What changes do you see here?

Chronic dermatitis with alopecia
What changes do you see here? Acute or chronic?

Acute moist dermatitis (hot spot) - usually due to a flea bite hypersensitivity
Where are superficial pyodermas located?
epidermis and stratum corneum
Where are deep pyodermas located?
Get down in the hair follicles
What are 2 bacteria that play a role in bacterial granulomatous dermatitis and how do they invade?
Nocardia, Actinomyces;
Often come in through bites and foreign bodies
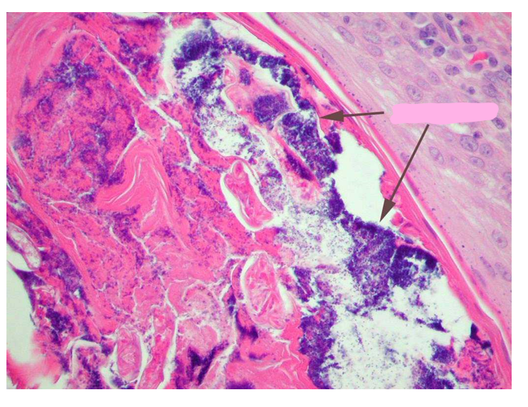
What changes are seen here?
Folliculitis with staph (black arrows) and deep pyoderma; this is a hair follicle that is inflamed and contains numerous staphylococci
What is rain rot caused by?
Dermatophilus congolensis
What changes are seen here and what is the common name for this?

Laminated crusts and hyperkeratosis; AKA rain rot
What is another name for foot rot?
Papillomatous digital dermatitis
What is papillomatous digital dermatitis?
Painful disease of feet in cattle that involves multiple bacteria; occurs at interdigital space of plantar surface of hind feet when they are in a wet, dirty environment for a prolonged period.
What bacteria are involved in foot rot?
Treponemes
What dermal change does a fot with foot rot undergo?
Severe epidermal hyperplasia - chronic stage wart-like growths
What change is seen here and what species is this common in?
foot rot, cattle
What happens at A?
Ballooning degeneration
What happens at B?
Reticular degeneration and inclusion bodies
What happens at C?
Macule
What happens at D?
Papule
What happens at E?
Vesicle
What happens at F?
Pustule
What happens at G?
Hyperplasia and old pustule
What happens at H?
Hyperplasia and crust
What are some common viruses that cause dermatitis?
Pox, canine distemper, herpesvirus, papillomavirus
What changes are happening here? Describe the change for the chicken
Pox viruses; Proliferative (papular) and ulcertaive dermatitis
What is happening here and what caused it?

Hyperkeratosis of the foot pads caused by distemper virus - AKA hard pad disease