What are the histologic findings of a seborrheic keratosis that is “irritated”? (2)
Seborrheic keratoses may have what common genetic mutations? (2)
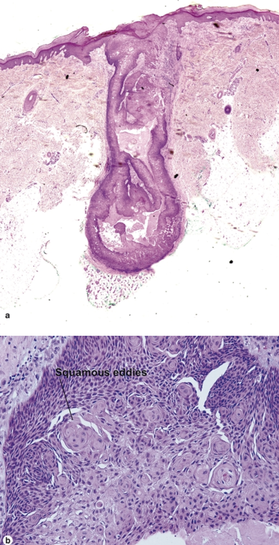
What are the histologic findings of a warty dyskeratoma? (at least 3)
Seborrheic keratoses are acanthomas of keratinocytes that are about the size of normal keratinocytes at what location?
Acrosyringeal keratinocytes (i.e., cells that compose the intraepidermal portion of the eccrine duct)
Keratinocytes of seborrheic keratoses are typically SMALLER than normal keratinocytes. If the cells are larger, then it is termed a large cell acanthoma.
What are histologic features of a clear cell acanthoma? (3)
What else would be on the differential?
What may develop if HPV infects an eccrine duct or hair follicle?
What are the two types of cyst that can have a “shark tooth cuticle”?
What is the other name for a steatocystoma?
Simple sebaceous duct cyst
What diagnoses feature acantholytic dyskeratosis?
What is an important histologic finding in a branchial cleft cyst?
Lymphoid aggregates
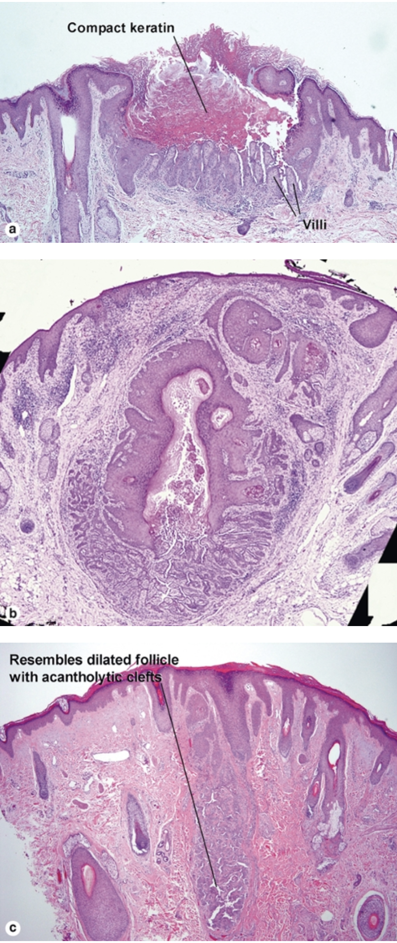
What are two histologic findings of a verrucous cyst/cystic papilloma?
Coarse hypergranulosis and round parakeratosis
Stratum corneum with cookie cutter holes
What are the histologic findings of a median raphe cyst? (3)
What is the common location?
What is the analogue in women, and where does this occur?
True or false:
Other skin cancers, such as Bowen disease or melanoma, can arise from a seborrheic keratosis.
True
What are histologic findings of a pilar cyst?
What are findings of a dermoid cyst?
What is the most common location for a dermoid cyst?
What are the histologic findings of porokeratosis ptychotropica? (2)
What can an inverted follicular keratosis be likened to, according to Elston?
What are the histologic findings of an epidermolytic acanthoma?
Where are 90% of these located?
What are the histologic findings of inflammatory linear verrucous epidermal nevus (ILVEN)?
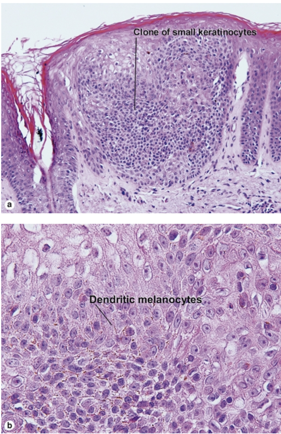
What are the features of a melanoacanthoma?

What are the features of a clear cell acanthoma (pale cell acanthoma)?

What are the features of a large cell acanthoma?

What are the features of inverted follicular keratosis (IFK)?

What are the features of a warty dyskeratoma?

