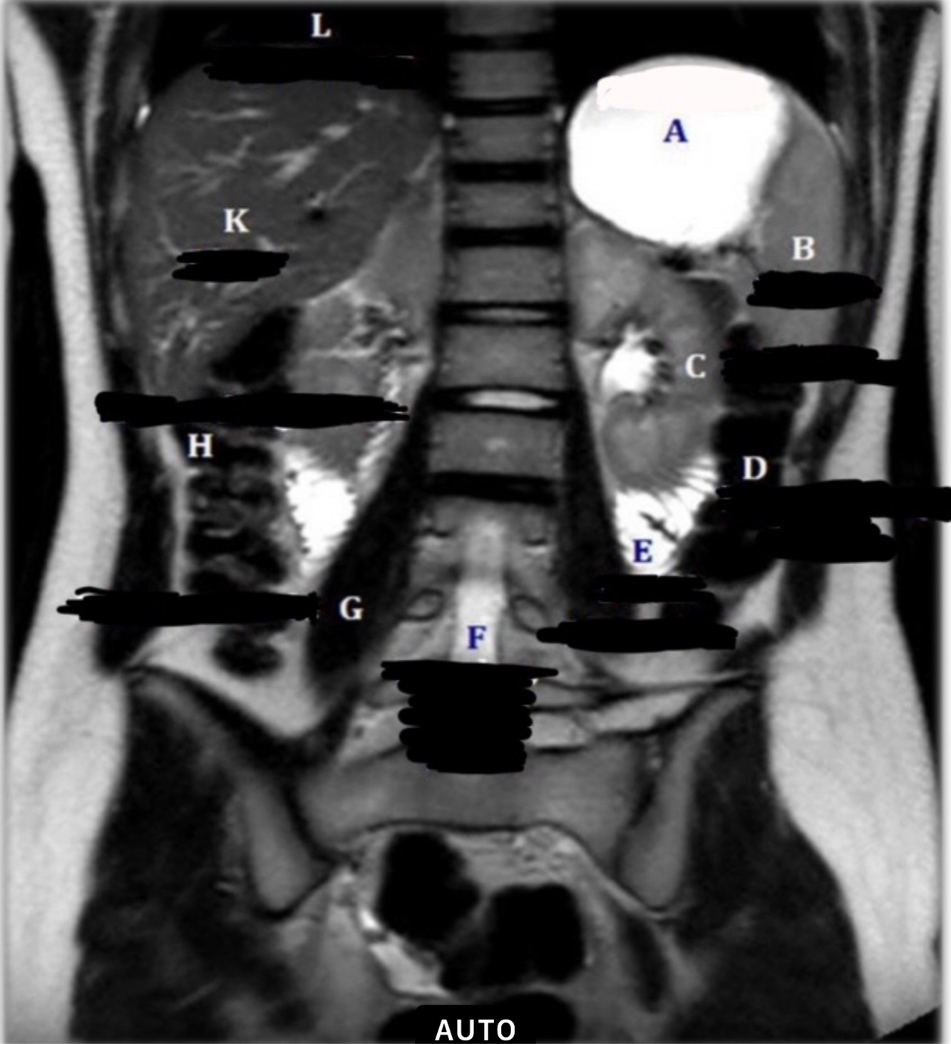
25
What is letter B?
SPLEEN
26
What is letter C?
LT KIDNEY
27
What is letter E?
SMALL INTESTINE
28
What is letter F?
CSF
29
What is letter G?
PSOAS MUSCLE
30
What is letter H?
ASCENDING COLON
31
What is letter K?
LIVER
32
What is letter L?
RT LUNG
33
What is letter D?
DESCENDING COLON
34
What is letter A?
STOMACH
35
What is letter B?
SMALL INTESTINE
36
What is letter C?
ILIAC CREST
37
What is letter D?
SIGMOID COLON
38
What is letter E?
BLADDER
39
What is letter F?
GALLBLADDER
40
What is letter G?
LIVER
41
What is letter A?
CERVIX
42
What is letter B?
FORNIX
43
What is letter C?
SYMPHYSIS PUBIS
44
What is letter D?
BLADDER
45
What is letter E?
UTERUS
46
What is letter A?
LT HEPATIC DUCT
47
What is letter B?
COMMON HEPATIC DUCT
48
What is letter C?
PANCREATIC DUCT
49
What is letter D?
COMMON BILE DUCT
50
What is letter E?
GALBLADDER
51
What is letter F?
RT HEPATIC DUCT
52
What is letter A?
SYMPHYSIS PUBIS
53
What is letter B?
PROSTATE GLAND
54
What is letter C?
RECTUM
55
What is letter D?
RT FEMORAL HEAD
56
What is letter A?
PROSTATE GLAND
57
What is letter B?
SEMINAL VESICLES
58
What is letter C?
BLADDER
59
What is letter H?
PECTORALIS MUSCLE
60
What is letter G?
AREOLA/NIPPLE
61
What is letter F?
LIVER
62
What is letter A?
MAMMARY DUCTS
63
What is letter B?
FATTY TISSUE
64
What is letter C?
LUNG
65
What is letter D?
BREAST IMPLANT
66
What is letter E?
CHEST WALL
67
What is letter A?
PHRENIC ARTERY
68
What is letter B?
SPLEEN
69
What is letter C?
SPLENIC ARTERY
70
What is letter D?
LT RENAL ARTERY
71
What is letter E?
SUPERIOR MESENTERIC ARTERY
72
What is letter F?
INFERIOR MESENTERIC ARTERY
73
What is letter G?
LT INTERNAL ILIAC ARTERY
74
What is letter H?
RT EXTERNAL ILIAC ARTERY
75
What is letter J?
RT COMMON ILIAC ARTERY
76
What is letter K?
AORTA
77
What is letter L?
GONADAL
78
What is letter M?
RT RENAL ARTERY
79
What is letter N?
COMMON HEPATIC ARTERY
80
What is letter O?
LT GASTRIC ARTERY
81
What is letter P?
CELIAC TRUNK
82
What is letter Q?
SUPRARENAL
83
What is letter A?
RT COMMON CAROTID ARTERY
84
What is letter B?
DESCENDING AORTA
85
What is letter C?
LT SUBCLAVIAN ARTERY
86
What is letter D?
AORTIC ARCH
87
What is letter E?
ASCENDING AORTA
88
What is letter F?
BRACHIOCEPHALIC ARTERY
89
What is letter G?
LT JUGULAR VEIN
90
What is letter H?
LT AXILLARY ARTERY
91
What is letter J?
SPLEEN
92
What is letter K?
RT AXILLARY ARTERY
93
What is letter L?
RT SUBCLAVIAN ARTERY
94
What is letter M?
HEART
95
What is letter N?
RT PULMONARY ARTERIES
96
What is letter P?
LT COMMON CAROTID ARTERY
97
What is letter O?
RT AXILLARY VEIN
98
What is letter A?
ABDOMINAL AORTA
99
What is letter B?
LT COMMON ILIAC ARTERY
100
What is letter C?
LT INTERNAL ILIAC ARTERY
101
What is letter D?
LATERAL CURCUMFLEX ARTERY
102
What is letter E?
LT POPLITEAL ARTERY
103
What is letter F?
LT POSTERIOR TIBIAL ARTERY
104
What is letter G?
DORSALIS PEDIS ARTERY
105
What is letter H?
RT PLANTAR ARTERY
106
What is letter J?
RT ANTERIOR TIBIAL ARTERY
107
What is letter K?
FIBULAR (PERONEAL) ARTERY
108
What is letter L?
RT FEMORAL ARTERY
109
What is letter M?
RT EXTERNAL ILIAC ARTERY
110
What is letter N?
RT RENAL ARTERY