ILD - General Flashcards

(222 cards)

1
Q

RA ILD

Tx that will address both

A

Steroids

Rituximab
MMF

How well did you know this?
1
Not at all
2
3
4
5
Perfectly
2
Q

RA ILD

Tx for lungs only

(ie joint haven’t presented yet but CCP +ve)

A

Cyclophosphamide
Azothiaprine

How well did you know this?
1
Not at all
2
3
4
5
Perfectly
3
Q

RA ILD

Tx joints alone

A

Hydrochloroquinine
Sulfasalazine

How well did you know this?
1
Not at all
2
3
4
5
Perfectly
4
Q

When does methotrexate pneumonitis occur

A

6-12

How well did you know this?
1
Not at all
2
3
4
5
Perfectly
5
Q

Is methotrexate for RA more likely to cause pneumonitis than for other conditions

A

Yes

How well did you know this?
1
Not at all
2
3
4
5
Perfectly
6
Q

Features of anti synthetase syndrome

A

Myositis
ILD
Joint pain and inflammation

ANTIBODY POSITIVE!!

How well did you know this?
1
Not at all
2
3
4
5
Perfectly
7
Q

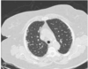
Consolidation GG
Subpleural
Wedge shaped
Centrilobular

Moves location

A

COP

How well did you know this?
1
Not at all
2
3
4
5
Perfectly
8
Q

What does lymphopaenia show in sarcoid

A

Disease activity

How well did you know this?
1
Not at all
2
3
4
5
Perfectly
9
Q

What % of non-IPF ILDs will progress

A

18-32%

How well did you know this?
1
Not at all
2
3
4
5
Perfectly
10
Q

What’s the definition of Progressive Pulmonary Fibrosis

A

2 of 3:

  1. worsening resp sx
  2. physiological evidence of progression
    - decline FVC 5% + predicted within 1 year FU
    - decline in DCLO 10%+ within 1 year FU
  3. Radiological evidence progression:
    - increased extent/severity bronchiectasis
    - new GGO with traction bronchiectasis
    - new fine reticulation
    - increased extent/coarseness of reticular abnormality
    - new/increased honeycombing
    - increased lobar volume loss
How well did you know this?
1
Not at all
2
3
4
5
Perfectly
11
Q

NSIP prognosis vs IPF prognosis

A

NSIP has better prognosis, more steroid responsive

How well did you know this?
1
Not at all
2
3
4
5
Perfectly
12
Q

Which age pts tend to get NSIP

A

40-50

How well did you know this?
1
Not at all
2
3
4
5
Perfectly
13
Q

Timescale of NSIP onset

A

0.5 - 3 years

How well did you know this?
1
Not at all
2
3
4
5
Perfectly
14
Q

Do NSIP pts get clubbing

A

Small amount yes

How well did you know this?
1
Not at all
2
3
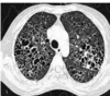
4
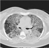
5
Perfectly
15
Q

HRCT Findings NSIP

A

GG, basal predominant
+- reticulation and traction bronchiectasis
Homogenus
No honeycombing
Subpleural sparing highly specific

How well did you know this?
1
Not at all
2
3
4
5
Perfectly
16
Q

PFTs in NSIP

A

restrictive
impaired gas transfer in 50%

How well did you know this?
1
Not at all
2
3
4
5
Perfectly
17
Q

BAL in NSIP

A

lymphocytosis

Lung biopsy often needed to confirm dx

How well did you know this?
1
Not at all
2
3
4
5
Perfectly
18
Q

NSIP histology 1,2,3

A

NSIP 1 - cellular
NSIP 2 - mixed
NSIP 3 - fibrotic

How well did you know this?
1
Not at all
2
3
4
5
Perfectly
19
Q

Steroid dose for NSIP

A

0.5mg/kg pred

azathioprine/MMF might be needed if not responsive/suitable for steroids

How well did you know this?
1
Not at all
2
3
4
5
Perfectly
20
Q

Which type of NSIP has better prognosis

A

cellular

How well did you know this?
1
Not at all
2
3
4
5
Perfectly
21
Q

5 year survival fibrotic NSIP

A

50%

How well did you know this?
1
Not at all
2
3
4
5
Perfectly
22
Q

What is Cryptogenic Organising Pneumonia

A

Disease of unknown cause
plugging of alveolar spaces with granulation tissue
can extend up to bronchioles

How well did you know this?
1
Not at all
2
3
4
5
Perfectly
23
Q

Which patients get COP

A

Non smokers
Around 55

How well did you know this?
1
Not at all
2
3
4
5
Perfectly
24
Q

Causes COP

A

Cryptogenic infection
Drug reaction/radio
CTD
Diffuse alveolar damage
IBD
Haem malignancy
Bone marrow transplant
Lung malignancy/airway obstruction
Pulmonary infarct

How well did you know this?
1
Not at all
2
3
4
5
Perfectly
25
Presentation COP
<3 month hx SOB, dry cough fever, malaise, weight loss, myalgia presents like slow to resolve chest infection some can have rapid resp failure
26
Which CTDs particularly cause COP
Myositis RA Sjorgens
27
Does COP cause clubbing
No
28
Bloods in COP
High CRP/ESR Neutrophilia
29
PFTs in COP
Mild/mod restrictive
30
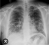
CXR in COP
Patchy consolidation nodular shadowing or solitary mass
31
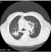
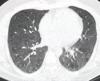
HRCT in COP
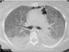
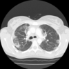
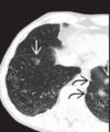
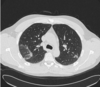
consolidation with GG/small nodules Basal/subpleural/peribronchial, can migrate spontaneously solitary mass (less common) septal thickening *reverse halo/Atoll sign, highly specific*
32
What is reverse halo/Atoll sign
focal GG with surrounding ring/crescent of consolidation
33
What is acute interstitial pneumonia
Rapidly progressive interstitial pneumonia with diffuse alveolar damage ie idiopathic ARDS
34
Who gets Acute Interstitial Pneumonia
Mean age 50 Previously fit and well
35
Presentation Acute Interstitial Pneumonia
Preceded by viral illness with systemic sx Rapid onset SOB <3 weeks Widespread crackles
36
CXR findings Acute Interstitial Pneumonia
Diffuse BL airspace shadowing Air bronchograms progressing to widespread reticulation with GG Often spares CP angles, heart borders, hila
37
HRCT findings Acute Interstitial Pneumonia
Bilateral diffuse GG Patchy consolidation Traction bronchiectasis Cystic change Reticulation
38
PFTs Acute Interstitial Pneumonia
restrictive reduced gas transfer
39
BAL in AIP
Increased total cell count, RBS, haemosiderin
40
Lung biopsy in AIP
Diffuse alveolar damage Hyaline membranes Edema Interstitial inflammation Organising fibrosis sometimes honeycombing
41
Are in treatments proven to be of benefit in AIP
No
42
Rx AIP
High dose steroids Abx if infection but none proven to have any benefit
43
Mortality AIP
50%
44
Long term prognosis AIP
mortality 50% survivors - stabilise - develop progressive ILD - experience recurrent exacerbations
45
What is respiratory bronchiolitis
Accumulation of pigmented macrophages in smokers, usually asymptomatic Can go on to develop RB-ILD
46
Who gets RB-ILD
smokers 30pk yr M>F 2:1 30-40s
47
CXR/HRCT findings RB-ILD
Thick walled airways/bronchi GG reticular changes nodules
48
BAL in RB-ILD
Pigmented alveolar macrophages
49
Histology RB-ILD
Accumulation of pigmented brown macrophages in terminal bronchioes patchy bronchiolocentric distribution
50
Management RB-ILD
Smoking cessation Unclear role of steroids
51
What is Desquamative Interstitial Pneumonia
ILD in smokers Abundant pigmented macrophages in alveolar airspaces ie like a more abundant RB-ILD very rare
52
Which patients get Desquamative Interstitial Pneumonia
Smokers or inhalation of inorganic dusts 30-50s
53
Features Desquamative Interstitial Pneumonia
SOB and cough weeks to months 50% have clubbing
54
CXR/HRCT Desquamative Interstitial Pneumonia
GG lower/peripheral predominance mild reticulation/honeycombing
55
BAL/histology in Desquamative Interstitial Pneumonia
increased pigmented macrophages
56
Tx Desquamative Interstitial Pneumonia
Steroids Smoking cessation
57
Prognosis Desquamative Interstitial Pneumonia
Good 70% survival at 10 years Fluctuating course, can relapse
58
Definition of Familial Pulmonary Fibrosis
At least 2 family members (1st or 2nd degree) get ILD or sporadic with specific mutations identified most commonly IPF Usually autosomal dominant
59
Prognosis familial vs sporadic ILD
FPF worse prognosis Younger pts with more rapid progression
60
Factors that should raise suspicion FPF
ILD in family member <18 at onset Younger age onset each generation Extrapulmonary features - bone marrow (can rarely get MDS or leukaemia) - macrocytosis - cirrhosis or portal HTN - premature hair greying
61
Mean age of ILD diagnosis in telomere disease
58
62
Survival from diagnosis FPF
2-7 years
63
Surfactant metabolism STFPC TFPC STFPA ABCA 3 Telomere maintenance TERT TERC PARN RTEL1 NAF1 DKC1 TINF2 ZCCHC8 NOP10
FPF gene mutations
64
Surfactant variants FPF ILD
adults and children lungs only need close surveillance as can transform to lung adenocarcinoma
65
Telometre shortening FPFs
multi system skin pigmentation, oral leukoplakia, nail dystrophy Liver disease Grey hair Bone marrow Malignancy Progressive with poor prognosis
66
Rx FPF
Anti fibrotics and lung transplants have comparable outcomes Poor response immunosuppressants Caution with post transplant immunosuppression, can increase risk renal/haem complications Screening and avoid exposure/other risks
67
Who gets LCH
20-40 smokers slightly more in men
68
What % LCH is confined to lungs
50%
69
Histo for LCH
Monocloncal pulmonary infiltration of Langerhans cells Birbeck granules
70
Birbeck granules on microscopy
LCH
71
Pathophysiology LCH
Granuloma bronchiolar walls, enlarge and invade structures Nodule --> cavity --> cyst
72
Mutation in LCH
MAPK BRAF-V600E
73
Children vs adults LCH systemic or not
children systemically usually lungs only in adults bone/skin/pituitary involvement 5-15% adults
74
Features LCH
SOB, cough, systemic sx PTX in 10% 25% asymptomatic
75
CXR/HRCT findings LCH
diffuse centrilobar nodules thin and thick walled cysts, some bizzarely shaped interspersed with normal lung upper mid zone predominant sparing CP angles
76
PFTs in LCH
variable reduced gas transfer hypoxia
77
BAL in LCH
increased CD1a cells pigmented macrophages
78
Further IX LCH
PET-CT for extra pulmonary disease Echo - PHTN If unclear radiology, for lung biopsy
79
Ax systemic disease in LCH
DI Skin Lytic bone lesions Cardiac/GI Lymphoma Lung cancer
80
Rx LCH
Smoking cessation - sometime resolves disease - partial regression/stabilisation in 50% Can use steroids but limited evidence If progression after stopping steroids, can try cladribine Transplant, but can recur
81
Prognosis LCH
Resp failure of PHTN in 10% at 10 years 17x higher risk lung ca
82
What is lymphangiomyomatosis (LAM)
Abnormal proliferation of smooth muscle in women childbearing age, hormone dependent
83
What are the 2 forms of LAM
Sporadic S-LAM Or part of tuberous sclerosis
84
Features tuberous Sclerosis
LD Subungual fibromas Seizures Facial angiofibromas Shagreen patch
85
Inheritance Tuberous Sclerosis
Autosomal dominant or sporadic
86
What % tuberous sclerosis get lung disease
40% usually women
87
Clinical features LAM
PTX SOB, cough Haemoptysis Chylothorax Abdo pain/bleeding
88
Abdo features tuberous sclerosis
Renal angiomyolipoma in 50%, can cause discomfort/bleeding Abdo lymphadenopathy Pelvic lymphangioleiomyoma Chylous ascites
89
PFTS in LAM
Normal/obstructive Reduce TLCO
90
CXR/HRCT in LAM
CXR - can be normal, hyperinflation, septal lines, reticular shadowing HRCT - sub centimetre thin wall cyst varying size, normal parenchyma
91
Bloods that support LAM diagnosis
VEGF-D >800
92
Rx LAM
Bronchodilators Avoid estrogens Contraception (avoid estrogen containing pills or HRT)- pregnancy can accelerate lung disease or PTX MTOR inhibitor sirolimus (rapamycin) Lung transplant
93
Prognosis LAM
Variable Progresses v slowly to resp failure 70% 10 year survival
94
What is lymphoid interstitial pneumonia
Diffuse lymphoid infiltrates and lymphoid hyperplasia Can transform to lymphoma
95
Causes LIP
CTS (Sjorgens 25%, RA, SLE) HIV CVID PCP Hep B Autoimmune (Hashimotos, pernicious anaemia, CAH, PBC, MG) Phenytoin
96
Presentation LIP
SOB Cough Fever weight loss Crackles
97
Bloods in LIP
Mild anaemia Mono/polyclonal increase in immunoglobulins
98
CXR/HRCT findings LIP
CXR - lower zone shadowing/honeycombing HRCT - GG, reticulation, cysts along septa/bronchovascular bundles/pleura, can have vessels in walls of cyst
99
BAL in LIP
non-clonal lymphocytosis >30%
100
Features in LIP that would be concerning for lymphoma
hypogammaglobulinaemia MGUS larger nodules pleural effusions
101
Tx LIP
Steroids +- steroid sparing agents Abx prophylaxis Refractory disease consider cyclophosphamide or rituximab
102
Prognosis LIP
Fibrosis 1/3
103
What is Birt Hogg Dube
Mutation in folliculin gene causing - skin changes early adulthood - lung cysts,PTX 70-80% - renal cancer (oncocytoma) 15-30% loss of folliculin tumour suppressor also less commonly: colon ca, melanoma, parotid/thyroid/parathyroid tumours
104
HRCT in BHD syndrome
scant lens/ovoid shaped cysts in mid-lower zone often near mediastinal border
105
Diagnostic criteria BHD syndrome
1 major criteria - 5 adult onset fibrofolliculomas - pathogenic FLCN germline mutation 2 minor: - typical lung cysts w/o other cause multifocal/BL renal cancer before age 50 - renal cancer with mixed chromophobe and oncocytic histo - 1st degree relative with BHD
106
Birt Hogg Dube Inheritance
Autosomal dominant
107
Birt Hogg Dube Rx
Early surgical Rx PTX Genetic counselling and annual screening renal tumours Biannual lung function Annual renal MRI
108
Neurofibromatosis type 1 and lung disease (inheritance, prevalence, presentation)
Auto dom Lung involvement 10-20% Smoking increased severity PTX, resp failure, PHTN
109
Light Chain Deposition Disease (cause, how to diagnose, tx)
Monoclonal Immunoglobulin deposition secondary to lymphoproliferative disease affects kidneys, heart, liver lung involvement rare Lung biopsy for dx progressive disease, need to tx underlying haem disorder
110
Cystic pulmonary amyloidosis
ax Sjorgens, MALT lymphoma small nodular calcification often asympatomatic incidental finding
111
Small airway disease-related cystic lung disease
Chronic cellular or constrictive bronciolitis smoking, Sjorgens, HP, sickle cell
112
What are pneumoconioses
disorders caused by inhalation of dusts, mainly mineral/organic, causing inflammation in alveoli
113
Materials that cause pneumoconioses
Coal dust (esp hard coal) Silica Asbestos Berilium Iron oide Barium sulphate Tin oxide Aluminium
114
What disease can Coal dust cause
Simple pneumoconiosis Progressive massive fibrosis Caplans syndrome
115
What diseases can Silica cause
Silicosis Caplans syndrome
116
What disease can abestos cause
Asbestosis benign asbestos related pleural disease Mesothelioma Lung cancer
117
What diseases does Berylium cause
Acute berylilosis Berylium granulomatosis
118
What jobs are exposed to berylium
electrics Mining Nuclear/aerospace
119
What jobs are exposed to iron oxide
Welding
120
What disease does iron oxide cause
Siderosis
121
What disease does barium sulphate cause and where do you find it
Baritosis Mining
122
What disease does tin oxide cause and where do you find it
Stannosis Mining
123
What disease does aluminium cause and where do you find it
Silicosis mining, fireworks, painting, arms manufacturing
124
Pathophysiology of simple coal workers pneumoconiosis
Coal dust engulfed by macrophage forms black stellate lesion (coal macule) cytokine release and inflammation leading to fibroblast activity
125
Pathophysiology of Progressive Massive Fibrosis in coal workers pneumoconiosis
Aggregation of fibrotic nodules form larger lesions extending from lung parenchyma to chest wall
126
Presentation simple coal pneumoconiosis
Usually asymptomatic No clinical signs and relatively benign Upper and mid zones and tend to stop once they've left work
127
Presentation coal pneumoconiosis PMF
Productive cough with black sputum SOB Cor pulmonale Absence of resp signs Continue to progress and enlarge even after exposure has ended
128
Nodule size cute off for coal simple pneumoconisis vs PMF
up to 1cm simple >1cm PMF
129
What size are the dust microns that cause pneumoconiosis
< 5 microns
130
HCRT/CXR in coal pneumoconiosis/PMF
simple disease = nodules <1cm upper lobe predominant PMF >1CM with irregular borders and parenchymal disorder
131
Rx coal pneumoconiosis
Manage exposure Miners have CXR every 4 years No increased risk cancer Are entitled to industrial injuries benefits from British Coal
132
What is Caplan syndrome
Miners with seropositive RA or RF +ve can develop well defined large pulmonary nodules on bg simple pneumoconiosis Can be multiple and can cavitate Not malignant
133
What is Silicosis
Chronic nodular density fibrosis pneumoconiosis causes by prolonged inhalation silica can continue after exposure ended
134
Timescale silicosis
Lag time of decades between exposure and disease Insidious and progressive Larger radiological capacities that CWP with faster progression
135
Acute silicosis
Intense exposure eg sandblasting, apparent within months to year with rapid deterioration 1-2 years CXR shows patchy bilateral airspace opacification, irregular fibrosis with lipoproteinaceous material in alveolar spaces
136
CXR/HRCT in sicilosis
Upper and midzone nodules 3-5m diameter Nodules coalesce and calcify Eggshell calcification lymph nodes Can progress to PMF, small risk increased malignancy PFTs show slow decline with reduced TLCO and restrictive deficit
137
Chronic silicosis
Lower dust concentration 10-30 years after 1st exposure few upper/midzone nodules which calcify over time
138
Relevance of Silica exposure + TB
Silica exposure increases risk of TB reactivation
139
Rx silicosis
Reduce exposure Bronchodilators, oxygen, lung transplant Disability benefit from DWP
140
Acute berylliosis
Acute aveolitis due to direct inhalation of fumes Widespread pulmonary edema, usually fatal Steroids can help but often permanent lung impairment
141
Subacute/chronic berylliosis
Delayed hypersensitivity reaction due to prolonged exposure Can look identical to sarcoidosis T cell response causes granulomas in lungs and skin Genetic predisposition with HLA-DPB1
142
Clinical features berylliosis
Dry cough SOB Fever Malaise Night sweats Macular skin lesions Hepatosplenomegaly
143
HRCT/CXR findings beryliosis
CXR - fine reticulonodular appearance, progresses to upper lobe fibrosis HRCT - micronodular change, GGO, honeycombing
144
BAL in beryliosis
raised T cells
145
Histopathology in beryliosis
Non caseating granulomas which can be indistinguishable from sarcoid
146
PFTs beryliosis
restrictive with reduced DCLO
147
Rx beryliosis
Steroids
148
Prognosis beryliosis
Usually progressive Ca cause PTX, hypercalaemia
149
What is Pulmonary Alveolar Proteinosis
Accumlation of surfactant within alveolar macrophages and terminal airspaces Impedes gas transfer Variable clinical course from spontaneous resolution to resp failure
150
Who gets Pulmonary Alveolar Proteinosis
Middle aged men +-smokers M>F 4:1
151
Presentation Pulmonary Alveolar Proteinosis
Can be asymptomatic Cough SOB Crackles Clubbing 1/5 Opportunistic infections
152
Which opportunistic infections do Pulmonary Alveolar Proteinosis get
Nocardia Mycobacteria Cryptococcus
153
What are the 4 types of PAP and which is most common
Autoimmune 90-95% Secondary 5-10% Congenital <1% Unclassified <1%
154
Mechanism of autoimmune PAP
Disruption of GM-CSF by prescence of neutralising auto antibodies GM-CSF antibody +Ve
155
Mechanism of secondary PAP
due to: MDS Immunodeficiency Infection Drugs Dust inhalation
156
Mechanism congential PAP
Mutation in gene making surfactant
157
Definition Unclassified PAP
Doesn't fit into other categories and GM-CSF antibody negative
158
PFTs in PAP
Often normal Can show reduced gas transfer
159
HRCT in PAP
Characteristic crazy paving
160
Diagnostic triad PAP
Crazing paving HRCT Milky appearance BAL fluid elevated serum GMAb
161
Histology: Alveolar spaces filled with lipoproteinaceous, eosinophilic, periodic Acid Schiff +ve material and foamy macrophages
PAP
162
Rx PAP
Whole lung lavage under GA with 100% O2 and one lung ventilation can take up to 40L No role for steroids Can lung transplant but can recur
163
Prognosis PAP
1/3 spontaneously resolves 1/3 stable 1/3 progress
164
How to BAL in ILD
Site based on HRCT 100-300ml into wedged bronchopulmonary segment >30% instilled volume should be lavaged for accurate sample optimal volume is 10-20ml
165
Normal BAL differential cell counts Alveolar macrophages Lymphocytes Neutrophils Eosinophils Squamous cells
Alveolar macrophages >85% Lymphocytes 10-15% Neutrophils <3% Eosinophils <1% Squamous cells <5%
166
Causes of a lymphocytic BAL
Sarcoid NSIP HP Drug induced pneumonitis Collagen vascular disease Radiation pneumonitis COPD Lymphoproliferative disorder
167
Causes of an eosinophilic BAL
Eosinophilic pneumonoa Drug induced pneumonitis Bone marrow transplant Asthma/ Bronchitis Churg Strauss ABPA Infection Hodgkins
168
Causes neutrophilic BAL
Collagen vascular disease IPF Aspiration pneumonia Infection Bronchitis Asbestosis ARDS DAD
169
What does a BAL lymphocyte count >25% suggest
Granulomatous disease (sarcoid, HP, Berylium), Drug reaction LIP COP Lymphoma
170
What does a BAL lymphocyte count >50% suggest
HP Cellular NSIP
171
What does a BAL neutrophil count >50% suggest
Acute lung injury Aspiration pneumoni Suppurative infection
172
What is BAL eosinophil count >25% suggestive of
Eosinophilic pneumonia
173
What is BAL >1% mast calls, 50% lymphocytes, >3% neutrophils suggestive of
HP
174
What's the most common form asbestosis
Chrysotile (white) Curly
175
Which are the most carcinogenic forms of asbestosis
Straight blue crocidolite and brown amposite
176
Which form of asbestos is more fibrotic
Amphibole brown
177
Risk factors asbestos lung disease
Smoking - worse progression and severity Dose dependent ie years of heavy exposure
178
Presentation asbestosis
SOB Dry cough Clubbing 40%
179
HRCT findings asbestosis
Basal GG Parenchymal bands Interlobular septal thickening Fibrosis Pleural plaques
180
Role of histology in asbestosis
Rarely required but is gold standard graded on extent of fibrosis
181
Are you eligible for asbestos compensated if self employed
No
182
When and how can you claim from government asbestosis
In life or up to 12 months after death BI100PNA form
183
How can you claim for asbestosis via civil courts
Via employers insurer even if they've gone out of business Must be within 3 years of first knowledge of disease
184
What proportion of ILD do drugs account for
3-5% Also causes ARDS, Alveolar haemorrhage, eosinophilic pneumonia, and organising pneumonia (30%) others around 10%
185
Common drugs causing ILD
Chemo Amiodarone Methotrexate mTOR Nitro Antibiotics TNF-alpha TKI MABs
186
When does amiodarone pulmonary toxicity tend to occur
Usually in older pts using for >6 months accumulates in type 2 pneumocytes
187
Risk factors for developing amiodarone pulmonary toxicity (4)
Treatment >2 months Age >60 dose >400mg OD Lung disease/surgery
188
What types of lung disease can amiodarone cause
chronic interstitial pneumonia OP AIP ARDS Lung nodule/mass
189
Foamy macrophages that contain intra-cytoplasmic osmiophilic lamellar bodies
Amiodarone Can be with or without lung toxicity
190
HRCT in amiodarone toxicity
BL asymmetrical hyperdense consolidation high densite in liver, heart
191
Treatment amiodarone pulmonary toxicity
amiodarone withdrawal +- steroids
192
Immune checkpoint pneumonitis (mabs) when does it occur
<5% between 2-24 after initiating OP/NSIP/HP/AIP/bronchiolitis
193
Is immune checkpoint pneumonitis more common in combination therapy
Yes, 3x more likely
194
When does nitro related lung disease occur
Acute hypersensitivity in 1-2 weeks or chronic reaction after months to years Can cause OP, HP, NSIP, UIP, effusion
195
How often does methotrexate lung disease occur
5%
196
Risk factors for methotrexate lung disease
Hypoalbuminaemia Diabetes RA Daily dosing Age >60
197
Most common HRCT pattern methotrexate lung disease
NSIP
198
How to treat methotrexate lung disease
Stop methotrexate +-steroids
199
Presentation radiation pneumonitis
Often asymptomatic, can cause chronic rep failures
200
When does radiation pneumonitis tend to occur
6-12 weeks after tx Usually after lung XRT, but also breast or haem mediastinal Chemo increases risk
201
HRCT findings radiation pneumonitis
straight margins on CT (but not if SBAR) diffuse alveolar damage or vascular intimal fibrosis
202
Tx radiotherapy pneumonitis
Steroids 1mg/kg/day but limited evidence
203
Timeline of radiotherapy pneumonitis progressing to fibrosis
6-12 months can progress up to 2 years
204
What is radiation induced organising pneumonia
Migratory patchy consolidation which extends beyond field, usually breast XRT needs prolonged steroid course
205
What is radiation recall pneumonitis
Rare reaction in previously irradiated lung tissue after trigger events eg chemo, immunomodulators
206
Mosaicism more pronounced on expiration
207
GG nodules
208
GG and organising pneumonia peripheral bands Nitro lung toxicity
209
thin walled irregular cysts and effusion LAM
210
What pattern Sjorgens + GG + nodules + cysts
Lymphoid interstitial pneumonia
211
What score can you use to predict mortality in IPF
GAP
212
What are the parameters for GAP score IPF, and what does it show
Mortality Gender Age FVC DCLO
213
Which ILD pattern: Patchy GG thickened bronchvascular bundles Reticular opacities Traction bronchiectasi
NSIP
214
Which ILD pattern: Linear opacities Cystic changes
DIP
215
Which ILD pattern: Basal subpleural distribution Peripheral bronchiectasis/bronchiolectasis
Probable UIP
216
Low DCLO with preserved TLC = obstructive defect
CPEF
217
What is Heerfordt-Waldenstrom syndrome
Rare subtype sarcoid Fever Parotid gland enlargement Facial nerve palsy Uveitis
218
Most common tracheobronchial manifestation GPA
Subglottic stenosis
219
Extra pulmonary features of Langerhans
CNS - DI - headache - seizures Bone - bone cysts Haem - anaemia - thrombocytopanis Skin - papules - ulcers Lymphadenopathy
220
Are pleural plaques compensatable
No
221
Tx for LAM
mTOR eg sirolimus
222