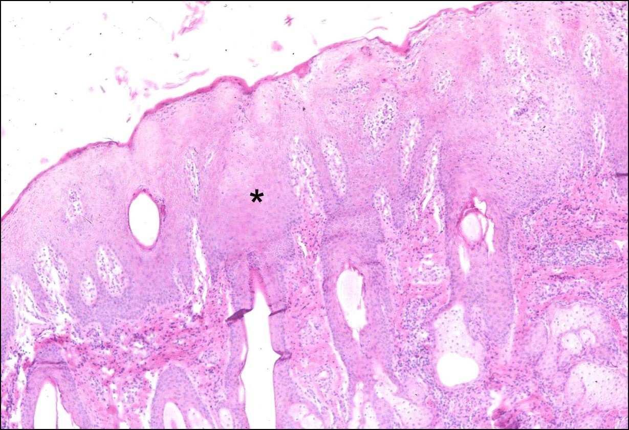
What is acanthosis, what can be seen with it, and what is it a common response to?
Thickening due to hyperplasia of the epidermis, especially in the stratum spinosum;
Down growth and enlargement of rete pegs is seen;
Common response to chronic irritation
What is hyperkeratosis, is it acute or chronic, and what is its distribution?
Excessive thickness or hyperplasia of the stratum corneum;
Seen in mild, chronic irritation;
Can be focal (callus) or generalized
What is focal hyperkeratosis called?
callus
What is orthokeratosis?
Hyperkeratosis of normally appearing keratin layers
What is parakeratosis?
Retention of cell nuclei within the keratin
What change is seen here and is it acute or chronic?

Acanthosis, chronic
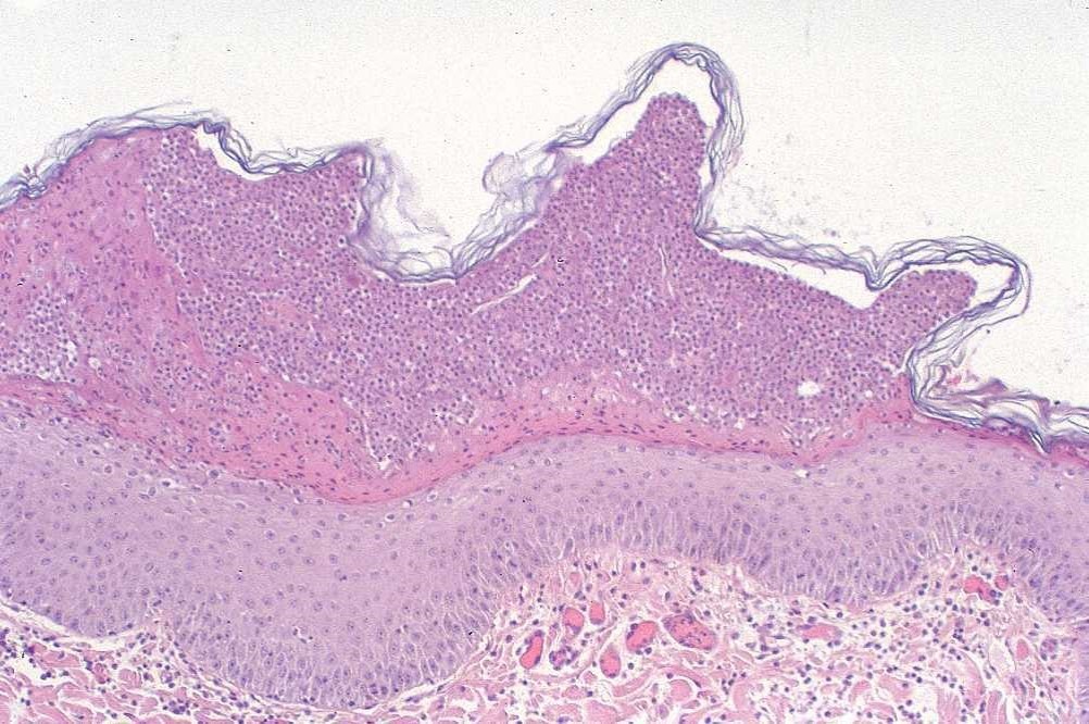
What change is seen here?

Pustule - sub-cornual (sits beneath stratum corneum)
If only this is present then the change is very acute
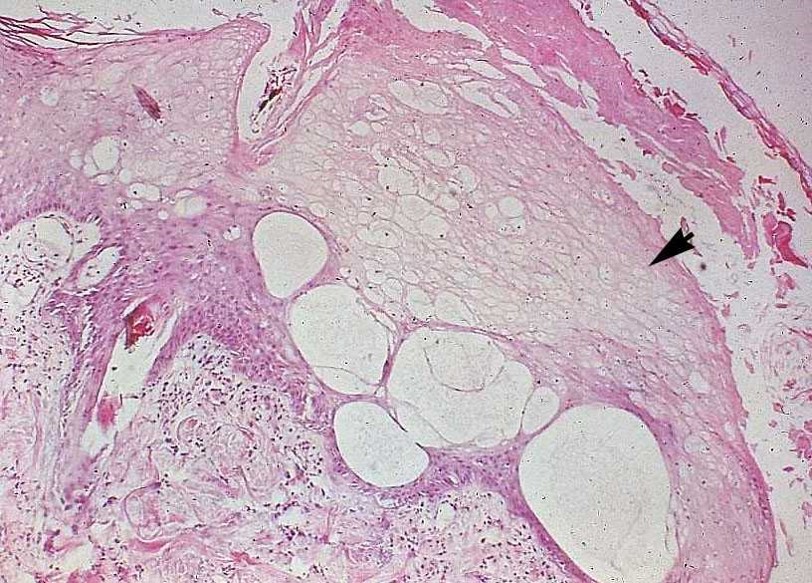
What is indicated by the arrow? The star? Is this change acute or chronic?
orthokeratotic hyperkeratosis (arrow);
There is so much keratin present that it has started to plug up the hair follicle (star);
Change is chronic
What is acantholysis and what can it be caused by?
Loss of cohesion bt epidermal cells due to degeneration of desmosomes; caused by autoimmune disease (EX: Pemphigus)
What is spongiosis and what does it lead to?
Intercellular edema in the epidermis; leads to vesicle formation
What is ballooning degeneration and what can it lead to formation of?
Intracellular edema or hydropic degeneration of epidermal cells; areas so affected often coalesce to form vesicles
When is ballooning degeneration commonly seen?
In pox diseases of skin
What is seen here demarcated by the black arrow? Red arrows?

Ballooning degeneration (black arrow);
Skin pale and swollen, filled with water, starts to swell and eventually forms large vesicles (red arrows)
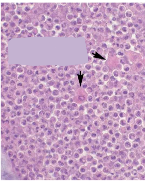
What are the arrow heads pointing to?
acantholytic keratinocytes
What is the arrow head pointing to?

acantholytic keratinocyte
What occurs during Pemphigus foliaceus?
Acantholysis occurs in the subcorneal epidermis, resulting in release of freefloating keratinocytes in subcorneal vesicles and pustules
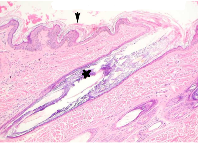
What is change 1?
hyperkeratosis
What is change 2?
Acanthosis
What is happening in this horse and what is likely the cause?
Pustules; some have opened around the eyes and formed crusts; likely caused by Pemphigus foliaceus
What is happening here?

Juvenile pyoderma (face swells, animal gets febrile)
What are characteristics of dermatitis?
Localized or generalized, primary or secondary, usually dermis and epidermis involved, location of inflammation - response to injury (patterns)
Why should you look for patterns in dermatitis?
To group diseases that cause a particular pattern and to form differentials based on those patterns
What are selected patterns of dermatitis?
Perivascular and vascular, follicular, epidermal hyperplasia, interface, pustular, and nodular
How can you characterize perivascular inflammation?
Around blood vessels in the dermis, very common, can be caused by allergy