Derm #1 Flashcards

(69 cards)

1
Q

What is the largest organ of the body?

A

the integument

How well did you know this?
1
Not at all
2
3
4
5
Perfectly
2
Q

How does the integument serve as a barrier?

A

Bt animal and environment

How well did you know this?
1
Not at all
2
3
4
5
Perfectly
3
Q

What are the sensory components of the integument?

A

cold, heat, pain, pressure

How well did you know this?
1
Not at all
2
3
4
5
Perfectly
4
Q

T/F: The integument has only haired portions

A

FALSE; it has both haired and non-haired portions

How well did you know this?
1
Not at all
2
3
4
5
Perfectly
5
Q

What happens to anatomic features of the integument in different body regions?

A

they vary

How well did you know this?
1
Not at all
2
3
4
5
Perfectly
6
Q

What are the 3 defense mechanisms of the integument?

A
  1. Physical 2. Immunological 3. Regeneration and repair
How well did you know this?
1
Not at all
2
3
4
5
Perfectly
7
Q

What are the physical defense mechanisms of the integument?

A

hair coat, epithelium, stratum corneum

How well did you know this?
1
Not at all
2
3
4
5
Perfectly
8
Q

What are the immunological defense mechanisms of the integument?

A

Innate and adaptive

How well did you know this?
1
Not at all
2
3
4
5
Perfectly
9
Q

What are the innate immunological defenses?

A

Macrophage/dendritic cells, blood flow (coagulation, complement, leukocytes), lipid mediators

How well did you know this?
1
Not at all
2
3
4
5
Perfectly
10
Q

What are the adaptive immunological defenses?

A

Cell mediated and humoral

How well did you know this?
1
Not at all
2
3
4
5
Perfectly
11
Q

What are the regeneration and repair defense mechanisms of the integument?

A

Restitution of epithelium (wounds, fibroplasia, angiogenesis)

How well did you know this?
1
Not at all
2
3
4
5
Perfectly
12
Q

What are the 3 main layers of the integument?

A

epidermis, dermis, subcutis/panniculus

How well did you know this?
1
Not at all
2
3
4
5
Perfectly
13
Q

What is the epidermis made up of?

A

stratified squamous epithelium

How well did you know this?
1
Not at all
2
3
4
5
Perfectly
14
Q

What is the dermis made up of?

A

a lot of collagen

How well did you know this?
1
Not at all
2
3
4
5
Perfectly
15
Q

What is the subcutis/panniculus made up of?

A

mostly fat

How well did you know this?
1
Not at all
2
3
4
5
Perfectly
16
Q

Where can sebaceous and apocrine glands be found?

A

In the dermis

How well did you know this?
1
Not at all
2
3
4
5
Perfectly
17
Q

Where can hair follicles be found?

A

In the dermis

How well did you know this?
1
Not at all
2
3
4
5
Perfectly
18
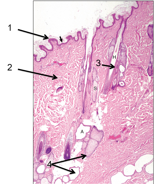
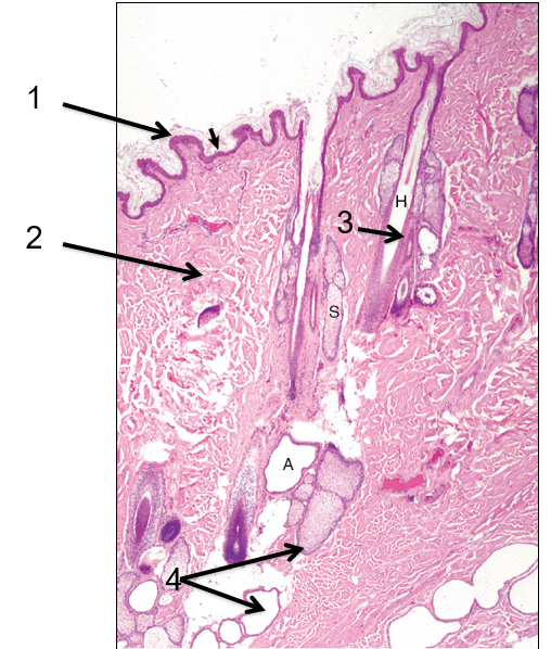
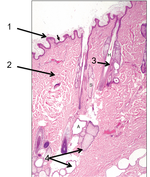
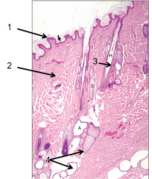
Q

Identify #1

A

epidermis

How well did you know this?
1
Not at all
2
3
4
5
Perfectly
19
Q

Identify #2

A

Dermis

How well did you know this?
1
Not at all
2
3
4
5
Perfectly
20
Q

Identify #3

A

Hair follicle

How well did you know this?
1
Not at all
2
3
4
5
Perfectly
21
Q

Identify #4

A

Apocrine and sebaceous glands

How well did you know this?
1
Not at all
2
3
4
5
Perfectly
22
Q

What is the general appearance of sebaceous glands on histology?

A

“foamy”

How well did you know this?
1
Not at all
2
3
4
5
Perfectly
23
Q

What is the general appearance of apocrine glands on histology?

A

coiled and tubular

How well did you know this?
1
Not at all
2
3
4
5
Perfectly
24
Q

What is this entire structure?

A

Normal skin, dog

How well did you know this?
1
Not at all
2
3
4
5
Perfectly
25
ID the blue layer
Statum corneum
26
ID the yellow layer
Stratum granulosum
27
ID the green layer
Stratum spinosum
28
ID the red layer
Stratum basale
29
ID the white layer
Dermis
30
ID the orange layer
basement membrane
31
What is the stratum basale made up of and what do they give rise to?
Made up of replicating epithelial cells (regenerative); give rise to daughter cells that migrate to the spinosum layer
32
What structure of the skin is not usually easily seen on histology?
basement membrane
33
What are some exogenous factors that influence the skin?
Nutritional, microbial, chemical, physical, parasitic, actinic, allergic
34
What are some endogenous facors that influence the skin?
Immunologic, congenital, hereditary, hormonal, emotional, metabolic, age, internal disease
35
What is erythema?
Reddening of the skin
36
What is a macule?
Circumscribed, flat discoloration of the skin UP TO 1 cm
37
What are causes of macules?
Hemorrhage, hyperemia, or increase/decrease in pigmentation
38
What are patches?
Similar to macules but are over 2 cm in size
39
What is purpura?
macule caused by hemorrhage
40
What is a papule?
Solid circumscribed elevation of the skin UP TO 1 cm in diameter
41
What are plaques?
Similar to papules, but larger and flat-topped elevations formed by coalescing papules.
42
If a papule or plaque is red, it is considered \_\_\_\_\_. If a papule or plaque is yellow or brown, it is considered \_\_\_\_\_.
acute; chronic
43
What is a nodule?
Circumscribed elevation, usually greater than 1 cm in diameter, solid, and rooted in the dermis or subcutis.
44
What does this pig have?
erythema (hyperemia and hemorrhages in the skin)
45
What does this dog have?
Macules (pigmented), alopecia - flat, hyperpigmented, chronic
46
What is happening here?
Papules, with pustules (fluid-filled \<1 cm)
47
What is happening with this horse and what would be your differentials?
Nodules; Hyperplasia, Abscess, Neoplasia, Granuloma
48
What are wheals and what is another name for this?
AKA urticaria/hives; Circumscribed, white to pink, mesa-like elevations produced by edema in the dermis. They may coalesce to form plaques and are transient.
49
What is a cause for wheals and what is it typical of?
Caused by change in vascular permeability, typical of acute allergic response
50
What is a vesicle and what is it AKA?
Small (\<0.5-1 cm), circumscribed elevation of epidermis caused by a pocket filled with clear serum in or immediately beneath the epidermis; AKA hives
51
What are blebs/bullae?
Similar to vesicles/blisters only larger.
52
What are some causes of vesicles/blisters?
Viruses, chemicals, burns, autoimmune disease
53
What is a pustule?
Superficial abscess; vesicle that contains neutrophils and serum.
54
What is a pustule caused by?
Caused by the same things causing vesicles plus bacteria.
55
What are scales and when are they seen?
Bran-like flakes of imperfectly cornified superficial epidermis; seen focally in chronic dermatitis.
56
What is happening in this horse? Is this acute or chronic?
Wheals; acute
57
What are crusts?
Scabs made of dried accumulations of serum, blood, pus, epithelial, and bacterial debris.
58
What is an ulcer?
Loss of epidermis to and into the dermis
59
What is change in pigmentation related to?
Melanin in the epidermis
60
What is happening here? What is a common disease that causes this? Is it acute or chronic?
Ulcers; Discoid lupus; chronic
61
What is this and what is it also an example of?
Ulcer; example of proud flesh - exuberant granulation tissue
62
What is this and what would be your differentials based on gross appearance?
Nodule; Hyperplasia, Abscess, Neoplasia, Granuloma
63
What is lichenification and where is it common?
Irregular skin thickening (acanthosis and hyperkeratosis) with crisscross cracks and hyperpigmentation. CHRONIC; common at axilla, inguinal region, belly
64
What is a verruca?
Elevated, rough, warty lesion
65
What is a scar?
Fibrous tissue replacing normal tissue injured by disease or injury. In skin these are often alopecic and depigmented.
66
What is this an example of?
Lichenification; chronic
67
What is this an example of? What is a possible cause?
Verruca; papillomavirus
68
What is this an example of? Is it acute or chronic?
Lichenification; CHRONIC
69
What are the 2 changes seen here, and are they acute or chronic?
Ulcer and scar; chronic