Pulmonary Pathology Flashcards

(26 cards)

1
Q

What are the etiologies of obliterative bronchiolitis?

A

– Chronic airway rejection (lung transplant)

– GVHD (bone marrow transplant)

– Infection (Adenovirus)

– Drugs

– Connective tissue disease

How well did you know this?
1
Not at all
2
3
4
5
Perfectly
2
Q

What are the differences between organizing pneumonia (formerly BOOP) and obliterative bronchiolitis?

A

HISTOLOGY: org PNA has airspace filling fibroblastic plugs whereas ob bronch has submucosal scars

LOCALIZATION: org PNA involves peribronchiolar alveoli and bronchiles whereas ob bronch is localized to the bronchioles

PFTs: org PNA is RESTRICTIVE whereas ob bronch is OBSTRUCTIVE

How well did you know this?
1
Not at all
2
3
4
5
Perfectly
3
Q

What is the most common AIDS defining lesion in children?

A

Lymphoid Interstitial Pneumonia (LIP)

How well did you know this?
1
Not at all
2
3
4
5
Perfectly
4
Q

What process is shown here?

A

Centrilobular emphysema

How well did you know this?
1
Not at all
2
3
4
5
Perfectly
5
Q

What process is shown here?

A

Panacinar emphysema

How well did you know this?
1
Not at all
2
3
4
5
Perfectly
6
Q

What infectious etiology is being shown?

A

Coccidioides

The black structures are spherules, some ruptured and some intact. The intact ones contain endospores and when ruptured you can see free endospores.

How well did you know this?
1
Not at all
2
3
4
5
Perfectly
7
Q

This lesion in the lung is seen more commonly in women with an average age in the 40s and shows papillary like projections lined by epithelioid cells with a central proliferation of polygonal mesenchymal appearing cells. Both populations are TTF1 positive indicating type II pneumocyte origin for this tumor.

A

Sclerosing hemangioma of the lung

How well did you know this?
1
Not at all
2
3
4
5
Perfectly
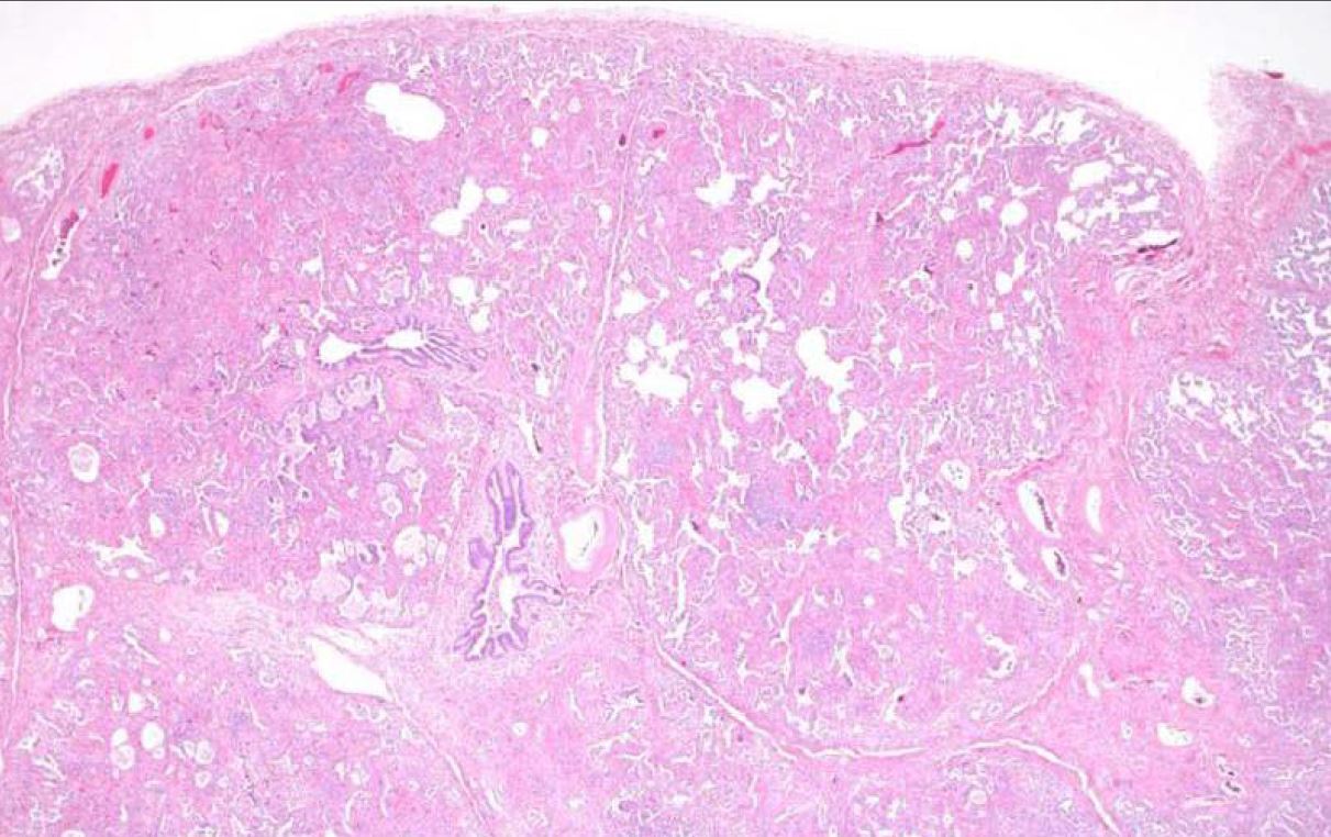
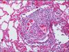
8
Q

What process is being shown here?

Hallmarks are lower lobes and peripheral/paraseptal
accentuation of changes

A

UIP

How well did you know this?
1
Not at all
2
3
4
5
Perfectly
9
Q

Patients with pulmonary Langerhans cell histocytosis almost always have what history?

A

SMOKING

How well did you know this?
1
Not at all
2
3
4
5
Perfectly
10
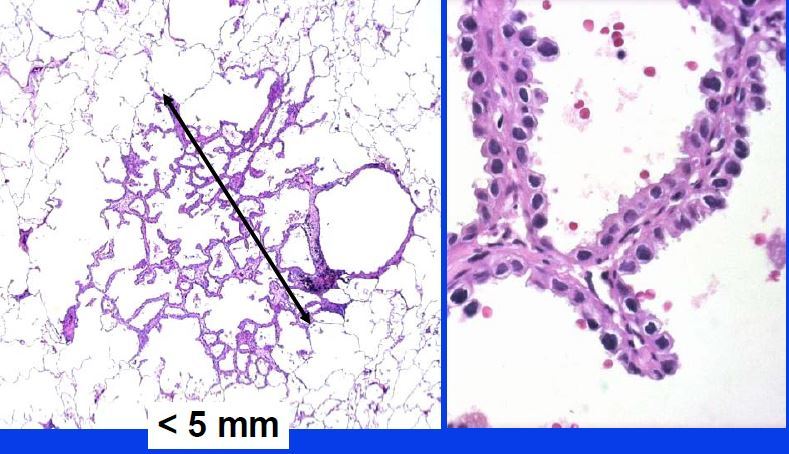
Q

What is the definition of minimally invasive lung adenCA?

A

< 3 cm lepidic predominant < 5 mm invasion

How well did you know this?
1
Not at all
2
3
4
5
Perfectly
11
Q

What lesion is this?

Localized proliferation of mild to moderately atypical cells lining involved alveoli and sometimes respiratory bronchiols and usually less than 5 mm in diameter.

A

Atypical Adenomatous Hyperplasia

How well did you know this?
1
Not at all
2
3
4
5
Perfectly
12
Q

Name this lesion.

A

Respiratory Bronchiolitis

How well did you know this?
1
Not at all
2
3
4
5
Perfectly
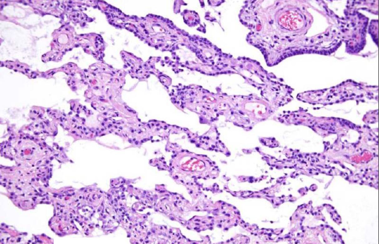
13
Q

Name this entity.

A

NSIP

How well did you know this?
1
Not at all
2
3
4
5
Perfectly
14
Q

Name this entity.

A

Organizing pneumonia

How well did you know this?
1
Not at all
2
3
4
5
Perfectly
15
Q

Name this entity.

A

UIP

How well did you know this?
1
Not at all
2
3
4
5
Perfectly
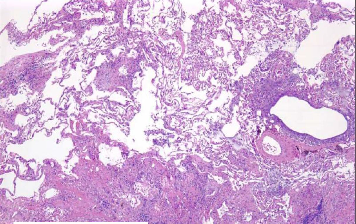
16
Q

Name this entity.

A

Organizing diffuse alveolar damage

notice hyaline membrane

17
Q

Name this entity.

18
Q

Name this entity.

19
Q

Name this entity.

20
Q

Name this entity.

A

Desquamative Interstitial Pneumonia

21
Q

What is being shown here?

A

Pleural bleb in emphysema

22
Q

What are the associations of lymphoid/lymphocytic interstitial pneumonia?

A

Overlapping features with diffuse nodular lymphoid hyperplasia (DLH), dense diffuse interstitial lymphoid infiltrates and follicular bronchiolitis

Associations:

Autoimmune diseases- especially connective tissue

Immunodeficiency syndromes–congenital and acquired

Drug reactions

Bone marrow transplantation

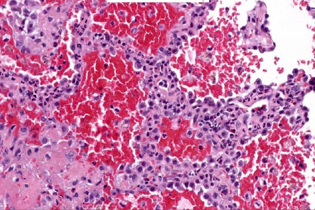
23
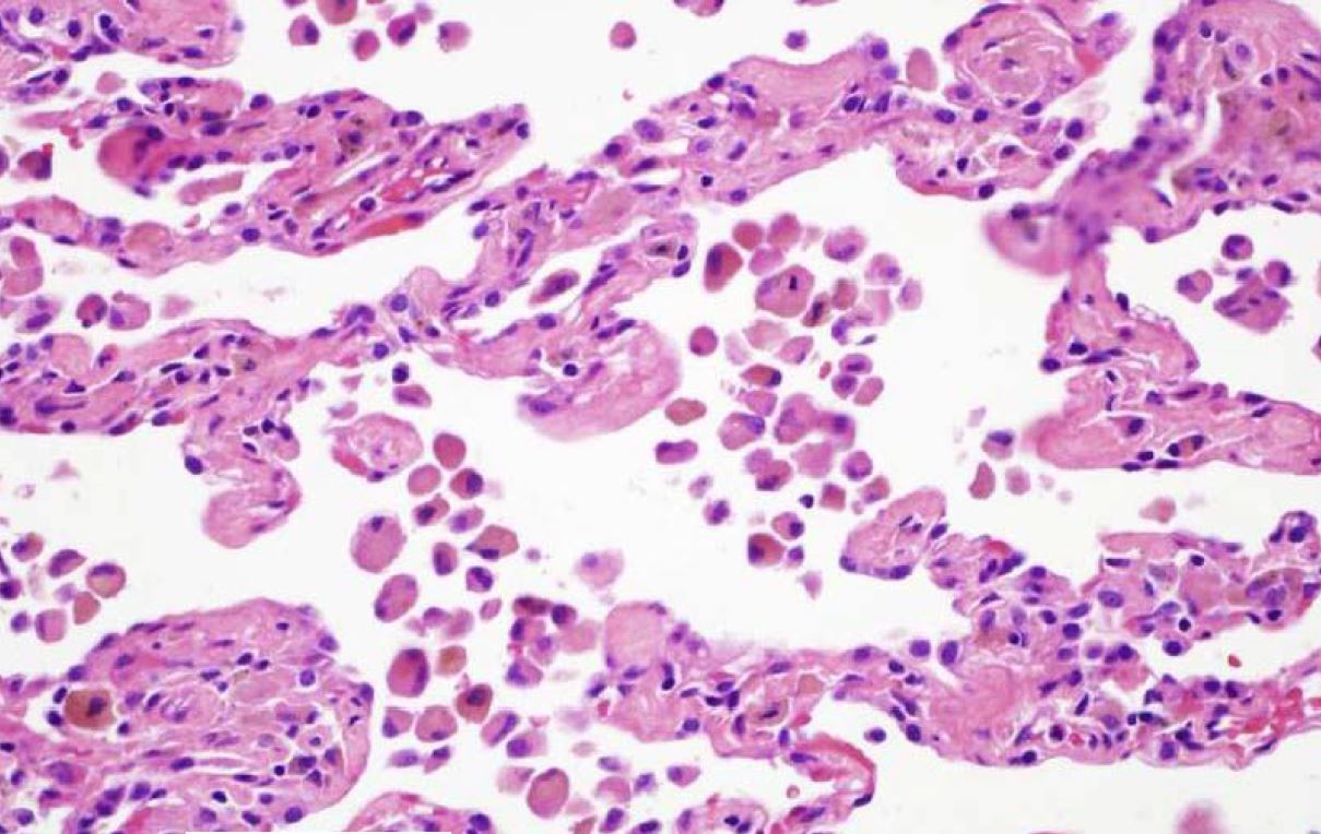
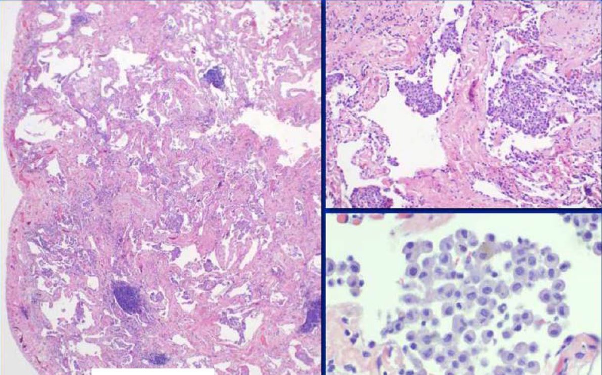
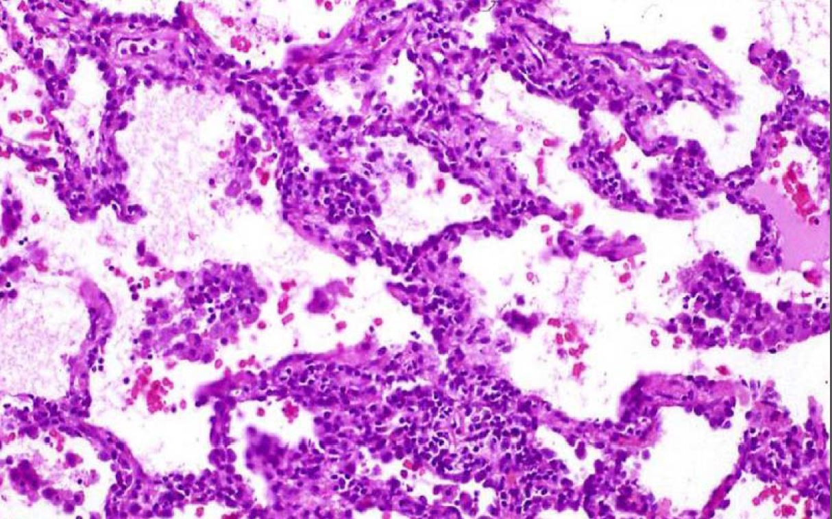
Q

What is this entity and what is your differential?

A

Capillaritis

Evidence of diffuse pulmonary hemorrhage

DDX: Goodpasture, Microscopic polyangiitis, Lupus, Wegener’s, mixed cryoglobulinemia, Henoch-Schonlein purpura and antiphospholipid syndrome

24
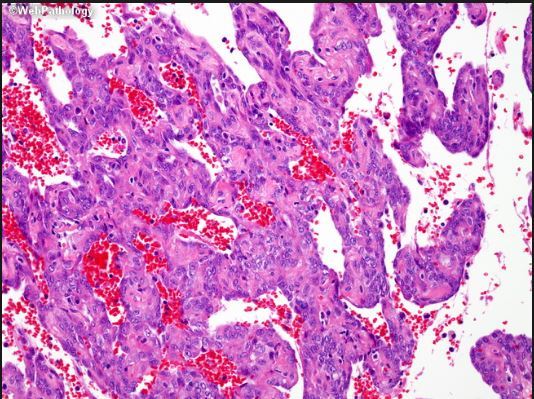
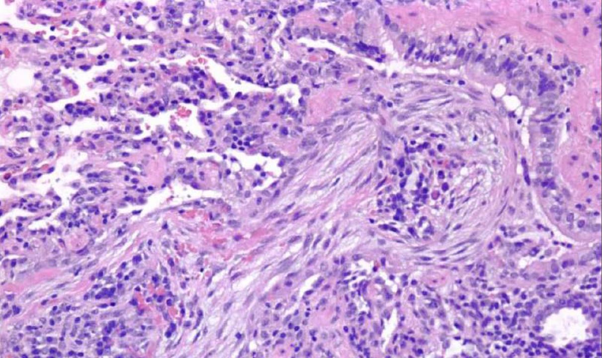
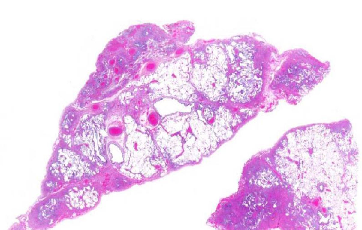
Q

If you see a lung tumor with this appearance, what is diagnose?

A

Pulmonary blastoma (fetal adenocarcinoma)

Primitive glands and stroma, resembles fetal lung

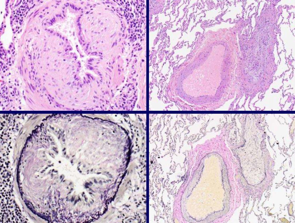
25
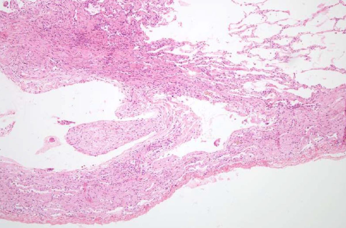
What lesion is this?
Plexiform lesion associated with pulmonary hypertension
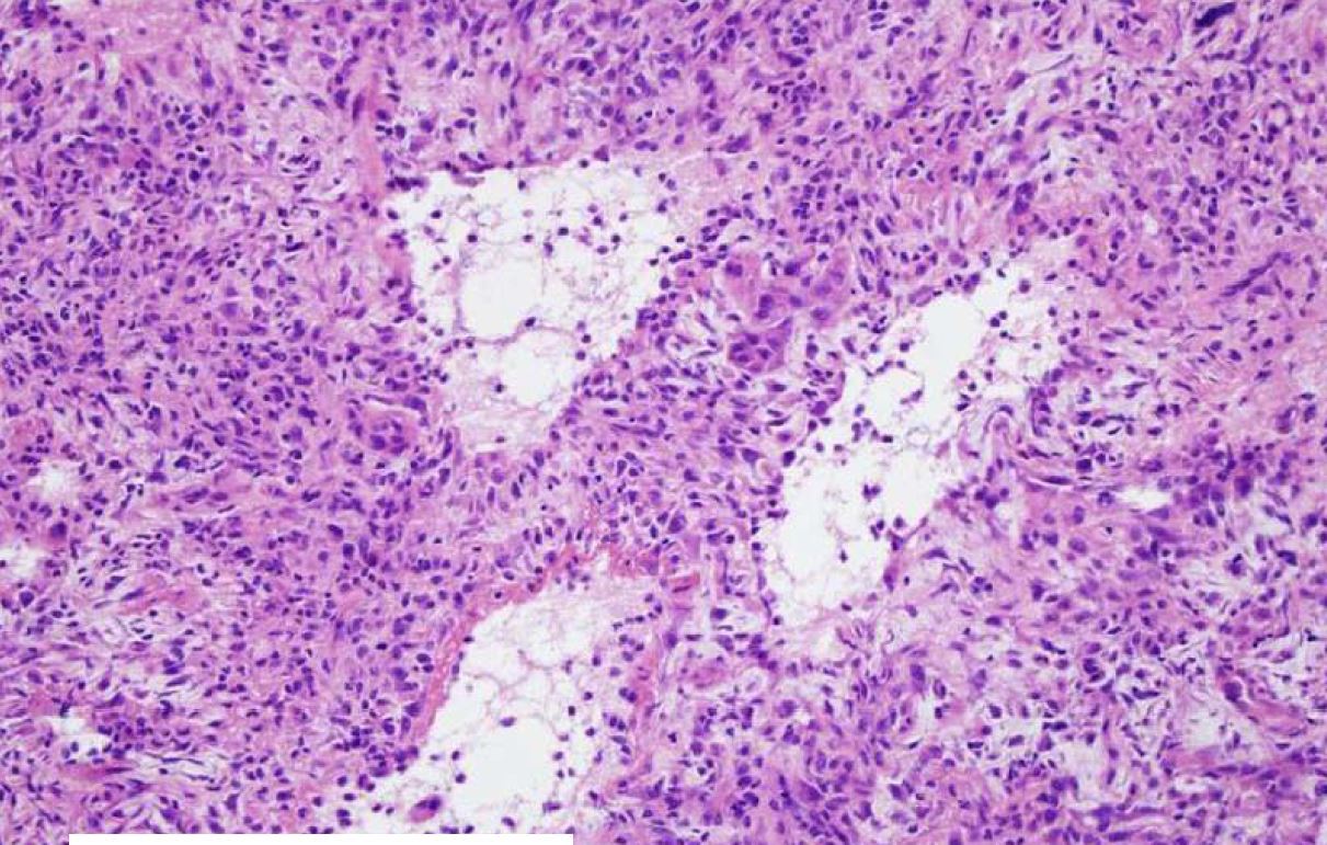
26
The entity shown is a rare cause of pulmonary hypertension and is characterized by abnormal capillary proliferations that grow along alveolar walls and into structures such as airways and venules which may compress venules causing increased pulmonary vascular pressure. What drug must you NOT USE to treat?
Pulmonary capillary hemagiomatosis (PCH) DO NOT use endothelin antagonists! Disease importance made clear due to treating ppl with pulm hypertension with endothelin antagonists. PCH patients develop life threatening complications if treated with this.