Parathyroid Flashcards

(5 cards)

1
Q

Primary hyperparathyroidism

A

Overproduction of parathyroid hormone
- Abnormal gland continues to make calcium regardless of serum calcium level

Causes:

  • *1. Solitary adenoma**
  • *2. Multiple gland disease**
  • *3. Parathyroid cancer**

Risk factors:

  • Women > men
  • Post menopause (50+)

Diagnosis:

  • Elevated PTH
  • Hypercalcemia
  • Hypercalciuria

Treatment:
- Surgical parathyroidectomy

How well did you know this?
1
Not at all
2
3
4
5
Perfectly
2
Q

Solitary parathyroid adenoma

A
  • Benign tumour in 1 of 4 glands
  • Most common cause of primary hyperparathyroidism

Cause:

  • Genetic mutation
  • Inherited disorder (MEN I)

Presents:
- High serum PTH + calcium, low phosphate

Treatment:

  • Reduce PTH + calcium (medical)
  • Surgical resection
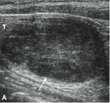
  • *Hypoechoic solid lesion**
  • Homogeneous
  • Oval (~1cm)
  • *Hypervascular**
  • Arch
  • Feeding vessel
  • Differentials:*
    • Lymph node*
    • Thyroid nodule*
How well did you know this?
1
Not at all
2
3
4
5
Perfectly
3
Q

Multiple gland disease

A
  1. Parathyroid hyperplasia
    - Parathyroid cells divide excessively
    - Involves all 4 glands symmetrically
  2. Multiple adenomas
    - Adenomas in 2-3 glands

Present:
- Hyperparathyroidism

Treatment:

  • Reduce PTH + calcium (medical)
  • Surgical resection
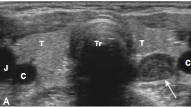
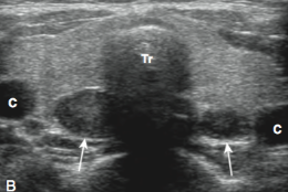
  • *Asymmetrically enlarged parathyroid glands**
  • Difficult to differentiate sonographically*
How well did you know this?
1
Not at all
2
3
4
5
Perfectly
4
Q

Parathyroid cancer

A
  • Rare
  • Causes 1-2% of primary hyperparathyroidism
  • Poor prognosis (invasive metastatic nature)

Presents:
- Very high serum calcium (>14mg/dL)

Treatment:
- Surgical resection

  • *Heterogeneous mass**
  • Internal cystic components
  • Lobular contour

>2cm (lager than adenomas)

Hypervascular

Invasion of adjacent tissues

Differential = large adenoma

How well did you know this?
1
Not at all
2
3
4
5
Perfectly
5
Q

Secondary hyperparathyroidism

A

Overproduction of parathyroid hormone
- Normal PT glands make excess PTH due to chronic hypocalcemia

  • Often patients with chronic renal failure

Presents:

  • Symptoms of CKD
  • Bone demineralisation
  • Calcs in soft tissues + blood vessels

Treatment:
- Treat renal failure (dialysis, transplant)

US usually not necessary

How well did you know this?
1
Not at all
2
3
4
5
Perfectly