root resorption Flashcards

(35 cards)

1
Q

influences on dentinoclast activity

A

upregulates by RANKL, OPG downregulates (signalling molecules)

How well did you know this?
1
Not at all
2
3
4
5
Perfectly
2
Q

RANKL stimulation

4

A
  1. Parathyroid hormone B3, and interleukin 1B
  2. Bacterial lipopolysaccharides
  3. Trauma (physical, chemical)
  4. Chronic inflammation
How well did you know this?
1
Not at all
2
3
4
5
Perfectly
3
Q

surfaces that are involved

A
  • Periodontal ligament
  • Cementum – particularly the non mineralised layer
  • Predentine - non collagenous components

All act to prevent resorption – but when damaged the resorption process can begin
* Multinucleate giant cells in bone – trauma means that cementum lost so bone in contact with dentine = resorption

Predentine prevents internal dentine from resoprting

enamel to PDL 20% people have resorption due to change in anatomy

How well did you know this?
1
Not at all
2
3
4
5
Perfectly
4
Q

types of root resorption

6

A

internal
* inflammatory
* replacement

external
* inflammatory
* repalcement
* cervical
* surface

How well did you know this?
1
Not at all
2
3
4
5
Perfectly
5
Q

extraoral clinical findings and tests to assess for all restorative work

12

A

Smile line -* if there is a consideration for Endodontic Microsurgery *
* post surgical recession or scaring is an aesthetic risk Tooth in question
* external cervical resorption in Upper incisors – know as possible issue

Coronal integrity of remaining tooth and restoration quality
* can the tooth be predictably restored after treatment

Colour
* e.g. presence pink spot

Periodontal pocketing with a PCP12 probe both vertically and horizontal
* is there a periodontal communication with the resorption
* isolate 6PPC around tooth to assess root and amount resorption – KEY for endo dx

Sinus *including location in relation to mucogingival junction *
* has the internal resorption perforated the root canal

Swelling
* associated with periradicular disease

Apical tenderness
* associated with periradicular disease

Tenderness to percussion
* a test of the PDL not necessarily periradicular disease
* careful
* high pitched tinny notes

Mobility
* no physiological mobility and high pitched percussion

Occlusal contact in ICP and guidance
* is the tooth in function and prudent to retain

Integrity of adjacent teeth
* alternative replacement options ie bridge

Sensibility test
* pulp response

How well did you know this?
1
Not at all
2
3
4
5
Perfectly
6
Q

radiographic assessment prior to dx

A

2 angles (30 degrees mesial or distal beam shift)
or CBCT

Parallax – find out if resorption buccal, lingual or external/internal
* If resorption moves – external
* If fixate/centre in tooth – internal

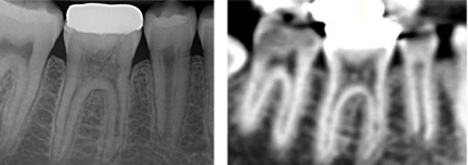
Single biggest thing to aid dx – internal balloons out from internal aspect of canal
* Parallel lines of RCS lost (tramlines) = INTERNAL
* External = superimposition of resorption – can still see tramlines of pulp, internal aspect of RCS intact

How well did you know this?
1
Not at all
2
3
4
5
Perfectly
7
Q

clinical findings for internal inflammatory resorption

A

Coronal integrity
* can be unrestored

Periodontal pocketing
* nil unless lesion has perforated root surface

Colour
* normal

Sinus
* nil unless periradicular disease

Swelling
* nil

Apical tenderness
* nil

Tenderness to precision
* nil

Mobility
* normal

Sensitivity
* positive response

Incidental finding
V little signs and symptoms
Positive response usually

How well did you know this?
1
Not at all
2
3
4
5
Perfectly
8
Q

what to do when get internal resorption but also peri-apical radiolucency

A

when gets big and get PA radiolucency – whole RCS necrotic
* pathological process (giant cells nibbling at tooth) – need vital blood supply for this to occur

Coronal aspect necrotic - contributed to internal resorption starting
* lesion includes inflammatory and vascular tissue - if perforated will communicate with PDL
* vitality in apical part of RCS – lesion will continue to progress until apical pulp goes completely necrotic
once get PA – whole system non vital
* resorption stopped – less complications; not as urgent for tx

How well did you know this?
1
Not at all
2
3
4
5
Perfectly
9
Q

tx for inflammatory internal resorption

A

orthograde endodontics only

possible haemorrhage
* Necrotic pulp – black
* Vital pulp – pink

active irrigation
* need to access resorption defect to kill cells to stop process
* CaOh can be useful if not happy with disinfection process then obturate – can use active irrigation

intervisit medicament

thermal obturation

How well did you know this?
1
Not at all
2
3
4
5
Perfectly
10
Q

internal replacment resorption
clinical findings

radiographic findings

A
  • Coronal integrity can be unrestored
  • Periodontal pocketing nil
  • Colour nil
  • Sinus nil
  • Swelling nil
  • Apical tenderness nil
  • Tenderness to precision nil
  • Mobility normal
  • Sensitivity positive positive

Radiographically
- Pulp is big - Pulp chamber has radiopactities – pulp is replaced by mineralised (not bone, dentine, cementum is a mix)
- RCS slightly expanded

How well did you know this?
1
Not at all
2
3
4
5
Perfectly
11
Q

tx for internal replacment resorption

A

Hard to tx – chisel, high chance # file,

Accept monitor and plan for definitive when become symptomatic

Risks of RCT outweigh benefits of RCT

rare

How well did you know this?
1
Not at all
2
3
4
5
Perfectly
12
Q

external root resorption common finding

A

pt present with mobile tooth

How well did you know this?
1
Not at all
2
3
4
5
Perfectly
13
Q

external surface resorption
clinical findings
radiographic findings

A
  • Coronal integrity can be unrestored
  • Periodontal pocketing nil
  • Colour nil
  • Sinus nil
  • Swelling nil
  • Apical tenderness nil
  • Tenderness to precision nil
  • Mobility inc physiological mobility
  • Sensitivity positive positive

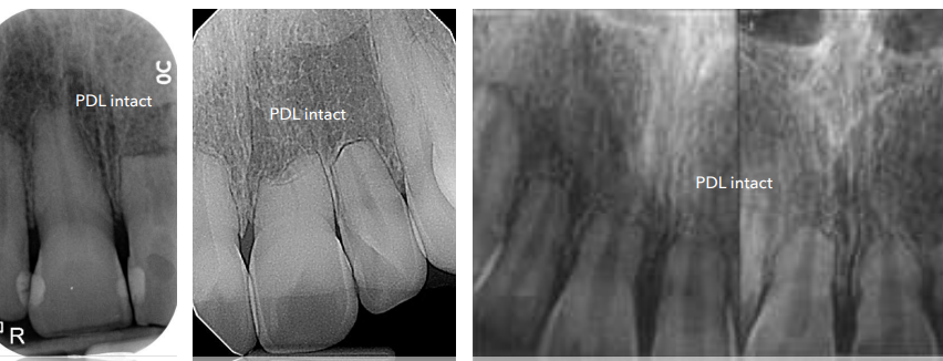
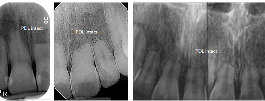
**PDL intact, no PA radiolucency **– no need for endo (used to preserve pulp, tx periradicular disease)

How well did you know this?
1
Not at all
2
3
4
5
Perfectly
14
Q

key feature of external surface resorption

A

PDL intact, no PA radiolucency

no need for endo

How well did you know this?
1
Not at all
2
3
4
5
Perfectly
15
Q

common aetiology for external surface resorption

A

Ortho

90% of teeth have some form ESR
* 2-5% severe ESR
* 15% moderate

Usually the teeth for anchorage are worst affected

How well did you know this?
1
Not at all
2
3
4
5
Perfectly
16
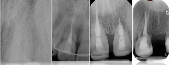
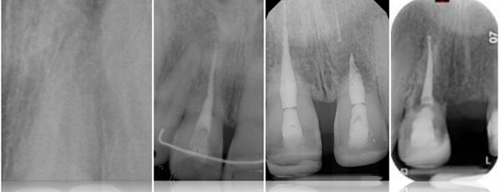
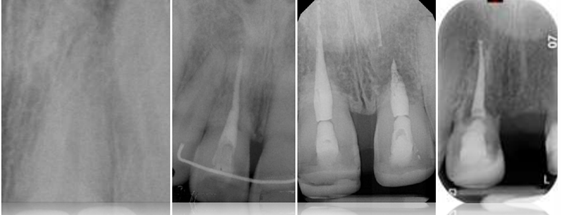
Q

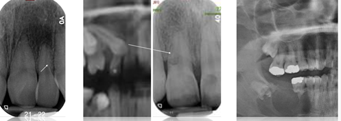
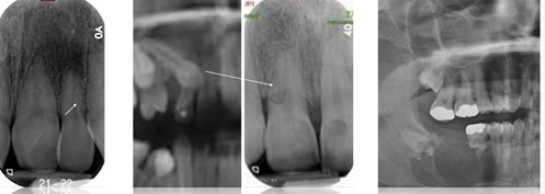
what has happened here

A

Trabecular pattern in area of resorption – healed, but still external surface resorption

Can be caused by
* Ectopic teeth – pressure from erupting tooth
* Pathological lesions - ameloblastomas
* idiopathic

17
Q

tx for external surface resorption

A

The PULP is HEALTHY - Endodontic treatment will NOT have any effect REMOVE the SOURCE to stop the resportion …..splint if mobile

Plan for failure of the teeth involved – monitor

18
Q

external inflammatory resorption
clinical findings
radiographic findings

A

Coronal integrity usually restored
Periodontal pocketing nil
Colour nil
Sinus possibly
Swelling possibly
Apical tenderness possibly
Tenderness to precision possibly
Mobility maybe increased depending on extent
Sensitivity negative as the pulp is necrotic

Necrotic pulp so INFLAMMATION going on around it

Persistent periapical radiolucency - apex nibbled away by chronic inflammation

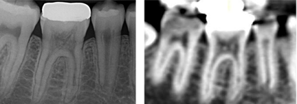
19
Q

common presenting factors for external inflammatory resorption

A

restoration encroaching on pulp PA and resorption mesial root, trauma

PA radiolucency, apex nibbled away, incisor has bad endo inflammation grown to overlap canine
* need to remove inflammation source to solve (endo canine wont solve alone)

20
Q

aetiology of external inflammatory resorption

A

The pulp is necrotic - bacterial or dental trauma in origin

The periapical inflammatory lesion precipitates the resorption process

In actual fact the majority (81%) of teeth with periapical lesions will have microscope areas of root resorption
* Only 7% of these are detectable radiographically

21
Q

manegemnt of external inflammatory resorption

A

REMOVE the CAUSE of the INFLAMMATION - Usually orthograde ENDODONTIC (re)TREATMENT possibly surgical endodontics or extraction

is there still have apical control – constriction
* may need to manufacture (peri radicular)

22
Q

external replacment resorption
clinicaly findings

A

Coronal integrity can be unrestored but infraoccluded
Periodontal pocketing nil possible erythematous
Colour nil
Sinus nil
Swelling nil
Apical tenderness nil
Tenderness to precision nil but high pitched notes
**Mobility no physiological mobility **
Sensitivity positive

Hear difference in TTP
**Pt still growing will get infraocclusion **

23
Q

external replacement resorption
radiographic findings

A

Radiographically
* Root is disappearing and getting filled in with bone
* Loss of PDL
* Trabecular pattern bone infil with root disappearing

24
Q

aetiology of external replacment resorption

A

Trauma – significant injuries to periodontium – avulsion or intrusion or lateral luxation

Bone (osteolcasts) is then in contact with external root dentine to begin resorption

25
tx for external replacment resorption if pt still growing
DECORONATION If infraocclusion is more than 1mm in a growing patient Remove crown to alveolar level and allow root to resorb * This preserves bone volume * Adjacent teeth and periodontium develop normally – prevent soft tissue defect * Tooth replacement with denture or RBB | if delayed decoronation - hard and soft tissue defects (asymmetry, tip)
26
tx for external replacment resorption in non growing pt
Endodontic intervention will NOT STOP the resorption Because of infraocclusion can add composite incisally * If need endo - Fill with CaOH and place in – will resorb with tooth and not get stick in bone like GP
27
external cervical resorption clinical findings
Coronal integrity can be unrestored Periodontal pocketing yes if extensive and **profuse BOP** Colour pink spot Sinus nil Swelling nil Apical tenderness nil Tenderness to precision nil Mobility normal or nil Sensitivity positive Classic findings – **subgingival cavity hard to probe, pink spot on crown, positive sensibility** – but large clinical variety | Last pic also replacement as infraocclusion
28
4 classical signs of external cervical resorption
profuse BOP subgingival cavity hard to probe, pink spot on crown, positive sensibility
29
external cervical resorption radiographic findings
Apple cores out from CEJ * Can still see tramlines of RCS – external * Beam shift – resorption detection moved, opposite direction – labial external defect LARGE incidence, LARGE variety CBCT good for pulp proximity
30
classification of external cervical resorption
Defined by 3 criteria’s Apico-coronal direction 1. crestal 2. coronal 1/3 3. middle 1/3 4. apical 1/3 Circumferential 1/4 1/2 3/4 More than 3/4 Last one is encroaching/communicate with pulp??
31
aetiology of external cervical resorption
LARGE incidence, LARGE variety * Orthodontics * Trauma - avulsion and luxation +historical non vital whitening when heat was applied * Wind instruments * Viral infection * Systemic disturbance - thyroid
32
important cellular level consideration for external cervical resorption
**Irregular front of resorption – imp for chemical and physical disinfection** * Predentine layer in tact – protecting the pulp itself, resorption around it
33
tx options for external cervical resorption
**Monitor – resorption will likely continue ** **Internal repair and orthograde endo** Proximal cannot access – need internal repair - Tx like perforation repair with elective endo tx * Microbursh NaOCl – bleeder, stranfs of resorption, cause coagulation necrosis? Need to get rid of them prior to restore to prevent resorption continue *(Cannot just lift out and ping out and place restoration)* * Flowable composite on perforation * Glass ionomer for cervical regions – not in occlusal loading place so strength ok, wet **Extraction and prosthetic replacement Or decoronate** Think about where it is and how to access – don’t want to destroy midline papilla by raising flap – decoronate instead
34
considerations for external cervical resorption | 4
* extent of lesion - is it restorable, is it accessible * proximity of pulp and crestal bone * debridement chemically and physically * how good is moisture control for restoration
35
considerations for internal inflammatory resorption | 6
* extent of lesion - is it restorable, is it perforated * has the pulp become completely necrotic * challneges - haemostasis, disinfection, obturation * adjuntive irrigation with active irrigation * intervisit medicament - nsCaOH paste * warm vertical caompaction or use MTA if perforated