What can endocardiosis of the mitral valve lead to?
A. Volume overload of LV
B. Pressure overload of LV
A
What is congestive heart failure?
Clinical term referring to cardiac decompensation - the metabolic demands of the body are no longer met due to abnormal cardiac function.
How do you determine CHF?
Have to look away from the heart - heart lesions are not enough to establish failure as compensation may be maintaining function
What is happening here? What can we call this if we cannot determine the cause?

Eccentric ventricular hypertrophy (bilateral); can call it dilated cardiomyopathy
What are common causes of left-sided heart failure?
Valve disease, myocardial hypertrophy/cardiomyopathy, systemic hypertension, congenital anomalies (i.e. VSD), myocarditis, neoplasm
What is endocardiosis and what are some characteristics?
NOT inflammatory!
Degenerative condition of the valve;
Small tiny bumps on free edge of valve leaflets, idiopathic, common in middle aged to older dogs, more common in AV valves (esp. bicuspid) than semilunar, can lead to eccentric hypertrophy, jet lesions may occur
What is this?

Endocardiosis
What is the most common cause of CHF in dogs?
endocardiosis
What is happening here?
Valvular endocarditis - pure exudate (fibrin, neutrophils, granulation tissue)
What is valvular endocarditis prone to?
thrombosis
What are the effects of left heart failure on the lungs and why?
Congestion and edema (blood backs up into pulmonary circulation, raises hydrostatic pressure)
What are the effects of left sided heart failure on the kidneys?
Decreased perfusion –> decreased GFR –> stimulation of renin-angiotensin –> increased aldosterone –> retained salt and water, increased BP due to vasoconstriction
What is the main symptom of left sided heart failure?
pulmonary edema and coughing
What are the effects of left sided heart failure on the brain?
Hypoxia, mental confusion
What is happening here?
Pulmonary edema with widened interlobular septa
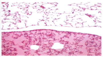
What organ is this, which one is normal, and what is happening in the abnormal one?
Lung; top is normal; bottom has pulmonary edema - protein-rich fluid filling alveoli and congested alveolar septa
What are some common causes of right sided heart failure?
Increased pulmonary resistance, valvular disease, hydro/hemopericardium, pericarditis, heartworm disease, myocardial hypertrophy/cardiomyopathy, congenital defects, myocarditis, infiltrative neoplasm
What is cor pulmonale?
Pulmonary hypertension leading to right heart failure
What will happen systemically if there is right heart failure?
Systemic venous congestion
What are symptoms of systemic venous congestion?
Peripheral edema, ascites, hydrothorax, hydropericardium, hepatic and splenic congestion
Provide a morphological diagnosis. What side of the heart is involved?

Skin: subcutaneous edema, severe, focal, chronic
Right sided heart failure
Provide a morphological diagnosis. What side of the heart is involved?

Abdomen: hydroperitoneum (ascites), diffuse, chronic, severe
Right sided heart failure
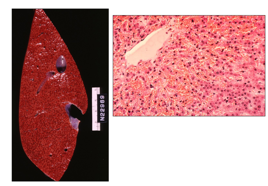
What is happening here? What side of the heart is involved? Provide a morphological diagnosis.
Passive congestion of the liver
Liver: congestion, diffuse, acute, severe
Right sided heart failure
Of the following lesions, which would you expect to see with chronic left sided heart failure vs. right sided?
A. Ascites (hydroperitoneum)
B. Pulmonary edema
C. Cerebral hypoxia
D. SQ edema
E. Hepatic congestion
F. Decreased perfusion of the kidneys
A = Right
B = Left
C = Left
D = Right
E = Right
F = Left