What is bone spavin?
DJD of distal tarsal and TMT joint

What term is used to describe the stance of this horse?

sickle-hocked
T/F: MRI can be as good as arthroscopy for detecting subchondral lesions
True

What are the medical management options for bone spavin?
Medical management might be disappointing and lameness may persist in 25-50% of horses
How does laser-facilitated ankylosis work?
Destroys cartilage by superheating and vaporizing synovial fluid
When drilling for P1 fractures, the most proximal screw must be within ____ of the sagittal groove
5 mm

This horse has an incomplete fracture of P1. What is the recommended treatment?

Lag screw or cast only + strict stall rest
T/F: Many splint bone fractures can be treated successfully with rest
True
T/F: Fetlock arthrodesis is considered a salvage procedure

True
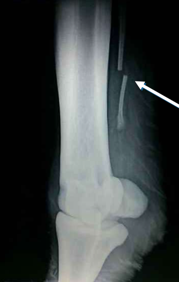
Diagnosis?

Fractured splint bone
Fracture of the middle aspect of the splint bone:
All of the above
In cases of splint bone fracture, if you’re removing residual distal splint bone, it is important not to remove more than the distal 2/3 of the splint bone.
What is the exception?
Metatarsal IV

T/F: Proliferative periostitis is most common in older horses
False
Proliferative periostitis is most common in young horses

T/F: Splint exostosis is the result of straining and tearing of the interosseous ligament connecting the splint bone to the cannon bone
True
T/F: Splint bone fractures are caused by hyperextension of the fetlock or external trauma
True
__________ ligament connects the splint bone to the cannon bone
interosseous
Ligamentous injury results in desmitis and periostitis
T/F: With appropriate treatment the prognosis for returning to racing with bucked shins is good
True
This injury on the 3rd metacarpus is most commonly seen in which patient

2 yr old race horse in training
(Image is of a bucked shin)

How do you reduce the incidence of bucked shins?
regular short distance breezing and less long distance galloping
T/F: Osteostixis is recommended for unicortical fractures of the splint bone
False
Osteostixis is recommended for unicortical fractures of the cannon bone
VI represents a ________ fracture of the proximal sesamoid bones

comminuted
III represents a ________ fracture of the proximal sesamoid bones

Base
I represents a ________ fracture of the proximal sesamoid bones

Apical
V represents a ________ fracture of the proximal sesamoid bones

Sagittal (Axial)