Head & Neck Pathology Flashcards

(51 cards)

1
Q

What common solid malignancy in children less than 5 years old?

A

Rhabdomyosarcoma

How well did you know this?
1
Not at all
2
3
4
5
Perfectly
2
Q

What head and neck tumor is a pigmented lesion of infancy?

A

Melanocytic neuroectodermal tumor of infancy

How well did you know this?
1
Not at all
2
3
4
5
Perfectly
3
Q

What disease causes inflammatory background, plasma cells, central dotlike michalis gutman body? What organism causes this in the respiratory tract versus the urinary tract?

A

Malakoplakia

E coli in urinary bladder, Rhodococcus equi in respiratory tract

How well did you know this?
1
Not at all
2
3
4
5
Perfectly
4
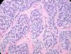
Q

What entity causes foamy histiocytes (Mikulicz cells), abundant cytoplasm and positive warthin starry stain (basically a foamy histiocyte that is full of organisms in a lymphoplasmacytic background)? What is the organism that causes it and the treatment?

A

Rhinoscleroma caused by Klebsiella rhinoscleramatis infection

Tx surgery or tetracycline

How well did you know this?
1
Not at all
2
3
4
5
Perfectly
5
Q

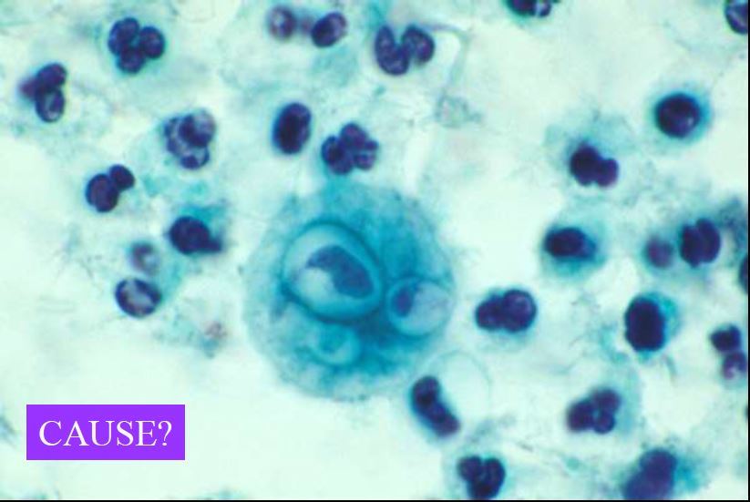
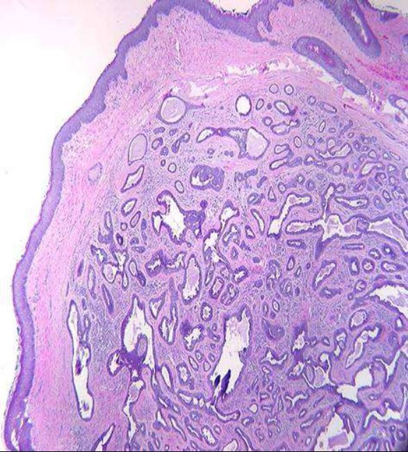
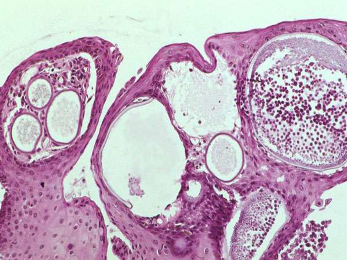
What disease causes spores with organisms inside and squamous hyperplasia?

A

Rhinosporidiosis caused by Rhinosoridium seeberi - India/Sri Lanka endemic

Huge sporangia with endospores DDX includes coccidiodomycosis but is SMALLER

How well did you know this?
1
Not at all
2
3
4
5
Perfectly
6
Q

What is the cause of myospherulosis?

A

Nasal Drops

How well did you know this?
1
Not at all
2
3
4
5
Perfectly
7
Q

Nasal mass: What is it? What is the age and sex of the patient?

A

Angiofibroma

Young male, hormonal etiology, androgen receptors, chromosome 17

How well did you know this?
1
Not at all
2
3
4
5
Perfectly
8
Q

How does the staining differ in sinonasal hemangiopericytoma than in other sites?

A

CD34 negative and better prognosis!

Thought to be more smooth muscle in origin like a glomus tumor

How well did you know this?
1
Not at all
2
3
4
5
Perfectly
9
Q

What is the risk of malignancy in inverted papillomas?

A

10%

These recur on lateral nasal wall, there is an association with HPV

How well did you know this?
1
Not at all
2
3
4
5
Perfectly
10
Q

What is the chromosome abnormality in embryonal rhabdomyosarcoma?

A

+2q, +20, LOH 11p15.5

How well did you know this?
1
Not at all
2
3
4
5
Perfectly
11
Q

What are the types of nasopharyngeal carcinoma and which has best prognosis?

A

Keratinizing, non-keratinizing and undifferentiated

Undifferentiated type: best prognosis (most
radiosensitive)

How well did you know this?
1
Not at all
2
3
4
5
Perfectly
12
Q

Which head and neck tumor is occupational?

A

High grade poorly differentiated sinonasal adenocarcinoma, intestinal type

Wood, leather, carpenter industries

How well did you know this?
1
Not at all
2
3
4
5
Perfectly
13
Q

What is this preauricular lesion and what is the main differential?

A

Angiolymphoid Hyperplasia with Eosinophilia
Kimura’s - differential dx

M=F, 3rd decade, proliferation of small vessels, plump epitheliod endothelial cells, dense lymphohistiocytic infiltrate (germinal centers)

How well did you know this?
1
Not at all
2
3
4
5
Perfectly
14
Q

Which ear lesion shown has glands, tubules, and
cysts separated by hyalinized fibrovascular
stroma, two distinct cell layers: an inner eosinophilic
epithelial (apocrine) cell layer and an outer myoepithelial layer and a characteristic yellow/brown granular pigment may be identified in the cytoplasm of the inner lining cells?

A

Ceruminal Adenoma

How well did you know this?
1
Not at all
2
3
4
5
Perfectly
15
Q

Which ear tumor arise in the temporal bone, is benign, locally destructive, rare, M=F, 2nd – 8th decade, has association with VHL disease, is papillary and cystic with colloid-like material (PAS+), has bland cuboidal to columnar cells, eosinophilic to clear cytoplasm and is postive with keratin but negative for thryoglobulin?

Interestingly, the nuclei are situated AWAY from the base

A

Papillary Endolymphatic Cell Tumor which is also known as a Heffner tumor

D/D: PTC, RCC, adenoca, mid. ear adenoma

How well did you know this?
1
Not at all
2
3
4
5
Perfectly
16
Q

Which condition is associated with lymphoepithelial cyst?

A

HIV

How well did you know this?
1
Not at all
2
3
4
5
Perfectly
17
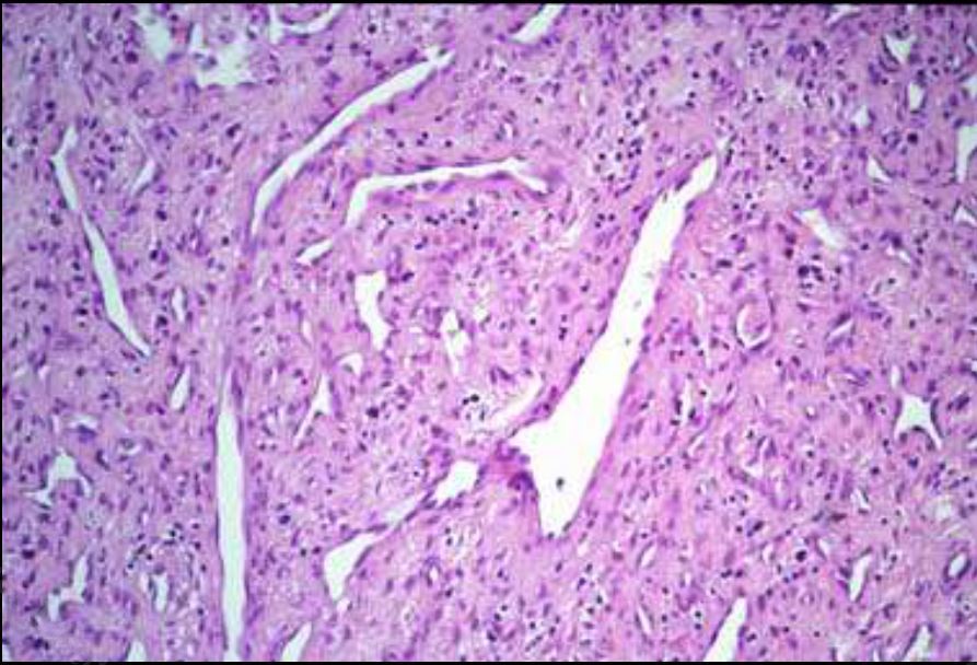
Q

What structure is shown here and what is the association?

A

Tyrosinase crystals in pleomorphic adenoma

How well did you know this?
1
Not at all
2
3
4
5
Perfectly
18
Q

What is the most common malignant salivary gland tumor?

A

Mucoepidermoid Carcinoma (also most under and over diagnosed)

How well did you know this?
1
Not at all
2
3
4
5
Perfectly
19
Q

What stain is positive in acinic cell carcinoma?

A

PAS-D because of the zymogen granules

How well did you know this?
1
Not at all
2
3
4
5
Perfectly
20
Q

What is a common pitfall when diagnosing salivary duct carcinoma in a man?

A

They can express prostate markers!

This tumor looks like cribiform DCIS in the breast only it is in the salivary gland

How well did you know this?
1
Not at all
2
3
4
5
Perfectly
21
Q

Is a chordoma benign or malignant? What does it stain for?

A

Malignant

Cytokeratin, S100, EMA, mucin, mucicarmine, PAS, vimentin

22
Q

What is the genetic abnormality seen in mucoepidermoid carcinomas?

A

t(11;19) (q21;p13) MECT1-MAML2 fusion

23
Q

What is the genetic abnormality and tumors associated with Gorlin Syndrome (aka Nevoid Basal Cell Carcinoma Syndrome)?

A

PTCH (Patched) gene found on chromosome arm 9q

  • Multiple basal-cell carcinomas of the skin
  • Keratocystic odontogenic tumor: Seen in 75% of patients and is the most common finding. There are usually multiple lesions found in the mandible. They occur at a young age (19 yrs average).
  • Rib and vertebrae anomalies
  • Intracranial calcification
  • Skeletal abnormalities: bifid ribs, kyphoscoliosis, early calcification of falx cerebri (diagnosed with AP radiograph)
  • Distinct faces: frontal and temporoparietal bossing, hypertelorism, and mandibular prognathism
  • Bilateral ovarian fibromas
  • Rarely Medulloblastoma (CNS)
24
Q

1) What is the syndrome when polyostotic fibrous dysplasia is associated with multiple endocrinopathies?
2) What is the mutation involved in both sporadic and inherited polyostotic fibrous dysplasia?
3) What is the characteristic radiologic feature seen in fibrous dysplasia?

A

1) McCune-Albright Syndrome
2) Mutations of the GNSA1 gene which encodes a G protein involved in c-AMP cell signaling
3) Bone expanded by an ill-defined ground glass (or cotton wool) appearance that merges inperceptibly with normal nearby bone

25
Over 80% of laryngeal atypical carcinoid tumors (the most common NE tumor of the H&N) stain with what unusual stain that is not seen in other sites of the body?
Calcitonin
26
What lesion is commonly found in the gingiva of pregnant women or those taking OCPs?
Lobular capillary hemangioma
27
Sinonasal Undifferentiated Carcinoma (SNUC) shows no squamous differentiation by H&E and is typically negative for HMWCK (CK903 and CK5/6). What stains is it positive for?
LMWCK (CAM5.2) Synaptophysin in 25%
28
What stains are positive in salivary duct carcinoma?
Androgren receptor (90%) GCDFP Her2 +/-
29
What stain is characteristically positive in low grade cribiform cystadenocarcinoma of the salivary gland?
S100
30
The radiographic findings of anterior bowing of the posterior wall of the maxillary sinus is PATHOGNOMONIC for what lesion?
Juvenile Nasopharyngeal Angiofibroma \*exclusively in males!
31
The entity shown here is seen in younger females (younger than 20yo) in the anterior aspect of the mandible and radiographically is a multilocular radiolucency. 1) What is the entity? 2) If this lesion is seen in an older adult (older than 20), what entity is it identical to and therefore what should you test the patient for?
1) Central Giant Cell Granuloma 2) Brown Tumor of Hyperparathyroidism so check them for hyperparathyroidism!!!
32
In nasopharyngeal squamous cell carcinomas there are a few categories (keratinzing, non-keratinizing, undifferentiated, basaloid). Which has the best prognosis and worst prognosis and why?
Undifferentiated type has best prognosis because it is most radiosensitive; keratinizing has worst prognosis Treatment: radiation (high dose) is usually choice due to stage, except for keratinizing type, which is not responsive to it. Chemotherapy used for widespread disease.
33
A polypoid endolaryngeal mass that is spindle in morphology and malignant is virtually always what tumor?
Spindle Cell Carcinoma (sarcomatoid SCC)
34
The lesion shown is characterized by squamous hyperkeratosis, parakeratosis, epithelial hyperplasia and "balloon cells" in the spinous layers which shown ballooning degeneration and viral cytopathic effect. What is this lesion called, what is the virus and what clinical situation is it seen?
Oral hairy leukoplakia Almost exclusively occurs in AIDs patients and is associated with EBV. It presents as white plaques at the lateral border of the tongue.
35
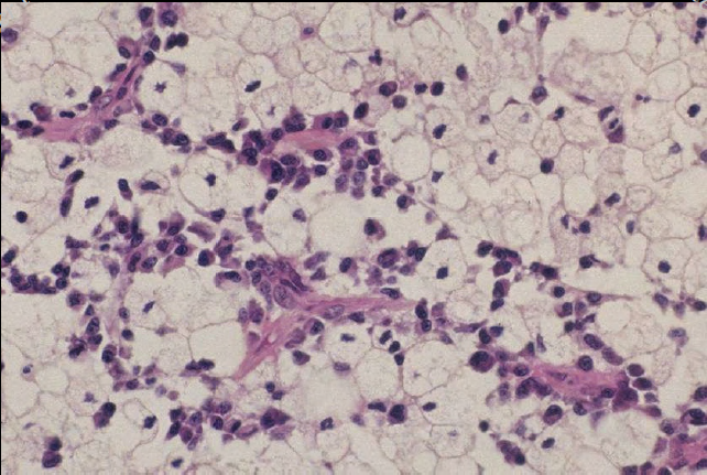
What is the most common middle ear tumor?
Jugulotympanic paraganglioma The most common presenting trait is pulsatile tinnitus
36
What genetic syndrome is highly assoicated with the rare endolymphatic sac tumor of the ear?
VHL Nearly 10% of patients with VHL will get this and almost all patients with bilateral ELSTs have VHL
37
What translocation is seen in clear cell carcinoma of the salivary gland (formerly hyalinizing clear cell carcinoma)?
t(12;22) (q13;q12) ATF1-EWSR1
38
What is the most common lesion of odontogenic origin and is a hamartoma characterized by abnormal production of dentin, enamel matrix, cementum and pulp tissue?
Odontomas ## Footnote \*these are subclassified into compound and complex lesions where compound are most commonly found in the anterior maxilla and will show formation of tooth shaped structures that are often smaller than normal teeth. The complex lesions lack recognizable tooth structures and occur in the posterior mandible. Simple excision is tratement of choice.
39
If you are given a clinical scenario involving a child or adolescent with a midline tumor which shows a undifferentiated carcinoma with areas of squamous differentiation, what tumor should you immediately think about and what is the translocation?
NUT midline carcinoma t(15;19) (q13;p13.1) NUT-BRD4 fusion
40
What are the two most common cysts of the jaw and how do you tell them apart?
1) Dentigerous cyst ## Footnote Most common developmental cyst and typically found in asymptomatic young patients at routine dental exam and commonly occus in associated with an impacted mandicular molar (wisdom) tooth but other teeth can be involved. Classic appearance is cyst that surrounds the crown of an impacted tooth and is attached to the tooth at the enamel-cementum junction. They are lined by two-to-three layers of squamous to cuboidal epithelium with occasional mucus cells or ciliated cells. 2) Periapical (radicular) cyst Occur almost exclusively in association with carious teeth that are frequenly nonvital. The cavity and bacteria result in inflammation of the tooth root leading to cystic change of odontogenic rests around the tooth root. They are lined by squamous epithelium and are associated with a marked acute and chronic inflammatory reaction. Cyst is always associated with the root of the tooth and root absorption of the affected tooth can be seen in many cases.
41
What salivary gland tumor is shown here and what is the molecular event?
**Mammary analogue secretory carcinoma** (MASC) Resembles secretory carcinoma of breast (both are ER/PR negative, mammaglobin positive) Both have **t(12;15)(p13;q25), leading to a ETV6-NTRK3** fusion oncogene Distinguish from acinic cell by the lack of PAS positive zymogen granules
42
What lymphoid marker helps to differentiate thymic carcinoma from thymoma?
CD5 Positive in epithelial cells of thymic CA but negative in thymoma
43
BQ SLIDE! Name this salivary gland lesion.
Canalicular adenoma
44
BQ SLIDE! Name this thyroid cancer.
Insular carcinoma
45
BQ Slide! Name this head and neck tumor.
Ameloblastoma
46
BQ Slide! This tumor is found in the middle ear.
Middle Ear Adenoma
47
What newly described salivary gland tumor shown here presents in 5th or 6th decade, is encapsulated and highly vascular, shows back to back normal sized or dilated striated ducts and can be associated with striated duct hyperplasia in background?
Striated duct adenoma ## Footnote CK7 and S100 diffusely positive (negative in normal striated ducts) No complete myoepithelial cell layer (p63)
48
What stains are positive and what is the translocation in adenoid cystic carcinoma?
_Stains_: CKIT and bcl2 _Molecular_: t(6;9) MYB-NFIB _Targeted therapy_: MYB inhibitors
49
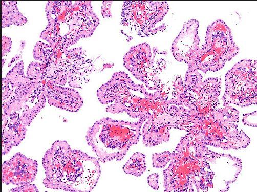
The salivary gland tumor shown here very rarely metastasizes and it positive for BCL2 and S100.
Polymorphous low grade adenocarcinoma ## Footnote S100 is diffusely positive (not just in myoepithelial pattern like other salivary gland tumors)
50
What two salivary gland tumors are positive for GFAP?
Pleomorphic adenoma Myoepithelioma
51
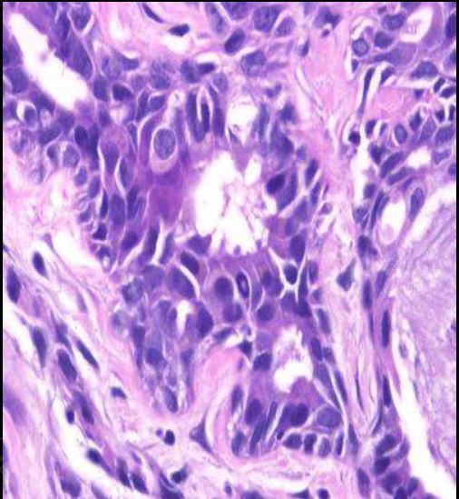
What salivary gland tumor is this?
Acinic cell carcinoma