Thyroid Flashcards

(32 cards)

1
Q

Normal thyroid US appearance

A
  • Homogeneous parenchyma
  • Medium-high level echoes (hyperechoic to straps muscles)
  • Thin hyperechoic capsule
  • Vascular (uniformly distributed)
How well did you know this?
1
Not at all
2
3
4
5
Perfectly
2
Q

Thyroid location

A
Midline neck (infrahyoid compartment)
- Level C5-T1
  • Post to strap muscles
  • Ant to trachea
  • Inf to thyroid cartilage
  • Med to CCA + IJV
How well did you know this?
1
Not at all
2
3
4
5
Perfectly
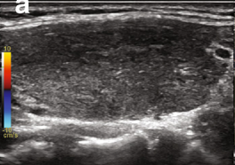
3
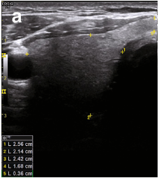
Q

Label the image

A
How well did you know this?
1
Not at all
2
3
4
5
Perfectly
4
Q

Identify each structure
Describe its US appearance + location in relation to the thyroid

A
  1. Strap muscles (anterior/ thin hypoechoic band)
  2. Sternocleidomastoid m. (lateral/ oval hypoechoic)
  3. Longus colli m.(posterolateral/ triangle)
  4. Trachea (posterior midline/ air shadow)
  5. Esophagus (posterior to left lobe/ target)
  6. CCA (lateral)
  7. IJV (lateral
How well did you know this?
1
Not at all
2
3
4
5
Perfectly
5
Q

An enlarged thyroid measures..

A

> 2cm AP

> 1cm isthmus thickness

How well did you know this?
1
Not at all
2
3
4
5
Perfectly
6
Q

Normal thyroid measurements + volume

A
  • <6cm long
  • 1.8 cm AP
  • <6mm isthmus thickness
  • <18ml women
  • <25ml men

To measure: 1 caliper in long, 2 calipers in trans

How well did you know this?
1
Not at all
2
3
4
5
Perfectly
7
Q

What is the function of the thyroid?

A

Endocrine gland

Secretes hormones:

  • Thyroid hormones (T3 + T4)
  • Calcitonin

Regulates metabolism:

  1. Affects growth + development (organs, immune system, sexual development)
  2. Controls heart rate, energy levels, weight loss/ gain, cholesterol, memory
How well did you know this?
1
Not at all
2
3
4
5
Perfectly
8
Q

What are the thyroid hormones?
Where are they secreted?
What are the primary effects?

A

T4 (Thyroxine)

  • 90% of secretions
  • Contains 4 iodine atoms
  • Most converts to T3

T3 (Triiodothyronine)

  • 10% of secretions
  • Contains 3 iodine atoms

Secreted by follicular cells
- Thyroglobulin uses iodine to make T3 + T4

Primary effects:

  • Increase metabolism
  • Increase basal metabolic rate (BMR)
  • Stimulate growth
  • Increase cardiac output
How well did you know this?
1
Not at all
2
3
4
5
Perfectly
9
Q

Where is calcitonin secreted?
What is its primary effect?
In what condition is calcitonin elevated?

A

Secreted by parafollicular cells (C-cells)

Decrease blood calcium levels (preventing hypercalcemia)

Elevated with medullary thyroid cancer

How well did you know this?
1
Not at all
2
3
4
5
Perfectly
10
Q

Explain normal thyroid hormone regulation

A

Negative feedback system:

  1. Low thyroid hormone (TH) concentration in blood…
  2. Thyrotropin-releasing hormone (TRH) released by hypothalamus
  3. Thyroid-stimulating hormone (TSH) released by pituitary gland
    - A.k.a Thyrotropin
  4. Thyroid hormone is released until blood-hormone level normalies
  5. TSH secretion ceases.
How well did you know this?
1
Not at all
2
3
4
5
Perfectly
11
Q

What is a pyramidal lobe?

A

3rd lobe

Arising from isthmus to hyoid bone

How well did you know this?
1
Not at all
2
3
4
5
Perfectly
12
Q

Label the thyroid arterial supply

A

Superior thyroid a:

  • 1st branch of ECA
  • Inserts inf poles

Inferior thyroid a:

  • Branch of subclavian artery
  • Inserts post aspect of inf poles

Thyroid ima a:

  • 1-% of people
  • Usually arises from brachiocephalic trunk
How well did you know this?
1
Not at all
2
3
4
5
Perfectly
13
Q

Label the thyroid venous drainage

A

Superior + middle thyroid veins drain –> IJV

Inferior thyroid veins drain –> brachiocephalic vein

How well did you know this?
1
Not at all
2
3
4
5
Perfectly
14
Q

Thyroid function tests (TFTs)

A

TSH:

FT4: free T4

FT3: free T3 (most sensitive for hyperthyroidism)

How well did you know this?
1
Not at all
2
3
4
5
Perfectly
15
Q

Euthyroid sick syndrome

A

Abnormal TFTs caused by non-thyroidal conditions:

  • Pregnancy (high estrogen → high T3/T4)
  • Critical illness
  • Liver disease
  • Renal disease
  • Malnutrition
  • Various medications (e.g. birth control → high T3/T4)
How well did you know this?
1
Not at all
2
3
4
5
Perfectly
16
Q

Thyroid hypoplasia

A

Abnormally enlarged thyroid (‘non-toxic goiter)

Causes:

  • Iodine deficiency
  • Hereditery
  • Medication
  • *Uniformly enlarged thyroid**
  • Rounded poles
  • >2cm AP
  • >1cm isthmus
  • *Increased volume**
  • >18cc women
  • >25cc men
  • *Homogeneous parenchyma**
  • *-** Normal vascularity
17
Q

Graves disease

A

Hyperthyroidism (‘toxic goiter’)

  • *Autoimmune disease:** immune system attacks thyroid → excess production TH → thyrotoxicosis
  • Women >30
  • Diagnosis
  • Clinical/ lab: low TSH, high T3/T4
  • US useful if asymetric enlargement
  • Treatment
  • TSH receptor blocker (medical)
  • Thyroidectomy

Uniformly enlarged thyroid

Hypoechoic

Heterogeneous echotexture

Hypervascular (‘Thyroid inferno’)

Differential = Hashimoto’s Thyroiditis

18
Q

Clinical signs of hyperthyroidism

A
  • Symmetrical goiter
  • Thyrotoxicosis (low TSH, high T3/T4)
  • Anxious/ nervous
  • Tachycardia
  • Wt loss
  • Increased appetite
  • Feeling hot
  • Bulging of eyes
  • Diarrhea
  • Thirst
19
Q

Hashimoto’s thyroiditis (Autoimmune)

A

Hypothyroidism (most common thyroiditis)

  • *Autoimmune disease**
    1. Acute phase: immune system atacks thyroid → THs leak → circulation → temporary hyperthyroidism (thyrotoxicosis)
  1. Chronic phase: thyroid damged/ burns out → decrease in THs → hypothyroidism
  2. Chronic inflammation: functioning cells atrophy → connective tissue + immunce cells build up → gland enlarges
  • Autoimmune disease
  • Treatment
  • TH replacement therapy (medical)
  • FNA (nodules)
  • Thyroidectomy (v large goiter, Ca suspicion)

Uniformly enlarged thyroid

Hypoechoic

  • *Heterogeneous echotexture**
  • *-** Hypoechoic micronodules
  • Echogenic septations
  • *Hypovascular**
  • Can by hypervascular in acute phase

Differential = Graves diseas

20
Q

Clinical signs of hypothyroidism

A
  • Symmetrical goiter
  • High TSH, low T3/T4
  • Fatigue
  • Low mood
  • Bradycarida
  • Wt gain
  • Feeling cold
  • Constipation
  • Memory problems
21
Q

Subacute granulomatous thyroiditis (de Quervain’s disease)

A

Cause = viral infection of upper respiratory tract → spreads to thyroid

  • Diagnosis = clinical/ lab
  • Signs of hyperthyroidism
  • *-** Low TSH, high T3/T4, elevated ESR + CRP
  • Tender palpable thyroid
  • Treatment = self limiting

Enlarged thyroid

  • *Poorly defined focal hypoechoic areas**
  • Decreased vasc
22
Q

Invasive fibrous thyroiditis (‘Riedel’s)

A

Rare

  • *Autoimmune disease**
    1. Immune cells attack thyroid → leads to hypothyroidism
    2. Fibrous tissue replaces normal tissue → enlarged gland
    3. Fibrosis extends beyond thyroid → affects trachea, muscles, nerves, blood vessels → neck structures fuse
  • Presents:
  • Large v hard goiter
  • SOB, dysphagia (pressure on trachea/ esophagus)
  • Signs of hypothyroidism
  • Management:
  • US (assess extrathyroid ext.)
  • CT/MRI (assess involved structures)
  • FNA (fibrous tissue)
  • Treatment
  • Corticosteroids (suppress immune system)
  • TH replacement therapy
  • *Enlarged gland**
  • Poorly defined marigns

Heterogeneous

  • *Extrathyroid extension**
  • Encasement of CCA/ IJV

Differential = anaplastic thyroid ca

23
Q

Acute thyroiditis

A

Rare

  • *Bacterial infection**
    1. Starts in perithyroidal soft tissue (tonsilitis, abscess, pneumonia)
    2. Hematogenous spread
  • Presents:
  • Painful goiter
  • Treatment:
  • Antibiotics
  • *Abscess**
  • Hypoechoic mass
  • Poorly defined
  • Internal debris
  • Peripheral vasc.

Local inflammatory lymph nodes

24
Q

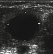
Colloid cyst

A
  • Benign
  • TIRADS 1

Anechoic cyst containing echogenic foci with comet tail artefact

Avascular

Differential = cystic papillary thyroid cancer

25
Hemorrhagic cyst
Occurs with degenerating nodules Presents: - Acute painful neck mass - Obstructive symptoms (SOB, dysphagia) Management: - FNA - Surgical resection **Large cyst with low-level internal echoes/ echogenic septations** **Avascular**
26
Solid colloid nodule
**Spongiform** * Benign * TIRADS 1 Predominantly (\>50%) small cystic spaces, with hyperechoic spots
27
Adenoma
**Adenoma** * Benign * ‘Cold nodule’ on nuclear medicine (don't produce hormones) * TIRADS 3 or 4 * Multiple = multinodular goiter **Well-defined solid mass** **Homogeneous** **Isoechoic/hyperechoic with hypoechic halo** **Hypervascular** (peripheral → centre) *Differential = follicular cancer (cannot differentiate with US)*
28
Papillary thyroid cancer
* Most common (75-90%) * Arise from follicular cells * Good prognosis (90% 20yr survival) * Early cervical lymph nodes metastases (doesn't worsen prognosis) Presents: - Enlarged cervical nodes - Solitary palpable mass - Women (30's + 70's) Management: - FNA - CT - Surgical resection/ lobectomy - Radiation (lymph nodes mets) * *Very hypoechoic mass** - Irreg shape - Ill defined borders - Often subscapsular * *Punctate calcifications** - +/- shadowing **Disorganised hypervacularity** * *Cervical node mets** - Cystic degeneration *Differntial = follicular thyroid cancer*
29
Follicular thyroid cancer
* 2nd most common (5-15%) * Arise from follicular cells * Prognosis = not as good as pap. (90% 10yr survival) * Early distant metastases via blood (bone, lung, brain, liver) Management: - Staging CT (distant mets) - Surgical resection/ lobectomy - Radiation - *FNA cannot differentiate adenoma + follicular ca* **Well defined solid mass** **Homogeneous** **Isoechoic with hypoechic halo** **Disorganised hypervascularity** *Differential = adenoma*
30
Medullary thyroid cancer
* Rare (5%) * Arises from parafollicular cells (c-cells) * Secretes calcitonin * Compenent of MEN II (multiple endocrine neoplasia) * Poor prognosis * High incidenence of mets at presentation (50%) Presents: - Elevated calcitonin - Pts with family history (20%) Management: - Labs (high levels calcitonin → aggressive) - Staging CT (distant mets) - Surgery (thyroidectomy) **Hypoechoic solid mass** * *Coarse calcifications** - +/- shadowing **Disorganised hypervacularity** *Differnential = papillary thyroid cancer*
31
Anaplastic thyroid cancer
* Rare (\<2% * Worst prognosis (~5% 5yr survival) * Highly agressive * Metastasise via local invasion (muscle + vessels) Presents: - Rapidly enlarging mass - Obstructive symptoms (SOB, dysphagia) - Hoarse voice - Elderly women Management: - CT/ MRI (often to large to assess with US) - Surgery (often inoperable at presentation) * *Large hypoechoic solid mass** - May have microcalcs * *Infiltrative** - Invades adjacent muscles + vessels
32
Lymphoma
* Rare * Usually non-hodgkin * 70-80% arise from Hashimoto's * Poor prognosis Presents: - Rapidly enlarging mass - Obstructive symptoms (SOB, dysphagia) - Hoarse voice - Cervical lymphadenopathy Management: - CT/ MRI (extent of invasion) - Surgery (often inoperable at presentation) - Chemo + radiation * *Large very hypoechoic mass/ diffuse parenchyma** - Encasement of neck vessels - Areas of cystic necrosis **Hypovascular** *Differential= Anaplastic thyroid cancer*