75yo male with CHF presents with dyspnoea. Crackles are heard at the lung bases on examination

Pulmonary oedema
Other causes: pneumonia, septicaemia, inhaled gases, liquid aspiration, shock/trauma, radiation, transfusion-related, volume overload, pulmonary vein obstruction
33yo female presents with dyspnoea on exertion with associated cyanosis and fatigue. On examination she has a loud P2. Over the following years, she goes on to develop RVF

Pulmonary HTN
Causes: idiopathic (primary), PE, COPD, ILD, LVF, connective tissue disease, portal hypertension
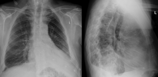
55yo female with known breast cancer develops sudden onset dyspnoea associated with pleuritic chest pain. On questioning she admits to having unilateral calf pain prior to this

PE
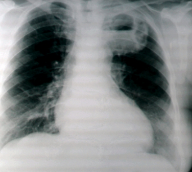
A tall, young healthy male presents with acute onset dyspnoea associated with unilateral chest pain and tracheal deviation to the opposite side

Tension pneumothorax
Causes: spontaneous (as here), traumatic, iatrogenic
A 78yo male becomes septic following pneumonia. Over the next 24-48 hours, his SOB worsens and his oxygen saturation drops

ARDS
Other causes: aspiration, inhalation injury, acute pancreatitis, trauma, radiation, transfusion reaction, fat embolism, DIC, drug overdose, idiopathic
15yo male presents with tachypnoea, wheezing and reduced chest expansion. He has a family history of this and a personal history of eczema
Asthma
60yo male presents with a heavy smoking history presents with gradually worsening SOBOE and a cough productive of sputum (particularly in the morning). On CXR, his lungs appear hyper-inflated

COPD
A 22yo male with CF presents with a cough productive of purulent, foul-smelling sputum. On examination, inspiratory crackles are heard

Bronchiectasis
Other causes: pneumonia, neoplasm, foreign body, asthma, external compression
A 55yo male smoker presents with a productive cough for 2 weeks and a fever. This goes on to resolve after less than a month
Acute bronchitis
A 70yo female presents with sudden onset pleuritic chest pain and fever associated with a productive cough. On examination, crackles are heard over the affected lobe

Lobar pneumonia
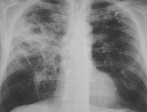
A 55yo male from Africa presents with night sweats, fever, malaise and haemoptysis

TB

A 20yo female presents with nasal congestion, headache, a slight fever and a cough that is no responsive to antibiotics
URTI (viral rhinitis)
An 88yo lady with an altered conscious state and who is immunosuppressed develops a high grade fever with a cough productive of foul-smelling sputum. On examination, cavernous breath sounds are heard over an area of the lung

Acute lung abscess
Other causes: pulmonary infarcts, malignancies, penetrating trauma, necrotising pneumonias, bronchial obstruciton

60yo male presents with progressive dyspnoea and a non-productive cough. On examination, clubbing is noted and fine inspiratory crackles are heard bilaterally

Idiopathic pulmonary fibrosis

25yo patient presents with generalised painless lymphadenopathy and lupus pernio on the face. They have no pulmonary signs

Sarcoidosis
66yo male with heavy smoking history presents with new onset haemoptysis on a background of COPD. A mass is seen on CXR

Lung cancer

ABGs are run on a deteriorating patient: pH = 7.30, PaO2 = 50mmHg, PaCO2 = 60mmHg
Respiratory failure
A patient with known cancer presents with increasing dyspnoea. On examination, stony dullness to percussion is noted unilaterally

Pleural effusion (exudate)
Causes: - Exudate: pneumonia, malignancy, PE, viral disease, TB - Transudate: CHF, cirrhosis, hypoalbuminaemia, hypothyroidism, pulmonary infarction, acute pancreatitis, trauma/surgery
A 57yo male with known asbestos exposure presents with a pleural effusion, dyspnoea and a dry cough

Mesothelioma

56yo male presents with excessive daytime somnolence. His partner complains of heavy snoring and has witnessed periods of non-breathing
OSA