MSK Anatomy Flashcards

(178 cards)

1
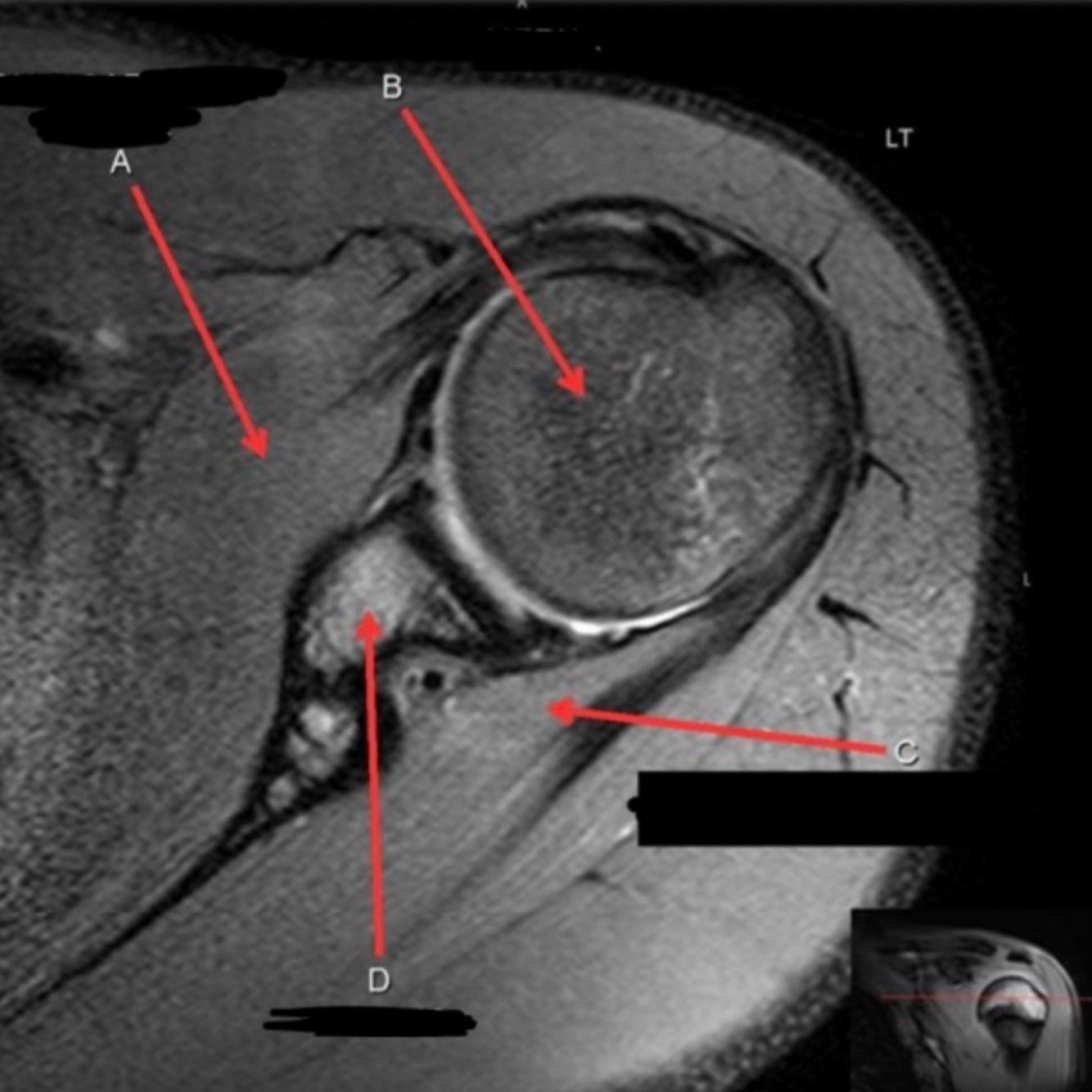
Q

What is letter A?

A

SUPRASPINATUS TENDON

How well did you know this?
1
Not at all
2
3
4
5
Perfectly
2
Q

What is letter B?

A

ACROMION

How well did you know this?
1
Not at all
2
3
4
5
Perfectly
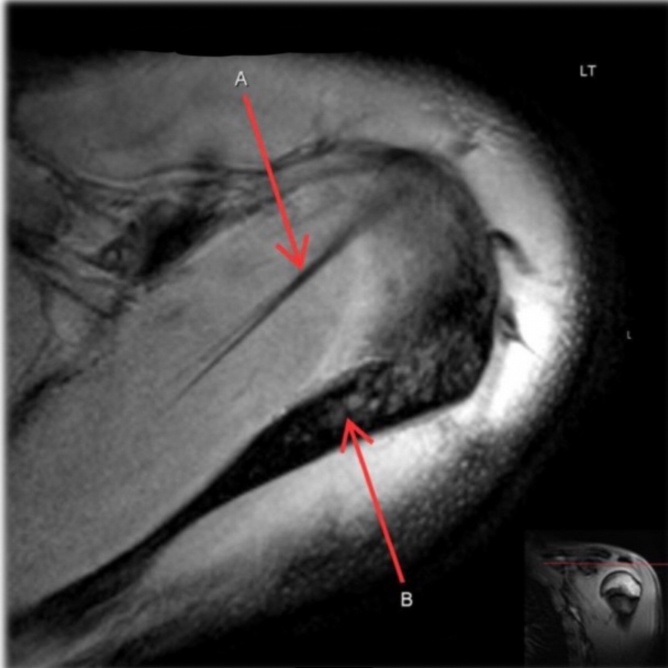
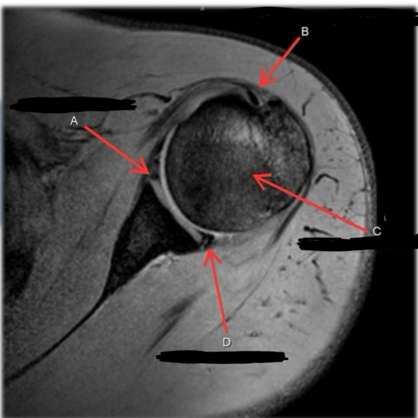
3
Q

What is letter A?

A

CORACOID PROCESS

How well did you know this?
1
Not at all
2
3
4
5
Perfectly
4
Q

What is letter B?

A

DELTOID MUSCLE

How well did you know this?
1
Not at all
2
3
4
5
Perfectly
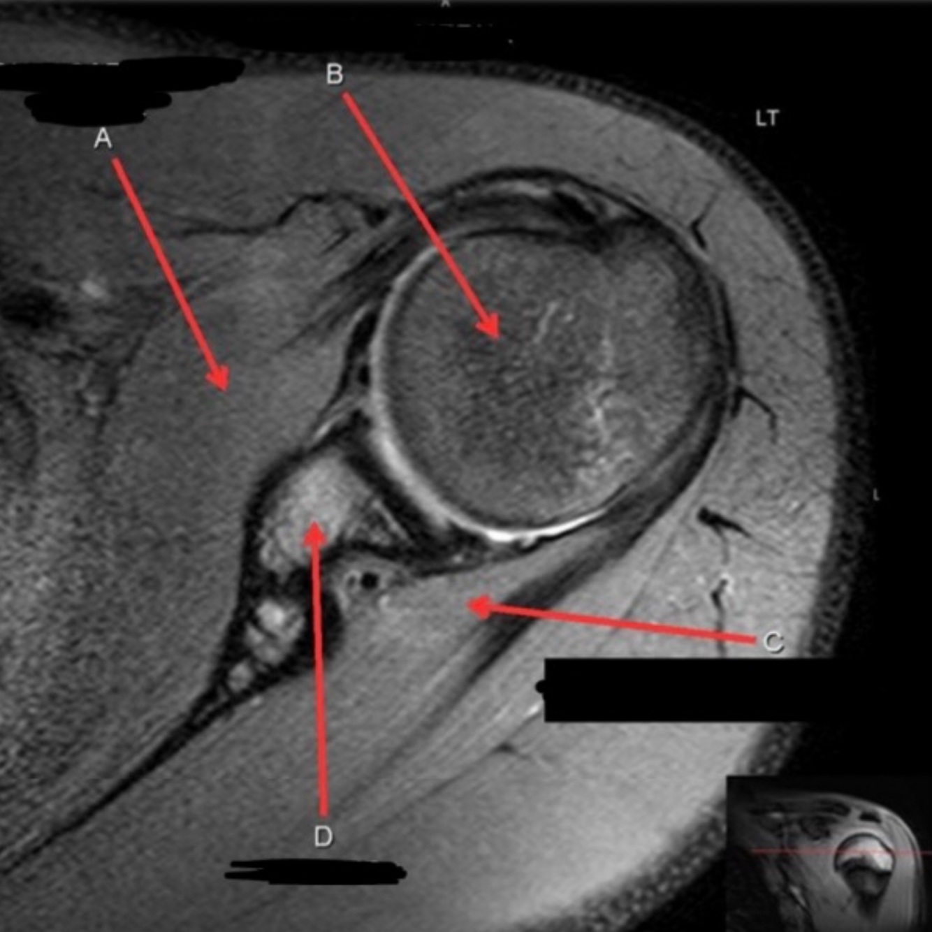
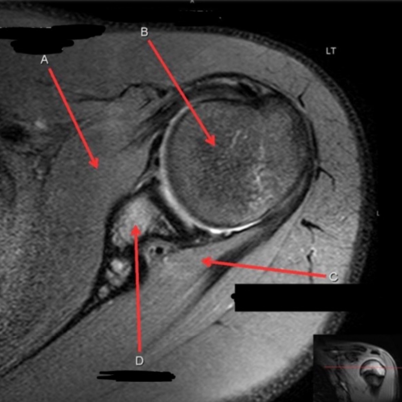
5
Q

What is letter C?

A

INFRASPINATUS MUSCLE

How well did you know this?
1
Not at all
2
3
4
5
Perfectly
6
Q

What is letter D?

A

SUPRASPINATUS MUSCLE

How well did you know this?
1
Not at all
2
3
4
5
Perfectly
7
Q

What is letter A?

A

SUBSCAPULARIS MUSCLE

How well did you know this?
1
Not at all
2
3
4
5
Perfectly
8
Q

What is letter B?

A

HEAD OF HUMERUS

How well did you know this?
1
Not at all
2
3
4
5
Perfectly
9
Q

What is letter C?

A

INFRASPINATUS MUSCLE

How well did you know this?
1
Not at all
2
3
4
5
Perfectly
10
Q

What is letter D?

A

GLENOID

How well did you know this?
1
Not at all
2
3
4
5
Perfectly
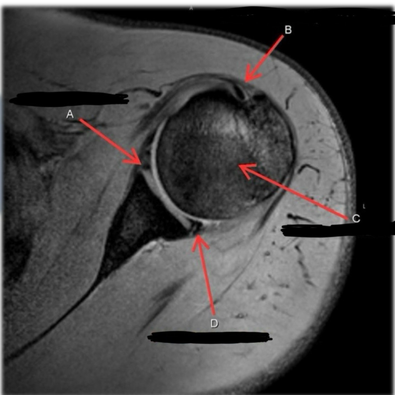
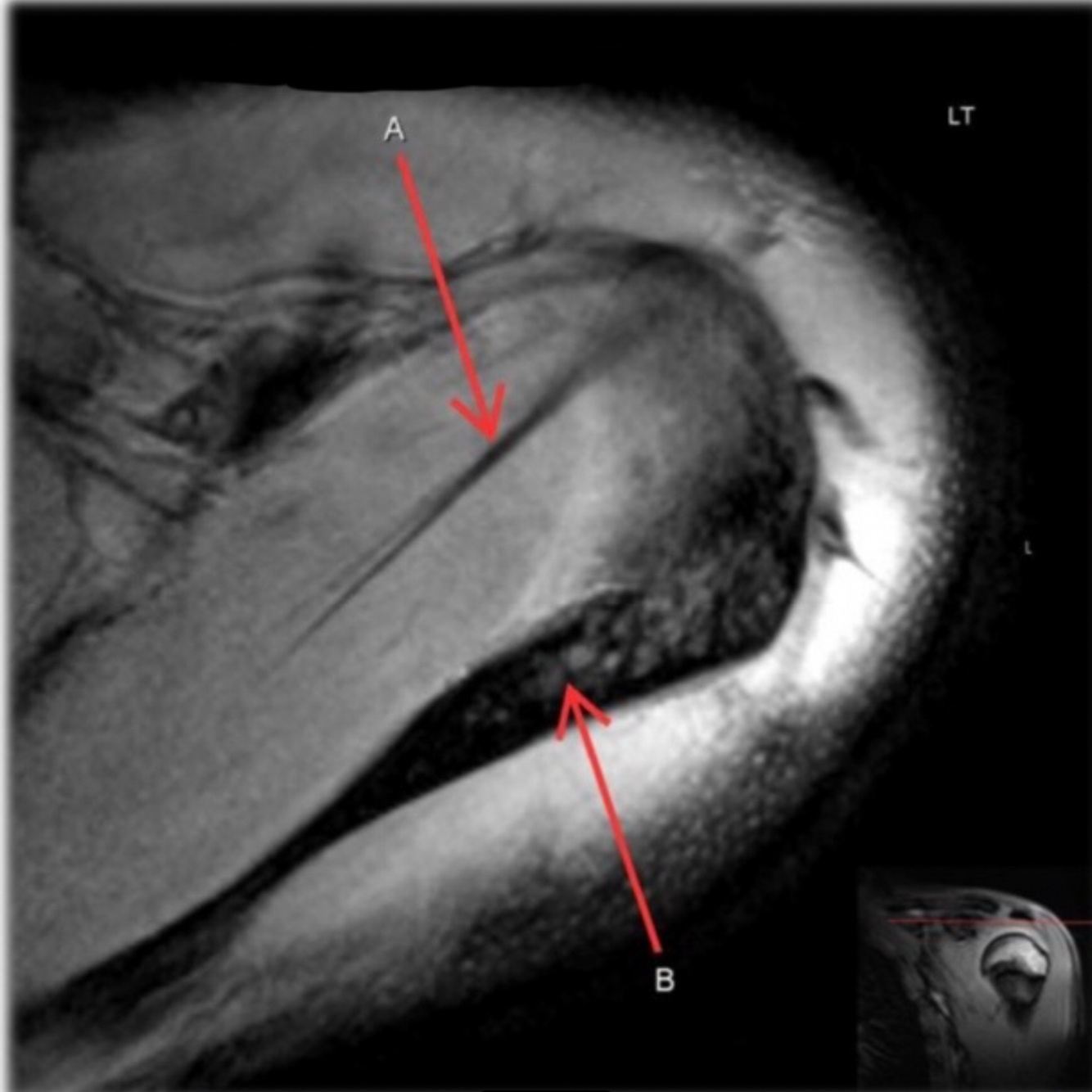
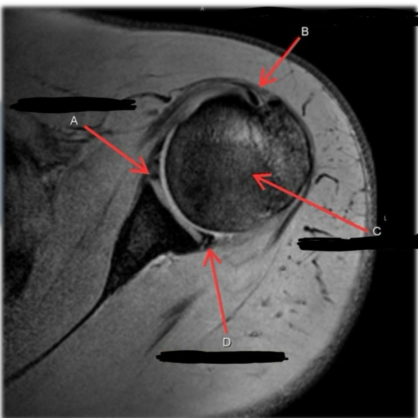
11
Q

What is letter A?

A

ANTERIOR LABRUM

How well did you know this?
1
Not at all
2
3
4
5
Perfectly
12
Q

What is letter B?

A

BICEPS TENDON (LONG HEAD)

How well did you know this?
1
Not at all
2
3
4
5
Perfectly
13
Q

What is letter C?

A

HEAD OF HUMERUS

How well did you know this?
1
Not at all
2
3
4
5
Perfectly
14
Q

What is letter D?

A

POSTERIOR LABRUM

How well did you know this?
1
Not at all
2
3
4
5
Perfectly
15
Q

What is letter A?

A

TERES MINIR MUSCLE

How well did you know this?
1
Not at all
2
3
4
5
Perfectly
16
Q

What is letter B?

A

INFRASPINATUS MUSCLE

How well did you know this?
1
Not at all
2
3
4
5
Perfectly
17
Q

What is letter C?

A

ACROMION

How well did you know this?
1
Not at all
2
3
4
5
Perfectly
18
Q

What is letter D?

A

DELTOID MUSCLE

How well did you know this?
1
Not at all
2
3
4
5
Perfectly
19
Q

What is letter A?

A

SPINE OF SCAPULA

How well did you know this?
1
Not at all
2
3
4
5
Perfectly
20
Q

What is letter B?

A

ACROMION

How well did you know this?
1
Not at all
2
3
4
5
Perfectly
21
Q

What is letter C?

A

INFRASPINATUS TENDON

How well did you know this?
1
Not at all
2
3
4
5
Perfectly
22
Q

What is letter D?

A

DELTOID MUSCLE

How well did you know this?
1
Not at all
2
3
4
5
Perfectly
23
Q

What is letter A?

A

SPINE OF SCAPULA

How well did you know this?
1
Not at all
2
3
4
5
Perfectly
24
Q

What is letter B?

A

GLENOID

How well did you know this?
1
Not at all
2
3
4
5
Perfectly
25
What is letter C?
SUPRASPINATUS MUSCLE
26
What is letter D?
ACROMION
27
What is letter E?
SUPRASPINATUS TENDON
28
What is letter E?
GREATER TUBEROSITY
29
What is letter G
SCAPULA
30
What is letter A?
CLAVICLE
31
What is letter B?
AC JOINT
32
What is letter C?
SUPRASPINATUS TENDON
33
What is letter D?
BICEPS TENDON
34
What is letter A?
CLAVICLE
35
What is letter B?
STERNOCLAVICULAR JOINT
36
What is letter C?
STERNAL NOTCH
37
What is letter D?
VERTEBRAL BODY
38
What is letter E?
RT LUNG
39
What is letter F?
SCAPULA
40
What is letter A?
HUMERAL HEAD
41
What is letter B?
ACROMION
42
What is letter C?
CLAVICLE
43
What is letter D?
STERNOCLAVICULAR JOINT
44
What is letter E?
STERNUM
45
What is letter F?
CORACOID PROCESS
46
What is letter A?
TRICEPS MUSCLE
47
What is letter B?
TRICEPS TENDON
48
What is letter C?
FATTY TISSUE
49
What is letter D?
OLECRANON
50
What is letter A?
MEDIAL EPICONDYLE
51
What is letter B?
ULNA
52
What is letter C?
LATERAL EPICONDYLE
53
What is letter D?
HUMERUS
54
What is letter A?
HUMERUS
55
What is letter B?
COMMON FLEXOR TENDON
56
What is letter C?
RADIAL TUBEROSITY
57
What is letter D?
RADIAL HEAD
58
What is letter A?
LATERAL EPICONDYLE
59
What is letter B?
ANCONEUS MUSCLE
60
What is letter C?
ULNA
61
What is letter D?
MEDIAL EPICONDYLE
62
What is letter A?
TRICEPS
63
What is letter B?
OLECRANON
64
What is letter C?
CORONOID PROCESS
65
What is letter D?
TROCHLEA
66
What is letter E?
BRACHIALIS
67
What is letter A?
HAMATE
68
What is letter B?
CAPITATE
69
What is letter C?
TRAPEZOID
70
What is letter D?
TRAPEZIUM
71
What is letter E?
MEDIAN NERVE
72
What is letter F?
FLEXOR TENDONS
73
What is letter A?
BASE OF 2ND METACARPAL
74
What is letter B?
TRAPEZOID
75
What is letter C?
CAPITATE
76
What is letter D?
SCAPHOID
77
What is letter E?
RADIUS
78
What is letter F?
ULNA
79
What is letter K?
LUNATE
80
What is letter G?
TRIQUETRIUM
81
What is letter H?
HAMATE
82
What is letter J?
BASE OF 5TH METACARPAL
83
What is letter A?
IP JOINT
84
What is letter B?
MCP JOINT
85
What is letter C?
HEAD OF METACARPAL
86
What is letter D
BASE OF 5TH METACARPAL
87
What is letter E?
TRIQUETRUM
88
What is letter F?
RADIUS
89
What is letter G?
CAPITATE
90
What is letter J?
HEAD OF 2ND PROXIMAL PHALANX
91
What is letter H?
BASE OF 2ND METACARPAL
92
What is letter K?
BASE OF 2ND MIDDLE PHALANX
93
What is letter A?
ACETABULUM
94
What is letter B?
LABRUM
95
What is letter C?
FEMORAL NECK
96
What is letter D?
OBTURATOR EXTERNUS
97
What is letter E?
ADDUCTOR MUSCLES
98
What is letter F?
VASTUS LATERALIS
99
What is letter G?
FEMUR
100
What is letter H?
GREATER TROCHANTER
101
What is letter J?
FEMORAL HEAD
102
What is letter K?
BODY OF ILIUM
103
What is letter L?
ILIAC CREST
104
What is letter A?
BLADDER
105
What is letter B?
LABRUM
106
What is letter C?
LT FEMORAL HEAD
107
What is letter E?
ISCHIUM
108
What is letter F?
RT FEMORAL HEAD
109
What is letter G?
SUPERIOR PUBIC RAMUS
110
What is letter A?
RT FEMUR
111
What is letter B?
PATELLA
112
What is letter C?
VASTUS MEDIALIS MUSCLE
113
What is letter D?
SARTORIUS MUSCLE
114
What is letter E
MEDIAL EPICONDYLE
115
What is letter F?
MEDIAL HEAD GASTROCNEMUS
116
What is letter G?
LATERAL HEAD GASTROCNEMUS
117
What is letter H?
POSTERIOR CRUCIATE LIGAMENT
118
What is letter J?
MEDIAL EPICONDYLE
119
What is letter L?
LATERAL EPICONDYLE
120
What is letter K?
MEDIAL RETINACULYM
121
What is letter M?
ANTERIOR CRUCIATE LIGAMENT
122
What is letter N?
LATERAL PATELLAR RENTINACULUM
123
What is letter O?
INTERCONDYLAR FOSSA
124
What is letter P?
ARTICULAR CARTILAGE
125
What is letter A?
MEDIAL FEMORAL CONDYLE
126
What is letter B?
MEDIAL COLLATERAL LIGAMENT
127
What is letter C?
MEDIAL MENISCUS
128
What is letter D?
TIBIAL PLATEAU
129
What is letter E?
LATERAL MENISCUS
130
What is letter F?
LATERAL COLLATERAL LIGAMENT
131
What is letter A?
PATELLA
132
What is letter B?
FEMUR
133
What is letter C?
ANTERIOR HORN OF LATERAL MENISCUS
134
What is letter D?
TIBIA
135
What is letter E?
HEAD OF FIBULA
136
What is letter F?
POSTERIOR HORN OF LATERAL MENISCUS
137
What is letter A?
QUADRICEPS TENDON
138
What is letter B?
PATELLA
139
What is letter C?
PATELLA TENDON
140
What is letter D?
TIBIA
141
What is letter E?
POSTERIOR CRUCIATE LIGAMENT
142
What is letter F?
DISTAL FEMUR
143
What is letter A?
ACHILLES TENDON
144
What is letter B?
CALCANEUS
145
What is letter C?
TALUS
146
What is letter D?
TIBIA
147
What is letter A?
INTERMEDIATE CUNEIFORM
148
What is letter G?
MEDIAL CUNEIFORM
149
What is letter B?
LATERAL CUNEIFORM
150
What is letter C?
CUBOID
151
What is letter D?
PERONEUS LONGUS TENDON
152
What is letter E?
CALCANEUS
153
What is letter F?
ACHILLES TENDON
154
What is letter A?
HEAD OF 3RD METATARSAL
155
What is letter B?
PROXIMAL PHALANX
156
What is letter C?
HEAD OF 5TH METATARSAL
157
What is letter D?
SHAFT OF METATARSAL
158
What is letter E?
BASE OF 5TH METATARSAL
159
What is letter F?
CUBOID
160
What is letter G?
HEAD OF 1ST METATARSAL
161
What is letter H?
MTP JOINT
162
What is letter A?
BASE OF METATARSAL
163
What is letter B?
NAVICULAR
164
What is letter D?
HEAD OF METATARSAL
165
What is letter E?
PIP JOINT
166
What is letter F?
DIP JOINT
167
What is letter G?
DISTAL PHALANX
168
What is letter H?
MIDDLE PHALANX
169
What is letter J?
PROXIMAL PHALANX
170
What is letter A?
FIBULA
171
What is letter B?
CALCANEUS
172
What is letter C?
LATERAL MALLEOLUS
173
What is letter D?
TIBIO TALAR (MORTISE) JOINT
174
What is letter E?
TALUS
175
What is letter F?
TALO FIBULAR JOINT
176
What is letter G?
SUBTALAR JOINT
177
What is letter H?
MEDIAL MALLEOLUS
178
What is letter J?
TIBIA