Lymph Nodes Flashcards

(5 cards)

1
Q

Normal lymph node US appearance

A
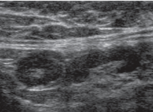
  • < 1cm AP diameter
  • Shape: oval (long axis), C-shaped (short-axis)
  • Hypoechoic cortex
  • Hyperechoic fatty hilum
  • Uniform vascular hilum
How well did you know this?
1
Not at all
2
3
4
5
Perfectly
2
Q

Reactive lymph node

A

Normal response to local or systemic infection/ inflammation

Presents:

  • Asymptomatic
  • Swollen lump

Treatment:
- Treat underlying cause

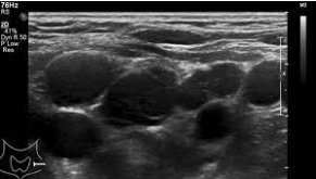
Benign features:

  • *Enlarged node**
  • <1 cm AP diameter
  • *Normal morphology**
  • Oval, symmetrical cortex, fatty hilum, homogeneous, well defined,

Vascular hilum

How well did you know this?
1
Not at all
2
3
4
5
Perfectly
3
Q

Lymphadenitis

A

Inflammed lymph nodes

Causes

  • Bacterial infection (strep throat, tonsilitis, ear infection, salivary gland infection)
  • Viral infection (common cold, upper respiratory tract infection)

Presents:

  • Swollen tender cervical mass
  • Erythema
  • Fever
  • Raised inflammatory markers

Management:

  • Antibiotics
  • US to assess for abscess formation
  • *Enlarged nodes**
  • Normal morphology

Increased vascularity

  • *Matted mass**
  • Fused nodes
  • *Abscess formation**
  • *-** Heterogeneous mass
  • Thick irregular walls
  • Increased peripheral vascularity
How well did you know this?
1
Not at all
2
3
4
5
Perfectly
4
Q

Primary malignant lymph node (lymphoma)

A

Malignancy arising from lymphocytes
- Unknown cause

  • Hodgkins (40%)
  • Reed-Sternberg cells
  • Metastasize → nearby nodes
  • Better prognosis
  • Non-Hodgkins (60%)
  • No Reed-Sternberg cells
  • Metastasize → random nodes
  • B-cell: slower growing (more common)
  • T-cell: aggressive

Present:

  • Painless neck mass
  • Fever
  • Night sweats
  • Weight loss

Treatment:

  • Biopsy
  • CT staging
  • Surgical resection
  • Chemo + radiation

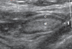
Malignant features:

  • *Multiple very hypoechoic nodes**
  • *-** Absent hilum/ central necrosis
  • Heterogeneous
  • *Round**
  • >1cm AP diameter
  • Taller than wide

Lobulated/ irregular contour

Disorganised vascularity

Differential = mets (calcs)

How well did you know this?
1
Not at all
2
3
4
5
Perfectly
5
Q

Metastatic lymph nodes

A

Metastases implant in subcapsular or cortical sinusoids → cortical thickening
- Location of implant determines pattern of thickening

Diagnosis:
- Biopsy

Asymmetric cortical thickening

Very hypoechoic

Round

Microcalcifications

Central necrosis (severe)

Differential = benign reactive node (symmetric cortical thickening)

How well did you know this?
1
Not at all
2
3
4
5
Perfectly