ILD - HP Flashcards

(16 cards)

1
Q

What type of hypersensitivity reaction is HP

A

3 or 4

How well did you know this?
1
Not at all
2
3
4
5
Perfectly
2
Q

What HP organism is ax with Malt

A

Aspergillus clavatus

How well did you know this?
1
Not at all
2
3
4
5
Perfectly
3
Q

Where is trichosporon cutaneum found

A

Dust

How well did you know this?
1
Not at all
2
3
4
5
Perfectly
4
Q

Timeline for acute HP

A

4-8 hours after exposure

Sx can settle in 1-3 days after withdrawal from exposure

How well did you know this?
1
Not at all
2
3
4
5
Perfectly
5
Q

Do you get clubbing HP

A

Rarely

How well did you know this?
1
Not at all
2
3
4
5
Perfectly
6
Q

CXR findings Acute HP

A

Diffuse small 1-3mm nodules or infiltrates
GG
Apical sparing

Normal in 20%

How well did you know this?
1
Not at all
2
3
4
5
Perfectly
7
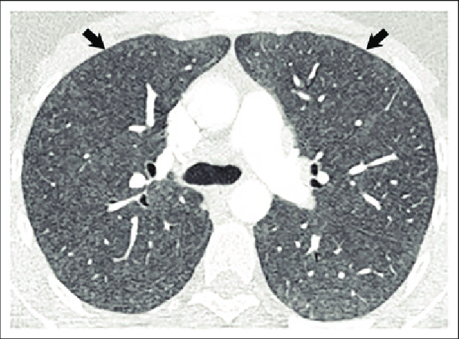
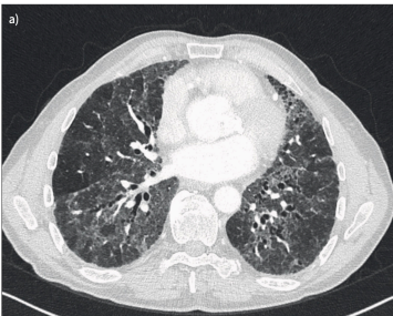
Q

HRCT findings HP

A

patchy or diffuse lucency
mosaic attenuation

quickly normalises after antigen withdrawal

How well did you know this?
1
Not at all
2
3
4
5
Perfectly
8
Q

CXR findings Chronic HP

A

Upper and mid zone reticulation

Reduced lung volumes

How well did you know this?
1
Not at all
2
3
4
5
Perfectly
9
Q

HRCT findings chronic HP

A

Diffuse centrilobular nodules
GG
Mosaic attenuation
+- honeycombing, traction bronchiectasis

How well did you know this?
1
Not at all
2
3
4
5
Perfectly
10
Q

PFT findings in HP

A

Restrictive or normal

How well did you know this?
1
Not at all
2
3
4
5
Perfectly
11
Q

Neutrophils in HP

A

High

How well did you know this?
1
Not at all
2
3
4
5
Perfectly
12
Q

BAL findings in HP

A

lymphocytosis

> 30% lymphocytes

How well did you know this?
1
Not at all
2
3
4
5
Perfectly
13
Q

Lung biopsy findings in HP

A

bronchiocentric granulomatous lymphocytic pneumonitis

How well did you know this?
1
Not at all
2
3
4
5
Perfectly
14
Q

What to do if unclear HP diagnosis post MDT

A

transbronchial cryobiopsy or surgical biopsy - if not fibrotic HP

How well did you know this?
1
Not at all
2
3
4
5
Perfectly
15
Q

Factors ax with increased mortality in HP

A

Old smoking men
Genetic predisposition
Unable to identify antigen
Low FVC, DCLO
Decline in FVC
Lower BAL lymphcytosis
Presence or extent of fibrosis HRCT
UIP
Fibrotic NSIP on histo

How well did you know this?
1
Not at all
2
3
4
5
Perfectly