Brain Anatomy Flashcards

(146 cards)

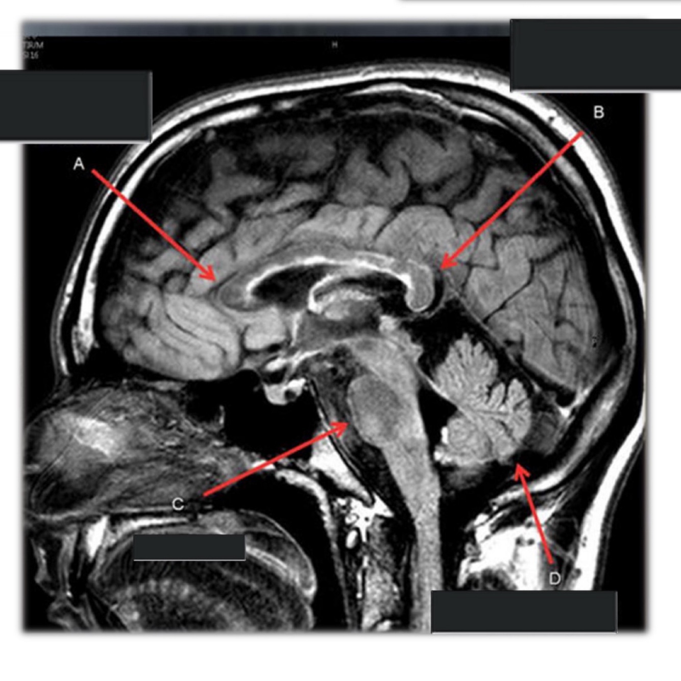
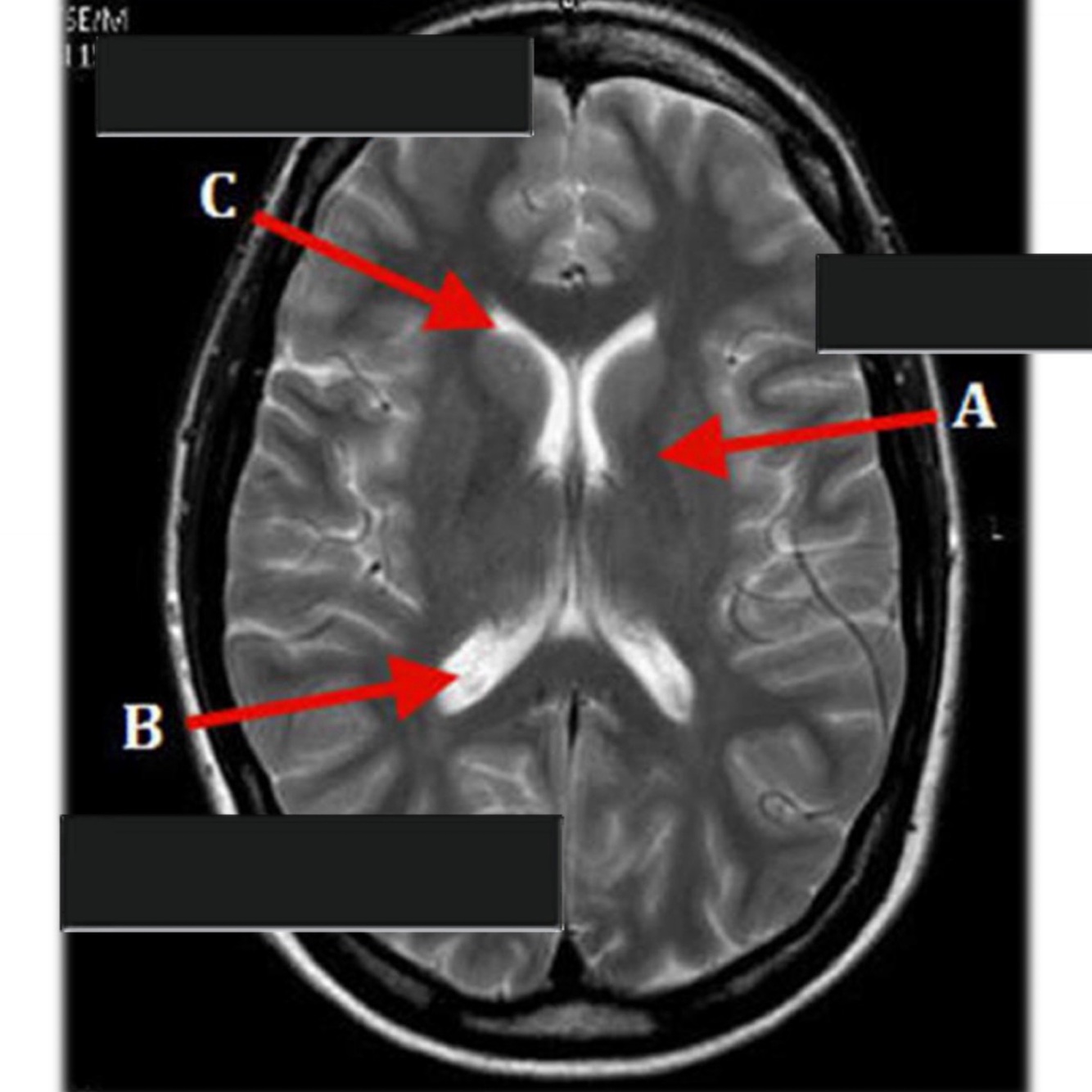
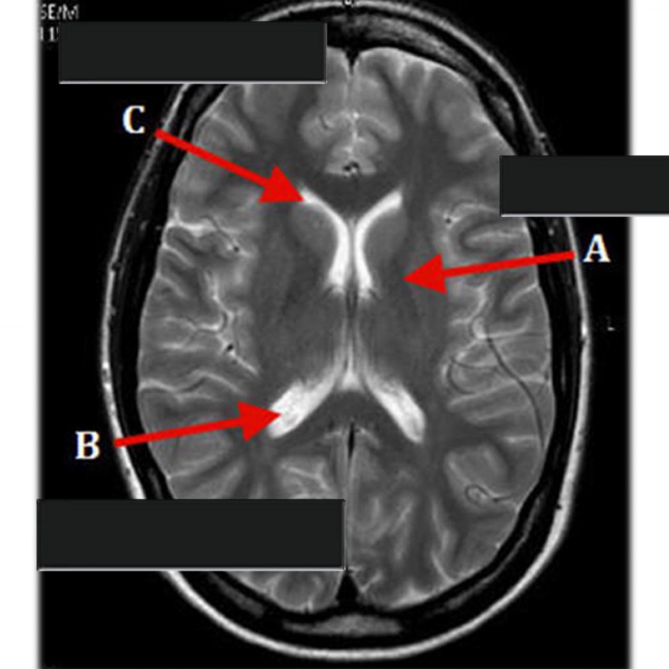
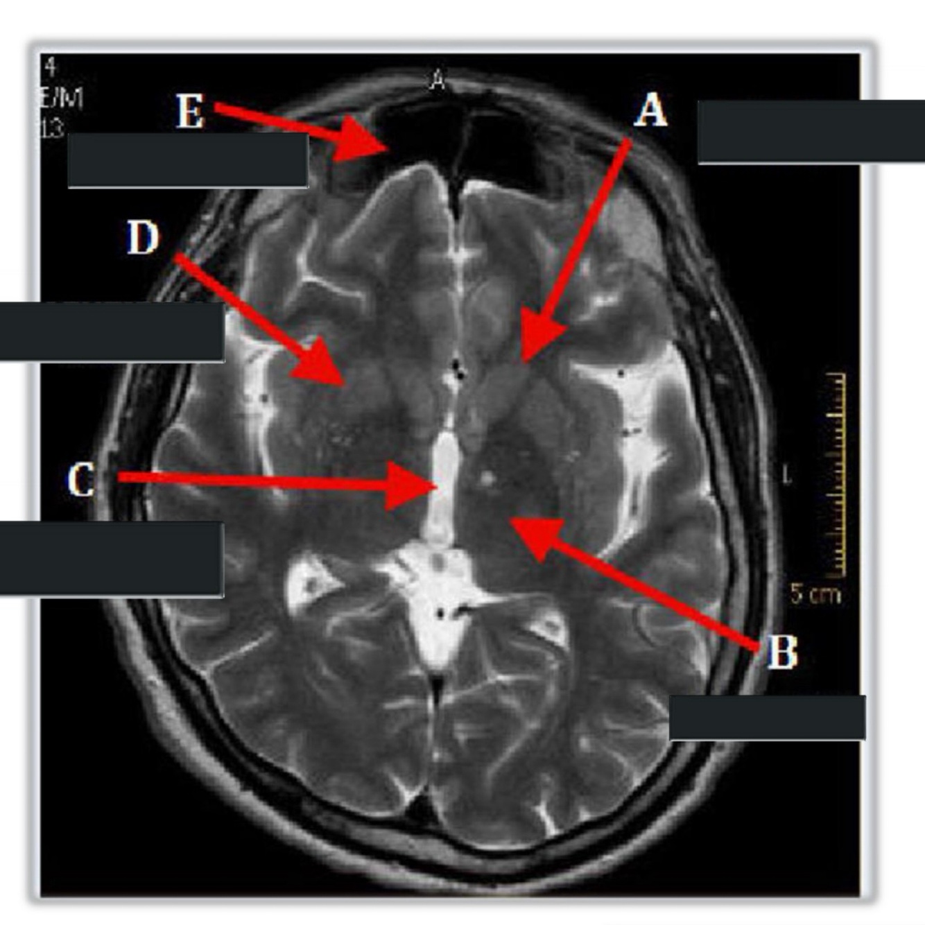
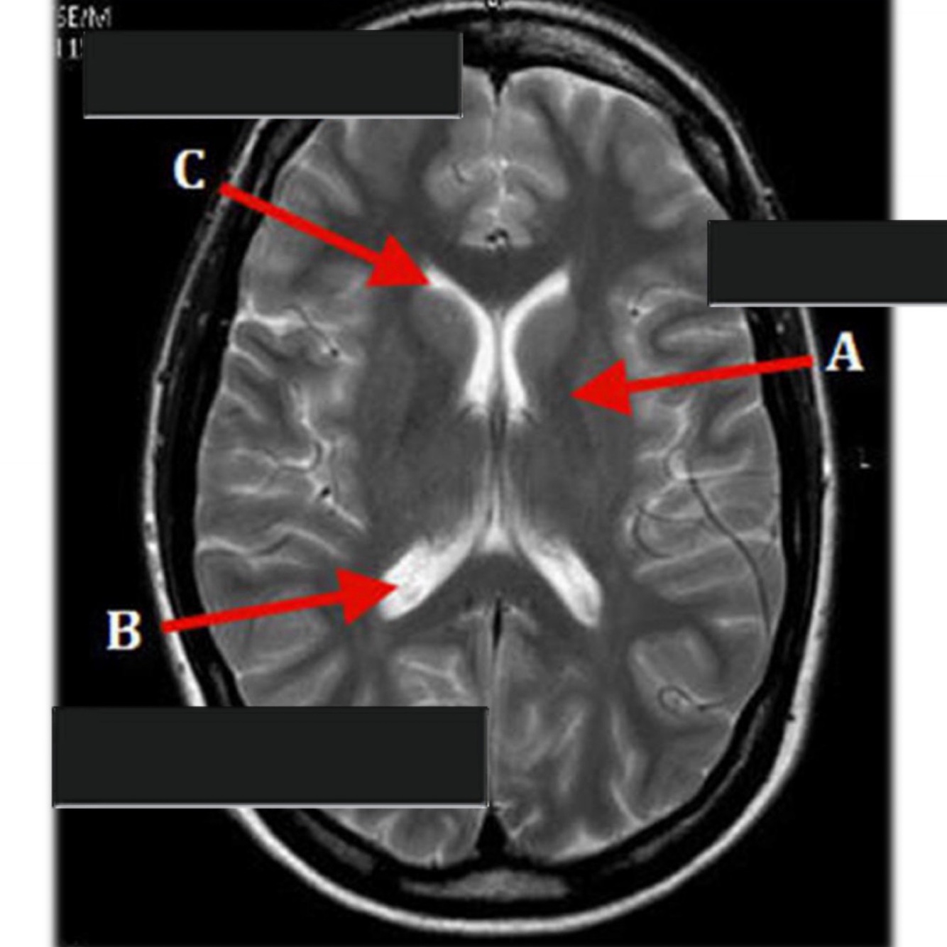
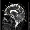
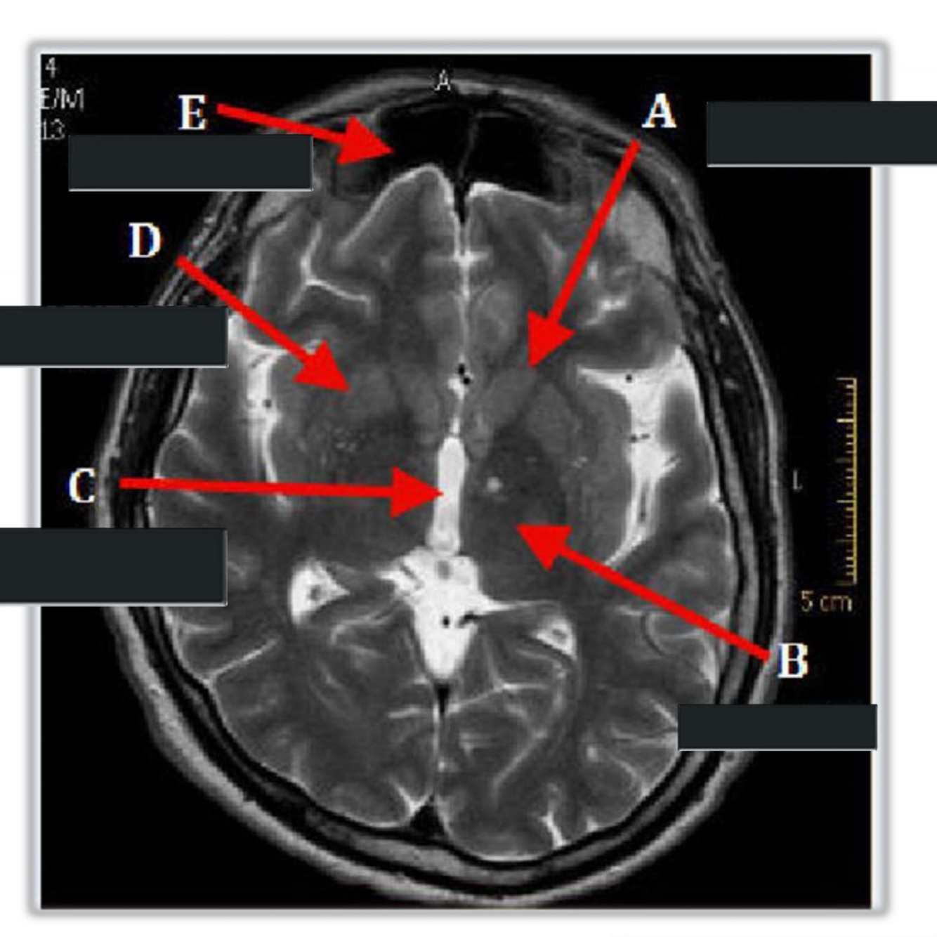
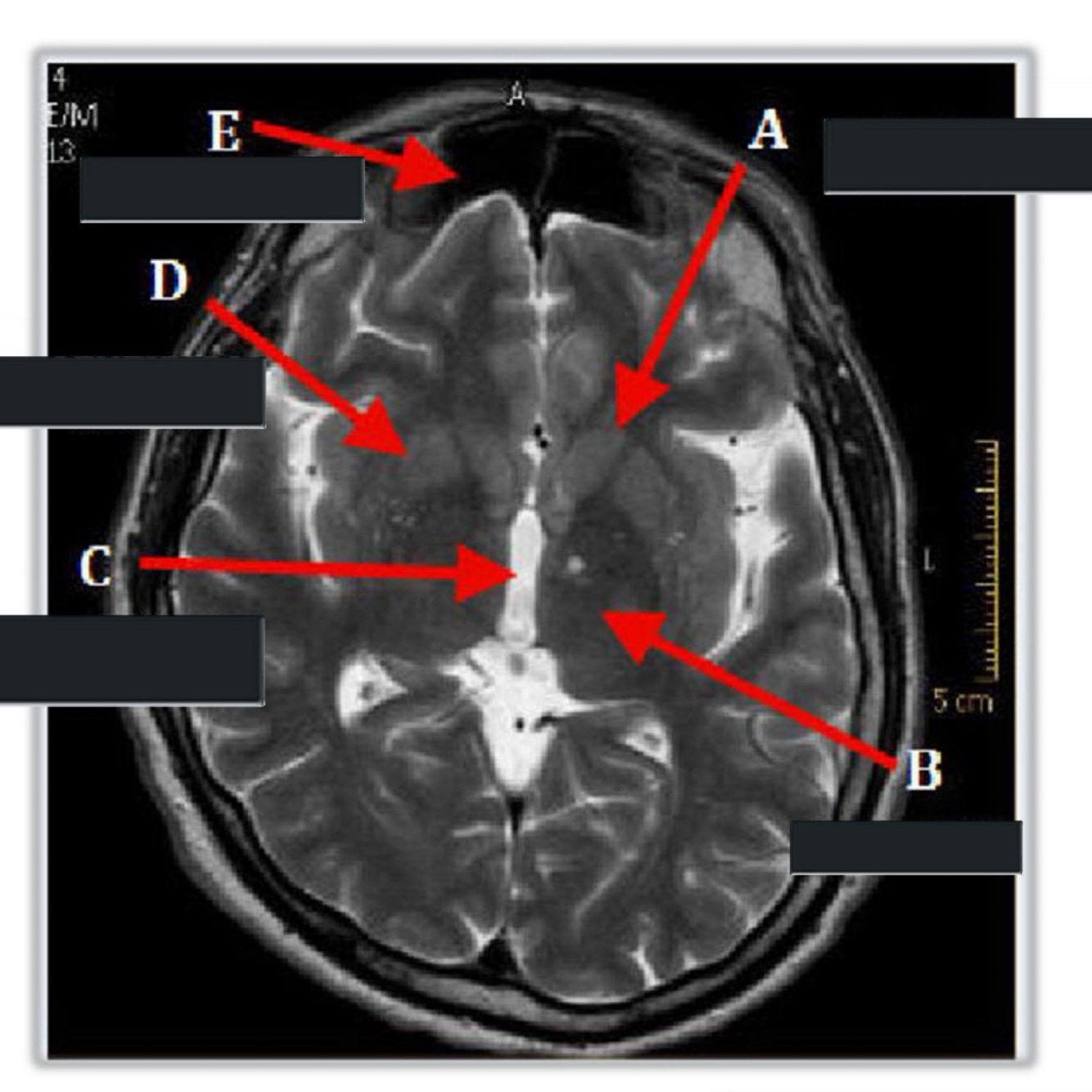
1
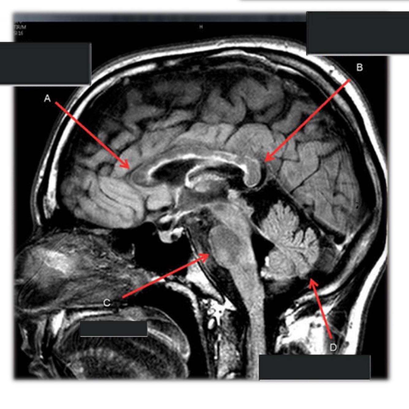
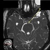
Q

What is letter A?

A

LATERAL VENTRICLE

How well did you know this?
1
Not at all
2
3
4
5
Perfectly
2
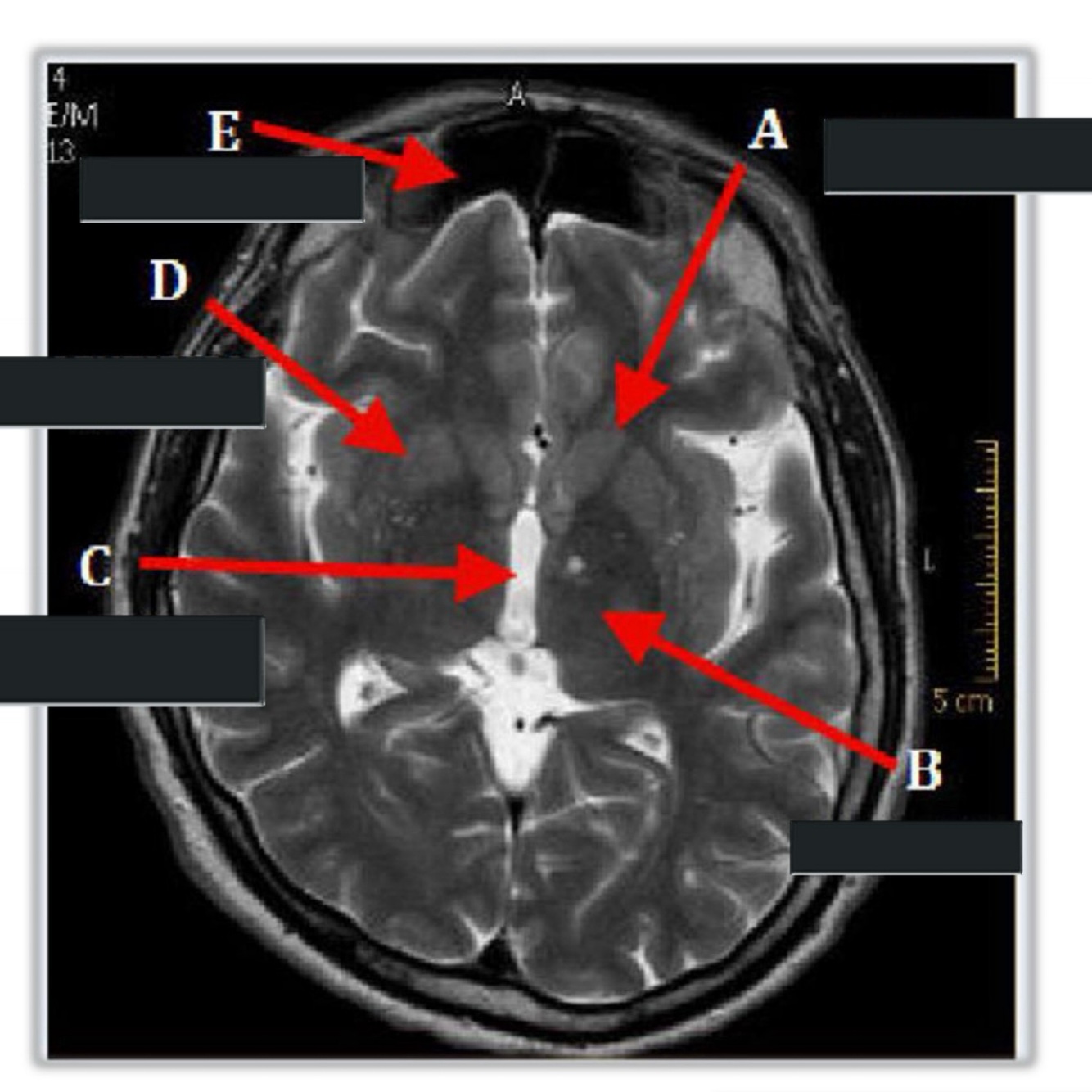
Q

What is letter B?

A

CORPUS CALLOSUM

How well did you know this?
1
Not at all
2
3
4
5
Perfectly
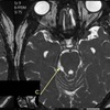
3
Q

What is letter C?

A

THALAMUS

How well did you know this?
1
Not at all
2
3
4
5
Perfectly
4
Q

What is letter D?

A

TENTORIUM

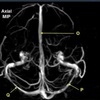
How well did you know this?
1
Not at all
2
3
4
5
Perfectly
5
Q

What is letter E?

A

4TH VENTRICLE

How well did you know this?
1
Not at all
2
3
4
5
Perfectly
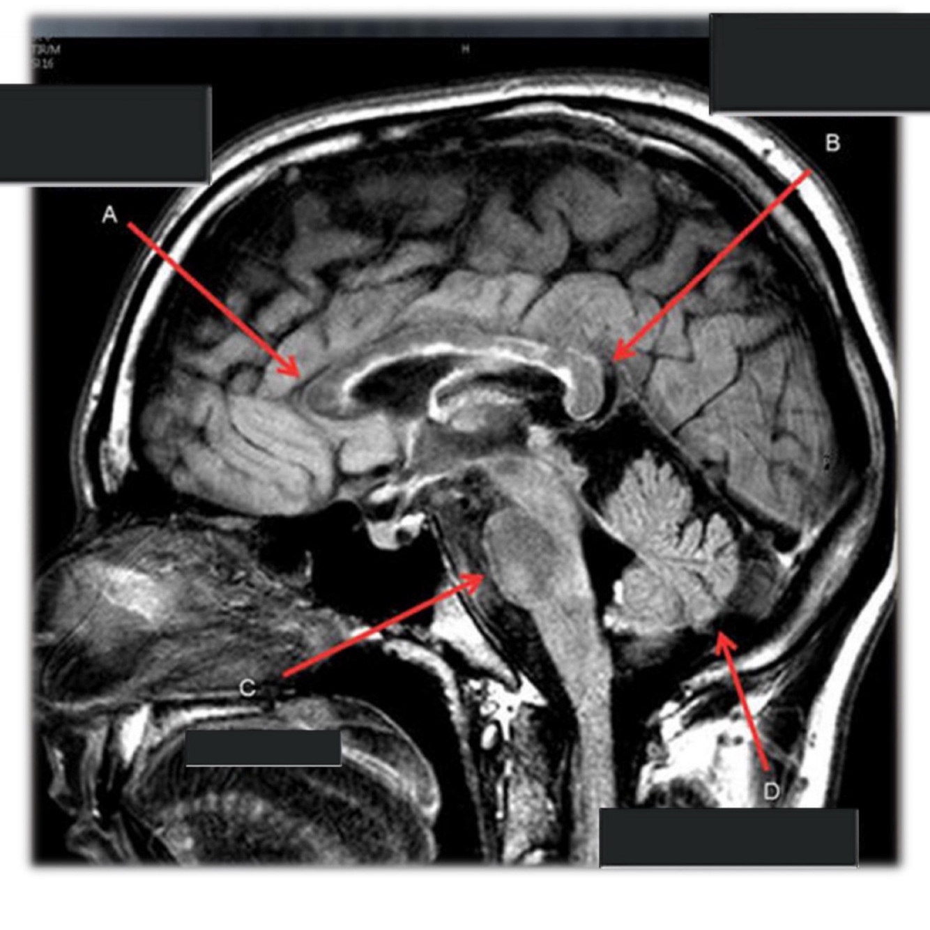
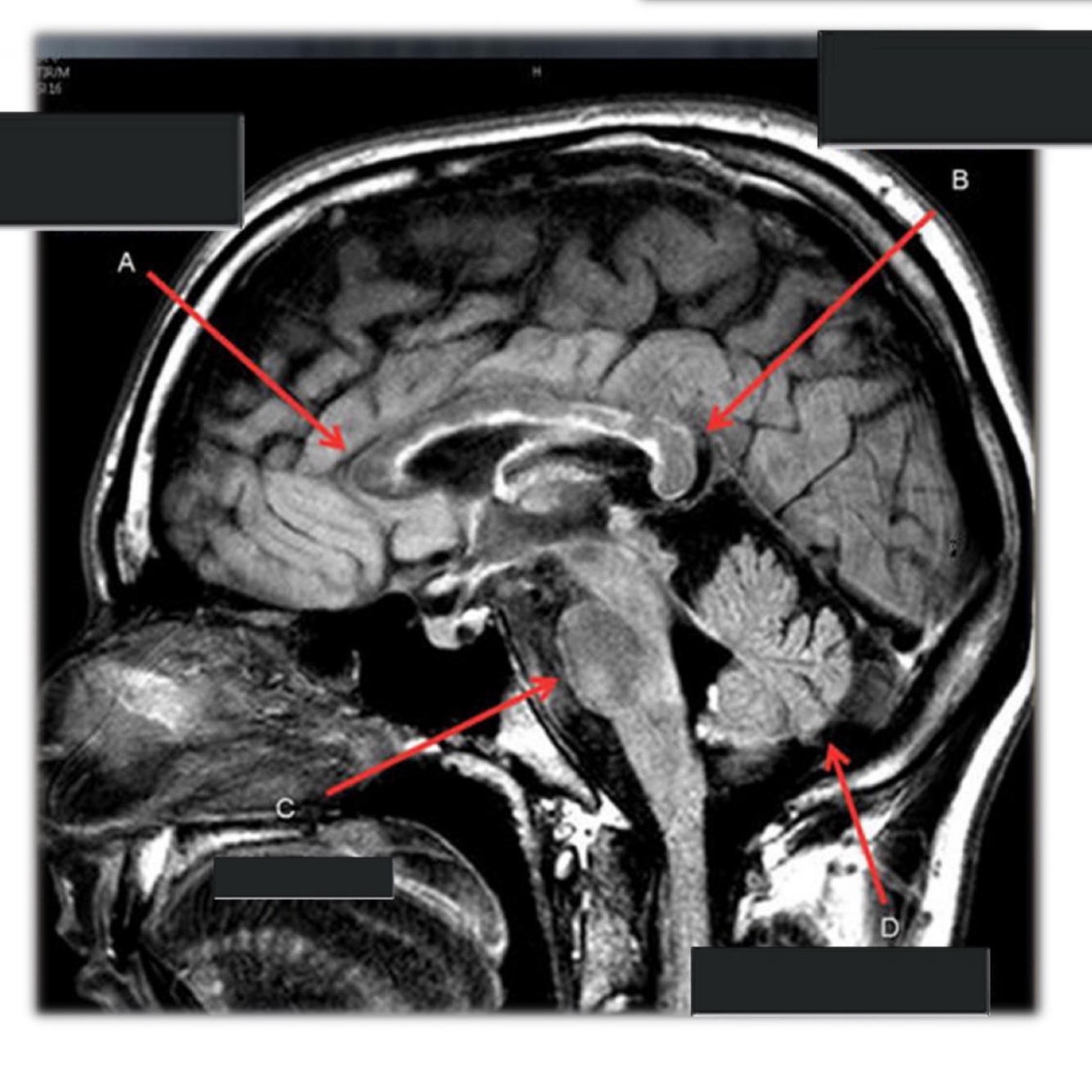
6
Q

What is letter A?

A

GENU CORPUS CALLOSUM

How well did you know this?
1
Not at all
2
3
4
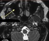
5
Perfectly
7
Q

What is letter B?

A

SPLENIUM CORPUS CALLOSUM

How well did you know this?
1
Not at all
2
3
4
5
Perfectly
8
Q

What is letter C?

A

PONS

How well did you know this?
1
Not at all
2
3
4
5
Perfectly
9
Q

What is letter D?

A

CEREBELLUM

How well did you know this?
1
Not at all
2
3
4
5
Perfectly
10
Q

What is letter A?

A

CAUDATE NUCLEUS

How well did you know this?
1
Not at all
2
3
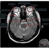
4
5
Perfectly
11
Q

What is letter B?

A

THALAMUS

How well did you know this?
1
Not at all
2
3
4
5
Perfectly
12
Q

What is letter C?

A

THIRD VENTRICLE

How well did you know this?
1
Not at all
2
3
4
5
Perfectly
13
Q

What is letter D?

A

LENTIFORM NUCLEUS

How well did you know this?
1
Not at all
2
3
4
5
Perfectly
14
Q

What is letter E?

A

FRONTAL SINUS

How well did you know this?
1
Not at all
2
3
4
5
Perfectly
15
Q

What is letter C?

A

ANTERIOR HORN LATERAL VENTRICLE

How well did you know this?
1
Not at all
2
3
4
5
Perfectly
16
Q

What is letter A?

A

BASAL GANGLIA

How well did you know this?
1
Not at all
2
3
4
5
Perfectly
17
Q

What is letter B?

A

POSTERIOR HORN LATERAL VENTRICLE

How well did you know this?
1
Not at all
2
3
4
5
Perfectly
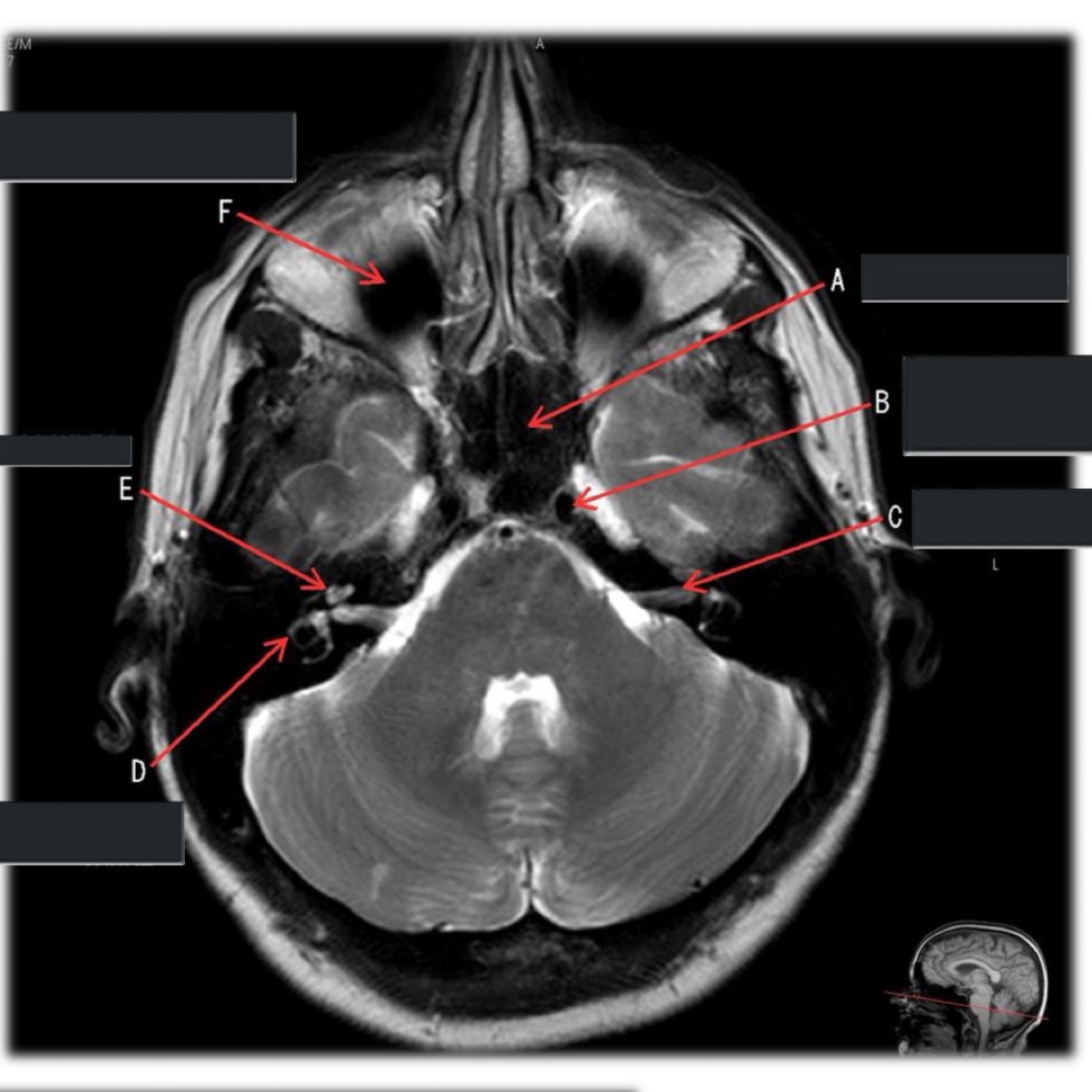
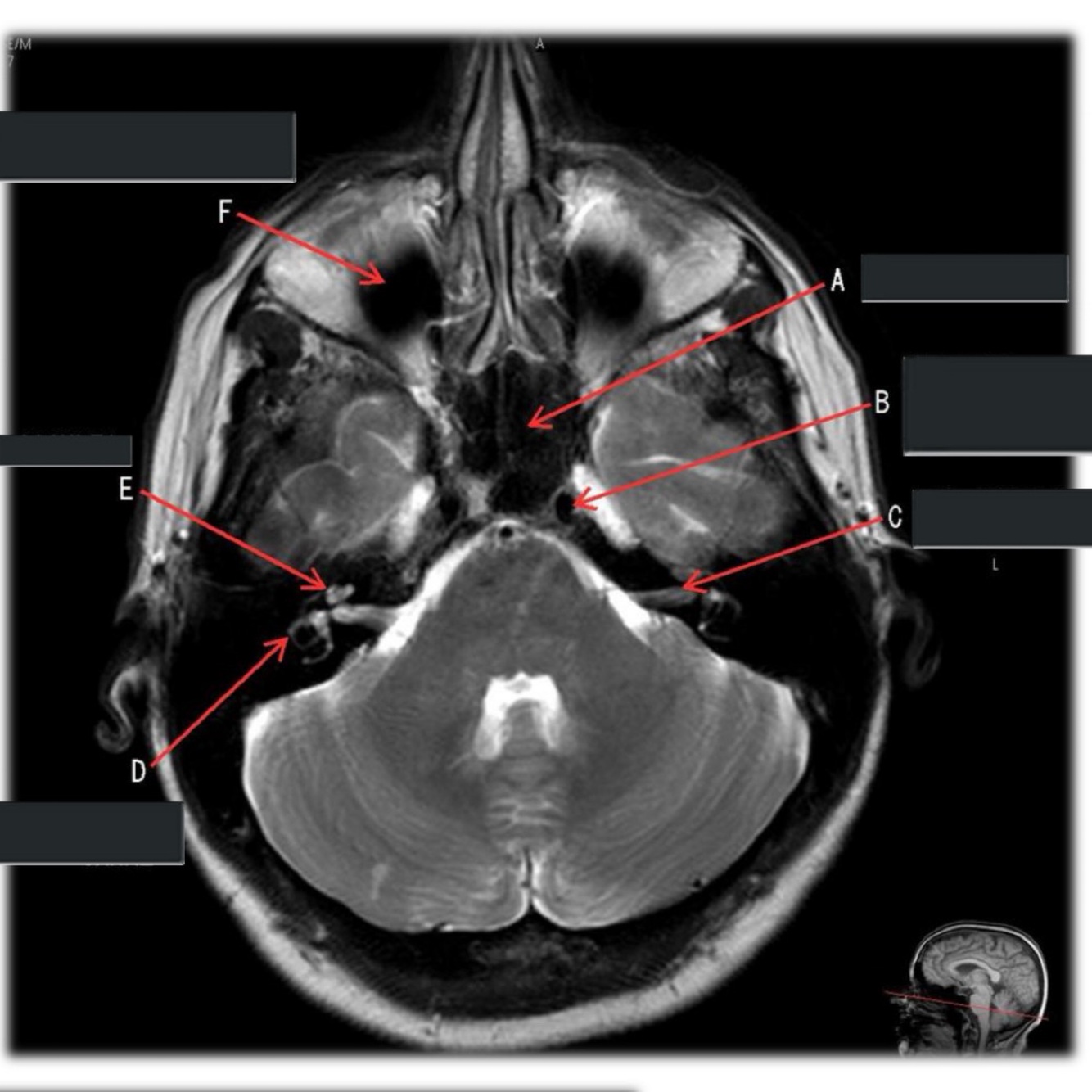
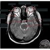
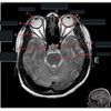
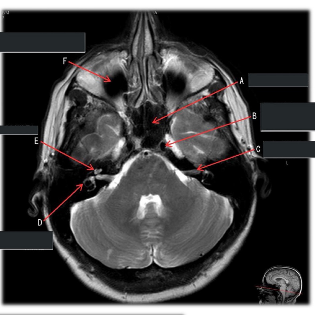
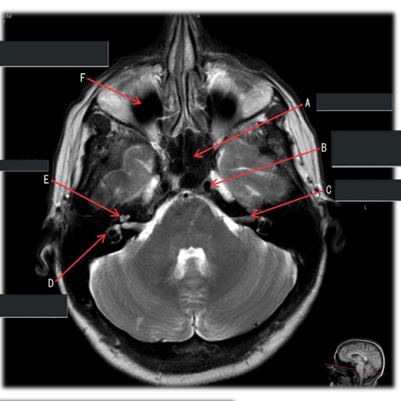
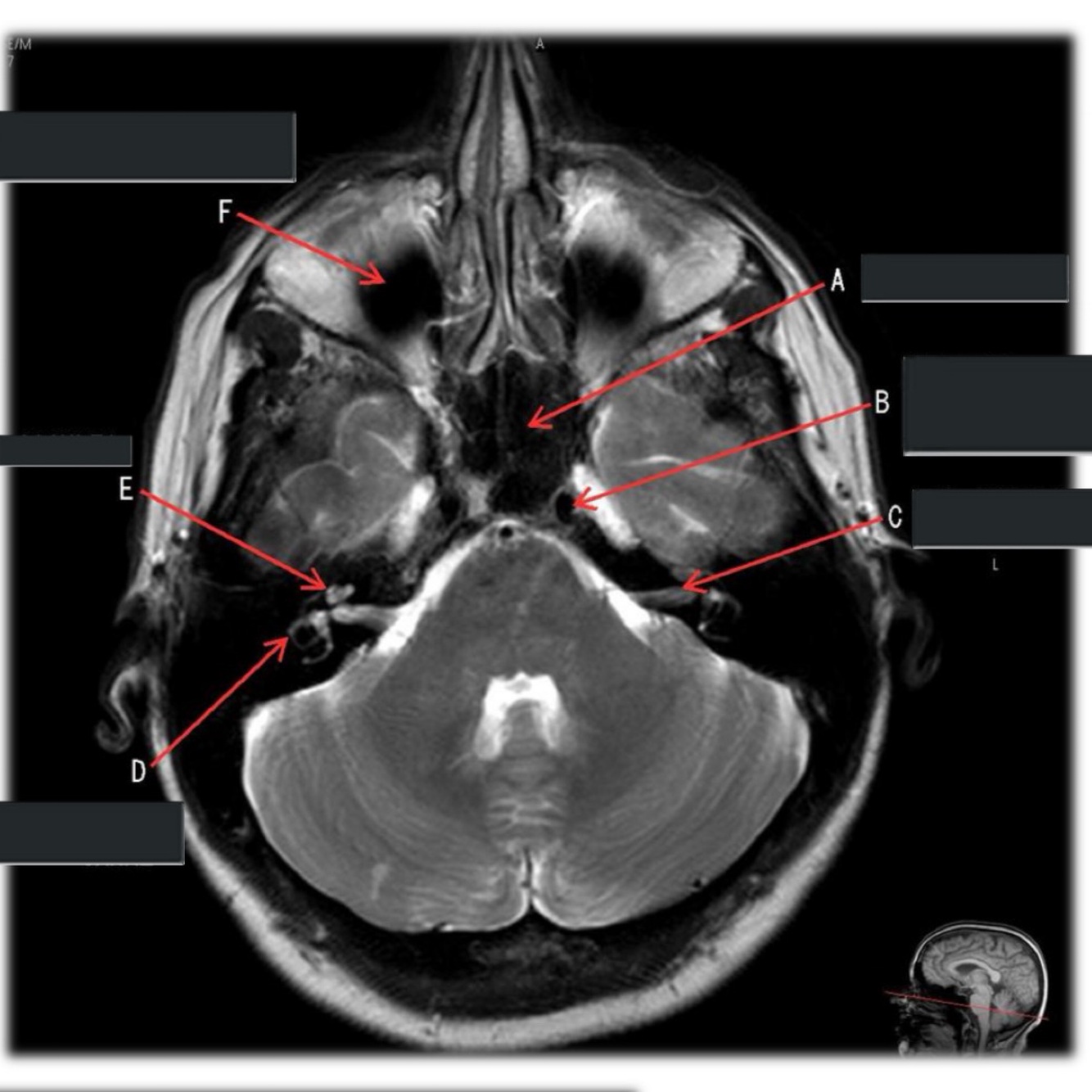
18
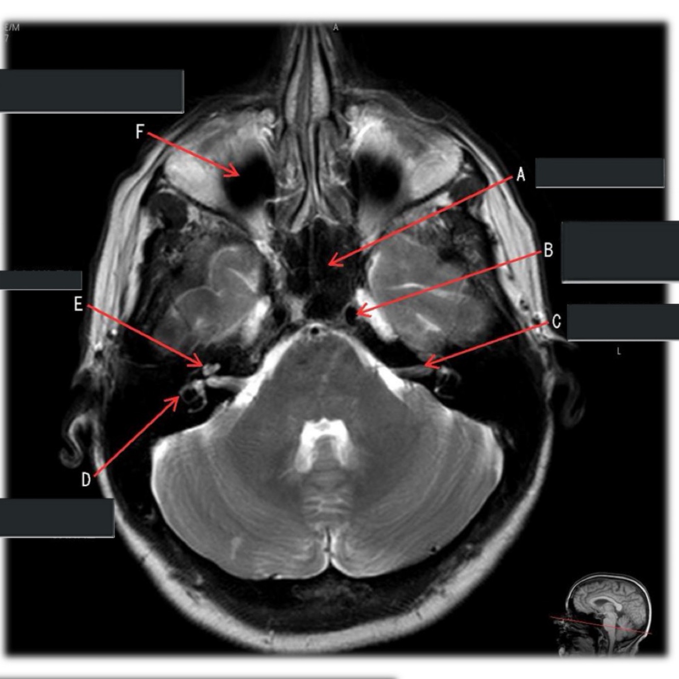
Q

What is letter A?

A

SPEHNOID SINUS

How well did you know this?
1
Not at all
2
3
4
5
Perfectly
19
Q

What is letter B?

A

INTERNAL CAROTID ARTERY

How well did you know this?
1
Not at all
2
3
4
5
Perfectly
20
Q

What is letter C?

A

7TH CRANIAL NERVE

How well did you know this?
1
Not at all
2
3
4
5
Perfectly
21
Q

What is letter D?

A

SEMICIRCULAR CANAL

How well did you know this?
1
Not at all
2
3
4
5
Perfectly
22
Q

What is letter E?

A

COCHLEA

How well did you know this?
1
Not at all
2
3
4
5
Perfectly
23
Q

What is letter F?

A

MAXILLARY SINUS

How well did you know this?
1
Not at all
2
3
4
5
Perfectly
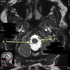
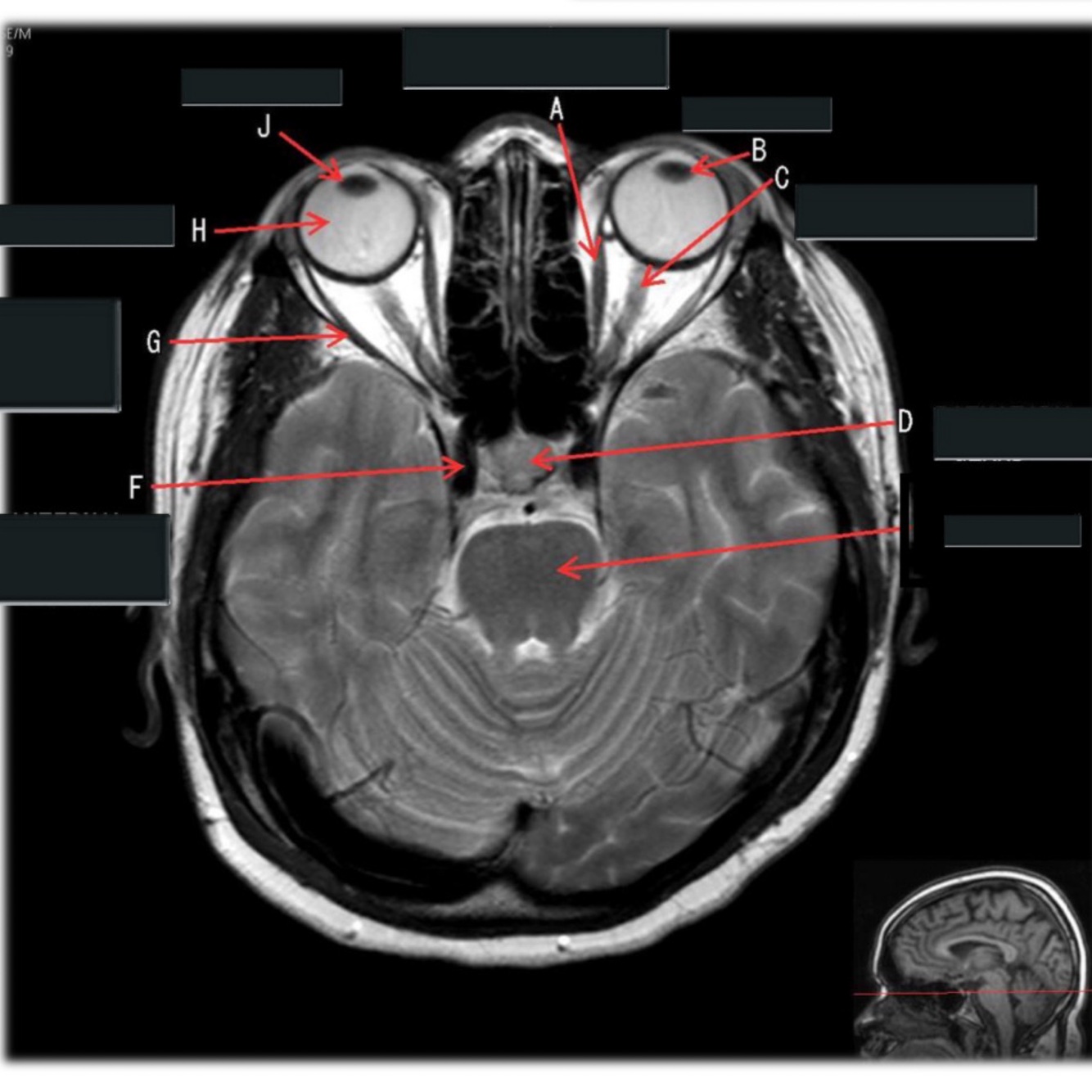
24
Q

What is letter A?

A

MEDIAL RECTUS MUSCLE

How well did you know this?
1
Not at all
2
3
4
5
Perfectly
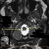
25
What is letter B?
LEFT LENS
26
What is letter C?
LT OPTIC NERVE
27
What is letter D?
PITUITARY GLAND
28
What is letter E?
PONS
29
What is letter F?
INTERNAL CAROTID ARTERY
30
What is letter G?
LATERAL RECTUS MUSCLE
31
What is letter H?
RT GLOBE
32
What is letter J?
RT LENS
33
What is letter A?
GENU OF THE CORPUS CALLOSUM
34
What is letter B?
CAUDATE NUCLEUS
35
What is letter C?
INTERNAL CAPSUAL
36
What is letter D?
WHITE MATTER
37
What is letter E?
GRAY MATTER
38
What is letter E?
GRAY MATTER
39
What is letter F?
LENTIFORM NUCLEUS
40
What is letter A?
PITUITARY GLAND
41
What is letter B?
LATERAL VENTRICLE
42
What is letter C?
CORPUS CALLOSUM
43
What is letter D?
SAGITTAL SINUS
44
What is letter E?
FORNIX
45
What is letter F?
INTERNAL CAROTID ARTERY
46
What is letter A?
ANTERIOR CEREBRAL ARTERY
47
What is letter B?
INTERNAL CAROTID ARTERY
48
What is letter C?
VERTEBRAL ARTERY
49
What is letter D?
BASILAR ARTERY
50
What is letter E?
POSTERIOR CEREBRAL ARTERY
51
What is letter F?
MIDDLE CEREBRAL ARTERY
52
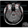
What is letter A?
EXTERNAL CAROTID ARTERY
53
What is letter B?
INTERNAL CAROTID ARTERY
54
What is letter C?
COMMON CAROTID BIFURCATION
55
What is letter D?
COMMON CAROTID ARTERY
56
What is letter E?
VERTEBRAL ARTERY
57
What is letter A?
MANDIBULAR CONDYLE
58
What is letter B?
ARTICULAR DISK
59
What is letter C?
ARTICULAR TUBERCLE
60
What is letter O?
SUPERIOR SAG. SINUS
61
What is letter P?
LT TRANSVERSE SINUS
62
What is letter Q?
RT TRANSVERSE SINUS
63
What is letter A?
ANTERIOR FRONTAL VEIN
64
What is letter B?
POSTERIOR FRONTAL VEIN
65
What is letter C?
PARIETAL VEINS
66
What is letter D?
SUPERIOR SAG SINUS
67
What is letter E?
TROCULAR HEROPHILI
68
What is letter R?
BASAL VEIN (ROSENTHAL VEIN)
69
What is letter S?
INTERNAL CEREBRAL VEIN
70
What is letter F?
INTERNAL JUGULAR VEIN
71
What is letter G?
RT TRANSVERSE SINUS
72
What is letter H?
SUPERIOR SAG SINUS
73
What is letter J?
RT PARIETAL VEINS
74
What is letter K?
VEIN OF TROLARD
75
What is letter L?
LT PARIETAL VEINS
76
What is letter M?
LT SIGMOID SINUS
77
What is letter N?
TROCULAR HEROPHILI
78
What is letter A?
VERTBRO-BASILAR JUNCTION
79
What is letter B?
LT EXTERNAL CAROTID ARTERY
80
What is letter C?
LT COMMON CAROTID BIFURCATION
81
What is letter D?
LT VERTEBRAL ARTERY
82
What is letter E?
LT SUBCLAVIAN ARTERY
83
What is letter F?
THORACIC AORTA
84
What is letter G?
BRACHIOCEPHALIC (INNOMINATE) ARTERY
85
What is letter H?
RT SUBCLAVIAN ARTERY
86
What is letter J?
RT COMMON CAROTID ARTERY
87
What is letter K?
RT INTERNAL CAROTID ARTERY
88
What is letter AA?
CEREBELLAR TONSILS
89
What is letter Z?
AQUEDUCT OF SYLVIUS
90
What is letter Y?
INFERIOR COLLICULUS OF MIDBRAIN
91
What is letter X?
VEIN OF GALEN
92
What is letter W?
SUPERIOR SAG SINUS
93
What is letter V?
CEREBRAL PEDUNCLE
94
What is letter U?
GENU OF CORPUS CALLOSUM
95
What is letter T?
FRONTAL SINUS
96
What is letter S?
PITUITARY GLAND
97
What is letter R?
PONS
98
What is letter Q?
UVULA
99
What is letter G?
LATERAL VENTRICLE
100
What is letter H?
SULCUS
101
What is letter J?
FOURTH VENTRICLE
102
What is letter K?
CEREBELLUM
103
What is letter L?
OPTIC CHIASM
104
What is letter M?
THALAMUS
105
What is letter N?
BODY OF CORPUS CALLOSUM
106
What is letter O?
SPLENIUM OF CORPUS CALLOSUM
107
What is letter P?
CEREBELLUM
108
What is letter A?
INTERNAL CAROTID ARTERY
109
What is letter B?
CAUDATE NUCLEUS
110
What is letter C?
WHITE MATTER
111
What is letter D?
THALAMUS
112
What is letter E?
GRAY MATTER
113
What is letter F?
STRAIGHT SINUS
114
What is letter H?
RT OLFACTORY NERVE (CN I)
115
What is letter J?
LT OLFACTORY NERVE (CN I)
116
What is letter A?
LT OPTIC NERVE (CN II)
117
What is letter B?
BASILAR ARTERY
118
What is letter C?
RT TROCHLEAR NERVE (CN IV)
119
What is letter D?
LT OCULIMOTOR NERVE (CN III)
120
What is letter E?
LT TROCHLEAR NERVE (CN IV)
121
What is letter F?
RT OCULOMOTOR NERVE (CN III)
122
What is letter G?
RT OPTIC NERVE (CN II)
123
What is letter A?
RT ABDUCENS NERVE (CN VI)
124
What is letter B?
LT ABDUCENS NERVE (CN VI)
125
What is letter C?
RT TRIGEMINAL NERVE (CN V)
126
What is letter D?
LT TRIGEMINAL NERVE (CN V)
127
What is letter E?
RT TROCHLEAR NERVE (CN IV)
128
What is letter F?
LT TROCHLEAR NERVE (CN IV)
129
What is letter A?
COCHLEA
130
What is letter B?
LT FACIAL NERVE (CN VII)
131
What is letter C?
SEMICIRCULAR CANAL
132
What is letter D?
LT VESTIBULOCOCHLEAR NERVE (CN VIII)
133
What is letter E?
RT VESTIBULOCOCHLEAR NERVE (CN VIII)
134
What is letter F?
RT FACIAL NERVE (CN VII)
135
What is letter A?
RT VAGUS NERVE (CN 10)
136
What is letter B?
LT GLOSSOPHARYNGEAL NERVE (CN IX)
137
What is letter C?
RT GLOSSOPHARYNGEAL NERVE (CN IX)
138
What is letter A?
POSTERIOR INFERIOR CEREBELLAR ARTER
139
What is letter B?
SPINAL ACCESSORY NERVES
140
What is letter C?
VERTEBRAL ARTERIES
141
What is letter D?
CSF
142
What is letter E?
INTERNAL CAROTID ARTERY
143
What is letter F?
LT HYPOGLOSSAL NERVE (CN XII)
144
What is letter G?
CEREBELLUM
145
What is letter H?
MAXILLARY SINUS
146
What is letter J?
RT HYPOGLOSSAL NERVE (CN XII)