Bronchiectasis Flashcards

(71 cards)

1
Q

Prevalence of bronchiectasis

A

1 in 200

How well did you know this?
1
Not at all
2
3
4
5
Perfectly
2
Q

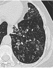
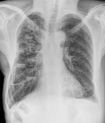
CXR features of bronchiectasis

A

Ring shadows
Tramlines

CXR limited sensitivity in bronchiectasis

How well did you know this?
1
Not at all
2
3
4
5
Perfectly
3
Q

What’s the imaging of choice bronchiectasis

A

HRCT

How well did you know this?
1
Not at all
2
3
4
5
Perfectly
4
Q

HRCT features of bronchiectasis
(4)

A

Bronchoartieral ratio >1

Lack of tapering

Airways visible within 1cm costal pleura, or touching mediastinal pleural

Bronchial wall thickening

How well did you know this?
1
Not at all
2
3
4
5
Perfectly
5
Q

What are the 3 shapes of bronchiectasis

A

Cyclindrical
Varicose
Cystic

How well did you know this?
1
Not at all
2
3
4
5
Perfectly
6
Q

Causes of bronchiectasis
(9)

A

COPD
Asthma
Alpha 1 anti tripsin deficiency
Rhinosinusitis
HITV/HTLV1
RA
CTDS (ank spond, Marfans, SS, SLE)
IBD
Past major resp infection (measles, whooping cough, penumonia, TB)

How well did you know this?
1
Not at all
2
3
4
5
Perfectly
7
Q

Inheritance of Primary Cilliary Dyskinesia

A

Autosomal recessive

How well did you know this?
1
Not at all
2
3
4
5
Perfectly
8
Q

Features of Primary Cilliary Dyskinesia
(5)

A

Chronic sino/pulmonary infections
Bronchiectasis
Male inferitility
Situs invertus
Recurrent otitis media

How well did you know this?
1
Not at all
2
3
4
5
Perfectly
9
Q

Diagnostic features if Primary Cilliary Dyskinesia
(3)

A

Microscopic visulation of cillia
Low FeNo <30
Middle/lower bronchiectasis

How well did you know this?
1
Not at all
2
3
4
5
Perfectly
10
Q

Kartageners Triad

A

Situs invertus

Bronchiectasis

Chronic Sinusitis

How well did you know this?
1
Not at all
2
3
4
5
Perfectly
11
Q

Young’s Syndrome Triad

A

Primary Azospermia

Chronic Rhinosinusitis

Bronchiectasis

How well did you know this?
1
Not at all
2
3
4
5
Perfectly
12
Q

What is Pink’s syndrome

A

Childhood mercury exposure causing bronchiectasis

How well did you know this?
1
Not at all
2
3
4
5
Perfectly
13
Q

Most common gentoype for Alpha 1 anti trypsin

A

PiZZ

How well did you know this?
1
Not at all
2
3
4
5
Perfectly
14
Q

Congential causes of tracheobronchomalacia

A

William Campbell syndrome (bronchomalacia)
Munir Kuhn (tracheobronchomegaly)
Lung sequestration

How well did you know this?
1
Not at all
2
3
4
5
Perfectly
15
Q

Baseline bloods, sputum for Bronchiectasis

A

Everyone - FBC, IgE, aspergillus IgE, serum immunoglobulins, pneumococcal antibodies, sputum in NTM

If picture suggestive
- test fo CF/PCD
-?RA do anti CCP, ANA, ANCA

If basal pan-acinar emphysema, test for A1AT

HIV screening

Bronch if localised disease

How well did you know this?
1
Not at all
2
3
4
5
Perfectly
16
Q

Bronchiectasis:
FACED Severity Scoring

A

F- FEV1
A - Age
C - Colonisation with pseudomonas
E - Extension (number of lobes)
D - Dyspnoea (MRC)

Score 0-7

Gives 5 year mortality
Only valid at time of diagnosis

How well did you know this?
1
Not at all
2
3
4
5
Perfectly
17
Q

Bronchiectasis:
Bronchiectasis Severity Scoring Index
(6)

A

Age
BMI
FEV1
Previous hospitalisations
Colonisation
Radiological Appearance

Gives 4 year risk of hospitalization and mortality

How well did you know this?
1
Not at all
2
3
4
5
Perfectly
18
Q

Bronchiectasis:

Physio airway clearance - Step 1

A

ACBT

Consider gravity assisted positioning or if contraindicated modified postural drainage

Review at 3 months

How well did you know this?
1
Not at all
2
3
4
5
Perfectly
19
Q

Bronchiectasis:

Physio airway clearance - Step 2

A

If ACBT not effective or pt not adhering

oscillating Positive Expiratory Pressures + Forced Expiration Technique

How well did you know this?
1
Not at all
2
3
4
5
Perfectly
20
Q

Bronchiectasis:

Physio airway clearance - Step up after positive pressure

A

Nebulised saline (hypo or isotonic) given pre-airway clearance

Airway Clearance:
- bronchodilator, then
- mucoactive tx, then
- airway clearance, then
- neb Abx or inhaled steroids if taking

How well did you know this?
1
Not at all
2
3
4
5
Perfectly
21
Q

How often should bronchiectasis patients do resp physio

A

BD

How well did you know this?
1
Not at all
2
3
4
5
Perfectly
22
Q

What effects does resp physio have in bronchiectasis patients

A

Increases sputum expectoration
Improves cough related health status
Improved QoL
Improves exercise capacity

How well did you know this?
1
Not at all
2
3
4
5
Perfectly
23
Q

How long should a resp physio session be in bronchiectasis

A

10-30 mins
ideally until 2 clear huffs or coughs have been completed

How well did you know this?
1
Not at all
2
3
4
5
Perfectly
24
Q

When should a resp physio follow up a bronchiectasis pt

A

3 months

How well did you know this?
1
Not at all
2
3
4
5
Perfectly
25
Are recombinant DNAases recommended in bronchiectasis
No Increased exacerbations
26
How long to give carbocisteine in bronchiectasis
3 month trial, stop if not beneficial
27
Which bronchiectasis patients should get prophylactic ABx
3 or more exacerbations a year
28
Which ABx to use for bronchiectasis patients who *are* colonised with P aeruginosa
1st line - nebulised colisitin 2nd line - nebulised gentamicin If nebs not tolerated/ lots of exacerbations despite nebs - PO azithro/erythro
29
Which ABx to use for bronchiectasis patients who are *not* colonised with P aeruginosa
1st line - PO axithro/erythro 2nd line - gentamicin nebs If intolerant/not working - doxy
30
Which bronchiectasis patients should you consider cyclical IV Abx for
5 or more exacerbations a year
31
Bronchiectasis: What to check before starting macrolides (azithro/erythro)
NTM negative in at least one culture Baseline ECG and LFTs Caution in hearing loss
32
Bronchiectasis: Which patient's shouldn't have gentamicin nebs
CrCl <30 Caution with hearing loss or other nephrotoxic use
33
How often should you review long terms Abx therapy in bronchiectasis patients
6 months
34
When to use bronchodilators in bronchiectasis and which
Consider LAMA/LABA if signficantly breathless
35
MRC Grading Breathlessness
MILD: 1 - breathless with strenuous exercise MODERATE: 2 - SOB when hurrying on flat or slight incline 3 - Walking slower than ppl same age on flat, or stopping for breath when on flat at own pace SEVERE: 4 - stops for breath after walking 100m 5 - too breathless to leave house or breathless when dressing
36
Bronchiectasis: Benefits pulmonary rehab
Increases exercise capacity Improves QOL Less frequent ex/longer time between exacerbations
37
Which bronchiectasis patients should be offered pulmonary rehab
Any breathlessness
38
When to consider surgery in bronchiectasis
Localized bronchiectasis not controlled by optimal therapy
39
When to consider lung transplant in bronchiectasis?
Age <60 FEV1 <30% with clinical instability or rapid decline despite max med tx
40
What features would suggest you need earlier referral for lung transplant in bronchiectasis?
Massive haemopytsis Severe secondary pulmonary hypertension
41
What vaccines are needed for bronchiectasis patients?
Yearly flu Single pneumococcal - 23 valent - if insufficient response then 13 valent
42
Bronchiectasis Guidelines: Step 1 (5)
Tx underlying cause ACBT/Pulmonary rehab Annual vaccines Prompt tx of ex w ABx Self management plan
43
Bronchiectasis Guidelines: Step 2
If 3 or more ex/per year or baseline bad sx despite step 1 - physio re-assessment and consider mucoactives
44
Bronchiectasis Guidelines: Step 3 (3)
If 3 or more ex, or baseline bad sx despite step 2 - if pseudomonas - long terms marcolide or inhaler - if other pathogen, long term macrolie or inhaled - if no pathogen, long term macrolides
45
Bronchiectasis Guidelines: Step 4
If 3 or more ex or baseline bad sx despite step 3 - long term inhaled ABx and long term macrolide
46
Bronchiectasis Guidelines: Step 5
If 5 or more ex or baseline bad sx despite step 4 - consider regular IV ABx every 2-3 months
47
Baseline Ix before starting macrolides
ECG - QTC >450 men or >470 women is contraindication - repeat 1/12 Sputum to exclude NTM LFTs - 0, 1, 6 months
48
How to start long term macrolides
ECG, sputum, LFTs Start at 250mg TDS, can be increased to 500mg TDS Minimum of 6 months Review and stop if no benefit Consider break particularly over summer
49
Bronchiectasis Pathogens
Most common - H influenzae P aurginose Moraxella Catarrhis S pneumoniae S aureus Enterbacteriacae NTM is 1-10%
50
Significance of pseudomonas aeruginosa in bronchiectasis
3x higher mortality Increased risk hospitalisation Worse health outcomes Worse radiological features Worse lung function
51
How to treat patients who've grown pseudomonas in sputum
1st line - 2 weeks cipro 500-750mg 2nd - 2/52 anti pseudomonal beta lactam (taz, mero), +- IV aminoglycoside, then 3 months nebs colistin/gent/tobra
52
ABx in Bronchiectasis: S pneumoniae
1st line - 14 days amox 2nd line - 14 days doxy
53
ABx in Bronchiectasis: H influenzae, beta lactamase -ve
1st line - 14 days amox 2nd line - 14 days doxy/cipro/cef
54
ABx in Bronchiectasis: H influenzae, beta lactamase +ve
1st line - 14 days co-amox 2nd line - 14 days doxy/cipro/cef
55
ABx in Bronchiectasis: M catarrhalis
1st line - 14 days co-amox 2nd line - 14 days clari/doxy/cipro
56
ABx in Bronchiectasis: Staph aureus
1st line - 14 days fluclox 2nd line - 14 days clari/doxy/co-amox
57
ABx in Bronchiectasis: MRSA PO tx
1st line - 14 days doxy/rifampacin/trimethoprim 2nd line - 14 days linezolid
58
ABx in Bronchiectasis: MRSA IV tx
1st line - 14 days vanc/teic 2nd line - 14 days linezolid
59
ABx in Bronchiectasis: Coliforms eg Klebsiella, enterobacter
1st line - 14 days cipro 2nd line - 14 days cef
60
Treatment for CVID/XLA
IvIg (no evidence that it prevents bronchiectasis)
61
What features would suggest GORD ax bronchiectasis
HH Persistant coliforms in sputum Unexplained exacerbations
62
What's the definition of chronic rhinosinusitis
>12 weeks of 2 or more sx
63
Sx of rhinosinusitis
Nasal dicharge/congestion/blockage/obstruction Anterior/post nasal drip Face pain/pressire Hyposmia/anosia
64
What to do if rhinosinusitis doesn't respond to trial of steroids and irrigation
Refer ENT
65
Rhinosinusitis features that suggest alternative diagnosis
Unliateral sx Bleeding Crusting Orbital sx Severe headache Front swelling Neuro sx All need urgent Ix
66
Biologics vs DMARDs in co-morbid bronchiectasis
DMARDs preferred Biologics may have higher risk infection
67
Bronchiectasis: How often should you repeat sputum culture/ex hx/MRC dyspnoea score/sats
At baseline then 6 monthly
68
Bronchiectasis: How often should you repeat BMI/spiro
yearly
69
What does central/upper lobe located bronchiectasis suggest
CF/ABPA
70
What does peripheral bronchiectasis suggest
Post infectious
71
What does localised bronchiectasis suggest
bronchial obstruction/atresia