A 65yo female presents with a palpable, non-tender breast lump and axillary lymphadenopathy. On further questioning she admits to an unusual nipple discharge with some blood

Carcinoma of the breast

A 45yo woman presents with mastalgia that is related to her periods. She notes her breasts are lumpy

Fibrocystic breast disease

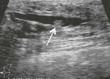
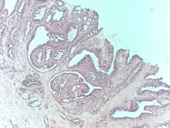
A woman presents with bloody nipple discharge, there is no palpable mass. US is performed

Intraductal papilloma

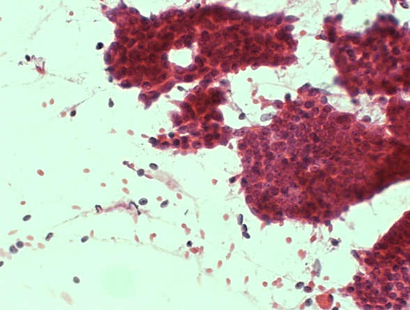
A 30yo woman presents with a smooth, mobile lump that is about 1cm in diameter. FNA is performed

Fibroadenoma

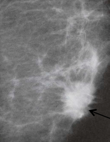
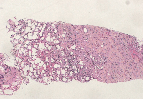
A woman presents with a hard breast lump with irregular borders. She has had surgery on her breast in the past. Mammogram is performed

Fat necrosis

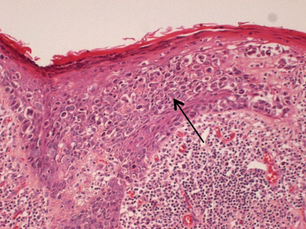
What is this breast disease? What is this indicative of?

Paget’s disease of the nipple –> breast cancer

What is this breast pathology that may mimic breast cancer on mammogram?


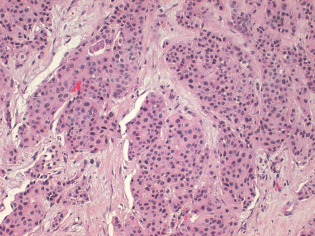
What type of breast cancer is shown?

Invasive ductal carcinoma
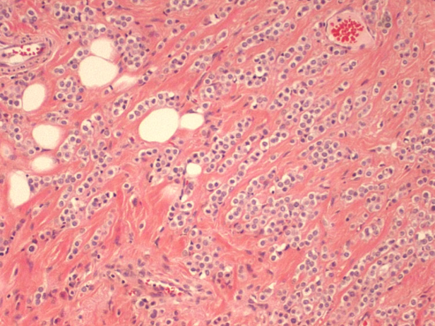
What type of breast cancer is shown?

Invasive lobular carcinoma
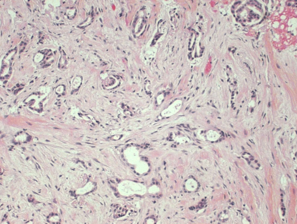
What type of breast cancer is shown?

Tubular carcinoma
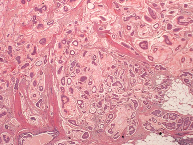
What type of breast cancer is shown?

Mucinous carcinoma
23yo woman who commenced with OCP 6 months ago presents with a 3 month history of a left breast lump which is slightly tender. It does not vary with her menstrual cycle
Fibroadenoma
A 38yo woman presents with a 3 month history of breast tenderness with presence of a mass. Further review suggests that the pain fluctuates and is worst immediately prior to her period when the lump she describes is quite obvious. With the onset of menses the pain and nodularity settles
Fibrocystic disease
A 43yo lady presents with a short history of a lump in her right breast. She examines her breast regularly and was devastated to find this new lump, saying it developed over a number of days. She had noticed some mild tenderness in this area prior to the development of the lump
Cyst