tx options for missing tooth/teeth
reasons for treating tooth loss (4)
tooth replacement options
define bridge
“A prosthesis which replaces a missing tooth or teeth and is attached to one or more natural teeth (or implants)”

2 types of bridgework
adhesive
‘conventional’

general indications for bridgework (6)
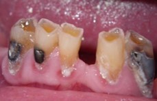
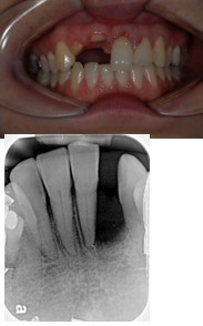
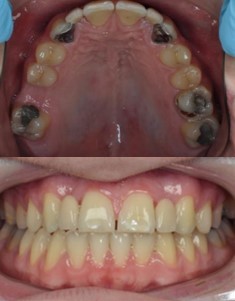
4 local indications for bridgework
6 general contraindications for bridgework

8 local contraindications for bridge work

abutment
a tooth which serves as an attachment for a bridge

pontic
the artificial tooth which is suspended from the abutement teeth/tooth

retainers
the extracoronal or intracoronal restorations that are connected to the pontic and cemented to teh prepared abutment teeth

connectors
component which connects the pontic to the retainer(s)

edentulous span
space between natural teeth that is to be filled by a bridge

saddle
area of the edentuolous ridge over which the pontic will lie

pier
an abutment tooth which stands between and is supporting two pontic - each pontic being attached to a further abutment tooth

unit
either a retainer or a pontic
e.g. a bridge with two retainers and one pontic = 3 unit bridge

2 types of bridge design
fixed-fixed
cantilever
fixed-fixed bridge
This type of bridge has a retainer at each end with a pontic in the middle joined by rigid connectors.
Can be:

cantilever
This type of bridge has a retainer (or retainers) at one side of the pontic only
Can be:

resin bonded bridgework (RBB) a.k.a

2 options for adhesive cantilever bridges
all ceramic adhesive bridge
or
traditional adhesive bridge with metal (CoCr) wing
can be nickel chromium oness too

6 advantages of RBB
6 disadv of RBB