Breast Flashcards

(26 cards)

1
Q

Normal breast US appearance

A
  • Tissue
  • Premammary zone (hypoechoic)
  • Mammary zone (hyperechoic)
  • Retromammary zone (hypoechoic)
  • Pectoralis major (hyperechoic)
  • Cooper’s ligament (hyperechoic bands)
  • Course oblique through subcutaneous fat
  • Ducts
  • Collapsed (central bright echo)
  • Mildly ectatic (2 hyperechoic lines, anechoic lumen)
  • Severely ectatic (2 further separated hyperechoic lines)
  • TDLUs
  • ~2mm hypoechoic structures
  • Larger with adenosis + pregnancy
How well did you know this?
1
Not at all
2
3
4
5
Perfectly
2
Q

Breast tissue layers

A
  1. Premammary
    - Superficial: skin → ant mammary fascia
    - Skin (epidermis + dermis), subcutaneous fat, coopers ligaments
    - Lesions: usually not true breast lesions (e.g. lipoma, subcutaneous cyst)
  2. Mammary
    - Middle: ant mammary fascia → post mammary fascia
    - Lobes, ducts, interlobular stroma
    - Where most breast lesions arise
  3. Retromammary
    - Deep: post mammary fascia → chest wall
    - Fatty tissue, coopers ligaments
    - Best seen with mamms (US = not well seen - compression against chest wall)
How well did you know this?
1
Not at all
2
3
4
5
Perfectly
3
Q

Breast function

A

Modified sweat gland

  • Secretes milk
  • Lobules drain → lactiferous ducts → nipple

Hormones that affect breast development + function:

  • Estrogen (promotes lobule enlargement + duct development)
  • Progesterone (increases number/ size of lobules for breastfeeding)
  • Prolactin (promotes milk production + excretion)
How well did you know this?
1
Not at all
2
3
4
5
Perfectly
4
Q

Breast anatomy

A
  • 15-20 lobes
  • 20-40 lobules per lobe
  • Lobules
  • ‘Terminal ductal lobular unit’ (TDLU)
  • Functional unit
  • Concentrated in upper outer quad (site of most pathology)

Contains:

  • Alveoli (produce milk)
  • Intralobular terminal duct (central space of lobule)
  • Intralobular stroma (loose CT around alveoli)
  • Extralobular terminal duct (attached lobule → ductal system)
  • Interlobular stroma
  • Dense CT (surrounds TDLU)
  • Lactiferous ducts
  • Drain milk from ETD → nipple
  • Stroma
  • Space between lobes
  • Adipose (most of breast volume)
  • Fibrous connective tissue (coopers ligaments)
How well did you know this?
1
Not at all
2
3
4
5
Perfectly
5
Q

Breast lymphatic drainage

A
  1. Axillary nodes (75%)
    - Lat lobes → subareolar lymphatic plexus (superficial) → axillary nodes → subclavian lymphatic trunk → venous system
    - Levels = determined by location relative to pec minor m. (1→2→3)
    - Level 1: inf to pec minor
    - Level 2: post to pec minor
    - Level 3: sup to pec minor
  2. Parasternal nodes
    - Med lobes → parasternal nodes → bronchomediastinal lymphatic trunk → venous system
    - Lie in chain lat to sternum
  3. Intramammary nodes
    * *-** Within breast
  • BC typically metastasizes via lymphatics
  • Sentinel node: first node involved by mets (usually level 1 axillary)
How well did you know this?
1
Not at all
2
3
4
5
Perfectly
6
Q

Breast cancer: DCIS vs invasive ductal carcinoma

A

Brest cancer = luminal epithelial ells proliferate

  • DCIS: confined within duct (no ext beyond basement membrane)
  • Invasive ductal ca: extends beyond duct (basement membrane)
How well did you know this?
1
Not at all
2
3
4
5
Perfectly
7
Q

Gynecomastia

A

Benign hypertrophy of ductal elements in male breast tissue

Causes:

  • Puberty
  • Disease process
  • Medications

Presents:

  • Enlarging breast
  • Soft palpable mass

Hypoechoic mass

How well did you know this?
1
Not at all
2
3
4
5
Perfectly
8
Q

Male breast cancer

A

Rare

Risk factors:

  • Older age
  • BRCA 2 gene
  • Family history
  • Radiation exposure
  • Klinefelter’s syndrome (extra X chromosome e.g. XXY)
  • Testicular disease

Presents:
- Hard enlarging mass

Hypoechoic heterogeneous mass

How well did you know this?
1
Not at all
2
3
4
5
Perfectly
9
Q

Ruptured silicon implant

A
  • Intracapsular: silicon leaks → confined within fibrous scar tissue
  • Extracapsular: silicon leaks → beyond fibrous scar tissue

Presents:

  • Pain, burning, tingling, numbness
  • Redness
  • Distorted breast shape
  • Hardening of breast

Discontinuation of membrane

‘Snowstorm’: poorly marginated echogenic area with dirty shadowing

How well did you know this?
1
Not at all
2
3
4
5
Perfectly
10
Q

Duct ectasia

A

Abnormal duct widening >2mm
- Due to benign or malignant process

  • Benign: chronic inflammatory + fibrotic changes → thickening of debris → calcification
  • Malignant: intraductal malignancy

Presents:

  • Post menopausal + smokers
  • Asymptomatic
  • Nipple discharge + retraction
  • Pain
  • Palpable mass
  • *Branching tubular structures >2mm**
  • Anechoic or echogenic (inspissated secretions) contents
How well did you know this?
1
Not at all
2
3
4
5
Perfectly
11
Q

Acute mastitis

A

Inflammation of breast tissue

  • Puerperal
  • 6 weeks post-birth (lactating women)
  • Common
  • Causes: infection, milk stasis
  • Risk factors: primiparous (1st birth), cracked/damaged nipple, smoking, diabetes
  • Non-puerperal
  • Non-lactating
  • Cause: underlying mass

Presents:

  • Pain, swelling, redness
  • Nipple discharge + retraction
  • Enlarged lymph nodes
  • Elevated inflammatory markers

Treatment:

  • Antibiotics
  • Aspiration/ surgical drainage
  • *Heterogeneous ill-defined region**
  • Echogenic inflammatory fat
  • Hypoechoic glandular parenchyma
  • Dilated ducts

Hypervascular

Skin thickening

Reactive axillary lymph node

  • *Retroareolar abscess** (complicated)
  • Hypoechoic heterogeneous fluid collection
  • Mobile debris
  • Irregular margins
  • Posterior enhancement
  • Hypervascular walls (avascular within)
  • Differentials:*
    • Inflammatory breast cancer*
    • Hematoma*
How well did you know this?
1
Not at all
2
3
4
5
Perfectly
12
Q

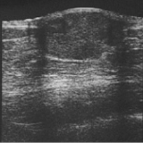
Benign breast nodule findings

A
  • Totally hyperechoic (normal interlobular stroma)
  • Elliptical/ oval/ gently lobulated (3 or less)/ wider than tall
  • Thin echogenic capsule
How well did you know this?
1
Not at all
2
3
4
5
Perfectly
13
Q

Fibrocystic change

A

Benign alteration of TDLUs of breast

  • Very common (90%)
  • Normal physiological process of breast tissue
  • Fluctuates with hormone cycles

Presents:

  • 20-40yrs
  • Pain (worse during ovulation)
  • Swelling
  • Palpable nodule
  • *Multiple small cysts in mammary zone**
  • Well circumscribed, thin walls (dilation of ducts)

Increased fibrous stroma

How well did you know this?
1
Not at all
2
3
4
5
Perfectly
14
Q

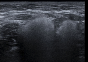
Fibroadenoma

A

Proliferation of fibrous (fibro) + glandular (adenoma) tissue

  • Most common benign tumour
  • Hormone-sensitive
  • Enlarge during pregnancy/ lactation
  • Decrease post menopause

Present:

  • Young women (< 30)
  • Mobile palpable lump
  • Slow growing
  • Sudden pain → hemorrhage

Treatment:
- Biopsy if enlarging

Oval or macrolobulated mass

Hypoechoic

Well circumscribed/ smooth margins

Homogeneous

Wider than tall

Posterior enhancement

Can have:

  • *- Calcifications**
  • *- Internal vascularity**
How well did you know this?
1
Not at all
2
3
4
5
Perfectly
15
Q

Lipoma

A

Mature adipose tissue

  • Common
  • Benign

Presents:

  • Painless palpable lump
  • Soft + mobile
  • Middle-aged/ menopausal women

Treatment:
- Biopsy if enlarges

  • *Round mass**
  • Compressible
  • *Isoechoic or hyperechoic to fat**
  • May contain multiple thin echogenic septations (parallel to skin)
How well did you know this?
1
Not at all
2
3
4
5
Perfectly
16
Q

Epidermal inclusion cyst

A
  • Benign
  • Dilated + obstructed hair follicle
  • *Small hypoechoic lesion in superficial tissue**
  • Oblique track to skin surface

Posterior enhancement

  • *Avascular**
  • Can become infected (peripheral vascularity)
17
Q

Oil cyst

A

Injury to breast → area of focal fat necrosis

  • Common

Causes:

  • Surgery
  • Trauma
  • Radiation

Presents:

  • Older women
  • Non-tender/ tender palpable lump
  • *Complex cyst**
  • Low-level echoes
  • Fluid-debris level
  • Irregular wall
  • Thick septations
  • Mural nodules
  • Calcification (+/- shadowing)

Avascular

Differential = hematoma

18
Q

Intraductal papilloma

A

Benign tumour in walls of milk ducts

  • Leads → duct obstruction
  • May contain atypical cells/ areas of cancer
  • Central intraductal
  • *-** Most common
  • Large duct
  • If expands duct → risk of malig
  • Peripheral intraductal
  • *-** Grow in TDLUs
  • Higher risk of malig.

Presents:

  • Post menopause (40-50yrs)
  • Asymptomatic
  • Nipple discharge (bloody or clear)

Central intraductal:

  • Intracystic lesion with vascular stalk
  • Solid mass filling duct

Large duct:
- Solid isoechoic mass in dilated duct with vascular stalk

Peripheral:
- Solid lesion involving TDLUs +multiple peripheral ducts

Differential = early DCIS

19
Q

Intramammary lymph node

A

Lymph node within breast tissue

  • Can be benign or malignant
  • Common
  • Usually upper outer quad

Solitary/ multiple nodes

Benign features: oval, hypoechoic to breast tissue, echogenic vascular hilum

Malignant features: round, very hypoechoic, homogeneous, >1cm

20
Q

Galactocele

A

Cyst containing milk (‘lactocele’)

  • Occurs due to lactiferous duct occlusion

Presents:

  • Lactating women
  • Painless soft lump

Treatment:

  • Most resolve spontaneously
  • US-guided aspiration
  • *Complex cyst**
  • Internal debris
  • Fat-fluid level

Avascular

  • Differentials:*
    • Abscess*
    • Fibroadenoma*
    • Breast ca*
21
Q

Ductal carcinoma in situ (DCIS)

A
  • Adeno carcinoma confined to ducts
  • Proliferation of abnormal epithelial cells
  • No extension beyond basement membrane (cannot metastasize)

Presents:

  • Asymptomatic (most)
  • Nipple discharge
  • Palpable lump

Risk factors:

  • Increasing age
  • Family hx
  • Nulliparity
  • Age 30+ at birth of 1st child

Treatment:

  • Lumpectomy (small)
  • Mastectomy (large/ 2+ tumors)
  • Radiation
  • Hormonal therapy (tamoxifen)
22
Q

Clinical signs of breast cancer

A
  • Growing lump
  • Hard
  • Does not fluctuate with cycle
  • Nipple discharge, retraction, non healing ulcer
  • Skin dimpling
  • Hot, red breast
23
Q

Ductal carcinoma in situ (DCIS)

A
  • Adenocarcinoma confined to ducts
  • Proliferation of abnormal epithelial cells
  • No extension beyond basement membrane (cannot metastasize)
  • Prognosis = treatment → good, untreated → IDC

Presents:

  • Asymptomatic (most)
  • Nipple discharge
  • Palpable lump

Risk factors:

  • Increasing age
  • Family hx
  • Nulliparity
  • Age 30+ at birth of 1st child

Treatment:

  • Lumpectomy (small)
  • Mastectomy (large/ 2+ tumors)
  • Radiation
  • Hormonal therapy (tamoxifen)

Hypoechoic intraductal mass

Microlobulations (1-2mm)

Calcificaitons

24
Q

Invasive ductal carcinoma

A

Adenocarcinoma extending beyond ducts (basement membrane)

  • Most common breast cancer (80%)
  • Metastasize via blood + lymph

Grades

  • 1 (low) = well-differentiated (less likely to spread)
  • 2 (moderate)
  • 3 (high) = poorly differentiated (likely to spread)

Present:

  • Hard immobile mass
  • 50-60yrs
  • African Americans

Treatment:

  • Lumpectomy
  • Mastectomy (partial/ total)
  • Radical mastectomy (includes muscle + lymph nodes)
  • Chemotherapy
  • Radiation
  • Hormonal therapy (tamoxifen)
  • *Hypoechoic mass**
  • Ill-defined
  • Hyperechoic angular margins
  • Spiculations or thick halo
  • Ductal extension
  • Branched pattern
  • Microcalcifications
  • Vascular

Non-compressible

  • *Acoustic transmission**
  • *-** Post shadowing (grade 1)
  • Post enhancement (grade 3)
25
Invasive lobular carcinoma
Malignancy begins in lobule → extends to fatty tissue - Breech basement membrane * 10-15% of BC * Poorer prognosis than IDC Treatment: - Core needle biopsy - Surgical resection Hypoechoic mass - Angular/ ill-defined margins - Post shadow
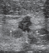
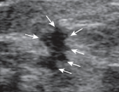
26
Suspicious nodule findings
* **Hypoechoic** * **Irregular shape** * **Taller than wide** * *-** Growing through tissue planes * **Contour/ margins:** - Poorly defined - Angular margins - Spiculations - Microlobulations - Duct extension - Thick echogenic halo - Architectural distortion * **Posterior shadowing** * **Feeding vessel** * **Microcalcifications**