Spine Anatomy Flashcards

(65 cards)

1
Q

What is letter A?

A

4TH VENTRICLE

How well did you know this?
1
Not at all
2
3
4
5
Perfectly
2
Q

What is letter B?

A

CEREBELLUM

How well did you know this?
1
Not at all
2
3
4
5
Perfectly
3
Q

What is letter C?

A

POSTERIOR ARCH OF C1

How well did you know this?
1
Not at all
2
3
4
5
Perfectly
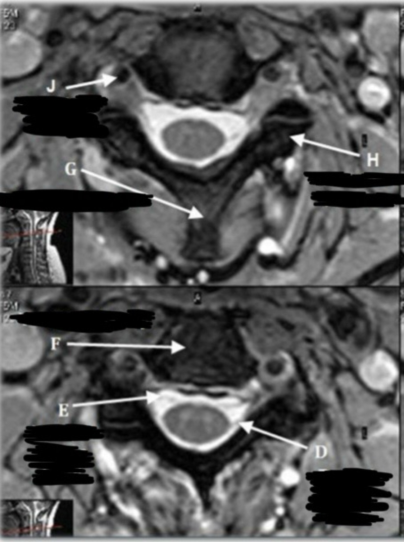
4
Q

What is letter D?

A

SPINAL CORD

How well did you know this?
1
Not at all
2
3
4
5
Perfectly
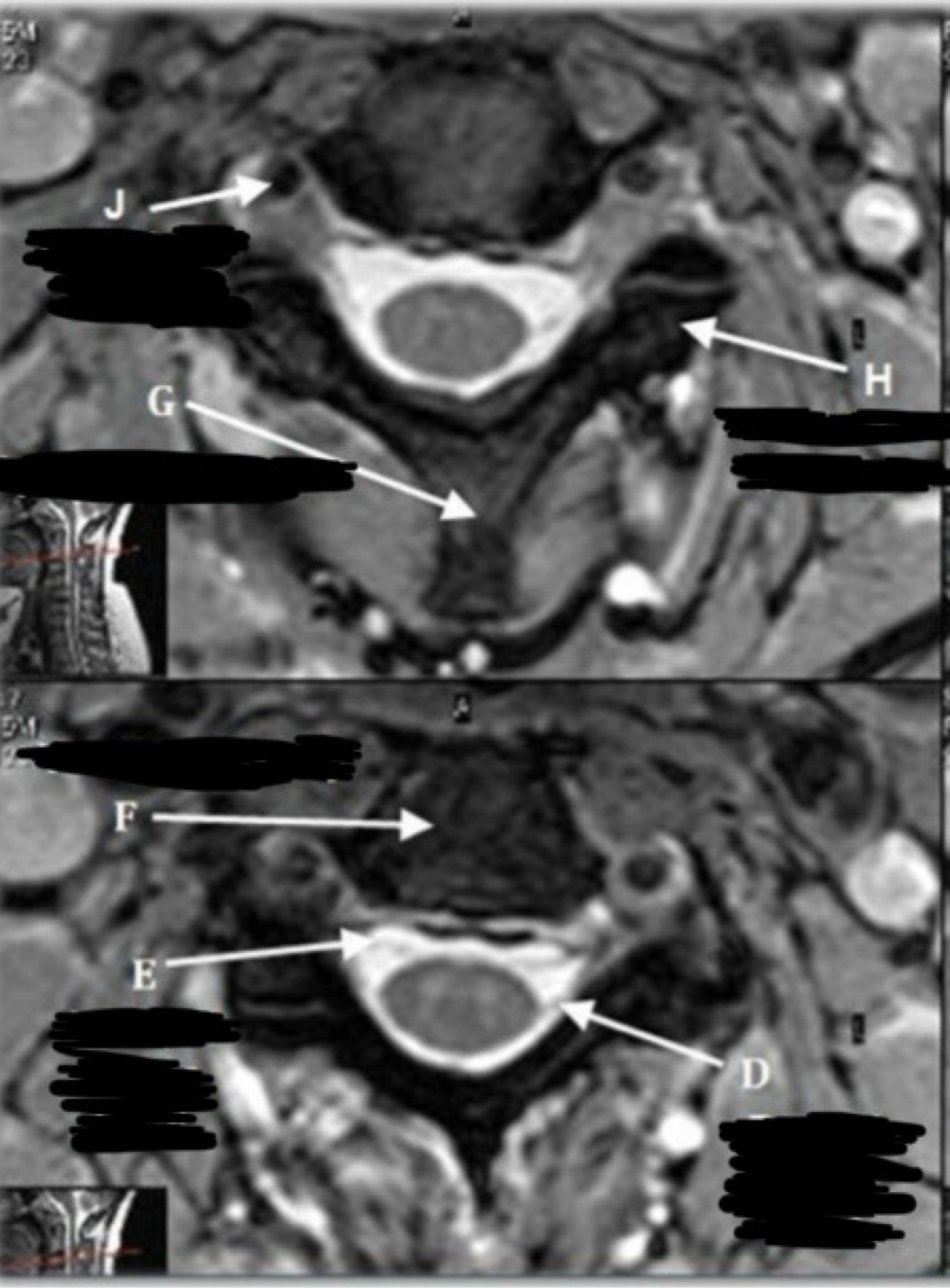
5
Q

What is letter E?

A

CSF

How well did you know this?
1
Not at all
2
3
4
5
Perfectly
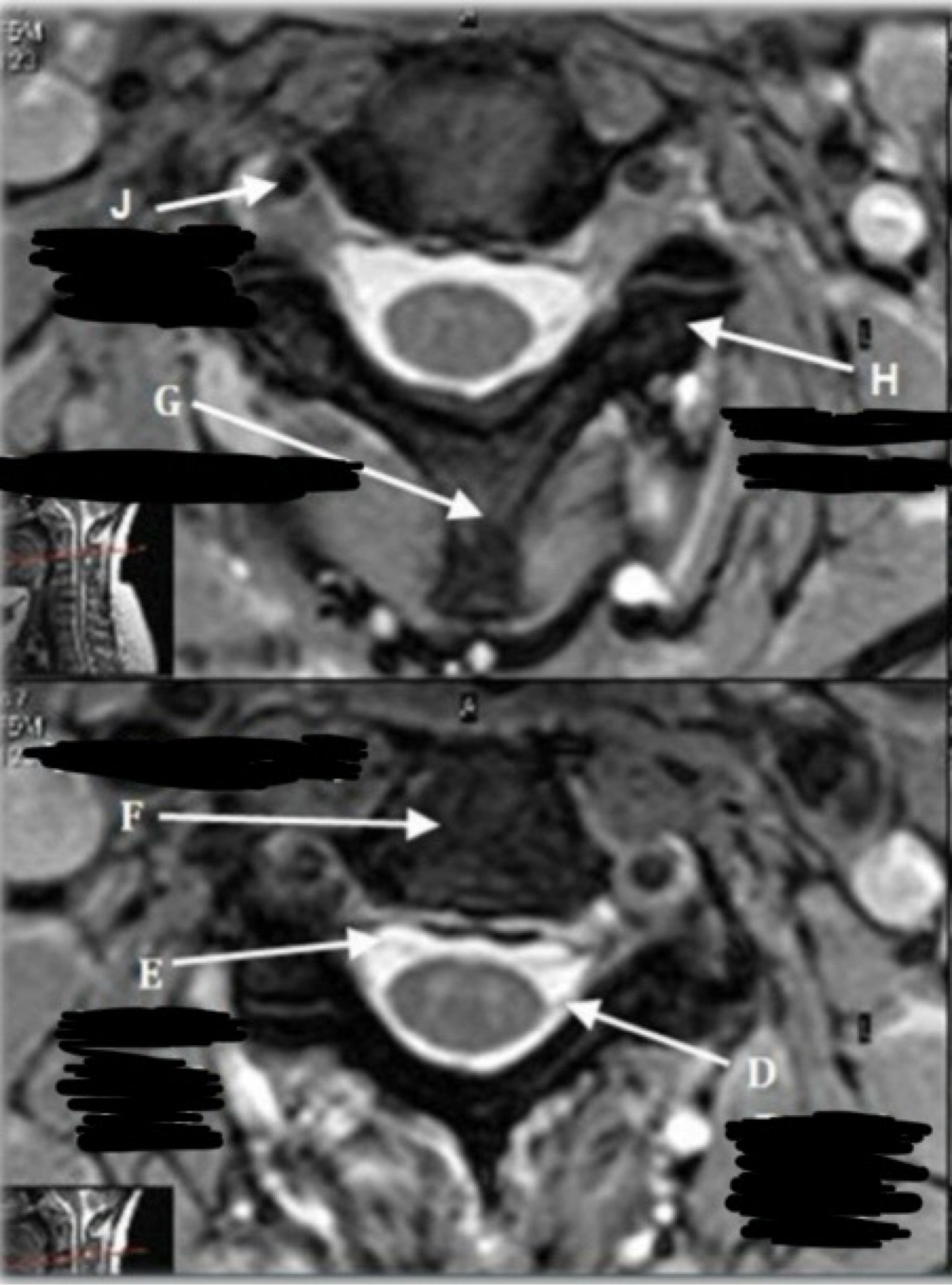
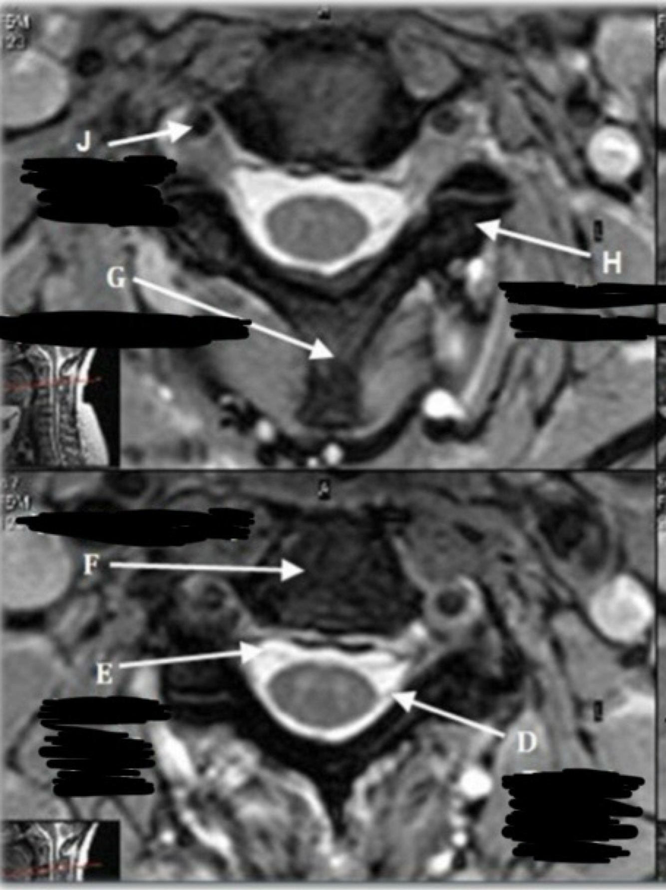
6
Q

What is letter F?

A

SPINOUS LIGAMENT

How well did you know this?
1
Not at all
2
3
4
5
Perfectly
7
Q

What is letter G?

A

VENUS PLEXUS

How well did you know this?
1
Not at all
2
3
4
5
Perfectly
8
Q

What is letter H?

A

POSTERIOR LONGITUDINAL LIGAMENT (PLL)

How well did you know this?
1
Not at all
2
3
4
5
Perfectly
9
Q

What is letter J?

A

ANTERIOR LONGITUDINAL LIGAMENT (ALL)

How well did you know this?
1
Not at all
2
3
4
5
Perfectly
10
Q

What is letter A?

A

CSF

How well did you know this?
1
Not at all
2
3
4
5
Perfectly
11
Q

What is letter B?

A

SPINAL CORD

How well did you know this?
1
Not at all
2
3
4
5
Perfectly
12
Q

What is letter C?

A

LAMINA

How well did you know this?
1
Not at all
2
3
4
5
Perfectly
13
Q

What is letter D?

A

DORSAL NERVE ROOT

How well did you know this?
1
Not at all
2
3
4
5
Perfectly
14
Q

What is letter E?

A

VENTRAL NERVE ROOT

How well did you know this?
1
Not at all
2
3
4
5
Perfectly
15
Q

What is letter F?

A

VERTEBRAL BODY

How well did you know this?
1
Not at all
2
3
4
5
Perfectly
16
Q

What is letter G?

A

SPINOUS PROCESS

How well did you know this?
1
Not at all
2
3
4
5
Perfectly
17
Q

What is letter H?

A

TRANSVERSE PROCESS

How well did you know this?
1
Not at all
2
3
4
5
Perfectly
18
Q

What is letter J?

A

VERTEBRAL ARTERY

How well did you know this?
1
Not at all
2
3
4
5
Perfectly
19
Q

What is letter A?

A

SPINAL CORD

How well did you know this?
1
Not at all
2
3
4
5
Perfectly
20
Q

What is letter B?

A

LIGAMENTUM FLAVUM

How well did you know this?
1
Not at all
2
3
4
5
Perfectly
21
Q

What is letter C?

A

SPINOUS PROCESS

How well did you know this?
1
Not at all
2
3
4
5
Perfectly
22
Q

What is letter D?

A

CSF

How well did you know this?
1
Not at all
2
3
4
5
Perfectly
23
Q

What is letter E?

A

VERTEBRAL BODY

How well did you know this?
1
Not at all
2
3
4
5
Perfectly
24
Q

What is letter F?

A

STERNUM

How well did you know this?
1
Not at all
2
3
4
5
Perfectly
25
What is letter H?
SUPRASTERNAL NOTCH
26
What is letter H?
SUPRASTERNAL NOTCH
27
What is letter A?
DESCENDING THORACIC AORTA
28
What is letter B?
SPINAL CORD
29
What is letter C?
SPINOUS PROCESS
30
What is letter D?
LAMINA
31
What is letter E?
CSF
32
What is letter F?
AZYGOS VEIN
33
What is letter A?
L4-5 HNP
34
What is letter B?
S1 VERTEBRAL BODY
35
What is letter C?
L5 VERTEBRAL BODY
36
What is letter D?
L2-3 DISK SPACE
37
What is letter A?
ABDOMINAL AORTA
38
What is letter B?
INTERVERTEBRAL DISC
39
What is letter C?
FACET JOINT
40
What is letter D?
SPINOUS PROCESS
41
What is letter E?
LAMINA
42
What is letter F?
SUPERIOR ARTICULAR PROCESS
43
What is letter G?
SPINAL CANAL
44
What is letter H?
INFERIOR VENA CAVA
45
What is letter A?
L4-5 INTERVERTEBRAL DISK SPACE
46
What is letter B?
PEDICLE
47
What is letter C?
NERVE ROOTS
48
What is letter D?
CSF
49
What is letter E?
ERECTOR SPINAE MUSCLE
50
What is letter F?
FACET (ZYGAPOPHYSEAL) JOINT
51
What is letter G?
L5 VERTEBRAL BODY
52
What is letter H?
SPINOUS PROCESS
53
What is letter J?
LAMINA
54
What is letter K?
PSOAS MUSCLE
55
What is letter A?
CEREBELLUM
56
What is letter B?
SPINAL CORD
57
What is letter C?
CSF
58
What is letter D?
SPINOUS PROCESS
59
What is letter E?
S1 VERTEBRAL BODY
60
What is letter F?
INTERVERTEBRAL DISK SPACE
61
What is letter G?
12TH THORACIC VERTEBRAE
62
What is letter H?
7TH THORACIC VERTEBRAE
63
What is letter J?
SUPRASTERNAL NOTCH
64
What is letter K?
3RD CERVICAL VERTEBRAE
65
What is letter L?
PONS