A 45yo male presents with a worsening headache associated with hypertension, bradycardia and bradypnoea
Raised ICP
A 60yo patient with CVD risk factors presents with a 4 hour history of unilateral weakness in her left arm and leg with associated sensory disturbance
TIA
A 60yo patient with CVD risk factors presents with a 36 hour history of unilateral weakness in her left arm and leg with associated sensory disturbance. There is also an associated aphasia
Cerebral infarction (MCA)
Other presentations:
A 60yo patient with CVD risk factors and long-standing HTN presents with a headache with associated neck stiffness and photophobia. Over time, the patient develops Cushing’s triad and a unilateral dilated pupil
Intracerebral haemorrhage
A 60yo patient with CVD risk factors presents an acute onset headache, described as the worst she’s ever had a like being kicked in the back of the head. She has a family history of sudden death

Subarachnoid haemorrhage
A 55yo patient presents with generalised muscle weakness and wasting. Generalised fasciculations are noted and reflexes are brisk. There are no sensory complaints
MND
A 90yo woman with dementia presents with acute onset inattention and altered level of consciousness. Her daughter says her state has been fluctuating and is unsure if she has an infection
Delirium
Precipitating factors: medications, multiple medical problems, infection, surgery, substance withdrawal, acute brain pathology
A 70yo male presents with progressive tremor and bradykinesia. On further questioning he admits to some constipation. On examination he has a characteristic gait that shows en block turning
Parkinson’s disease
25yo male presents with a headache that he describes as bilateral and band-like in nature. It is made worse by stress
Tension headache
35yo female presents with severe unilateral headache with associated phonophobia and photophobia. She describes a visual aura prior to this headache. She has had headaches like this before, typically occurring around the start of her menstrual cycle
Migraine
A 35yo patient develops acute onset drooping of the face on one side, and involving the forehead. There are no other neurological symptoms. Over the next 4-6 months, the symptoms subside without treatment
Bell’s palsy
Other causes of facial palsy: stroke/TIA, tumour/mass, meningitis, herpes zoster oticus, HIV, basal skull fracture, parotid gland tumours or surgery, acute otitis media
A patient a high altitude presents with drowsiness and ataxia. On examination, papilloedema is noted
Cerebral oedema (high altitude)
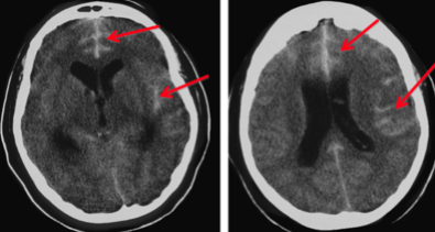
A patient presents with worsening headache, nausea and vomiting and drowsiness. CT brain reveals dilated ventricles due to an obstruction in the ventricular system
Hydrocephalus
An 85yo male presents with his daughter. His daughter notes that he has had recent trouble remembering names and is getting lost in normally familiar places. He is treated with donezepil
Alzheimer’s disease

A 74yo male presents with his son. His son notes recent degeneration in his father’s cognition following a recent stroke. On examination, frontal release reflexes are present His past history includes multiple strokes, hypertension and ischaemic heart disease.
Multi-infarct dementia
A 75yo male presents with difficulty sleeping due to excessive leg movements at night. This is relieved with activity
Restless legs syndrome
A 25yo female presents with presents with 3 weeks of leg weakness. The weakness eventually subsides. Two months later she returns complaining of extreme fatigue and a tingling sensation in her right arm. An MRI is performed
MS
Patient presents following an episode of loss of consciousness. Her daughter described an episode where her mother cried out before jerking for about 2 minutes. She went blue and bit her tongue. She was confused following this event
Generalised tonic-clonic seizure
A 6yo boy presents following repeated episodes where he is was unresponsive for about 6-7 seconds. He could not remember having these episodes
Childhood absence epilepsy
A 16yo boy presents following numerous generalised tonic clonic seizures. He describes a new phenomenon where he feels like he is in a “vague cloud”
Juvenile absence epilepsy
A 17yo girl presents with episodes of loss of consciousness where she has involuntary muscle twitches. She also has had generalised tonic-clonic seizures in the past
Juvenile myoclonic epilepsy