alternatives to bridgework
no restoration
denture(s)
implant(s)
holistic tx planning
longevity of RBB
80% over 5-10years
longevity of cantilever bridge
80% over 5-10years
longevity of fixed-fixed over 5-10years
90%
collect information when gathering pt history in regards to bridge planning
occlusal information for bridgework planning

5 considerations for designing and planning bridges
evaluation of potential abutments when designing and planning bridges (8)

options for bridge design (3 main groups with subgroups)
Compare advantages and disadvantages of each design

5 points in bridge design planning

3 functions of pontic
restore appearance of missing tooth
stabilise occlusion
improve masticatory function
3 considerations for pontic design
cleansability
appearance
strength
cleansability in pontic design
appaerance for pontic design
anteriorly - as ‘tooth like’ as possible
posteriorly - may compromise
strength for pontic design
longer the span - greater the thickness required to withstand occlusal forces
4 surfaces of pontic
wash through pontic design
a.k. hygienic or sanitary
makes no contact with soft tissue
fucntional rather than for appearance
consider in lower molar area

dome shaped pontic design
a.k.a torpedo or bullet shaped
useful in lower incisor, premolar or upper molar areas
acceptable if occlusal 2/3 of buccal surface visible - poor aesthetics if gingival 1/3 of tooth visible

modified ridge lap pontic design
buccal surface looks as much like tooth as possible
lingual surface cut away
line contact with buccal of ridge
problems with food packing on lingual surface of ridge

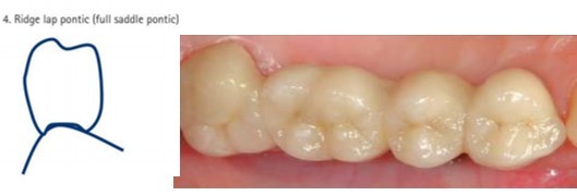
ridge lap/saddle pontic design
greatest contact with soft tissue
if designed carefully: can be cleansed
less food packing than ridge-lap
care taken not to displace soft tissue or cause blanching of tissue

ovate pontic design
good for OH good and want optimal aesthetics
presses on gingivae, makes divet so looks like natural tooth piercing out of ginivae
may place in essix retainer and use that to help make divet, add composite to press more and then move onto final bridge with ovate pontic
materials for conventional bridges
common place for all metal bridges
lower posterior area (gold)