Cell Junctions Flashcards

(17 cards)

1
Q

What is a homophilic cell junction interaction?

What is a heterophilic cell junction interaction?

A

Homophilic - Proteins that are binding between 2 cells are from the same family

Heterophilic - Proteins that are binding between 2 cells are from different families

How well did you know this?
1
Not at all
2
3
4
5
Perfectly
2
Q

What are the functions of cell adhesions to one another?

A
  • Cell - cell and cell - ECM adhesion
  • Linkage w/ cytoskeleton
  • Regulation of cytoskeleton
  • Signaling to the cell and response to environment
How well did you know this?
1
Not at all
2
3
4
5
Perfectly
3
Q

What is another name for tight junctions?

For Adherens junctions?

For Desmosomes?

A

Zonula Occludens

Zonula Adherens

Macula Adherens

How well did you know this?
1
Not at all
2
3
4
5
Perfectly
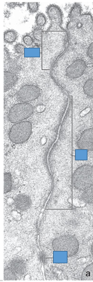
4
Q

What are the structures shown in this image?

A

Zonula occludens <–> Tight junctions

Zonula Adherens <–> Adherens junctions

Macula Adherens <–> Desmosome

How well did you know this?
1
Not at all
2
3
4
5
Perfectly
5
Q

Tight Junctions (Zonula Occludens)

  • What is its purpose?
  • Where do these tend to be located?
  • What are the 2 major proteins involved in forming the junction?
  • What part of the cytoskeleton does it interact with?
A
  • Forms close contact between the membranes of two cells and seals off intercellular space
  • Typically located close to lumen, but not always
  • Occuludin and Claudin
  • Actin
How well did you know this?
1
Not at all
2
3
4
5
Perfectly
6
Q

Explain what is depicted in this figure.

A
  • Occludin and Claudin form several transmembrane loops back and forth through the membrane that associate with their complements on the opposite cell.
  • ZO proteins bind to c-terminal tails of occludin and claudin and act as anchoring spot for actin cytoskeleton
How well did you know this?
1
Not at all
2
3
4
5
Perfectly
7
Q

What is the function of claudin?

A

To allow the leakage of water and/or ions. The amount of leakage can be altered by changing the type of claudin and amount of claudin in tight junctions.

How well did you know this?
1
Not at all
2
3
4
5
Perfectly
8
Q

Adherent Junction (Zonula Adherens)

  • What is the name of the proteins that interact between adjacent cells and what molecule do they bind?
  • What part of the cytoskeleton do these junctions bind to and where?
  • How is the cytoskeleton arranged around these junctions?
A
  • Cadherins, they bind Ca2+
  • Actin cytoskeleton, intracellularly
  • In a belt like structure with fibers parallel to membrane
How well did you know this?
1
Not at all
2
3
4
5
Perfectly
9
Q

On the hair cells of the cochlea, there are specialized cadherins that join the tip of one hair cell to the tip of another adjacent hair cell. What do these cadherins do? What happens if this cadherin junction is missing?

A

Physically connect the 2 hair cells so that when 1 moves the other also moves –> propogation of movement depolarizes hair cells. If link is missing, deafness can result.

How well did you know this?
1
Not at all
2
3
4
5
Perfectly
10
Q

Desmosome (Macula Adherens)

  • What is the function of the desmosome?
  • What part of the cytoskeleton do these junctions interact with?
A
  • Anchor the cells together and mediate cell/cell interactions
  • Intermediate filaments, intracellular
How well did you know this?
1
Not at all
2
3
4
5
Perfectly
11
Q

Label this image.

A
How well did you know this?
1
Not at all
2
3
4
5
Perfectly
12
Q

This image is an example of what cell junction structure?

A

Focal Adhesions

How well did you know this?
1
Not at all
2
3
4
5
Perfectly
13
Q

Focal Adhesions

  • What protein are they made of?
  • What is the function of focal adhesions?
  • Where are integrins located? What do they bind to on the inside of the cell?
A
  • Integrins that form heterodimers
  • Link the cell to the ECM
  • Located on outside of cell, bind to actin cytoskeleton on inside of cell
    *
How well did you know this?
1
Not at all
2
3
4
5
Perfectly
14
Q

Hemidesmosomes

  • What is their purpose?
  • How are they involved in signaling?
A
  • Attach cell to basal lamina
  • Cell spreading (sensing presence/absence of neighbor cells), cell proliferation, and basement membrane organization
How well did you know this?
1
Not at all
2
3
4
5
Perfectly
15
Q

Gap Junctions

  • What is their function?
  • Discuss the distribution of connexons in the body
A
  • Allow for passage of small peptides, signaling molecules, ions from one cell to next and allow metabolic and electrical coupling
  • All cells except muscles, RBCs, and mature sperm have connexons
How well did you know this?
1
Not at all
2
3
4
5
Perfectly
16
Q

Label these structures.

17
Q

Label this image and discuss its relevance.

A

The distribution of these types of connexon combinations varies in different cell types and defines the functional character of the gap junction