ILD - IPF Flashcards

(20 cards)

1
Q

Genetics ax with IPF

A

50% have a single nucleotide polymorphism in MUSC5B glycoprotein gene

short telomere length also ax

How well did you know this?
1
Not at all
2
3
4
5
Perfectly
2
Q

Risk factors IPF

A

Smoking
Age

How well did you know this?
1
Not at all
2
3
4
5
Perfectly
3
Q

Diagnostic criteria IPF
(2)

A

Exclusion other causes eg CTD, exposure

AND one of:

UIP

or

specific HRCT or histopathology patterns subjected to lung tissue sampling

How well did you know this?
1
Not at all
2
3
4
5
Perfectly
4
Q

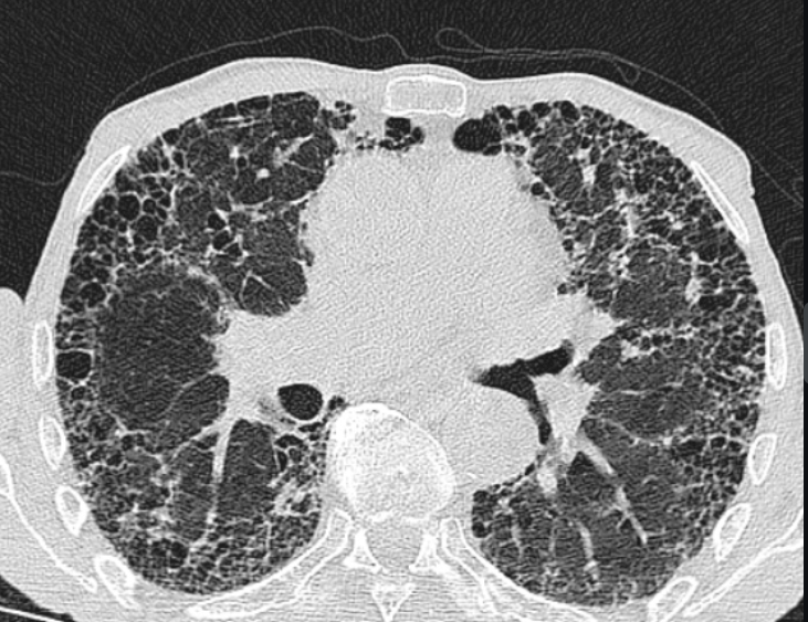
Features of Definite UIP

A

Subpleural and basal predominant

Heterogenous

Honeycombing

+- bronchiectasis

How well did you know this?
1
Not at all
2
3
4
5
Perfectly
5
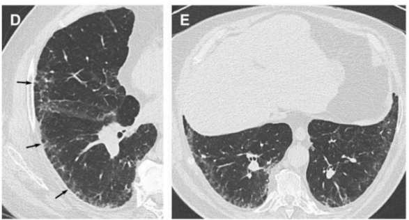
Q

Features of Probable UIP

A

Subpleural and basal predominant

Heterogenous

+- bronchiectasis

+- mild GGO

but no honeycombing

How well did you know this?
1
Not at all
2
3
4
5
Perfectly
6
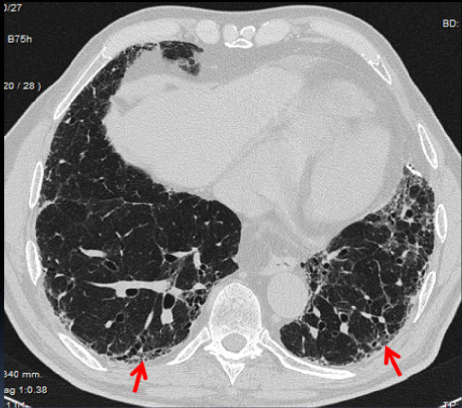
Q

Features intermediate UIP

A

Subpleural/basal predominant

Subtle reticulation

Mild GGO or distortion

features don’t suggest any specific aetiology

How well did you know this?
1
Not at all
2
3
4
5
Perfectly
7
Q

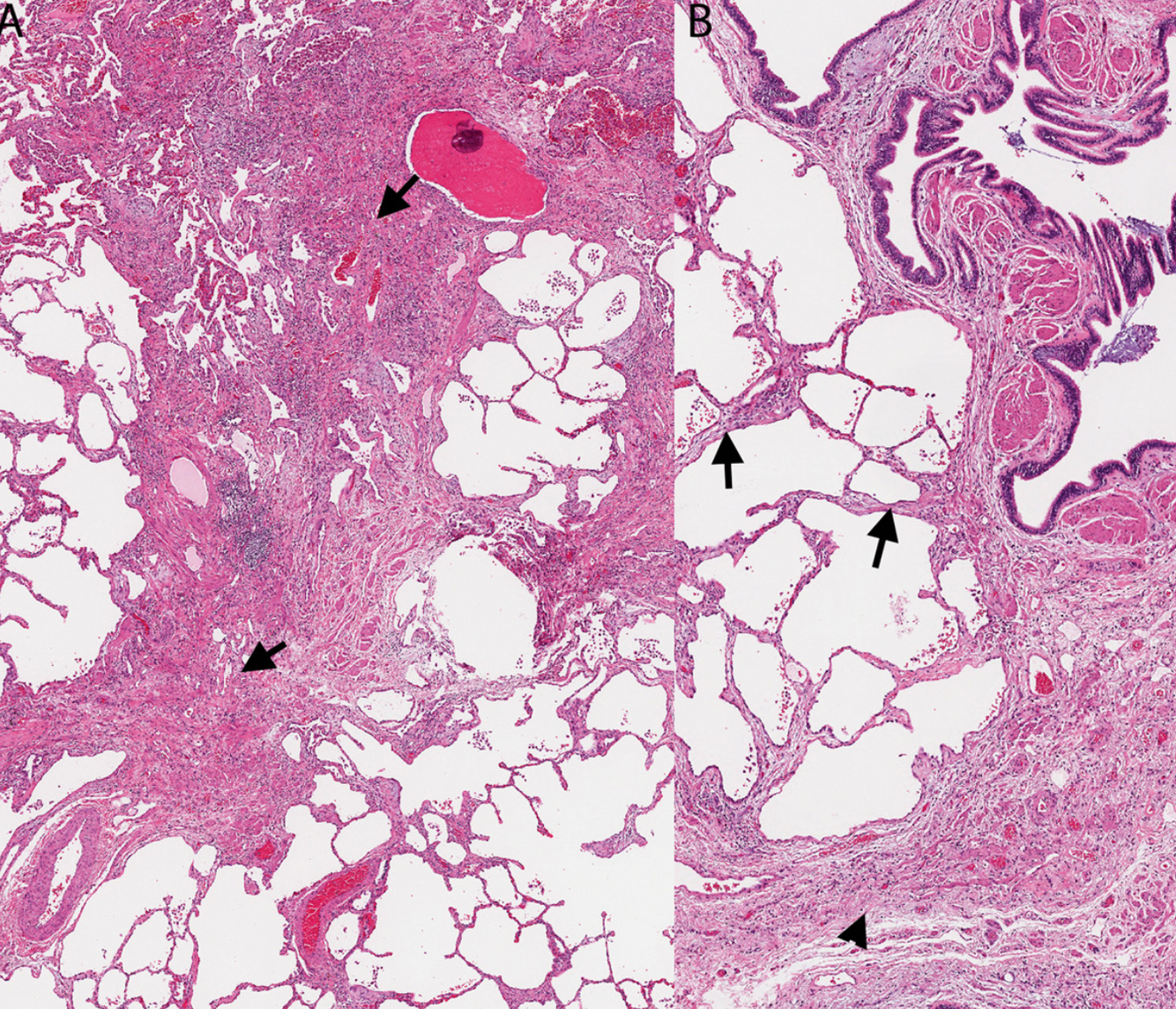
Histopathology findings UIP criteria

A
  1. Remodelling lung structure
  2. Often honeycomb
  3. Alternates with less affected areas of lung

typically subpleural and paraseptal

How well did you know this?
1
Not at all
2
3
4
5
Perfectly
8
Q

Histopathology findings UIP

A

patchy interstitial infiltrate lymphocyte and plasma cells
hyperplasia type 2 pneumocytes and bronchiolar epithelium
dense collagen
scattered convex subeptihelial foci
proliferating fibroblasts and myofibroblasts

microscopic honeycombing
cystic fibrotic airspace
mucous ad inflammatory cells

smooth muscle metaplasia

How well did you know this?
1
Not at all
2
3
4
5
Perfectly
9
Q
A
How well did you know this?
1
Not at all
2
3
4
5
Perfectly
10
Q

ILD

Bloods to exclude CTD

A

ANA
RF
Myositis panel
Anti-CCP

How well did you know this?
1
Not at all
2
3
4
5
Perfectly
11
Q

Why do BAL in ILD

A

Differential cell count

How well did you know this?
1
Not at all
2
3
4
5
Perfectly
12
Q

What’s the dosage nintedanib

A

150mg BD

How well did you know this?
1
Not at all
2
3
4
5
Perfectly
13
Q

MOA nintedanib

A

TKI

How well did you know this?
1
Not at all
2
3
4
5
Perfectly
14
Q

SE nintedanib

A

Diarrhoea
Bleeding

How well did you know this?
1
Not at all
2
3
4
5
Perfectly
15
Q

Cautions nintedanib

A

Bleeding risk
avoid anti-coag

How well did you know this?
1
Not at all
2
3
4
5
Perfectly
16
Q

MOA Perfenidone

A

Inhibition TGF-B and collagen

17
Q

Dose perfenidone

18
Q

SE Perfenidone

A

Nausea, photosensitivity

19
Q

Cautions perfenidone

A

Inhibition CYP-1A2 eg fluoroquinines increase levels

Inducers reduced levels eg smoking PPI

20
Q

Monitoring for nintedanib and perfenidone