Microbiology Flashcards

(364 cards)

1
Q

What is the most common cause of viral (aseptic) meningitis?

A

Enterovirus

How well did you know this?
1
Not at all
2
3
4
5
Perfectly
2
Q

What are the dematiaceous molds?

A

Fast growers: Bipolaris, Drechslera, Exserohilum, Helminthosporum, Curvularia, Alternaria, Ulocladium and Stemphilium

Slow growers: Exophialia, Wangiella, Hortaea, Pseudoallescheria boydii/Scedosporium boydii complex and Scedosporium prolificans

How well did you know this?
1
Not at all
2
3
4
5
Perfectly
3
Q

What is being shown here that is acquired from eating poorly cooked shellfish?

A

Paragonimus (lung fluke)

How well did you know this?
1
Not at all
2
3
4
5
Perfectly
4
Q

What rapid growing mycobacterium:

• Negative iron uptake
• Tolerant to 5% NaCl (heavy growth)
• Negative nitrate reductase
• Resistant to all standard anti-TB drugs
• Fewer drug options than M. fortuitum
– Susceptible to amikacin, cefoxitin, imipenem,
clarithromycin
– Resistant to fluoroquinolones
• Clarithromycin is the drug of choice for localized
infections, although resistant strains are emerging

A

M. abscessus

How well did you know this?
1
Not at all
2
3
4
5
Perfectly
5
Q

Explain how the different fermenters change the color of KIA/TSI slants initially and then at 24 hours (kind of a vague question but this is a paragraph in compendium and seems like good testable material).

A

Initially, a bacterium that ferments glucose but not lactose will produce an acidic (yellow) slant and acidic (yellow) butt. After the limited quantity of glucose is consumed, the organism will begin oxidative metabolism of proteins, which can only take place in the oxygen rich environment of the slant; this will turn the slant back to alkaline (red) by 24 hours, while the butt will remain yellow.

Therefore, when interpreting at 24 hours if the bottom is yellow and top is red, it means glucose fermenter only but if the top were yellow too it means lactose/sucrose fermenter in addition to glucose fermenter (both yellow, ferments both)

How well did you know this?
1
Not at all
2
3
4
5
Perfectly
6
Q

What diseases and responsible organisms are transmitted by body lice (Pediculus humanus)?

A
  • Epidemic typhus (Rickettsia prowazekii)
  • Liceborne relapsing fever (Borrelia recurrentis)
  • Trench fever (Bartonella quintana)
How well did you know this?
1
Not at all
2
3
4
5
Perfectly
7
Q

What is the preferred lab test for Cryptococcus?

A

Latex antigen test

How well did you know this?
1
Not at all
2
3
4
5
Perfectly
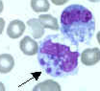
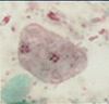
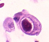
8
Q

What organism is seen in the photo?

A

Toxoplasma gondii

The latent form is represented by slow-growing protozoa forms called bradyzoites encased in cysts with a cyst wall. Multiple basophilic dot-like parasites can be seen in cysts

How well did you know this?
1
Not at all
2
3
4
5
Perfectly
9
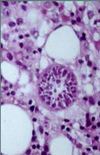
Q

What two mediums are mycobacterium spp grown in?

A

Lowenstein Jensen (solid medium egg based)

Middlebrook (agar based)

How well did you know this?
1
Not at all
2
3
4
5
Perfectly
10
Q

What is the only malaria spp to have quartan fevers (every 72 hours instead of 48 hours)?

A

P malariae

How well did you know this?
1
Not at all
2
3
4
5
Perfectly
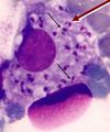
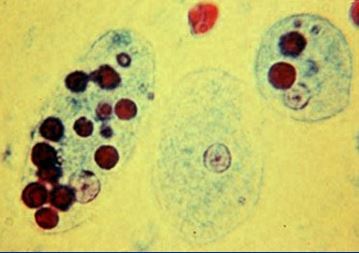
11
Q

What parasitic organism is shown here and how can you be sure?

A

Entamoeba histolytica

Cannot distinguish E. histolytica/dispar unless RBCs seen in trophozoites

Erythrophagocytosis is diagnositc of histolytica cyst

How well did you know this?
1
Not at all
2
3
4
5
Perfectly
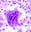
12
Q

Which bacterial spp produces chalky white colonies which become salmon orange pink when they mature, have a “musty basement” odor, is lysozyme resistant and has aerial hyphae?

A

Nocardia spp

How well did you know this?
1
Not at all
2
3
4
5
Perfectly
13
Q

What egg is this?

A

Taenia spp

How well did you know this?
1
Not at all
2
3
4
5
Perfectly
14
Q

What are the ampC organisms resistant to that the ESBLs are not?

A

The cephamycins (cefoxitin and cefotetan)

AmpC is also resistant to the beta lactamase inhibitors

How well did you know this?
1
Not at all
2
3
4
5
Perfectly
15
Q

Which virus causes this cytopathic effect?

A

HSV

RAPID (time to CPE 1-3 days), shrunken or enlarged cells starting at the edge of the cell sheet, sweeping CPE, occasional giant cells

Can be found in PMK and Hep2 (++) but grows best in HDF cells (+++)

*PMK=Primary Monkey Kidney, Hep2/HeLa=Human Epithelial Cells, HDF=Human Diploid Fibroblasts

How well did you know this?
1
Not at all
2
3
4
5
Perfectly
16
Q

The organism seen here on this cornmeal plate looks similar to Candida glabrata (which will not have spaces between colonies) and it is UREASE positive and produces MELANIN on bird seed agar?

A

Cryptococcus neoformans

Urease positive and also phenol oxidase positive

How well did you know this?
1
Not at all
2
3
4
5
Perfectly
17
Q

Which clostridium species is boxcar shaped and preliminary ID involves demonstrating lecithinase activity?

A

C. perfringens

*Double zone of beta hemolysis on blood agar

How well did you know this?
1
Not at all
2
3
4
5
Perfectly
18
Q

Where is the latency and what are the acute and reactivation diseases caused by:

1) HHV6
2) HHV7
3) HHV8

A

1) HHV 6 is dorment in T cells and causes roseola (exanthem subitum) and can be reactivated in immunocomprised
2) HHV7 is dorment in lymphocytes and causes roseola (occasionally) and can be reactivated in immunocomprised
3) HHV8 is dorment in B lymphocytes and endothelial cells and causes unknown disease acutely but reactivation causes Kaposi sarcoma and Primary Body Cavity lymphoma

How well did you know this?
1
Not at all
2
3
4
5
Perfectly
19
Q

Fulminant rocky mountain spotted fever can be seen in patients with what other disease?

A

Glucose-6-phosphatase deficiency

How well did you know this?
1
Not at all
2
3
4
5
Perfectly
20
Q

What antibiotics are the enterococci intrinsically resistant to?

A

The enterococci are intrinsically resistant to cephalosporin antibiotics, clindamycin, trimethoprim-sulfamethoxazole, and the aminoglycosides (with the exception of high-level aminoglycoside resistance screening). In vitro susceptibility testing should not be performed on enterococci for these antimicrobial agents as these agents may appear effective in vitro but are not clinically effective.

How well did you know this?
1
Not at all
2
3
4
5
Perfectly
21
Q

What two types of malaria DO recur from the liver?

A

P. vivax – high incidence, most of the world except Western Africa

P. ovale – lower incidence, occupies the niche in Western Africa

How well did you know this?
1
Not at all
2
3
4
5
Perfectly
22
Q

What are the major causes of pneumonia in the setting of animal exposure from:

1) Cattle or cats
2) Birds
3) Bat or bird droppings, especially pigeons
4) Mouse urine and feces
5) Rabbits

A

1) Coxiella burnetii
2) Chlamydophila psittaci and Cryptococcus neoformans
3) Histoplasma capsulatum
4) Hantavirus
5) Francisella tularensis

How well did you know this?
1
Not at all
2
3
4
5
Perfectly
23
Q

What organism is this?

A

Fusarium

Common in fungal keratitis (most commonly F. solani complex)

Macro and Microconidia

How well did you know this?
1
Not at all
2
3
4
5
Perfectly
24
Q

Where in the US can Mycobacterium leprae be found?

A

Causes leprosy (Hansen disease)

In the US, found in Hawaii, Texas and Louisiana where it is harbored by armadillos.

Cannot be cultured on artificial media. In tissue biopsy, be visualized with Fite stain

How well did you know this?
1
Not at all
2
3
4
5
Perfectly
25
What is the 3 day test that rapid grower mycobacterium spp will be positive for?
Positive **_3 day arylsulfatase test_** –M. fortuitum complex (polymyxin B - S) –M. chelonae (polymyxin B – R; citrate negative, growth in 5% NaCl) – M. abscessus (polymyxin B – R; citrate positive, no growth in 5% NaCl)
26
What HPV types cause anogenital squamous cell carcinoma? What is the caveat with verrucous carcinoma?
HPV 16 and 18 account for most cases Verrucous carcinoma (giant condyloma of Bushke and Lowenstein) is nearly always associated with HPV 6 or HPV 11
27
Which Enterobacteriaceae are strong lactose fermenters?
E coli, Klebsiella, Enterobacter
28
What two organisms are seen in intracellular vacuoles where they appear as mulberries or morulae and how you do tell them apart?
Ehrlichiosis and Anaplasma Human MONOCYTIC ehrlichiosis (HME) is caused by Ehrlichia chaffeensis Human GRANULOCYTIC anaplasmosis (HGA) is caused by Anaplasma phagocytophilum Therefore, the intracellular inclusions will look the same with both organisms and are told apart by the KIND of cell they are inside (monocyte=Ehrlichia, granulocytes=Anaplasma)
29
Describe the mechanism and gene involved in MRSA
Based upon expression of altered penicillin binding proteins; these carry the mecA gene which allows them to express PBP2A, a penicillin target with little affinity for the drug. MRSA can be identified using routine disk diffusion testing with cefoxitin as the indicator drug, or with DNA hybridization probes to detect mecA or by detection of PBP2A using latex agglutination.
30
What diseases and responsible organisms are transmitted by the Culex spp of mosquito?
- Arboviral disease including west nile virus, St Louis encephalitis virus, Japanese encephalitis virus - Lymphatic filariasis (Brugia malayi and Wuchereria bancrofti) \*Anopheles spp also transmits lymphatic filariasis
31
What is Dr. Huber's mneumonic for remembering the AmpC Beta-lactamase producing organisms? \*AmpC organisms are resistant to beta-lactamase inhibitors--generally causes resistance to all beta-lactams, except carbapenems and 4th generation cephalosporins (cefepime)
"My SPACE" Morganella Serratia Proteus (not mirabilis), Providencia, Psuedomonas Aeromonas, Acinetobacter Citrobacter freundii (not kosari) Enterobacter
32
What is the difference between a tube coagulase test and a slide coagulase test and which is the definitive one?
-Tube coagulase test detects FREE (secreted) coagulase and is the DEFINITIVE test--isolate is mixed with plasma in a tube and if coagulase is present will complex with coagulase reacting factor (CRF) in plasma which converts fibrinogen to fibrin forming a clot. Necessary to examine at 4 and 24 hours to avoid false negative. -Slide coagulase test detects cellbound coagulase (known as clumping factor). This test is faster but need tube test to confirm
33
Interpret this KIA/TSI slant:
K/A (red/yellow) means alkaline slant over acid butt. The bottom was fermented and the top was not! If the bottom is yellow, it means glucose fermenter and if the top were yellow it means lactose/sucrose fermenter. This result means the bacteria is a glucose fermenter only. In addition, it is an H2S producer. Possibilities include: **Salmonella, Edwardsiella, Citrobacter (freundii), Proteus** "Black PECS"
34
What organism is shown here?
Trypanosoma cruzi \*Brucei looks similar except it will not be C shaped and it can be seen dividing wheras Cruzi will not usually be seen dividing
35
What HPV types (in order of frequency) cause oral focal epithelia hyperplasia (Heck disease)?
13, 32
36
What types of HPV (in order of frequency) cause HSIL?
16, 18, 31, 33, 35
37
This nematode is acquired from ingestion of raw or undercooked fish and biopsy may disclose an eosinophil rich granuloma containing the nematode.
Anasakiasis
38
What parasite is shown here on this acid fast stain which is characterized by these smudgy blobs but if you are lucky you will see the 4 sporozoites (left)? Antigen detection is test of choice
Cryptosporidium ## Footnote - Resistant to **_chlorination_**, killed by ozonation, desiccation (2 h) - Organisms excyst in small intestine, enter brush border epithelial cells but remain extracytoplasmic VERY low infectious dose
39
What two gene loci have been identified in isoniazid resistance in TB? What about rifampin, pyrazinamide and streptomycin resistance? *\*alot of info on 1 card but this was in OSLER lecture, seems important but I don't know how important so I just made a card*
– **katG**: a catalase/peroxidase, probably responsible for transforming INH to an active drug – **inhA**: involved in mycolic acid synthesis, probably a direct target of INH action Alterations in these 2 genes responsible for at least 85% of INH resistance **_Rifampin resistance_** – rpoB, the beta subunit of RNA polymerase alterations in this locus responsible for \>95% of RMP resistance **_Pyrazinamide resistance_** – pncA, pyrazinamidase, cleaves pyrazinamide to pyrazinoic acid – PZA inhibits a fatty acid synthetase; resistance mutations in this locus as well **_Streptomycin resistance_** – rpsL, S12 ribosomal protein – rrs, 16S ribosomal RNA
40
What is a modified acid fast stain and name 4 organisms it is useful in IDing.
Decolorization with dilute sulfuric acid rather than 1M HCl Nocardia, Cryptosporidium, Cyclospora and Isospora
41
What is the one haemophilus that does not require X or V Factor to grow (the only one that will grow by itself on blood agar)?
Haemophilus aphrophilus \*not really haemophilus anymore, moved to aggregatibacter Abscesses (liver, lung, brain) and endocarditis (the H in HACEK)
42
In what patient population has an unusual inhalational form of Sporothrix been identified?
chronic alcoholics
43
What organisms produce a green metallic sheen on EMB agar?
E coli and rarely Citrobacter freundii
44
The optimal culture temperature for initial incubation is 37C. What are the caveats regarding: 1) Yersinia enterocolitica and certain Pseudomonas spp (P fluorescens, P putida) 2) Campylobacter jejuni and Campylobacter coli 3) Listeria monocytogenes
1) Grow optimally at 25-30C 2) Grow optimally at 42C 3) Grows optimally at 37C but displays its characteristic motility only at 25C and is notoriously able to multiply at refrigeration temperature (4C)
45
What form of plasmodium spp is being shown here?
Band form of P. malariae Think of this one as the "gigolo" of the spp because it likes older red cells so they wil be SMALLER **Band form is pathognomonic!** **Mature form will have 8-12 merozoites rosetting with PIGMENT**
46
Which antibiotics have almost universal coverage against the anaerobes?
Metronidazole, carbapenams and beta-lactam combos have almost universal coverage
47
What is the general mechanism of action for ESBL?
ESBLs are TEM and SHV class beta lactamases that hydrolyze penicillins, cephalosporins and the monobactam, aztreonam, conferring resistance to all of these drug classes. ESBLs do not hydrolyze the cephamycin antibiotics (ie; cefoxitin and cefotetan). ESBL’s are also inhibited by beta-lactamase inhibitors such as clavulanate, sulbactam and tazobactam. \*LOOK FOR--decreased susceptibility to 3rd generation cephalosporins or aztreonam with MICs\>1mcg/mL and resistance to multiple cephalosporins but susceptibility to cephamycins (cefoxitin and cefotetan)
48
Which two selective medias are used for cultivation and isolation hardy enteric gram negative rods?
- MAC (has bile salts and crystal violet which inhibit growth of gram positive bacteria and delicate gram negative bacteria) - EMB (eosin methylene blue which has aniline dyes that inhibit the growth of gram positive bacteria)
49
1) Which Nocardia complex can cause indolent soft tissue infections in normal immunocompetent hosts? 2) Which Nocardia complex can cause invasive pulmonary infection and disseminated infection involving CNS in immunocompromised hosts?
1) Nocardia brasiliensis complex 2) Nocardia asteroides complex (includes N. asteroides, N. nova, N. abscessus and N. farcinica--particularly drug resistant)
50
What is being shown here that is acquired by eating larvae with edible water plants?
Fasciola hepatica (liver fluke)/Fasciolopsis buski (intestinal fluke) Cannot tell eggs apart
51
What disease and responsible organism is transmitted by the reduviid bug (Triatominae)?
American trypanosomiasis "Chagas disease" (Trypanosoma cruzi)
52
Which rapid growing mycobacterium: * Positive iron uptake * Tolerant to 5% NaCl (heavy growth) * Positive nitrate reductase * Resistant to all standard anti-TB drugs
M. fortuitum group
53
What yeast is presumptively ID'd using a rapid trehalose assimilation test?
Candida glabrata
54
Which species is responsible for the majority of cases of aspergilloma and allergic bronchopulmonary aspergillosis?
A fumigatus
55
1) What are the anaerobic spore forming gram positive bacilli? 2) What are the anaerobic non-spore forming gram positive bacilli? 3) What are the aerobic spore forming gram positive bacilli? 4) What are the aerobic non-spore forming gram positive bacilli?
1) Clostridium spp (perfringens, septicum, botulinum, tetani, difficile) 2) Actinomyces (same gram stain as Nocardia but Nocardia is aerobic and acid fast unlike Actinomyces), Propionibacterium 3) Bacillus spp (anthracis, cereus) 4) Listeria monocytogenes, Erysipelothrix rhusiopathiae, Nocardia, Rhodococcus equi, Corynebacterium diphtheria and Tropheryma whipplei
56
What is the carriage rate for Neisseria meningitides and what is the site?
10%, oropharynx
57
What is the significance of the lipopolysaccharide portion of the gram negative cell wall?
Endotoxin (Lipid A portion) O polysaccharides are used for serotyping
58
Which dermatophyte produces a red pigment on the BACK of the plate and shows tear shaped microconidia arranged along the hyphae giving a "birds on a wire" appearance?
Trichophyton rubrum
59
What biochemical test can be used to differentiate between the MTB complex species?
M. tuberculosis complex contains VERY closely related organisms which include M. bovis, BCG and M. africanum **Niacin/Nitrate can help!** **MTB is niacin/nitrate positive, M. bovis and africanum are negative** All produce a catalase that is labile at 68 degrees; most other mycobacteria produce heat-stable catalase!
60
Which Enterobacteriaceae are hydrogen sulfide positive?
Salmonella, Edwardsiella, Citrobacter freundii, Proteus
61
What is the carriage rate for strep pneumo in adults and in children and what is the site?
Adults-5%, Children-50% Oropharynx
62
What does the Campy-BAP contain?
Antimicrobials to which Campylobacter spp are resistant (cephalothin, vancomycin, trimethoprim, amphotericin B and polymyxin B)
63
What egg is this?
Trichuris trichiura (whipworm) Remember that the name is symmetrical and so is the egg with a lucent mucoid plus on each end
64
What are the viruses that are NOT cultivatable with routine viral culture?
HIV-1; hepatitis C virus; hepatitis B virus; parvovirus B-19; human herpesviruses 6, 7, and 8; Epstein-Barr virus; human papillomavirus; BK virus; and JC virus
65
What are the features of Legionnaires' disease?
Atypical pneumonia with high fever, **_hyponatremia_**, renal dysfunction, diarrhea and neurologic abnormalities
66
Carbapenemases are grouped as molecular classes A, B and D. What organisms have: 1) Class A 2) Class B 3) Class D 4) What test illustrates KPC mediated resistance?
1) Predominately KPC which are found in Kleb pneumo, other Enterobacteriaceae and Serratia marcescens 2) Comprise the metallo-beta-lactamases such as IMP, VIM and SPM which are produced by Pseudomonas aeruginosa, Acinetobacter, Stenotrophomonas maltophilia and Enterbacteriaceae 3) OXA carbapenemase which are produced by Acinetobacter baumannii 4) Hodge test--Streak agar plate with carbapenam susceptible E. coli and put ertapenam disk in center and streak test organisms out from the disk. KPC organisms will distort zone of inhibition
67
What parasitic infection can cause rectal prolapse?
Trichuris trichiura (whipworm)
68
What are the metallo-beta-lactamases, what organisms have this and what antibiotic are these susceptible to that is different from the ESBLs and AmpC organisms?
VIM and IMP most common Require zinc for activity Pseudomonas and Acinetobacter (and a few enterics) Usually susceptible to aztreonam (but may be hidden by other enzymes)
69
What is the most common helminthic infection in the world?
Ascaris lumbricoides
70
What are the important thermally dimorphic fungi?
Histoplasma capsulatum Blastomyces dermatitidis Coccidioides immits/posadasii Paracoccidioides brasiliensis Sporothrix schenkii Penicillium marnefei
71
What two antibiotics are Proteus spp intrinsically resistant to?
Tetracycline and nitrofurantoin
72
What virus causes the inclusion shown?
Herpes Simplex Virus This picture is showing a Cowdry type A inclusion ("owl eye") bodies in multinucleated cells; nuclei are molded and chromatin in marginated
73
DEFINITE BQ! ## Footnote Need to know how to recognize glucose fermentation in OF media (oxidation/fermentation) media. Which of these pairs of tubes is showing glucose fermentation?
Pair 3 ## Footnote First tube in each pair is open and the second in each pair is overlayed (closed) No yellow at all is negative reaction Yellow in open tube but not closed = oxidation only Yellow in both tubes = glucose fermentation
74
What are 3 causes of false positive results with Cryptococcus antigen test?
– Trichosporon beigelii infection (cross-reactive polysaccharide is produced) – Contamination with agar and syneresis fluid on agar – Platinum wire loops
75
What virus causes X linked lymphoproliferative disease (Duncan disease) and what is this disease?
EBV ## Footnote Fulminant primary EBV infection, frequently fatal. Affects mainly males and patients with this disorder mount an overactive immune response to EBV resulting in fulminant infectious mononucleosis, B cell lymphoma, aplastic anemia and dysgammaglobulinemia. Mechanism of death is usually hepatic necrosis; may be due to hemophagocytosis, agammaglobulinemia, B cell lymphoma ***Defect is found in the SH2DIA (SAP) gene*** Results in uncontrolled activation of T/NK cells following EBV infection
76
The CDC has defined a positive HIV1 Western blot as?
Any two of the following bands: p24, gp41, gp120/160 \*p24 protein is the earliest detectable at 2-3 weeks
77
With malarial infections, how are the following inherited red cell anomalies protective? a) Hgb S b) Duffy negative blood type c) G6PD Def d) hereditary ovalocytosis
a) protective against P falciparum b) protective againt P vivax c) protestive against all spp d) protective against cerebral malaria
78
What is the treatment for carbapenamase producing organisms (Klebsiella, E. coli)?
At this time, there are a limited selection of treatment options for CRE infections. Clinicians have been forced to re-evaluate the use of agents, which have been historically rarely used due to efficacy and/or toxicity concerns, such as _polymyxins, fosfomycin, and aminoglycosides_
79
BQ! Organism Associated with Butyric Acid Production in the Chromatographic Test:
Fusobacterium
80
What serotypes of adenovirus are associated with: 1) respiratory illness 2) hemorhaggic cystitis 3) childhood gastroenteritis
1) serotypes 1-14 and 21 2) serotypes 11 and 21 3) serotypes 40 and 41
81
The mold form of Paracoccidioides is identical to that of which other fungus?
Blastomyces ## Footnote Paracoccidioides has been called the "South American Blastomyces: because they look and behave very similarly
82
Of the plasmodium species, which one is shown here and can be idenfied if this finding is seen on smear?
Plasmodium OVALE ## Footnote Most reliable diagnostic feature (albeit often difficult to find) to support the identification is a Schizont containing 6-14 merozoites clustered around the “dark pigment”. This was the only schizont seen on 5 thin smears and contains 7 very dark staining merozoites. Enumerating these merozoites is a very reliable method for determining P. vivax from P. ovale, as P. vivax Schizonts contain 12-24 merozoites.
83
Which spp of mycobacterium is characterized by: ## Footnote Found in hot water systems—optimum growth temperature is 42°C. May take 6 weeks or longer to grow because 37°C incubation is not optimal. Causes chronic pulmonary disease in adults with underlying disease (e.g. COPD or bronchiectasis). Extrapulmonary infection seen only in immunocompromised. Slow growth, **_optimum growth at 42°C_** Long, thin, branching, acid-fast rods on smear from liquid culture (“atypical morphology”) Scotochromogenic and identified biochemically (**arylsulfatase pos)**
M. xenopi
84
Tuberculosis can be caused by any of the M. tuberculosis complex which includes which organisms?
M. tuberculosis M. microti M. bovis M. africanum M. canetti
85
What is the carriage rate for staph aureus and what site?
50%, nares
86
What organism is being shown in this Fite stain?
M. leprae Acid fast organisms infiltrating a nerve
87
What is the most common cause of abdominal TB?
Mycobacterium bovis
88
What two types of malaria DON'T recur from the liver?
– **P. falciparum** – high incidence and severity ## Footnote \*so severe and you don't see anything in blood other then ring forms because if it matures over the ring form, it sticks to vessel walls like crazy so you do not see it in peripheral blood – **P. malariae** – lower incidence and severity Both worldwide in the tropics
89
What two bacteria non glucose fermenting gram negative rods that are inherently resistant to carbapenams (treated with trimeth-sulfa)?
Stenotrophomonas maltophilia Burkholderia cepacia
90
What should you avoid when performing a catalase test? What are the other important catalase positive pathogens other than Staph?
Avoid contaminating with blood agar since RBCs produce catalase ## Footnote _Other catalase positive pathogens_: Campylobacter spp, Listeria spp and Bacillus spp
91
Which bacterial organism colony morphology is nonhemolytic with irregular borders (Medusa head colonies) that are tenacious and stand up when teased with a loop?
Bacillus anthracis \*This is one of the few NONMOTILE bacillus organisms
92
What organism causes encephalitis characterized by bilateral hemorrhagic necrosis within the anterior temporal lobes and is associated with RBCs in the CSF?
Herpes Simplex Type 1 CSF: RBCs, very high protein and low glucose \*HSV2 can cause meningitis but not encephalitis. HSV1 lies dormant in the trigeminal ganglia and HSV2 lies dormant in sacral ganglia.
93
What virus causes the effect shown?
Measles (Rubeola) This is a Warthin-Finkeldey giant cell which can have up to 50 or more nuclei! The inclusions are nuclear, cytoplasmic and syncytial
94
What virus causes the inclusion shown?
CMV A nuclear AND cytoplasmic inclusion that produces "owl eye" appearance but they are not multinucleated like HSV
95
What disease does this organism cause?
Scabies
96
What is being shown in the picture and what infection is this characteristic of?
This is a fibrin ring granuloma commonly seen in the liver and bone marrow of patients with Q fever caused by Coxiella burnetii
97
Which anaerobe is ALWAYS resistant to metronidazole?
Propionibacterium acnes
98
Which bacteria traverse the bowel wall and entrench themselves within reticuloendothelial cells of the liver, spleen and gallbladder and what is this disease? The gallbladder then acts as a reservoir continually reinfecting the bowel leading to long term shedding.
Salmonella typhi and Salmonella paratyphi Typhoid fever
99
What bacteria is gram invisible, requires L cysteine supplementation for in vitro culture, shows whitish colonies in 2-5 days on BCYE and ID can be confirmed by direct fluorescent antibody or latex aggluttination methods?
Legionella
100
What is this?
Schistosoma hematobium
101
What organism causes both granulomatous amebic encephalitis and amebic keratitis in contact lens wearers?
Acanthamoeba \*Balamuthia mandrillaris also causes GAE
102
What are some key characteristics and toxin produced by the following diarrheagenic strains of E coli: 1) EHEC (enterohemorrhagic) 2) ETEC (enterotoxigenic) 3) EIEC (enteroinvasive) 4) EPEC (enteropathogenic) 5) EAggEC (enteroaggregative)
1) EHEC (enterohemorrhagic)--capable of producing Shiga toxin associated with HUS, esp O157:H7 2) ETEC (enterotoxigenic)--watery diarrhea, main cause of "traveler's diarrhea", produces choleralike toxin 3) EIEC (enteroinvasive)--causes dysentery similar to Shigella, produces Shigalike toxin (T3SS), like Shigella it is nonmotile and lactose nonfermenting 4) EPEC (enteropathogenic)--causes dysentery similar to Shigella, DOES NOT produce Shigalike toxin 5) EAggEC (enteroaggregative)--infant diarrhea in underdeveloped countries and refractory diarrhea in HIV pts
103
VRE: What are the types of resistance and antibiotics affected by: 1) VanA gene 2) VanB gene 3) VanC gene
1) high level inducible resistance, vancomycin and televancin (Enterococcus faecium and faecalis) 2) high-to-moderate inducible resistance, vancomycin only (Enterococcus faecium and faecalis) 3) low level constitutive resistance, vancomycin only (Enterococcus casseliflavus and gallinarum--intrinsically resistant to vanc)
104
What is the lab test for Aspergillus (not the IgE test for allergic bronchopulmonary aspergillosis)?
ELISA assay for the serum marker galactomannan and/or 1-3-beta-D-glucan
105
What egg is this?
Ascaris lumbricoides \*this LUMBER as rough outer surface
106
What aspergillus spp is associated with oxalosis (calcium oxalate tissue deposition)?
A. niger
107
What two main diseases does HTLV virus cause?
HTLV1 infects CD4 T lymphocytes 1) Tropical spastic paraparesis (HTLV associated myelopathy) affects women 3:1, causes demyelinating lesions within the upper thoracic and lower cervical cord 2) Adult T cell leukemia/lymphoma Lifetime risk 5% in infected people before the age of 20yrs, incubation period of 20-30 years. Patients present with HSM, jaundice, wt loss and may feature **hypercalcemia, skin rash, high serum concentrations of free IL-2 receptor and pronounced sense of thirst**
108
Detection of β-D-galactoaminidase activity identifies what spp of Candida?
Albicans
109
Which drugs lack proven in vivo efficacy for infections with Enterococci?
Enterococci may appear susceptible to cephalosporins, clindamycin, trimethoprim-sulfamethoxazole, and aminoglycosides (except for high-level resistance screening) in vitro. However, these antimicrobials have no proven in vivo, clinical efficacy. Antimicrobial susceptibility reports should therefore not report these drugs as susceptible.
110
What are the two exceptions for treating asymptomatic bacteriuria? What is the criteria for diagnosis?
_Exceptions_: pregnant women and patients undergoing urologic instrumentation ## Footnote _Criteria_: Asymptomatic women--two consecutive voided urines with isolation of the same species, \>105 cfu/mL Asymptomatic men--single voided urine with isolation of a single species \>105 cfu/mL Men or women--single catheterized specimen, single bacterial species \>102 cfu/mL
111
What is a Jarisch-Herxheimer reaction?
A reaction to endotoxin-like products released by the death of harmful microorganisms within the body during antibiotic treatment. It is classically associated with penicillin treatment of syphilis. Duration in syphilis is normally only a few hours. The reaction is also seen in other diseases caused by spirochetes.
112
What is the rapid urease test and what organisms does it help identify?
Proteus and H pylori (urease positive) Splitting (hydrolysis) of urea alkalinizes the medium leading to color change (pink or red) Many bacteria have urease activity but only a few can degrade it quickly (within 4 hours) and are designated "rapid urease positive" organisms Brucella is also rapid urease positive
113
What biochemical test is pretty much the only difference between Klebsiella oxytoca and Klebsiella pneumoniae?
K. oxytoca is indole positive and K. pneumoniae is indole negative
114
What are the viral cytopathic effects of Varicella Zoster Virus (VZV) and how does it differ from HSV?
VZV grows very poorly in culture and it takes about 14 days to grow whereas HSV is very rapid (1-3 days). The CPE is the same characterized by focal shrunken or enlarged cells, but advancing in a slow continuous manner. VZV will NOT grow in Hep2/HeLa cells (HSV will) but will grow in PMK and HDF cells. *\*PMK=Primary Monkey Kidney, Hep2/HeLa=Human Epithelial Cells, HDF=Human Diploid Fibroblasts*
115
What are the IV Runyon groups and what are the organisms in them?
Classification for non-TB mycobacterium **_I Photochromogens_** Only produce pigment after exposure to light (**M. kansasii--often isoniazid resistant and M. marinum)** **Others: M. simiae, M. asiaticum, M. szulgai (22-24 degrees)** **_II Scotochromogens_** Always pigmented (**M. gordonae)--**called tap water chromogen because it is so commonly isolated and almost never pathogenic, report as contaminant, **M. xenopi, M. scrofulaceum M. flaviscens, M. szulgai (37 degrees)** **_III Nonchromogens_** No pigment (**M avium complex and TB complex)** **_IV Rapid growers_** **M. chelonae and fortuitum complexes**
116
Name three methods for direct exam of fungal specimens.
Calcofluor white, KOH, Lactophenol cotton blue/KOH
117
What is the most common cause of aseptic meningitis in the winter and spring?
Lymphocytic Choriomeningitis Virus (LCM)
118
What is this?
Taenia saginata ## Footnote Eggs of T. saginata are not infectious, unlike T solium; thus cysticercosis (larval form of disease in humans) due to T saginata does not occur
119
What supplementation does Francisella tularensis require to grow?
Sulfhydryl compounds (cysteine and cystine); can be isolated on routine media after extended incubation. Oxidase and urease negative, beta lactamase positive
120
What is the purpose of using buffered charcoal yeast extract (BCYE) agar?
Recovery of Legionella spp Contains cysteine and iron supplementation which is necessary to support growth of Legionella. The activated charcoal helps bind and sequester growth inhibitors that may be present in the specimen
121
What diseases and responsible organisms are transmitted by the Anopheles species of mosquito?
- Dog heartworm (Dirofilaria immitis) - Malaria (Plasmodium spp) - Lymphatic filariasis (Brugia malayi and Wuchereria bancrofti) \*Culex spp also transmits lymphatic filariasis
122
What are the molecular pathogen specific targets for staph aureus and MRSA in multiplex PCR assay?
Staphylococcal protein A (spa), SCCmec, and mecA gene ## Footnote The spa gene is specific for staph aureus. SCCmec is the genetic element carrying mecA which is inserted by transposition into the orfX gene. The mecA gene encodes the protein conferring methicillin resistance which codes for the production of penicillin binding protein 2A (PBP2A) which acts as a beta lactam resistant transpeptide.
123
If you see organisms in a macrophage, how can you tell apart Leishmania vs Histoplasma and which one is being shown in this picture?
**Leishmania** ## Footnote will show discrete organisms with nucleus and kinetoplast (PAS NEG) The picture here is showing Histoplasma which will show budding yeast but parent and bud are not within a discrete membrane (PAS POS)
124
Which of the dimorphic fungi are associated with sclerosing mediastinitis?
Histoplasma
125
What spp of plasmodium is shown here?
P. ovale Makes the red cells ovale Schuffner dots ARE seen
126
What are the two primary diseases caused by EBV infection?
1) Infectious mononucleosis (mainly in adolescents and young adults) 2) X linked lymphoproliferative disease (Duncan disease) which mainly affects males. Patients with this disorder mount an overactive immune response to EBV resulting in fulminant infectious mononucleosis, B cell lymphoma, aplastic anemia and dysgammaglobulinemia
127
Which bacterial organism's presumptive ID involves demonstration of the ability to reduce _potassium tellurite to metallic tellurite_? This organism's presumptive ID is also demonstrated by brown-black colonies surrounded by black halos on _Tinsdale agar_.
Corynebacterium diphtheriae ## Footnote **\*also must show toxigenicity! They have to be infected with a certain type of phage to produce a toxin so to test for the toxin there is a Elek test!**
128
Name that microfilariae! (A-D)
**A) Wucheria bancrofti** ## Footnote Sheathed, nuclei stop short of end of tail **B) Brugia malayi** Sheathed, two small nuclei in tail **C) Onchocerca volvulus** Unsheathed, from skin, not blood (**if you seen unsheathed microfilariae in blood, it is probably Mansonella perstans!)** **D) Loa Loa** Sheathed, nuclei to continue to end of tail
129
How many oil immersion fields but you examine on thick and thin smears when looking for malaria?
at least 100 oil immersion thick film fields or 300 thin film fields is required to acheive the reported sensitivity (5 parasites/uL)
130
What are the 3rd generation cephalosporins?
Cefotaxime Ceftriaxone Ceftizoxime Ceftazidime
131
This fungus has a yellow-green to olive colony and LIGHT reverse of the plate.
Aspergillus flavus
132
What organism is this?
Trichinella spiralis \*if you see worms encysted in muscle, think about this organism
133
Why is it important to distinguish between Candida albicans and dubliniensis?
They are morphologically identical and are both germ tube positive but dubliniensis is more likely to develop fluconazole resistance ## Footnote Distinguish by: – C. albicans growth at 45C – C. dubliniensis dark-green colonies on Chromagar – C. dubliniensis reduction of 2,3,5-triphenyltetrazolium chloride
134
What is Ramsey Hunt syndrome and what causes it?
Reactivation of VZV in geniculate ganglion of the facial nerve Causes: otalgia, unilateral facial paresis, vertigo, hearing loss and tinnitus
135
What is Bowenoid papulosis and what causes it?
Multiple small (2-3 mm) pearly papules in the genital region (penis, vulva, anus) that histologically resembles SCC in situ. Rarely progresses to invasive cancer. Caused by HPV 16 and/or 18
136
What diseases and responsible organisms are transmitted by the sandfly (Phlebotomus and Lutzomyia spp)?
- Leishmaniasis (Leishmania spp) - Bartonellosis; Carrion disease (Bartonella bacilliformis) - Arboviral disease (Vesicular stomatitis virus, Toscana and Sicilian virus)
137
What two parasitic infections are capable of person to person spread?
Enterobius vermicularis Hymenolepis nana
138
By what mechanism does EBV cause primary infection?
Enteres body through pharyngeal or genital mucosa Infects B lymphocytes via the C3d receptor (CD21) CD8 T cells proliferate and are responsible for peripheral atypical lymphocytosis The site of EBV latency is in the B cells; EBV genome persists in episomal form
139
In addition to Staphylococcus, what are the other catalase positive pathogens?
Campylobacter spp, Listeria spp, Bacillus spp
140
What is the novobiocin susceptibility test used for?
Distinguish Staphylococcus saprophyticus (resistant) from other coagulase negative Staph (susceptible)
141
What is the germ tube test?
Separate spp of Candida ## Footnote – Grow yeast in serum 2h – Separates C. albicans (+ germ tube) and other Candida species (no germ tube, instead budding hyphae) C. **albicans is generally fluconazole susceptible (\>95%)**whereas other Candida include species with a higher frequency of resistance. When Candida is grown in human or sheep serum at 37°C for 3 hours, they forms a germ tubes, which can be detected with a wet KOH films as filamentous outgrowth extending from yeast cells. It is positive for Candida albicans and Candida dubliniensis. Approximately 95 – 97% of Candida albicans isolated develop germ tubes when incubated in a proteinaceous media.
142
What do you have to do in order to grow Malasessia furfur?
Put olive oil on the plate! They need lipid to grow
143
Which Enterobacteriaceae are Voges-Proskauer (VP) positive?
Klebsiella, Enterobacter, Hafnia, Serratia, Pantoea
144
Which anaerobic gram negative bacilli show brick red fluorescence when exposed to UV light and after several days of growth, the colonies appear brown black in natural light?
Porphyromonas/Prevotella
145
What is Loffler syndrome?
When nematode (roundworm, hookworm) larvae penetrate mucosa, enter bloodstream and larvae is carried to lungs. May produce transient infiltrates with eosinophilia
146
If you have a patient with diarrhea lasting more than two weeks, what test should you suggest?
Get Giardia/Cryptosporidium antigen test!
147
What is aminoglycoside synergy testing and what genus of bacteria is this recommended for?
Enterococcus--for sterile sites, CLSI recommends synergy testing Susceptibility to high levels of gentamicin and/or streptomycin will predict synergistic activity with penicillin, ampicillin or vancomycin
148
What particular two species of Staphylococcus produce false positive slide coagulase tests and why?
Staph lugdunensis and Staph schleiferi because they produce clumping factor but not free coagulase
149
What organism is this (including species)?
Aspergillus fumigatus The phialides only cover the TOP whereas flavus goes ALL the way around (see pic)
150
Which bacteria forms white cerebriform (molar tooth) colonies?
Actinomyces israelii
151
What are the 3 most common causes of otitis media?
Strep pneumo, Haemophilus influenza, Moraxella catarhalis
152
What is Pontiac fever?
Flulike illness caused by Legionella pneumophila but without the pneumonia
153
What are the gamma hemolytic gram positive cocci and what are their characteristic properties?
--Most strains of enterococci (PYR+, bile esculin+, grows in presence of 6.5% NaCl) --Most strains of strep bovis (PYR-, bile esculin+) --Some strains of viridans strep (PYR-, bile esculin-)
154
What organism is shown here? ## Footnote - Asymptomatic to invasive intestinal / extraintestinal - Fetid “pigpen” odor to breath reported
Balantidium coli ## Footnote -Stool O&P – large ciliate Cysts have macro and micro nucleus
155
The only medically significant ciliate organism is:
Balantidium coli Cilia and characteristic kidney bean-shaped macronucleolus
156
What is this?
Schistosoma mansoni
157
What are the major causes of pneumonia in the setting of alcoholism?
Streptococcus pneumoniae, Klebsiella pneumoniae, anaerobes (aspiration), gram negative aerobic bacilli
158
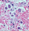
What organism is being shown here (kind of trick question)?
Mycobacterium! You can only tell because of the characteristic "ghost cells"--the organisms are not picking up stain but you see a space where they are
159
What are the 2nd generation cephalosporins?
Cefuroxime Cefoxitin and cefotetan (cephamycin group)
160
What is the most common form of bacterial enteritis in the US?
Campylobacter jejuni \*most commonly identified cause of Guillain-Barre syndrome and causes reactive arthropathy in persons with HLAB27
161
Where are the following spp of Treponema found and what disease do they cause: 1) T pallidum subspecies pertenue 2) T pallidum subspecies endemicum 3) T carateum
1) Africa, Asia, South America; causes yaws which is a tropical infection of the skin, bones and joints. The disease begins with a round, hard swelling of the skin and center may break open and form an ulcer. After weeks to years, joints and bones may become painful, fatigue may develop, and new skin lesions may appear. 2) Africa, Asia, Middle East; causes endemic nonvenerial syphilis (Bejel) which usually begins in childhood as a small mucous patch, often on the interior of the mouth, followed by raised, eroding lesions on the limbs and trunk. Periostitis of the leg bones is commonly seen, and gummas of the nose and soft palate develop in later stages. 3) South America; pinta which produces a raised papule, which enlarges and becomes hyperkeratotic. Lesions are usually present in the exposed surface of arms and legs. Local lymph nodes might be enlarged. Three to 9 months later, further thickened and flat lesions (pintids) appear all over the body. These generally resolve, but a proportion of people with pinta will go on to develop late-stage disease.
162
What is the preferred specimen to culture for mycobacterium in kids?
gastric washings (early morning after overnight fast)
163
What are the major causes of pneumonia in the setting of sandstorm exposure?
Coccidioides immitis/posadasii
164
What is the K1 beta lactamase and what organism produces it?
Klebsiella oxytoca produces a chromosomal beta-lactamase, the K1 enzyme. Hyperproduction of the K1 enzyme can occur by mutation. The K1 enzyme is predominantly a penicillinase that can also significantly hydrolyze aztreonam, cefuroxime and cetriaxone and has weak activitiy against cefotaxome or ceftazidime. \*Organisms producing K1 beta lactamases may give false positive ESBL confirmatory tests with automated testing systems.
165
Name three methods for the acid fast stain.
Cell wall structure like gram + but have mycolic acids which repel crystal violet/iodine so these acid fast methods use heat and/or phenol to allow a fuchsin dye to penetrate the hydrophobic barrier and stain the mycolic acids in the cell wall ## Footnote - Auramine/rhodamine (HCl decolorization then potassium permanganate counterstain. AFB will fluoresce orange on black background. Can restain with Kinyoun or Ziehl-Neelson for confirmation) - Kinyoun cold (red carbol fuchsin with higher concentration of phenol than Ziehl Neelson and no heat then HCl decolorization then methylene blue counterstain. AFB are red on a blue background) - Ziehl Neelson hot (red carbol fuchsin dye containing phenol is heated to aid penetration of cell wall; strong acid, 3% HCl, is used for decolorization
166
What is the Thayer-Martin medium used for?
Recovery of Neisseria species from non sterile sites Contains Neisseria resistant antibiotics (vancomycin, colistin, nystatin and SXT)
167
What diseases and responsible organisms are transmitted by rat fleas?
- Plague (Yersinia pestis) - Murine typhus (Rickettsia typhus)
168
What bacteria is a tiny curved (seagull shaped) gram negative rod that needs a microaerophilic environment and grows on selective media at 42C, is oxidase and catalase positive?
Campylobacter jejuni \*HIPPURATE HYDROLYSIS positivity is key to distinguishing C jejuni from other Campylobacter spp!
169
Which anaerobic gram positive bacilli is boxcar shaped and preliminary ID involves demonstration of lecithinase?
Clostridium perfringens (double zone of beta hemolysis)
170
What are the cytopathic effects and culture characteristics of Rhinovirus?
CPE are focal granular and swollen cells. Will NOT grow in Hep2/HeLa cells but grows very well in HDF cells (+++). Will occasionally grow in PMK cells (+). Compendium does not mention time to CPE *\*PMK=Primary Monkey Kidney, Hep2/HeLa=Human Epithelial Cells, HDF=Human Diploid Fibroblasts*
171
What is an increasingly common nosocomial pathogen that causes ventilator associated pneumonia, bacteremia, wound infections, UTIs and meningitis and has been associated with outbreaks of bloodstream infections, osteomyelitis, and complicated skin and soft tissue infections in US military and civilian personnel who were wounded while serving in Iraq and Afghanistan?
Acinetobacter baumannii ## Footnote This is a nonfermenter, gram negative, nonmotile, oxidase negative coccobacillus whose natural habitat is water and soil. It's ability to survive environmental desiccation for weeks contributes to its nosocomial transmission. It is HIGHLY drug resistant (one of the AmpC organisms but has many other resistance mechanisms). Carbapenams are the best choice if strain is susceptible.
172
What fungal organism is a major concern as an opportunistic infection in burn victims?
Fusarium
173
What HPV types (in order of frequency) cause oral squamous papillomas, laryngeal papillomas, condyloma accuminatum (genital warts), and LSIL?
6, 11
174
How long after admission do you NOT accept stool specimens for routine stool pathogens and O and P exam in inpatients?
3 days
175
What organism is shown here? It is unique in that high titers of serum antibodies is BAD (ie people that form Abs have disseminated disease) and the dissapearance of the antibodies is a sign of effective therapy?
Coccidioidomycosis
176
The dimorphic yeast form of Paracoccidioides is often confused histologically with the mold form of what other dimorphic fungus?
Histoplasma
177
What are the 1st generation cephalosporins?
Cafazolin, Cephalothin
178
What biochemical tests can help differentiate between Proteus mirabilis and Proteus vulgaris?
Both are urea positive. Proteus mirabilis is indole NEGATIVE and Proteus vulgaris is indole POSITIVE. Proteus mirabilis is also ornithine carboxulase positive. The proteus spp OTHER THAN MIRABILIS have AmpC so will be resistant to cephalosporins including cephamycins so need to use quinolones or bactrim for these UTIs
179
What egg is being shown?
Hookworm (can't tell apart Necator from Ancylostoma) Lucent shell with early embryo inside
180
Describe the CAMP test and what organisms is it used to identify?
Identifies group B strep and Listeria monocytogenes Both produce CAMP factor which enhances staphylococcal beta hemolysin Isolate is streaked at a perpendicular angle to a staph aureus streak. Arrowhead shaped enhancement of beta hemolysis at the junction of the two streaks is characteristic of strep agalactiae; rectangular enhancement is characteristic of Listeria spp
181
Interpret this KIA/TSI slant:
K/A (red/yellow) means alkaline slant over acid butt. The bottom was fermented and the top was not! If the bottom is yellow, it means glucose fermenter and if the top were yellow it means lactose/sucrose fermenters. This result means the bacteria is a glucose fermenter only. Possibilites include: **Shigella, Serratia, Morganella, Providencia, Yersinia** "MY SPS"
182
What is the most common cause of antibiotic associated diarrhea and which strain is more virulent?
Clostridium difficile B1/NAP1/027 strain is more virulent due to deletion of tcdC gene (a toxin A/B regulatory gene) so there is increased production of toxins A and B
183
What is the caveat regarding serologic testing for Bordetella pertusis?
Caveat: Serology is uninterpretable in immunized or unimmunized patients \<11 years of age – These patients are cultured regardless of duration of symptoms – Serology is never sent on these patients
184
This dimorphic fungi looks like this as yeast (cigar bodies) and produces a black colony in culture, what is it?
Sporothrix schenckii The slide culture will look like this (daisy shaped with threads connecting to conidiophore)
185
What are the biochemical characteristics of Pasturella multocida and what is the mneumonic for remembering?
**"COIN"** ## Footnote **C**atalase, **O**rnithine, **I**ndole and **N**itrate positive. Pasturella are most commonly associated with normal flora of dog and cat’s mouths. Infections due to Pasturella are commonly soft tissue infections secondary to bite wounds. However, Pasturella can cause a variety of disease manifestations, such as blood stream infections, meningitis, peritonitis, endocarditis, and osteomyelitis. _It is important to keep Pasturella in mind when a small Gram-negative coccobacillus that does not grow on MacConkey agar is isolated in the laboratory._
186
Which of the following organisms grows as a mold with a characteristic daisy head shaped conidia? ## Footnote a) Chrysosporium b) Blastomyces c) Sporothrix d) Paracoccidioides e) Scedosporium
**c) Sporothrix** ## Footnote All the other molds listed can produce "lollipop" conidia. Sprothrix however produces a very characteristic "daisy head" conidia that is not easily confused with Blastomyces
187
What is the organism seen here?
Enterobius vermicularis Cross section shows characteristic lateral alae
188
What HPV types (in order of frequency) cause plantar warts?
1, 2
189
This fungus has a dark brown to black colony with a LIGHT reverse of the plate.
Aspergillus niger
190
IMPORTANT! What is listeria monocytogenes resistant to?
Cephalosporin!
191
What are the seven latent diseases caused by EBV?
1) Burkitt lymphoma ## Footnote Endemic, sporadic and immunodeficiency associated forms; nearly 100% of endemic BL in African kids and 25% of sporadic and immunodeficiency associated cases caused by EBV 2) Hodgkin lymphoma (50% of cases EBV related) 3) Primary effusion lymphoma (70% of cases EBV related, 100% of cases are HHV8 related) 4) Lymphomatoid granulomatosis (systemic angiodestructive lymphoproliferative disease) 5) Posttransplant lymphoproliferative disorder (PTLD) More than 95% are EBV positive 6) Oral hairy leukoplakia Caused by EBV with HIV infection however **_EBER is negative_** 7) Nasopharyngeal carcinoma Nearly 100% EBV positive in Chinese and Inuit populations; 75% EBV positive in US
192
Which Haemophilus spp: 1) require BOTH X and V factor 2) require X factor only 3) require V factor only 4) show hemolysis
1) H influenzae, H haemolyticus, H aegyptius 2) H ducreyi \*only species to do this! Think how do you get ducreyi? It's an STD so it's X rated (requires X factor) 3) H parainfluenza, H parahaemolyticus, H pittmaniae and H. paraphrohaemolyticus \*to remember, if it parts with a "P", it only requires "V" 4) H haemolyticus, H parahaemolyticus, H aegyptius (these show beta hemolysis)
193
What virus causes the inclusion shown?
Adenovirus This is showing the smudge cells (a nuclear inclusion) produced by adenovirus in a case of adenovirus pneumonia. \*They could show this type of inclusion in multiple different organs
194
What organism causes visceral larva migrans and ocular larva migrans? They wander throughout various organs and produce syndromes of hypereosinophilia, hepatosplenomegaly and pneumonitis.
VLM: Toxocara canis (dog roundworm) OLM: Toxocara cati (cat roundworm)
195
What bacteria requires nicotinic acid, cysteine, and methionine for growth but does NOT require X or V factor, grows in 2-4 days on Bordet-Gengou or Regan-Lowe media incubated 35C with supplemental CO2 and colonies are small smooth and shiny which has been likened to a drop of mercury?
Bordetella
196
What is the mneumonic to remember partially acid-fast organisms?
"DRTNG" (aka "darting") for acid-FAST * *D**ietzia * *R**hodococcus * *T**sukamurella * *N**ocardia * *G**ordonia \*note Dietzia is recently controversial as it may not be partially acid fast but this is good mneumonic
197
Interpret this KIA/TSI slant:
A/A (yellow/yellow) means acid slant over acid butt. If the bottom is yellow, it means glucose fermenter and if the top were yellow it means lactose/sucrose fermenter. This organism is fermenting BOTH glucose and lactose. Possibilites include: **E coli, Klebsiella, Enterobacter and Citrobacter (not freundii which is H2S pos)** "CEEK"
198
What two organisms will grow on chocolate agar but not on blood agar?
Haemophilus influenza and Neisseria gonorrhoeae
199
How to remember the hyaline molds: 1) ones that occur in clusters 2) ones that have branching chain conidia 3) ones that occur singly
1) "**GAF**" (a tool to grab things and hold together in cluster) **G**liocladium **A**cremonium **F**usarium 2) "looking through a **P**AY telescope to **S**EE a **P**EN hanging from branch" **P**enicillium **S**copulariopsis **P**aecilomyces 3) Scedosporium, Beauveria, Sepedonium, and Chrysosporium
200
Which Enterobacteriaceae are phenyalanine deaminase (PAD) positive?
Proteus, Morganella, Providencia
201
What are the major causes of pneumonia in the setting of AIDS?
Pneumocystis jiroveci, Cryptococcus neoformans
202
Which Enterobacteriaceae are nonmotile?
Shigella Klebsiella Yersinia (nonmotile at 37C but motile at 22C)
203
What disease is characterized by hyperplastic mucosa with pseudoepitheliomatous squamous hyperplasia, granulomatous inflammation, foamy macrophages and plasma cells with Russell bodies? What organism causes this? What is the characteristic cell called that is associated with this disease?
Rhinoscleroma, a chronic granulomatous disease of the upper airways caused by Klebsiella rhinoscleromatis. Produces foamy macrophages containing bacteria which are called MIKULICZ CELLS
204
PREVIOUS BOARD Q! What two toxins are responsible for the double zone of beta hemolysis seen in Clostridium perfringens?
Beta hemolytic theta toxin, and alpha hemolytic alpha toxin
205
What fungal organism causes a characteristic syndrome of lung infection PLUS skin involvement?
Blastomycosis (also paracoccidiodomycosis) Also causes penile and prostate disease in men \*just like when you see lung plus brain, think NOCARDIA
206
What is the name of the structure shown and what is it associated with?
Sclerotic (muriform) bodies which are sclerotic bodes having internal septations in more than one plane Seen in chromoblastomycosis which is a subcutaneous mycosis assoiated with _promient pseudoepitheliomatosis hyperplasia_ Principle agents: *Fonsecaea pedrosoi, Phialophora verrucosa and Cladophialophora carrionii*
207
Which form of Plasmodium is described as intraerythrocytic collections of numerous organisms?
Schizonts Multiple merozoites are inside one schizont
208
What are the requirements for routine blood cultures?
- Blood cultures x 2 drawn sequentially - 20mL draws divided between aerobic and anaerobic bottles (40mL total which means 10mL per bottle) -No more than 3 in a 24 hour period - \*To r/o endocarditis draw a third BC 20-60 minutes after the first two (and repeat the following day if still negative) - Pedi draws can be less volume and single draw
209
What diseases and responsible organisms are transmitted by the Lone Star tick (Amblyomma americanum)?
- Erlichiosis (Ehrlichia spp) - Tularemia (Francisella tularensis) - Southern tick associated illness (unknown etiology)
210
What Corynebacterium is strongly associated with urinary tract infections associated with formation of struvite crystals and is usually multiple antibiotic resistant?
Corynebacterium urealyticum
211
Which subspecies within the strep bovis group is associated with colonic malignancy?
Strep gallolyticus, subspecies gallolyticus
212
What organism is shown here?
Banana form of P. falciparum (gametocyte) If you see this, it is diagnostic but usually you will see the ring forms with either 1 or 2 dots or Applique forms where the organism is plastered against the side of the red cell \*Falciparum is the "slut" of the plasmodiums because it will infect any and every red cell
213
What disease and responsible organism is transmitted by the Tsetse fly (Glossina spp)?
African trypanosomiasis (Trypanosoma brucei)
214
What organism causes hemorrhagic cystitis and what is the clinical scenario where this is commonly seen?
Adenovirus 11 and 21 Most often seen in bone marrow transplant recipients
215
Isavuconazole has activity against which organisms?
Isavuconazole was recently FDA approved for the treatment of invasive **aspergillosis and mucormycosis**. This triazole is available as a water-soluble intravenous formula with excellent bioavailability and few reported side effects. Like most azoles, isavuconazole inhibits cytochrome P450 (CYP)-dependent 14α-lanosterol demethylation which is required for fungal cell membrane ergosterol synthesis. This drug has been shown to have **activity against yeasts including all Candida spp. and Cryptococcus spp**.. For **hyaline molds, there is good activity against Paecilomyces lilacinus and Scedosporium apiospermum**, **but not S. prolificans**. S. prolificans demonstrates resistance to most antifungal agents. Isavuconazole also has activity against many dematiaceous molds and dermatophytes.
216
What organism causes the characteristic feature shown in the picture which can permit preliminary ID?
Mycobacterium tuberculosis \*Picture is showing CORDING
217
What spp of Candida tends to develop Amphotericin B resistance?
Candida lusitaniae
218
What are the alpha hemolytic gram positive cocci and what are their characteristic properties?
--Strep pneumo (optochin susceptible) --Most viridans strep (optochin resistant, PYR-, bile esculin-) --Some strains of strep bovis (optochin resistant, PYR-, bile esculin+) --Some strains of enterococci, especially E faecium strains (optochin resistant, PYR+, bile esculin+, grows in presence of 6.5% NaCl)
219
What disease and responsible organism is transmitted by the dung fly (Musca sorbens)?
Trachoma (Chlamydia trachomatis)
220
What HPV types (in order of frequency) cause the common wart?
2, 1, 4 | (HPV7 in handlers of fish and meat)
221
What is this?
Taenia solium (Pork tapeworm--solium is a shorter word than saginata and pigs are smaller than cows) Also solium has less uterine branches than saginata
222
What organism demonstrates temperature dependent tumbling motility in wet mounts (best at room temp, not well demonstrated at 37C), reveals umbrella shaped motility in semisolid agar, CAMP test shows a rectangular zone of enhanced hemolysis, and can grow at 4C (may contaminate refrigerated foods)?
Listeria monocytogenes
223
There are 6 capsular groups of Neisseria meningitidis associated with invasive disease. What are they? Where are they found? Which does the quadrivalent vaccine target?
6 groups: A, B, C, W-135, X and Y ## Footnote Group A and less often Group X predominately cause epidemics in Central Africa (the "meningitis belt") wheras groups B, C and W-135 commonly cause disease in industrialized nations. The human nasopharynx is the only known reservoir. A quadrivalent vaccine targeting the polysaccharide capsular antigens of serogroups A, C, Y and W135 is recommended in the US for military recruits, freshmen in college, prisoners and lab workers. The current vaccine does not cover group B due to the poor immunogenicity of its capsule.
224
If a patient has clear symptoms of bacterial pharyngitis but rapid strep test is negative but culture picks up the organism, what is this likely due to?
Strep dysgalactiae subspecies equisimilis ## Footnote Common cause of pharyngitis in teens and young adults. The rapid strep tests are specific for group A strep (pyogenes) so culture is required for diagnosis
225
Regarding parasitic oculocutaneous infections: 1) what parasite adult worm causes disease? 2) what parasite larvae causes disease?
1) Loa loa 2) Onchocerca volvulus
226
What new FDA approved test is available for malaria?
Binax NOW approved 2007 * Detects P. falciparum (HRP2) and common malarial antigen separately (falcipurum channel is much more sensitive than other channel for other malarias) * Microscopy detection limit is ~5-20 parasites/ul * Negative results must be confirmed by thick and thin smears
227
Where do Plasmodium sporozoites proliferate?
Liver
228
Which Enterobacteriaceae are strongly urease positive?
Proteus, Morganella, Providencia rettgeri
229
What EBV driven/related is disease is NEGATIVE with EBER?
Oral hairy leukoplakia
230
What fungi has pseudohyphal extensions that extend from one corner of the rectangular arthroconidia and resemble a hockey stick?
Geotrichum ## Footnote Urease negative
231
What is the Thiosulfate-citrate-bile salts-sucrose (TCBS) agar used for?
Recovery of Vibrio spp It has bile salts which inhibit gram positives and an alkaline pH which inhibits most enterics but enhances growth of Vibrio \*sucrose fermenters will be yellow thus making differentiating between the sucrose fermenting Vibrios (Vibrio cholerae) and sucrose nonfermenting Vibrios
232
What types of HPV (in order of frequency) cause cervical adenocarcinoma in situ and invasive cervical adenocarcinoma?
18, 16, 45
233
What is the premise behind the IFN-gamma release assay?
T cells of persons infected with M tuberculosis release IFN-gamma in large quantities when stimulated in vitro to ESAT-6 and CFP-10; as good or superior to PPD tuberculin skin test.
234
What organism found in stool is shown here?
Isospora belli -Eosinophilia often present (not for other coccidians, Cryptosporidum and Cyclospora) Auto-fluorescence or modified acid fast stain
235
A syndrome associated with recurrent Herpes encephalitis is called?
Mollaret's syndrome –Thought to be caused by Herpes Simplex or Varicella-Zoster virus –Acyclovir treatment
236
What are the components of a gram stain?
Crystal violet, grams iodine, alcohol or acid alcohol and saffranin
237
What bacterial organism that causes nongonococcal urethritis classically produces "fried egg" colonies?
Mycoplasma hominis
238
What is the organism shown in this picture? ## Footnote - Questionable clinical significance – can find in almost every stool - Report when in significant numbers
Blastocystis hominis
239
What is the beta glucuronidase enzyme activity test?
For presumptive ID of E coli A fluorometric substrate (MUG) can be employed which produces a compound that fluoresces under UV light and can be added to culture media like MacConkey which makes the medium differential for beta glucuronidase activity CAVEAT: the enterohemorrhagic strain of E coli associated with HUS (serotype 0157:H7) is MUG negative with is odd for E coli! It also does not ferment sorbitol in sorbitol MacConkey plates so sorbitol negative colonies of E coli are usually subbed to MAC/MUG plates and if they are neg, you have a presumptive ID of 0157H7 E coli!
240
What is the carriage rate for C Diff in healthy infants, healthy adults and adults in long term care facilities?
Healthy infants-30%, Healthy adults-\<3% and adults in long term care-4-20%
241
What plasmodium spp is shown here and how can you tell?
Schuffner dots of P. vivax Vivax is the "dirty old man" of the plasmodium spp because it likes young red cells Red cells are ENLARGED When they mature, they shown 12-20 merozoites so that is very helpful in distinguishing it from P. malariae
242
BQ! Best stain to use for sulfur granules?
GRAM, GMS, or GIEMSA!
243
This fungus has cinnamon brown colonies on the surface with a YELLOW or ORANGE reverse of the plate.
Aspergillus tereus
244
What are the testing options for C difficile?
Culture in selective medium, cycloserine cefoxitin egg yolk fructose agar (CCFA), under strict anaerobic conditions. Colonies on CCFA are yellow with a ground glass appearance and fluoresce when exposed to UV light. Cultured C diff produces "horse manure" odor. Cytotoxic culture is the gold standard test for detecting toxin production (outdated). Molecular tests more common, can detect toxin A and toxin B genes. ELISA for stool toxin relatively insensitive. ELISA for stool glutamate dehydrogenase (GDH), an antigen produced by C diff, somewhat more sensitive than toxin ELISA.
245
What virus emerged in the "4 corners" region of New Mexico, the deer mouse sheds virus in urine and feces and it causes a prodrome followed by ARDS? Peripheral blood findings include: thrombocytopenia, neutrophilia without toxic granulation, erythrocytosis and immunoblastic lymphocytosis
Hantavirus pumonary syndrome aka Sin Nombre virus
246
What dimorphic fungi seen here produces this characteristic colony with diffuseable orange pigment?
Penicillium marneffii
247
What virus causes the effect shown?
Rabies This is showing a Negri body (cytoplasmic inclusion) within a neuron
248
What sequelae is responsible for most of the mortality from influenza virus?
Secondary bacterial infection (usually pneumonia)
249
BQ! What is Vincent's angina?
**_Acute necrotizing infection of the pharynx caused by a combination of fusiform bacilli (Fusobacterium - a Gram negative bacillus) and spirochetes (Borrelia vincentii)_**. These are the same organisms that cause a gingivostomatitis known as trench mouth. These organisms are part of the normal oral flora. The patient complains of unilateral sore throat that increases in intensity over several days with an associated referred earache on the same side. In addition, the patient complains of a bad taste in the mouth and a fetid bad breath. On examination, there is a deep well circumscribed unilateral ulcer of one tonsil. The base of the ulcer is gray and bleeds easily when scraped with a swab. There may also be an associated submandibular lymphadenopathy. Vincent angina is diagnosed using a gentian violet-stained smear of the pharyngeal exudate, which demonstrates the presence of Fusobacterium and spirochetes. Penicillin or Clindamycin and surgical debridement are the recommended treatment.
250
How long can a specimen remain at room temperature and still give reliable results?
General rule of thumb is two hours
251
What strain of C diff is increasingly associated with severe C diff colitis?
BI/NAP1/027 strain Newest PCR assays can detect, in addition to toxin producing strains of C diff, 027 strains by detecting the toxin genes and the mutated form of the tcdC gene that typifies the 027 strain.
252
Weird fact: What fungus can cause fungemia in pts on hyperalimentation (high lipids)?
Malassezia
253
Which virus causes this cytopathic effect?
Adenovirus ## Footnote Grapelike clusters on Hep2! Time to CPE: 2-7 days *\*PMK=Primary Monkey Kidney, Hep2/HeLa=Human Epithelial Cells, HDF=Human Diploid Fibroblasts*
254
What is the carriage rate for group B strep in pregnant women and what site?
10-30%, rectum/vagina
255
What are culture negative UTIs often due to (name 3)?
Ureaplasma urealyticum, Chlamydia species or Mycoplasma hominis
256
What is the oxidase test used for and what are the oxidase positive and negative organisms?
Initial classification of gram negative organisms _Oxidase positive_: Neisseria, Moraxella, Pseudomonas, Legionella and the curved gram negative rods (Campylobacter, Vibrio and Helicobacter) _Oxidase negative_: Enterobacteriaceae The reagent, P phenylenediamine, is oxidized by cytochrome oxidase forming iodophenol blue
257
What organism is shown?
Trypanosoma Cruzi and Brucei (African sleeping sickness) look the same but if you see a dividing form (pic) it's NOT cruzi
258
1) Which Vibrio species is sucrose positive on selective TCBS agar (yellow colonies) as well as string test positive? 2) Which Vibrio species is sucrose negative on TCBS agar (green colonies)?
1) Vibrio cholerae 2) Vibrio parahemolyticus
259
What diseases and responsible organisms are transmitted by the Dermacentor spp of tick? \*Most common in southern and western US is Dermacentor andersoni, and in southern and eastern US is Dermacentor variabilis
- Rocky Mountain Spotted Fever (Rickettsia rickettsia) - Tularemia (Francisella tularensis) - Colorado tick fever (Colorado tick fever virus)
260
If you see worms moving on agar plate with bacteria, what should you think about?
Strongyloides stercoralis ## Footnote **Autoinfection is unqiue to this worm!** This is the only one of the infective nematodes that is capable of replicating and produces more worms (with other you only have as many worms as you ingested eggs) Strongy is infected organs as they go and cause chronic eosinophilia which makes people with **HTLV**, on steroids and neutropenic susceptible to hyperinfection
261
There is a serologic cell surface antigen test for Aspergillosis, Galactomannan test. What patient population can be a false positive for this test?
People that are taking Zosyn
262
What are the main anaerobic gram positive cocci?
Peptostreptococcus, Finegoldia, Peptococus, Parvimonas, Anaerococus
263
What does CIN agar contain and what is it used for?
Cefsulodin-Irgasan-Novobiocin and is used for recovery of Yersinia spp Mannitol fermenters will have a characteristics "bull's eye" colony (colorless with red center) which helps differentiate between mannitol fermenting Yersinia spp (ie Yersinia enterocolitica) and mannitol nonfermenting Yersinia spp
264
What is the most common cause of eumycotic mycetoma in the US?
Scedosporium
265
What are the beta hemolytic gram positive cocci and what are their characteristic properties?
--Strep pyogenes (PYR+, bacitracin susceptible, expresses Lancefield group A antigens) --Strep dysgalactiae (PYR-, bacitracin resistant, expresses Lancefield group C or G antigens) --Strep agalactiae (PYR-, bacitracin resistant, CAMP factor +, hippurate hydrolysis +, expresses Lancefield group B antigens) --Some strains of enterococci (PYR+, bile esculin+, bacitracin resistant, expresses Lancefield group D antigens) --Some strains of anginosus group Strep "strep milleri" (PYR-, bacitracin resistant, small colonies, butterscotch odor, may express Lancefield group A, C, F or G antigens)
266
Name the causative organism: Hallmark feature is fever with lymphadenopathy, hepatosplenomegaly and malodorous perspiration; may be a cause of spontaneous abortion, hepatitis (with granulomas in biopsies) and endocarditis (a principal source of mortality)
Brucella ## Footnote This is a chronic granulomatous zoonotic infection transmitted to humans through infected animals. _Serologic tests to detect antibodies specific for Brucella are diagnostic_. This is one of the most common infections that can be acquired in microbiology labs from routine workup outside safety cabinets. Brucella exposed people that are classified as high risk are advised to receive postexposure prophylaxis with a regimen of doxycycline and rifampin for 21 days. The 2012 CDC guidelines for frequency of serologic testing on all workers exposed include a baseline at 6, 12, 18 and 24 weeks.
267
Why can't Haemophilus spp grow on MacConkey or sheep blood agar?
Requires X and/or V factor X=hemin, V=NAD+ Sheep blood agar has an enzyme that neutralizes X and V factors but horse or rabbit blood agar doesn't so it will grow on those Can get small colonies on chocolate agar because this is a cooked agar and hemolysis releases the X and V factors
268
Which rapid growing mycobacterium: • Negative iron uptake • Not tolerant to 5% NaCl (minimal growth) • Negative nitrate reductase • Resistant to all standard anti-TB drugs • Fewer drug options than M. fortuitum – Susceptible to amikacin, imipenem, tobramycin, clarithromycin – Resistant to fluoroquinolones, cefoxitin • Clarithromycin is the drug of choice for localized infections
M chelonae
269
What bacteria shows puffball or cottonball colonies in serum supplemented thioglycolate broth, gram stain shows tangles of gram variable filamentous rods with moniliform swellings and is the causative agent of rat bite fever?
Streptobacillus moniliformis
270
What are the major causes of pneumonia in the setting of a ventilated patient?
Staph aureus, Strep pneumoniae, Pseudomonas aeruginosa, Klebsiella pneumoniae, Serratia spp, Enterobacter spp, E coli and fungi
271
Interpret this KIA/TSI slant:
(K/K) Red over Red means Alkaline slant over Alkaline butt so nothing was fermented This excludes all enterobacteriaceae as all are glucose fermenters. Possibilites include nonfermentative bacteria such as Pseudomonas, Eikenella, Moraxella, and Campylobacter.
272
Which virus causes this cytopathic effect?
CMV ## Footnote Slow, focal clusters of CPE (plaques) on HDF ONLY! Time to CPE: 14 days *\*PMK=Primary Monkey Kidney, Hep2/HeLa=Human Epithelial Cells, HDF=Human Diploid Fibroblasts*
273
What organism is the most common cause of onychomycosis?
Trichophyton rubrum
274
DEFINITE BQ! What organism is shown here which has been grown at 30C and shows fluffy mold with TUBERCULATED MACROCONIDIA (spiny large spores)?
HISTOPLASMA Testing: serum antibodies (CF or ID to H or M antigens) or **_immunoassay for antigens**_ _**in urine, serum, CSF_** At 37C will show narrow based budding (picture)
275
What are the serology findings at different stages of EBV infection?
_Early acute_: heterophile pos, IgM anti VCA pos, IgG anti VCAagG pos _Acute_: add IgG anti EA and anti EBNA _Convalescent_: heterophile and IgM go away, left with IgG anti EA, IgG anti VCAAgG and anti EBNA _Remote_: may loser IgG anti VCAAgG and left with anti EBNA and IgG anti EA
276
What are the cytopathic effects and culture characteristics of influenza, mumps and parainfluenza? If there is no CPE, what test can you do to confirm?
Will either show no CPE or focally enlarged and granular cells; parainfluenza may have focal multinucleated giant cells. If minimal to no CPE, _CONFIRM WITH HEMADSORPTION/HEMAGGLUTINATION_ Time to CPE: 2-5 for influenza, and 3-10 days for mumps and parinfluenza. Grows best in PMK (+++) and may or may not grow in Hep2/HeLa and HDF cells. *\*PMK=Primary Monkey Kidney, Hep2/HeLa=Human Epithelial Cells, HDF=Human Diploid Fibroblasts*
277
What HPV types (in order of frequency) cause epidermodysplasia verruciformis and what is this disease?
2, 3, 10, 5, 8 ## Footnote Also called Lewandowsky-Lutz dysplasia, colloquially known as tree man illness is an extremely rare autosomal recessive skin disorder associated with a high risk of carcinoma of the skin. It is characterized by abnormal susceptibility to HPVs of the skin.
278
What disease and responsible organism is transmitted by the Ornithodoros spp of tick (soft ticks)?
Relapsing fever (Borrelia spp)
279
What bacteria causes pharyngitis in OLDER childern and is beta hemolytic and catalase negative (must be ## Footnote distinguished from S. pyogenes in throat specimens) and to ID – **_reverse CAMP test_**?
Arcanobacterium haemolyticum
280
Dual infections involving parasites: 1) Ascaris lumbricoides and \_\_\_\_ 2) Enterobius vermicularis and \_\_\_\_ 3) Babesia, Borrellia burgdorferi and \_\_\_ 4) Lepromatous leprosy or HTLV and \_\_\_\_
1) Trichuris trichiura 2) Dientamoeba fragilis 3) Anaplasma phagocytophilum 4) Strongyloides stercoralis hyperinfection
281
Definite board Q! Be able to differentiate colonies of Staph from colonies of C. diphtheriae on tellurite agar. Which is this?
Staph! They will have a clear zone around them from lecithinase production Here is what C. Diphtheriae looks like
282
If you are given a stem regarding someone being stung by a catfish barb, what main organism should you think about?
Edwardsiella tarda ## Footnote Edwardsiella is a member of the Enterobacteriaceae. It is typically associated with aquatic environments and animals that inhabit water. E. tarda can cause diarrhea in humans but is also a rare cause of extraintestinal infections, such as soft tissue infections. Systemic infection occurs most frequently in patients with liver disease or iron overload. E. tarda produce H2S, and are oxidase and urease negative and indole positive. Isolates are positive for lysine decarboxylase and ornithine decarboxylase.
283
What disease and responsible organism is transmitted by mites (Liponyssoides sanguineus)?
Rickettsial pox (Rickettsia akari)
284
This fast growing dematiaceous mold has oval transversely septated conidia that arise from bent conidiophores and they have germ tubes from both ends of the conidia in saline mounts incubated for 12-24 hours.
Bipolaris
285
What disease can be seen in infected live born neonates as a result of Listeria monocytogenes infection?
Granulomatosis infantseptica --pyogenic granulomas distributed over the whole body and may suffer from physical retardation
286
What organism is shown here which shows broad, aseptate hyphae, branching at 90 degree in tissue?
Mucormycetes (Rizopus, Mucor, Absidia)
287
What organism is usually responsible for intestinal spirochetosis in humans?
Brachyspira aalborgi
288
What diseases and responsible organisms are transmitted by the deer fly (Chrysops spp)?
- Tularemia "deerfly fever" (Francisella tularensis) - Loiasis (Loa loa)
289
What are the probes used in the sequencing of mycobacterium spp?
**16S rRNA, hsp65, rpoB** ## Footnote Microseq system is FDA-approved for 16S. No single target is sufficient to identify all mycobacteria to the species level. Expensive, labor-intensive, but likely to expand as methods improve.
290
These 3 dematiaceous slow growing molds have early yeast like growth (seen here) and late grow is mold like.
Exophiala, Wangiella, Hortaea (mold seen here) _Slow growing dematiaceous molds that are moldlike early and late_: Pseudoallescheria boydii/Scedosporium boydii complex and Scedosporium prolificans
291
What is the mneumonic for remembering the organisms that are INTRINSICALLY resistant to vancomycin?
"PWEELL" Pediococcus, Weisella, Erysipelothrix, Enterococcus (casseliflavus and gallinarum), Leuconostoc, and Lactobacillus It is important to note that among the Lactobacillus genus, the resistance to vancomycin is seemingly species-specific. The species with the best-described resistance to vancomycin is L. rhamnosus. Weissella confusa was formerly grouped with the Leuconostoc genus and includes the former Lactobacillus confusus, which was also characterized by its resistance to vancomycin. Enterococcus faecium and faecalis can be resistant to vancomycin, however the resistance is acquired through plasmid encoded vanA or vanB genes, not intrinsic to the genome like E. casseliflavus and E. gallinarum which contain the vanC gene to mediate resistance in all isolates.
292
What spp of Candida is INHERENTLY resistant to fluconazole but typically susceptible to voriconazole and posaconazole? What spp is resistant to amphotericin?
Candida krusei ## Footnote C. lusitaniae is considered resistant to amphotericin (despite low MICs in many cases)
293
What species of enterococcus expresses altered penicillin binding proteins with little affinity for penicillins and are frankly resistant to penicillin, the aminopenicillins (ampicillin) and the carbapenams?
E faecium
294
What strain of Shigella causes shigellosis in 1) the US and 2) in underdeveloped countries?
1) In the US, Shigella sonnei 2) In underdeveloped countries, Shigella flexneri (this species can lead to postinfectious arthritis in HLA-B27+ patients) Requires the smallest inoculum of any form of bacterial gastroenteritis--only 100-200 organisms Shigella dysenteriae can cause HUS
295
What are the 4th and 5th generation cephalosporins?
4th: Cefepime 5th: Ceftaroline
296
What parasitic organism is shown on this acid fast stain? If you stain 4 cysts, usually only a couple will pick up the stain so you will see some refractile, some staining. These also AUTOFLUORESCE blue in UV light
Cyclospora Kind of looks like crinkled paper inside Not picked up with Giardia/Cryptosporidium antigen test
297
What is the characteristic lesion of yellow fever in the liver?
Extensive midzonal necrosis, Councilman bodies (eosinophilic structure in pic), microvesicular fatty metatmorphosis and ABSENCE of an inflammatory component
298
This fungus has a blue-green colony with distinct white apron and a LIGHT reverse of the plate.
Aspergillus fumigatus
299
What mycobacterium spp need to be cultured at 30 degrees?
M. marinum, M. hemophilum and M. ulcerans ## Footnote Skin specimens get processed in duplicate (one set at 35-37°, one set at 28-30°C) M. hemophilum requires hemin to grow
300
What are the main causes of noninflammatory (watery without fever) infectious diarrhea and which is most common cause?
MOST COMMON cause of traveler's diarrhea: Enterotoxigenic E. coli (ETEC)--has heat labile (LT) and heat stabile (ST) enterotoxins Also: Vibrio cholera (serogroup O1 and O139), Clostridium perfringens, Staph aureus and Bacillus cereus
301
Describe the PYR test and what does it help identify?
Identifies group A pyogenic strep and Enterococcus spp Both can enzymatically hydrolyze PYR yielding beta naphthylamide in presence of detection reagent yields red color change
302
This slow growing dematicaceous mold has gray or black surface and reverse, its growth is inhibited by cyclohexamide, it has no sexual state and it's resistant not only to ampho B but also to the azoles and echinocandins making antifungal therapy ineffective.
Scedosporium prolificans
303
What is a Buruli ulcer and what organism causes it?
Indolent, necrotizing ulcerating cutaneous lesions caused by Mycobacterium ulcerans
304
What test is used to predict response to interferon/ribavirin therapy in genotype I HCV?
IL 28B Mutation
305
What is the Regan-Lowe medium used for?
Recovery of Bordetella pertussis and Bordetella parapertussis Contains cephalexin to which Bordetella is resistant
306
Which method is most commonly used in molecular epidemiology to generate strain specific molecular fingerprints to determine microbial strain relatedness in a hospital setting?
Pulsed-field gel electrophoresis (PFGE) ## Footnote Molecular strain typing methods in a hospital setting are most often applied to determine whether a cluster of infections in a particular medical unit is caused by a single clone or multiple strains. PFGE is the gold standard and involves generating large DNA fragments (40kb to 2000 kb) by restriction endonuclease digestion of chromosomal DNA with agarose plugs. Plugs are added to agarose gel and pulsed electric fields separate fragments into distinct patterns.
307
What organism causes the characteristic finding of a widened mediastinum noted on anterior posterior plain films of the thorax caused by hemorrhagic mediastinitis?
Bacillus anthracis
308
Describe what a Kligler iron agar and triple sugar iron (KIA/TSI) slant is.
Agar slants that contain proteins, sugars and a phenol red indicator. There is a 10:1 ratio of lactose:glucose for KIA or 10:1 lactose:sucrose and glucose for TSI. Phenol red indicator is yellow when pH is 6.8. Fermentation is evidenced by lowering the pH (yellowing of the indicator). The tubes are interpreted at 24 hours. When interpreting, "K" means alkaline and "A" means acid (ie K/A means alkaline slant over acid butt)
309
The mycobacterium avium complex includes both Mycobacterium avium and Mycobacterium intracellulare and infection can be seen in both immunocompetent and immunosuppressed patients. Amongst immunocompetent, there are 3 forms of disease, what are they?
1) Seen in heavy smokers with upper lobe cavitary disease resembling classic TB 2) "Lady Windermere syndrome" seen typically in elderly women with a weak cough; akin to colonization 3) Hypersensitivity reaction to MAC after exposure to hot tub water contaminated with the organism \*MAC is the most common cause of scrofula in US!
310
What is the spirochete shown (tight coils with hooked ends) and what disease does it cases?
Leptospira interrogans Causes Weil disease which has classic triad of meningitis, hepatitis and nephritis. Humans are infected through contact with the urine of an infected animal, the usual portal of entry being the conjunctiva or abasions/cuts in skin. In US, highest incidence in Hawaii and rats are usual hosts
311
What fungi causes eumycotic mycetoma after penetrating trauma, fungal keratitis, and _pneumonia after near drowning incidents_ (weird fact so probably good for boards)?
Pseudallescheria boydii/Scedosporium boydii ## Footnote **Both are resistant to Ampho B**
312
What HPV types (in order of frequency) cause flat (juvenile) warts?
3, 10
313
What diseases and responsible organisms are transmitted by the Ixodes spp of tick? \*Most common Eastern US is Ixodes scapularis, in Western US is Ixodes pacificus and in Europe is Ixodes ricinus
- Lyme disease (Borrelia burgdorferi) - Babesiosis (Babesia spp) - Anaplasmosis (Anaplasma phagocytophilum) - Tickborne encephalitis (Tickborne encephalitis virus)
314
What patient population is particularly susceptible to Babesia?
Splenectomy
315
Which antibiotic, that is useful against gram positive organisms, cannot be used in the lungs and why?
Daptomycin It is inactivated by surfactant
316
What disease and responsible organism is transmitted by midges (Culicoides spp)?
Filariasis (Mansonella spp)
317
What gram negative rod can cause antibiotic associated ischemic/hemorrhagic colitis as well as be a cause of neonatal sepsis?
Klebsiella oxytoca
318
Which gram negative cocci displays the hockey puck sign on blood agar and what disease does is cause?
**Moraxella catarrhalis** ## Footnote Frequent cause of otitis media in children, COPD exacerbation in older adults Gram stain similar to Neisseria, **most produce beta lactamase** (AMP resistance)-**BQ!** and they are indoxyl butyrate positive
319
What fungi can contaminate food and produce aflatoxins which are carcinogens and can cause HCC?
Aspergillus flavus (hence AFLAtoxins)
320
What organism is being shown in this intestinal biopsy?
Microsporidia (apical aspect of cells containing intraceullular organisms)
321
Which bacterial organism is a nonbranching, nonspore forming gram positive rod and is nonmotile and catalase negative, produces H2S on TSI slants causing a blackened butt (how it is distinguished from Listeria and Lactobacillus spp) and is intrinsically resistant to vancomycin?
Erysipelothrix rhusiopathiae
322
Which organism is the cause of adiaspiromycosis, a benign granulomatous infection with characteristic large walled spherules?
Chrysosporium
323
What virus causes subacute sclerosing panencephalitis (SSPE)?
Measles (risk is ~0.001%, average incubation of 7 years)
324
What organism is shown here?
Babesia! Usually will see ring forms predominate which are similar to plasmodium but the Maltese cross is characteristic
325
**DEFINITE BOARD Q!** Stem gives a kid with diarrhea. What virus is this?
Rotavirus
326
What is the mneumonic for remembering the gram negative oxidase POSITIVE organisms?
The enterobacteriaceae are by definition oxidase negative (oxidase neg glucose fermenters--EXCEPT for Plesiomonas). To remember the gram negatives are ARE oxidase positive: "one can hallucinate on ***PCP*** a ***VAN*** driven by an ***OX*** named ***B**ruce **M**an*" Pseudomonas Campylobacter Pasteurella Vibrio Aeromonas Neisseria Brucella Moraxella
327
What disease and responsible organism is transmitted by chiggers (Trombiculid mite)?
Scrub typhus (Orientia tsutsugamushi)
328
What organism is being shown?
Aspergillus this one is probably Niger based on the pigment but fumigatus and flavus will look just like this only no pigment Neutropenia or phagocyte dysfunction (eg, CGD) is the key risk factor for invasive aspergillosis because neutrophils are the primary defense.
329
What are the major causes of pneumonia in the setting of bronchiectasis and cystic fibrosis?
Pseudomonas aeruginosa, Burkholderia cepacia, Staphylococcus aureus
330
Which virus causes this cytopathic effect?
RSV ## Footnote Syncytia in Hep2 cells (syncytia can be produced in various cell types by measles, parainfluenza and mumps viruses) Time to CPE: about 14 days *\*PMK=Primary Monkey Kidney, Hep2/HeLa=Human Epithelial Cells, HDF=Human Diploid Fibroblasts*
331
What are the major causes of pneumonia in the setting of COPD?
Haemophilus influenza, Moraxella catarrhalis, Legionella pneumophilia
332
Where can Cryptosporidium be found in an infected host? ## Footnote a) adherent to small intestinal brush border b) within an intracellular apical vacuole c) interdigitated between enterocytes d) in foveolar gland crypts of the stomach e) intracytoplasmically within enterocytes
**b) within an intracellular apical vacuole** On light microscopy, Cryptosporidium appears to be small (8-15 um) round organisms attached to the extracellular brush border. However, ultrastructural studies have determined that the organism is located in a unique position within an intracellular, yet extracytoplasmic apical vacuole. Isospora interdigitates. Microsporidium is intracelluar. Strongyloides is found within the crypt epithelium.
333
What is the criteria for evaluating prosthetic joint infections on frozen section?
\>5 neutrophils per HPF in 5 different hpfs, excluding surface exudate and fibrin, has sensitivity of 29% and specificity of 95%
334
What spp of Schistosoma produces intestinal schistosomiasis?
Schistosoma intercalatum *Mansoni and Japonicum effect the liver and hematobium effects bladder* Schistosoma found in snail infested water and migrate through bloodstream to mesenteric and pelvic vessels, releases eggs into the bloodstream which are lodged in small capallaries. Some eggs penetrate bowel or bladder wall to be excreted in stool or urine.
335
How is the modified acid fast stain different than the regular acid fast stains and what organisms can it help identify?
Fite (modified) acid fast stain uses a weaker decolorizing agent and is good for "weakly" acid fast organisms such as: -Nocardia spp, Cryptosporidium, Isospora, Cyclospora, Sarcocystis, and Legionella micdadei
336
If you see this picture of a fragmenting nucleus in this flagellate, what is your diagnosis?
Dientamoeba fragilis Usually asymptomatic but can cause diarrhea and anal pruritus and in fact is often co-infected with Enterobius vermicularis
337
What is the hippurate hydrolysis test and what organisms does it help identify?
Presumptive ID of Campylobacter jejuni, Listeria monocytogenes, Strep agalactiae, Gardnerella vaginalis and Legionella pneumophila (all hippurate hydrolysis positive) Uses ninhydrin reagent; blue purple color indicates a positive result
338
What is the lysozyme test and what organism does it ID?
Nocardia spp Most bacteria are inhibited by lysozyme so growth in lysozyme containing broth medium is indicative of Nocardia spp
339
Which virus causes this cytopathic effect?
Enteroviruses (including coxsackie A and B, echovirus, poliovirus) ## Footnote Causes an angular, tear shaped cells that can be focally swollen or glassy. Time to CPE: 1-7 days Seen best in primary monkey kidney (PMK) or human diploid fibroblasts (HDF)
340
What disease and responsible organism is transmitted by dog and cat fleas?
Double pored dog tapeworm (Dipylidium caninum)
341
What serogroups of N meningitides cause the majority of disease in the US and which of those is not represented in the tetravalent vaccines available?
Serogroups B, C and Y cause majority of disease in US Serogroup B not represented in vaccine
342
What is Lemierre syndrome and what organism causes it?
Tonsillitis complicated by septic thrombophlebitis of the internal jugular vein Caused by Fusobacterium necrophorum (also associated with placental infections)
343
Which organism has the largest egg?
Fasciola Fasciola hepatica and Fasciolopsis buski have the largest human parasite eggs known (150 um in diameter)
344
What spp of plasmodium is known for causing nephrotic syndrome?
P malariae \*also only spp to have quartan (72 hour) fevers
345
What is the MLSB phenotype in staph/strep and why is this clinically important?
These strains have methylase enzyme (ermA or ermC) which alters ribosomal target. Suspected when isolate is noted to be resistant to erythromycin but susceptible to clindamycin. CLSI suggests D zone test on all staph aureus and on CNS by request. \*NEW 2013 CLSI guideline--requirement for beta streptococci
346
What aspergillus spp is resistant to amphotericin B and has this colony morphology?
A. terreus
347
What medium can be used to distinguish between Cryptococcus gattii and neoformans?
Canavanine glycine bromthymol blue agar (CGB agar) can be used to distinguish between C. gattii and C. neoformans.  C. gattii is blue on this medium.  Requires genotyping for confirmation.
348
What is the basis for the hemadsorption test?
The viruses that express the surface antigen, Hemagglutinin, will bind to sialic acid containing receptors on respiratory epithelial cells and then will become expressed on infected cells (the basis for the hemadsorption test) Hemadsorption positive viruses: Influenza A and B, parainfluenza and mumps
349
Describe the bile esculin test and what is it used to identify?
IDs enterococci and group D strep (Strep bovis) Both are able to hydrolyze esculin in the presence of bile Bile esculin agar slant inoculated and incubated for 24 hours. Diffuse blackening of the medium indicates esculin hydrolysis. Rapid spot versions of this assay also available.
350
What is the Kaufman White typing scheme?
ID of Salmonella spp ## Footnote – O somatic antigens – cell wall – H flagellar antigens – Vi capsular antigen –Found in S. Typhi only
351
Which bacteria causes UTI in older males with obstructive uropathy?
Enterococcus
352
What is the procedure to process TB cultures?
– NaOH ± N-acetyl-cysteine – Centrifuge – Neutralize, add albumin to stabilize, continue with staining and culture
353
What bacteria is seen growing in this Staph streak test as pinpoint colonies?
**Haemophilus spp** ## Footnote A phenomenon called satellitism. This is due to the ability of S. aureus to synthesize V factor (NAD), and releases X factor (hemin) by lysing blood. A colony of possible Haemophilus species can be subcultured to an SBA plate and streaked as a lawn. A single streak of S. aureus is made through the inoculum . After overnight growth in a CO2 enriched environment, the haemophilus conlonies may be observed within the hemolytic area adjacent to the staphylococcal growth.
354
Which non spore forming gram positive bacillus is a common cause of CSF shunt infections?
Propionibacterium
355
What diseases and responsible organisms are transmitted by the Aedes spp of mosquito (most commonly Aedes aegypti and Aedes albopictus)?
Arboviral disease including dengue virus, yellow fever virus, and Chikungunya virus
356
This organism is acquired through ingestion of undercooked freshwater fish, the egg is 30 um, found in parts of Asia, causes chronic biliary infection.
Clonorchis sinensis
357
What disease and responsible organism is transmitted by the black fly (Simulium spp)?
Onchocerciasis "river blindness" (Onchocerca volvulus)
358
What are the treponemal and nontreponemal lab test for Treponema pallidum and what are the current CDC screening recommendations?
Treponemal: FTA-ABS, TP-PA, syphilis IgG by microhemagglutination or EIA Nontreponemal: RPR and VDRL Nontreponemal antibodies tend to wane with treatment or in late infection whereas treponemal antibodies remain positive indefinitely CDC Rec: screening with a treponemal specific test, specifically syphilis IgG by EIA. This results in fewer false positive results but positive tests should still be confirmed using a nontreponemal test to show disease activity
359
In viral culture, which viruses grow best in: 1) Primary Monkey Kidney cells (PMK) 2) Hep2/HeLa cells 3) Human Diploid Fibroblasts (HDF)
1) Influenza, mumps, parainfluenza 2) Adenovirus, RSV 3) Rhinovirus, CMV, HSV \*Enteroviruses (Coxsackie A & B, echovirus, poliovirus) grow equally well in PMK and HDF
360
What virus shows LANA1 positivity by IHC in a speckled nuclear pattern?
HHV8
361
Which of the following mycobacteria spp is nonchromogenic, slow growing and grows at 30C but not 37C? ## Footnote a) M bovis b) M. haemophilum c) MAC d) M. leprae e) M. marinum
b) M. haemophilum
362
Patients with the following immunodeficiencies are susceptible to what parasitic infections: 1) T cell (cellular) immunodeficiency 2) B cell (humoral) immunodeficiency 3) Splenectomy
1) Many! (ie Toxoplasma, Crytosporidium, Cystoisospora, Cyclospora, microsporidia are more common) while others (strongyloides) are more severe 2) Giardia more common 3) Babesia more severe
363
What is a main difference between Candida glabrata and other spp of Candida?
Glabrata dose not produce hyphae or pseudohyphae!
364
What are the characteristic biochemical properties of staph lugdunensis and why is it important to ID?
It is often positive by the slide coagulase test but negative by the tube coagulase test, PYR positive, ornithine decarboxylase positive It causes infections similar in severity to staph aureus