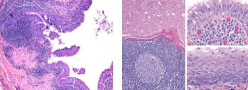
33yo male presents with a white lesion of his oral mucosa. He is a smoker

Leukoplakia
A male smoker presents with oral pain and a persistent sore throat and dysphagia. On examination a neck mass is noted
Oropharyngeal SCC
A 10yo boy presents with a fever, sore throat and painful swallowing. He does not have a cough. Pus is noted on his tonsils on examination

Tonsillitis
A 26yo female presents with dry eyes and dry mouth. Schirmer’s test is positive
Sjogren’s syndrome
A patient presents with unilateral tonsil swelling

Quinsy
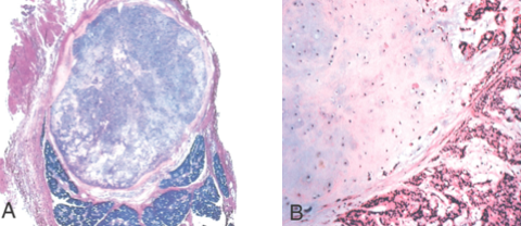
A 62yo male presents with a slowly enlarging, non-tender facial mass. The tumour is determined to be the most common head and neck tumour

Salivary gland tumour

A 22yo female presents with a 7 day history of facial pain with associated nasal congestion and hyposmia. Her symptoms resolve 2 days later without antibiotics
Acute sinusitis (viral)
A 36yo woman presents with facial pain over her sinuses, nasal congestion and a headache. She has had these symptoms for about 3 months
Chronic sinusitis
A 24yo male with chronic sinusitis presents with bilateral nasal obstruction. After rhinoscopy, intranasal corticosteroids are prescribed
Nasal polyps
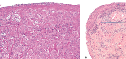
A 65yo known smoker presents with progressive hoarseness and dysphagia

Carcinoma of the larynx

A 30yo patient presents with a neck mass. The mass is unilateral and is smooth, fluctuant and non-tender on palpation

Branchial cleft cyst

An 8yo boy presents with otalgia and tragal tenderness. On examination, the ear canal is swollen and inflamed
Otitis externa
A 12 month old boy presents tugging at his ear and with a fever for 1 day. Otoscopy is performed

Acute otitis media
A 3yo boy shows delay in language development. His mother admits that he had many ear infections as a child. What is the likely cause of this language impairment?
Chronic otitis media with effusion causing hearing loss
A 34yo Aboriginal man presents with hearing loss and otorrhoea. Otoscopy is performed as shown

Cholesteatoma
A 45yo patient presents with sudden unilateral hearing loss that began 4 days previously. Audiology reveals hearing loss in more than 3 frequencies of at least 30dB
Sudden sensorineural hearing loss
A 55yo female patient presents with vertigo. Upon further questioning, she reveals the vertigo comes on when she is in bed, typically lasts about 20 seconds and is severe
BPPV
A 40yo patient presents with episodic, sudden onset vertigo. The vertigo usually lasts about 2 hours.
She also complains of a feeling of fullness in her ears and tinnitus of a roaring quality.
Meniere’s disease
A 22yo presents with trouble seeing. Visual acuity reveals 6/12 in each eye. This is corrected by pinhole
Refractive error
A 5yo child presents with red eye and purulent discharge from his eyes. His eyelids are stuck together in the morning
Conjunctivitis (bacterial)
A 44yo patient with known IBD blurred vision and watery discharge. They have dull pain in the orbital region that is tender to palpation and some photophobia
Anterior uveitis
A 72yo male presents complaining of blurred vision and says that he does not feel he sees colours as brightly. Slit lamp examination of the anterior chamber reveals the pathology

Cataracts
A patient with known hypertension presents for an eye examination. This appearance is seen on fundoscopy

Hypertensive retinopathy (grade IV)
A patient with known diabetes presents to their optometrist. On questioning they report seeing an occasional floater and mild decrease in visual acuity

Diabetic retinopathy (proliferative)