Bone & Soft Tissue Pathology Flashcards

(100 cards)

1
Q

What sarcoma shows cytoplasmic but not nuclear WT1 expressin?

A

Rhabdomyosarcoma

How well did you know this?
1
Not at all
2
3
4
5
Perfectly
2
Q

What stain helps differentiate smooth muscle tumors from myofibroblastic tumors?

A

Caldesmon

How well did you know this?
1
Not at all
2
3
4
5
Perfectly
3
Q

What is the difference in how actins stain smooth muscle and myofibroblastic tumors?

A

Myofibroblastic tumors show a “tram track” pattern of staining with actins due to peripheral cytoplasmic accentuation (ie in nodular fasciitis) but in smooth muscle tumors the staining will be diffuse

How well did you know this?
1
Not at all
2
3
4
5
Perfectly
4
Q

What stains are positive in desmoplastic small round blue cell tumor and what translocation is present?

A

Polyphenotypic marker expression: WT1+, CK+, EMA+, desmin (dot-like), actin-, NSE+, syn/chr-, CD99 variable

t(11;22)(p13;q11.2 or q12): WT1-EWS

How well did you know this?
1
Not at all
2
3
4
5
Perfectly
5
Q

What is the molecular event in alveolar soft parts sarcoma?

A

t(X;17)(p11;q25) TFE3-ASPL fusion

How well did you know this?
1
Not at all
2
3
4
5
Perfectly
6
Q

What is the molecular event in aneursymal bone cyst?

A

t(16;17)q22;p13) CDH11-USP6 fusion

How well did you know this?
1
Not at all
2
3
4
5
Perfectly
7
Q

What are the molecular events in angiomatoid fibrous histocytoma?

*they are the same as for clear cell sarcoma

A

t(12;22)(q13;q12) EWSR1-ATF1 fusion

t(2;22)(q33;q12) EWSR1-CREB1 fusion

How well did you know this?
1
Not at all
2
3
4
5
Perfectly
8
Q

What are the molecular events in extraskeletal myxoid chondrosarcoma?

A

t(9;22)(q22;q12) EWS-NR4A3 fusion

t(9;17)(q22;q11) TAF2N-NR4A3 fusion

t(9;15)(q22;q21) TCF12-NR4A3 fusion

How well did you know this?
1
Not at all
2
3
4
5
Perfectly
9
Q

What are the molecular events in clear cell sarcoma?

*they are the same as angiomatoid fibrous histiocytoma

A

t(12;22)(q13;q12) EWSR1-ATF1 fusion

t(2;22(q33;q12) EWSR1-CREB1 fusion

How well did you know this?
1
Not at all
2
3
4
5
Perfectly
10
Q

What is the molecular event in desmoplastic small round blue cell tumor?

A

t(11;22)(p13;q12) EWSR1-WT1 fusion

How well did you know this?
1
Not at all
2
3
4
5
Perfectly
11
Q

What is the molecular event in DFSP?

A

Ring form of chr 17 and 22 COL1A1-PDGFB fusion

t(17;22)(q21;q13) COL1A1-PDGFB fusion

How well did you know this?
1
Not at all
2
3
4
5
Perfectly
12
Q

What are the molecular events in Ewings sarcoma/PNET?

A

t(11;22)(q24;q12) EWSR1-FLI1 fusion

t(21;22)(q12;q12) EWSR1-ERG fusion

t(2;22)(q33;q12) EWSR1-FEV fusion

t(7;22)(p22;q12) EWSR1-ETV1 fusion

t(17;22)(q12;q12) EWSR1-E1AF fusion

inv(22)(q12q12) EWSR1-ZSG fusion

t(16;21)(p11;q22) FUS-ERG fusion

How well did you know this?
1
Not at all
2
3
4
5
Perfectly
13
Q

What are the molecular events in infantile fibrosarcoma?

A

t(12;15)(p13;q26) ETV6-NTRK3 fusion (also in mesoblastic nephroma)

Trisomies 8, 11, 17, and 20

How well did you know this?
1
Not at all
2
3
4
5
Perfectly
14
Q

What are the molecular events in inflammatory myofibroblastic tumor?

A

t(1;2)(q22;p23) TPM3-ALK fusion

t(2;19)(p23;p13) TPM4-ALK fusion

t(2;17)(p23;q23) CLTC-ALK fusion

t(2;2)(p23;q13) RANB2-ALK fusion

How well did you know this?
1
Not at all
2
3
4
5
Perfectly
15
Q

What is the molecular event in leiomyosarcoma?

A

Complex with frequent deletion of 1p

How well did you know this?
1
Not at all
2
3
4
5
Perfectly
16
Q

What are the molecular events in liposarcomas?

A

Well-differentiated: Ring form of chromosome 12 Amplification of MDM2, CDK4, and others

Myxoid/Round cell: t(12;16)(q13;p11) TLS-DDIT3 fusion

t(12;22)(q13;q12) EWSR1-DDIT3 fusion

Pleomorphic: Complex

How well did you know this?
1
Not at all
2
3
4
5
Perfectly
17
Q

What is the molecular event in low grade fibromyxoid sarcoma?

A

t(7;16)(q33;p11) FUS-CREB3L2 fusion

How well did you know this?
1
Not at all
2
3
4
5
Perfectly
18
Q

What is the molecular event in myxofibrosarcoma?

A

Ring form of chromosome 12

How well did you know this?
1
Not at all
2
3
4
5
Perfectly
19
Q

What is the molecular event in rhabdoid tumor?

A

Deletion of 22q INI1 inactivation

How well did you know this?
1
Not at all
2
3
4
5
Perfectly
20
Q

What are the molecular events in rhabdomyosarcomas?

A

Alveolar: t(2;13)(q35;q14) PAX3-FOXO1A fusion

t(1;13)(p36;q14), double minutes PAX7-FOXO1A fusion

t(2 ;2)(q35 ;p23) PAX3-NCOA1 fusion

PAX3-AFX fusion

*hint* they will try to trick you!!!!! If you see FKHR, it is the same thing as FOX01! So you may see PAX3-FKHR or PAX7-FKHR

Embryonal: Trisomies 2q, 8 and 20 Loss of heterozygosity at 11p15

How well did you know this?
1
Not at all
2
3
4
5
Perfectly
21
Q

What is the molecular event in solitary fibrous tumor?

A

Inversion chromosome 12 NAB2-STAT6

How well did you know this?
1
Not at all
2
3
4
5
Perfectly
22
Q

What are the molecular events in synovial sarcoma?

A

Monophasic: t(X;18)(p11;q11) SYT-SSX1, SYT-SSX2 or SYT-SSX4 fusion

Biphasic: t(X;18)(p11;q11) Predominantly SYT-SSX1 fusion

How well did you know this?
1
Not at all
2
3
4
5
Perfectly
23
Q

What three disorders have multiple enchondromas?

A

Ollier disease, Maffucci syndrome, and metachondromatosis

*both of the first two have mutation in PTH1R on 3p21-22

Maffucci: sporadic disease characterized by the presence of multiple enchondromas associated with multiple hemangiomas. Also lymphangiomas may be apparent. Is associated with a higher risk of CNS, pancreatic, and ovarian malignancies.

Ollier: more common than Maffucci syndrome and is a non-hereditary disorder, and presents with multiple enchondromas often in a unilateral distribution (ie half the body of limb). However, hemangiomas and lymphangiomas are not seen in Ollier disease

How well did you know this?
1
Not at all
2
3
4
5
Perfectly
24
Q

What are the main benign and malignant polyostotic lesions of the bone?

A

Benign: Langerhans cell histiocytosis

Fibrous dysplasia

Paget disease

Angiomatous lesions

Malignant: mets, myeloma

How well did you know this?
1
Not at all
2
3
4
5
Perfectly
25
How Does Osteoporosis Affect the Levels of Serum Calcium, Phosphate and PTH?
In spite of the marked decrease in mineral content in bone, serum calcium, phosphate and PTH are normal Since there is no increase in osteoblastic activity, serum alkaline phosphatase is normal \*this is in contrast to osteomalacia where overactive resorption of bone results in increased calcium levels, decreased phosphorous
26
What tumor causes tumor associated osteomalacia (hint it looks like a solitary fibrous tumors with calcifications)?
**_Phosphaturic mesenchymal tumor_** Present with weakness, bone pain, fracture After you remove thier tumor, osteomalacia goes away Micro description: * Hypocellular tumor of bland spindled cells with small nuclei, indistinct nucleoli, osteoclast-like giant cells, myxoid change, hemangiopericytoma-like vessels, distinctive “grungy” calcified matrix, fat, microcysts, hemorrhage, incomplete rim of membranous ossification, metaplastic bone * Infiltrative * No/rare mitotic activity, no atypia * Malignant: rare cases with nuclear atypia, 5+ mitotic figures/10 HPF, high cellularity, resembles MFH
27
What is the defect and mutation in osteogenesis imperfecta?
Defect in synthesis of collagen type I (COL1A1 and COL1A2) by osteoblast, fibroblast, and other cell types.
28
**BQ!** What disease is from osteoclastic failure and is a result of sclerosis of the bone with thickening of the cortex and filling of marrow cavity, “Erylenmeyer Flask”? What is another name for this disease they could use on boards?
Osteopetrosis aka Albers-Schonberg Disease ## Footnote Associated anemia, extramedullary hematopoiesis, hypersplenism, and infection. Bones are brittle and fracture. Bone is dense and trabeculae have cores of cartilage. While there may be abundant osteoclasts, they are not functional and fail to resorb calcified cartilage.
29
What three histologic features are characteristic of chronic osteomyelitis? What chronic osteomyelitis disorder is seen in kids?
1) marrow fibosis, 2) plasma cells, 3) bony remodeling CRMO= Chronic Recurrent Multifocal Osteomyelitis \*same findings histologically but it is in kids and they never culture out an organism and keeps coming back
30
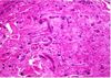
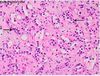
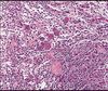
What is the most common cause of this lesion?
**Steroids** this is showing avascular necrosis also DM, ETOH, Sickle cell dz and other hemoglobinopathies, deep sea divers and rarely Gaucher's \*these are causes of idiopathic cases and tend to be bilateral and there is also the post-traumatic type which is usually unilateral
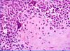
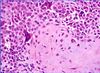
31
What is the characteristic feature shown indicative of?
AVASCULAR NECROSIS This is showing "cresecent sign" where dead bone is pulling away from cortex and there is a space
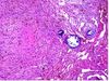
32
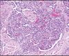
**COULD SHOW ON BOARD!** What is this a picture of?
Osteosarcoma arising in Paget disease! 1% of patients with Paget disease will develop osteosarcoma You can tell this is arising in Paget because of the mosaic lines (changing direction) in the bone
33
What syndromes have multiple enchondromatosis?
**Ollier disease** (multiple enchondromas only) **Maffucci syndrome** (multiple enchondromas with spindle cell hemangioendothelioma) Patients in both are at increased risk for developing chondrosarcoma
34
What lesion is shown here (medullary and cortical continuity with underlying bone and hyaline cartilage cap \<3cm)? What hereditary disorder has multiple of these?
Osteochondroma Multiple: Hereditary Multiple Exostoses (HME)
35
What is the main bone lesion that occurs in the epiphysis and therefore you should think about choosing on boards if given an epiphyseal tumor?
Chondroblastoma Three components: **chicken wire calcifications (buzz word)**, primitive chondroid cells, osteoclast-like giant cells 90% between 5-25yrs BEWARE!! – low/intermediate T2W (95%) (meaning it has worrisome imaging findings but it is benign) They have local recurrence 5%-10% “Benign” metastases to soft tissue and lung
36
What is the typical question stem you will get for osteoid osteoma?
**Less than 1 cm** PAIN AT NIGHT, RELIEVED by aspirin (because the tumor produces prostaglandins) Radiolucent nidus with radiodense surrounding area (looks like a target)
37
Patients with hereditary retinoblastomas have several hundred fold greater risk of subsequently developing what tumor?
Osteosarcomas due to Rb gene mutation
38
What kind of osteosarcoma has a MDM2 mutation?
Parosteal osteosarcoma
39
What two syndromes have polyostotic fibrous dysplasia?
**McCune Albright** (endocrine and pigmented skin lesions) **Mazabraud syndrome** (intramuscular myxoma usually overlying fibrous dysplasia)
40
What is the mutation in fibrous dysplasia? ## Footnote \*histology shows irregular spicules of woven bone WITHOUT osteoblastic rimming in a background of bland spindle cells (so called "Chinese letters")
Activating mutations in GNAS1 gene of the alpha subunit of stimulatory G protein (Gsalpha)
41
What gene is mutated in aneurysmal bone cyst?
**USP6** \*NODULAR FASCIITIS ALSO HAS!
42
If you get a lesion on the boards that describes a bone lesion that is running up and down the anterior tibial cortex (diaphysis) WITHOUT going into the intramedullary space and also has soap bubble appearance, what is the diagnosis?
Adamantinoma
43
What is a good mneumonic to remember that tumors met to bone?
"BLT KP" = Bacon Lettuce Tomato wtih Kosher Pickle Breast Lung Thyroid Kidney Prostate
44
What is Nora's lesion?
aka bizarre parosteal osteochondromatous proliferation Rare form of myositis ossificans Microscopically it shows irregular maturation of cartilage in bone produces chondro-osteoid with characteristic blue quality (“blue bone”) and contains enlarged, bizarre, binucleated chondrocytes with maturation into bone. Spindle cell proliferation between bony trabeculae without atypia.
45
What is a Triton tumor?
A MPNST that has rhabdomyoblastic differentiation
46
BQ! What soft tissue tumor is being shown and what is the characteristic structure shown?
Diffuse Neurofibroma This is the characteristic WAGNER-MEISSNER BODIES
47
BQ!!! What tumor is being shown?
Schwannoma!!! Will be a yellow tumor with pigment
48
What tumor is being shown and how can you tell?
Cellular schwannoma This will be in the retroperitoneum and will have a characteristic cuffing of lymphocytes around the pseudocapsule
49
Degenerative changes of this tumor can mimic a thrombosed vessel (shown)
Schwannoma
50
The man shown has what syndrome characterized my a predomiant upper back and neck fat distribution?
Madelung lipomatoses Can be related to alcohol use
51
What 3 tumors arise in the epiphysis?
Giant cell tumor Chondroblastoma Pigmented villonodular synovitis
52
What tumors arise in the metaphysis?
Osteosarcoma Nonossifying fibroma Osteochondroma ABC/UBC Enchondroma Chondrosarcoma
53
What tumors arise in diaphysis?
Adamantinoma (usually tibia) Ewing's sarcoma LCH Lymphoma
54
IN a growing child, what part of the bone is responsible for increasing diameter of the bone?
Cambium layer
55
What sarcoma characteristically shows intracytoplasmic PAS positive inclusions?
Alveolar soft parts sarcoma
56
What vascular lesion is associated with POEMS syndrome (polyneuropathy, organomegaly, endocrinopathy, monoclonal gammopathy and skin changes)?
Glomeruloid hemangioma
57
What vascular lesion shows a central damaged vessel, an eosinophil rich inflammatory infiltrate and a characteristic "tombstone" pattern of endothelial cells?
Epithelioid hemangioma \*usually small mass on head or neck, eosinophilic infiltrate helps to tell apart from epithelioid hemangioendothelioma
58
What syndrome/complex is observed in 50% of patients with psammomatous melanotic schwannoma?
Carney complex (atrial myxomas, endocrine abnormalities and pigment disorders)
59
What is the most common location for a clear cell sarcoma?
Ankle/foot
60
Which vascular tumor is characterized by the translocation t(1;3)(p36;q25) resulting in WWTR1-CAMTA1 fusion?
Epithelioid hemangioendothelioma ## Footnote A subset of EHE showing more vasoformative morphology is characterized by YAP1-TFE3 fusion; this group of tumors is positive for TFE3 by immunohistochemistry.
61
What is a very sensitive and specific stain for low grade fibromyxoid sarcoma (Evan's tumor)?
MUC4
62
These ultrastructural findings, a soft tissue mass on the lower extremity of a 22 year old woman are diagnostic of:
Alveolar soft parts sarcoma! These are the rhomboid shaped crystals characteristic
63
What is the molecular event in chondroid lipoma?
t(11;16) C11orf95/MKL2
64
What is the molecular event in schwannoma?
del(22q12), NF2
65
Co-expression of CD34 and CK is unique to TWO sarcomas and ONE carcinoma. What are they?
Epithelioid Angiosarcoma Epithelioid Sarcoma NUT Midline Carcinoma
66
In the small round blue cell tumor differential, what tumor is ALWAYS negative for CD99?
Neuroblastoma
67
What are the c-kit/CD117 positive entities? ## Footnote *I know this is a super vague Q but there are some things listed that I didn't know about so I made a card*
GIST AML Seminoma (membranous) Thymic carcinoma Melanoma (~30%) Mast cell lesions Sclerosing mesenteritis
68
What are the D240 entities? ## Footnote *I know this is a super vague Q but there are some things listed that I didn't know about so I made a card*
NERVE SHEATH TUMORS (!!!!) Lymphatic endothelium and related endotheliomas Adrenocortical neoplasms Hemangioblastoma Mesothelioma Skin adnexal tumors Dermatofibroma Seminoma Embryonal Carcinoma (30%) Follicular dendritic cells and tumors
69
What lymphoid marker is positive in 100% of synovial sarcomas?
Bcl2
70
What is this lesion? \*hint: pts usually \<20yrs old, tumor found in metaphysis of long bones
Osteochondroma
71
What is this lesion? ## Footnote \*hint: can be multiple in small bones (Mufucci--+hemangiomas or Ollier disease)
Enchondroma ## Footnote Increased risk of developing chondrosarcoma (~ 35%)
72
What is this lesion? ## Footnote \*hint: EPIPHYSEAL lesion with mononuclear cells with WELL DEFINED borders, pink cartilage matrix and lace like chicken wire calcifications with MN giant cells common
Chondroblastoma
73
What is this lesion? ## Footnote \*hint: it's benign and eccentrically located, radiology scalloped appearance with sclerotic rim, has a lobulated growth pattern that contain cells with small oval to spindle shaped nuclei and pink cytoplasmic extensions with a cellular proliferation of spindle shaped cells and MN giant cells surrounding lobules
Chondromyxoid fibroma
74
What is this lesion?
Chondrosarcoma The gross image shows a destructive cartilaginous lesion
75
What is this lesion?
Dedifferentiated chondrosarcoma ## Footnote The histology pic shows a cartilaginous tumor juxtaposed to a high grade sarcoma This gross lesion is showing blue/grey cartilage tumor juxtaposed to a fleshy, tan/white sarcomatous tumor. Variable amounts of 2 components so careful sampling!
76
What is this lesion?
Clear Cell Chondrosarcoma ## Footnote Lobulated growth pattern, tumor cells have distinct cytoplasmic boundaries, central nucleus with prominent nucleolus, clear cytoplasm. Trabeculae of woven bone commonly present. 50% of tumors contain nodules of conventional chondrosarcoma
77
What bone/soft tissue tumor shown here **commonly occur in the jaw but also in the ilium, spine ad ribs**?
Mesenchymal chondrosarcoma ## Footnote Radiology shows malignant features and histology shows well differentiated hyaline cartilage merging or juxtaposed with high grade small blue cell component and frequently shows HPC-like vasculature
78
What is this lesion? ## Footnote \*hint: radiology helpful to identify nidus, they are \<1cm and are painful but relieved with aspirin
Osteoid osteoma ## Footnote same lesion only \>2cm is osteoblastoma! Histology and gross will show a well defined nidus of woven bone surrounded by osteoblasts surrounded by trabeculae of bone
79
What subtype of osteosarcoma is this?
Osteoblastic Osteosarcoma malignant osteoid in a lace-like pattern surrounding anaplastic tumor cells
80
What subtype of osteosarcoma is this?
Chondroblastic Osteosarcoma malignant osteoid and cartilage
81
What subtype of osteosarcoma is this?
Fibroblastic Osteosarcoma malignant spindle cell stroma and bone
82
What subtype of osteosarcoma is this?
Telangiectatic Osteosarcoma fragments of cyst wall containing pleomorphic tumor cells
83
What subtype of osteosarcoma is this? ## Footnote \*hint: posterior cortex of the distal femoral metaphysis most common site, treatment is wide resection without chemo, radiology shows heavily mineralized mass attached by a broad base to the underlying cortex and histology shows well formed trabeculae of bone and spindle cells with minimal atypia
Parosteal osteosarcoma ## Footnote Cartilaginous differentiation in about half of tumors; occasionally in a “cap”. 15% contain a high-grade sarcoma (dedifferentiated parosteal osteosarcoma). Has MDM2 amplicfication.
84
What subtype of osteosarcoma is this? ## Footnote \*hint: occurs in children and adolescents in the diaphysis of femur and tibia, is a chondroblastic mod diff osteosarc on the surface of bone
Periosteal osteosarcoma
85
What is this lesion? ## Footnote usually diagnosed by radiology alone, metaphyseal and eccentric with sclerotic margin and well circumscribed
Non-ossifying fibroma (aka metaphyseal fibrous defect) ## Footnote plump spindle cells in a loose storiform pattern with mitotic activity, MN giant cells, foam cells and chronic inflammation. Most are small and may regress spontaneously but if symptomatic or large may be treated surgically
86
What bone lesion is shown here and what are you seeing here that allows you to identify?
Aneurysmal bone cyst (ABC) You are seeing fluid fluid levels This is a cyst in which the wall is composed of giant cells so very often confused with giant cell tumor
87
What type of bone cyst is shown?
Unicameral bone cyst (UBC) ## Footnote Cyst wall fragments with bland spindle cells admixed with fragments of bone. Irregular masses of degenerating fibrin that occasionally become calcified. Treatment: most are aspirated and injected with methylprednisolone
88
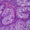
BQ SLIDE! This is a lesion found in the synovium of younger patients. Diagnosis?
Synovial chondromatosis
89
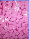
BQ SLIDE! This lesion is from a joint. Diagnosis?
Rheumatoid arthritis
90
What are the common cytogenetic abnormalities in pleomorphic/spindle cell lipomas?
16q¯, 13q¯
91
What is the molecular event found in soft tissue myxomas?
Activating GNASα mutations ## Footnote \*same as in fibrous dysplasia. Remember Mazabraud's Syndrome is fibrous dysplasia with soft tissue myxomas, usually overlying fibrous dysplasia.
92
What soft tissue tumor is this and what is the molecular event?
Low grade fibromyxoid sarcoma (Evans tumor) t(7;16) CREB3L2/FUS or t(11;16) CREB3L1/FUS \*notice alternating hypo and hypercellular areas
93
What is this soft tissue tumor?
Round cell liposarcoma ## Footnote t(12;16)(q13;p11) and its associated fusion transcript, FUS-CHOP, characterize greater than 95% of cases
94
Monophasic synovial sarcomas and MPNSTs can look VERY similar. What stains can help?
CK7 and CK19 positive in monophasic synovial sarcomas TLE1 also positive \*these are helpful because both CAN stain for S100 and/or keratin and EMA which would be the first go-to stains when screening for these
95
What is this soft tissue tumor and the molecular event?
Extraskeletal myxoid chondrosarcoma ## Footnote t(9;22)(q22;q12) EWS-NR4A3 fusion t(9;17)(q22;q11) TAF2N-NR4A3 fusion t(9;15)(q22;q21) TCF12-NR4A3 fusion
96
What is this soft tissue tumor and what other soft tissue tumor does is share a translocation with?
Hyalinizing spindle cell tumor with giant rosettes ## Footnote Shares translocation with Evans tumor aka low grade fibromyxoid sarcoma t(7;16) which results in FUS/CREB3L2 fusion
97
What soft tissue lesion is this?
Nodular fasciitis
98
This soft tissue lesion usually involves the subscapular region in elderly individuals. There is often a history of hard manual labor. The image shows an admixture of collagen bundles and elastic fibers in a loose myxoid matrix. The elastic fiber bundles have serrated, flower-like or cylindrical shape with beaded appearance.
Elastofibroma ## Footnote With elastic stains (Verhoeff), the fibers show a dense core and a serrated, moth-eaten margin.
99
What soft tissue lesion is composed of sheets of histiocytes in the dermis and extending to the flattened epidermis? Early lesions have little or no lipid and the histiocytes are full of eosinophilic cytoplasm. Touton giant cells are typically present.Inflammatory cells are found in moderate numbers.
Juvenile xanthogranuloma
100
What soft tissue tumor is this?
Synovial sarcoma Monophasic on question side, biphasic here