What syndrome is fibrofolliculoma associated with?
Birt-Hogge-Dube syndrome
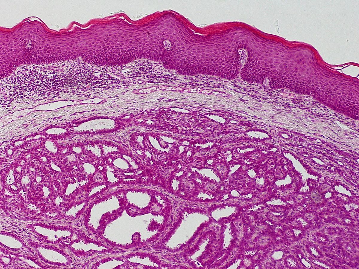
What are the derm path buzzwords for trichofolliculoma?
At scan, if you see a red lobular tumor with ducts, what it is likely to be?
An acrospiroma

At scan, if you see a blue lobular tumor with ducts, what it is likely to be?
What syndrome is Muir-Torre syndrome a subtype of?
What is it due to?
What markers do you look for specifically? (at least 2)
Lynch syndrome
Due to microsatellite instability
Lumpy bumpy face (sebaceous adenomas, aggressive keratoacanthomas)
MSH-2 (more important) and MSH-6 (less important) are dimers
MLH-1 (more important) and PMS (less important) are dimers
What is the oral chemotherapy form of 5-fluorouracil?
Capecitabine
Can be used in patients with aggressive keratoacanthomas associated with Muir-Torre syndrome
What stains can be used to stain sebocytes? (3)
Most things that are superficial in the dermis and look like a BCC but have clearly pilar stroma (i.e., concentric fibrous/fibroblast-rich stroma with papillary mesenchymal bodies and without tumor-stroma retraction spaces) are what, according to Elston?
The well-differentiated, superficial subtype of trichoblastoma, which are deeper soft tissue tumors
What is the special term for when something may look like a trichoepithelioma composed of 1-2 layers of basaloid cells with a conspicuous lymphohistiocytic infiltrate at the center?
What syndromes are associated with multiple trichoepitheliomas? (2)
What are the histologic findings of a dilated pore of Winer versus a pilar sheath acanthoma?
How may a proliferating pilar cyst and a pilomatricoma be similar?
What are the features of a trichilemmoma?
What syndrome is this associated with?
What are the histologic findings of a pilomatricoma?
Multiple pilomatricomas are associated with what disease?
What is a nevus sebaceus associated with?
What is the likely diagnosis for red “donuts or sometimes paired as eyeglasses” in the dermis?
What is the name of a tumor that differentiates toward every part of the hair follicle?