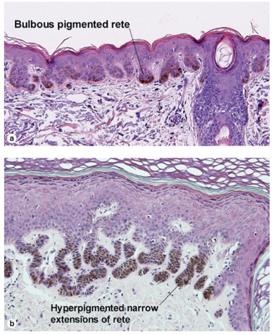
What are the features of a solar lentigo?
Thin rete with bulbous tips “dipped in chocolate”
Note that reticulated SKs look similar have anastomosis of the rete ridges and horn cysts

What are the features of a melanotic macule?
Where are they found?

What is meant by maturation of melanocytes in a benign melanocytic nevus?
What should be ABSENT at the deep component of the lesion?
In benign nevi, where are the junctional nests typically located? What about in a melanoma?
How can HMB-45 and MIB-1 be used to discern between a benign nevus and melanoma?
What are the features of a balloon cell nevus?

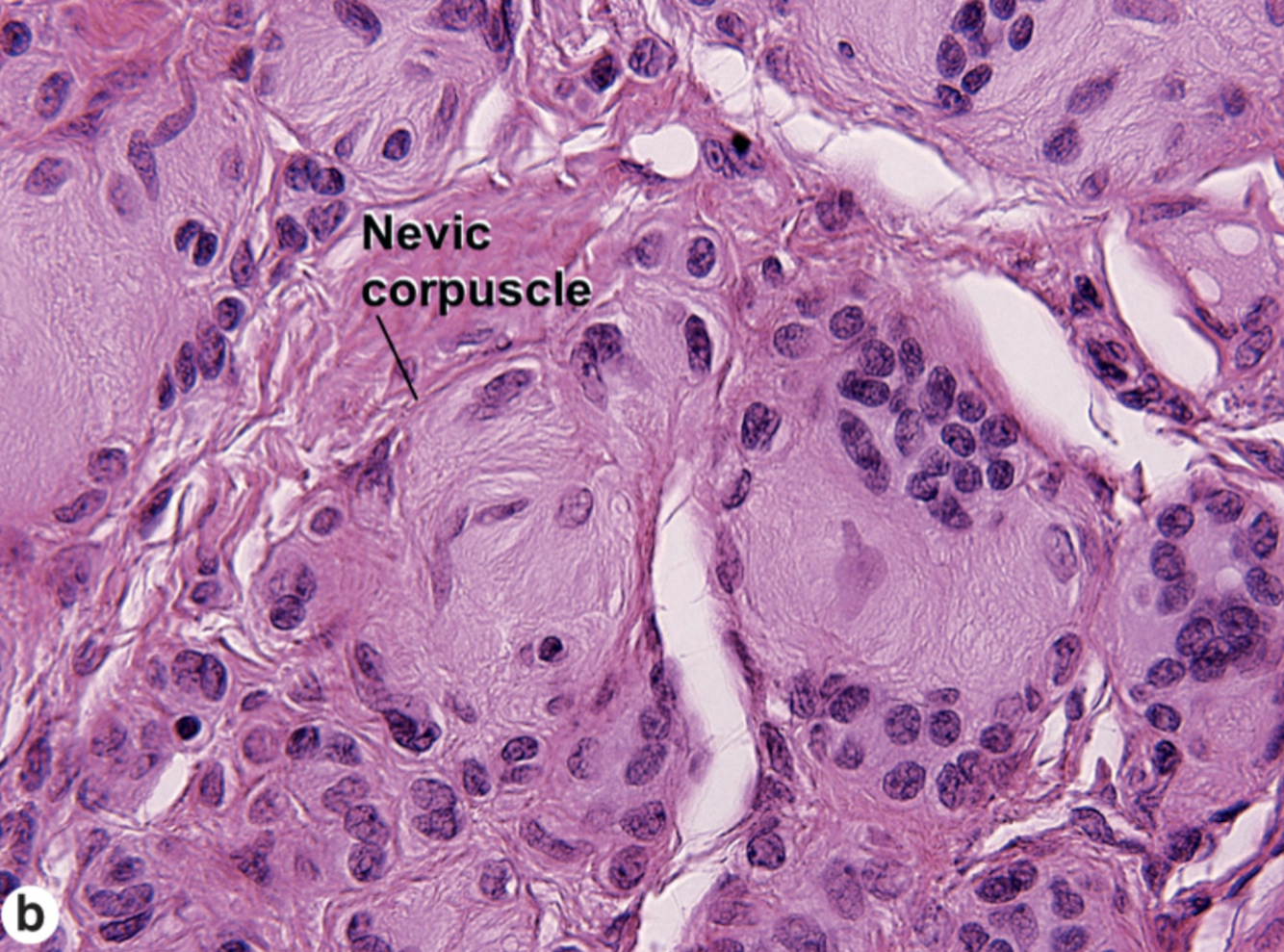
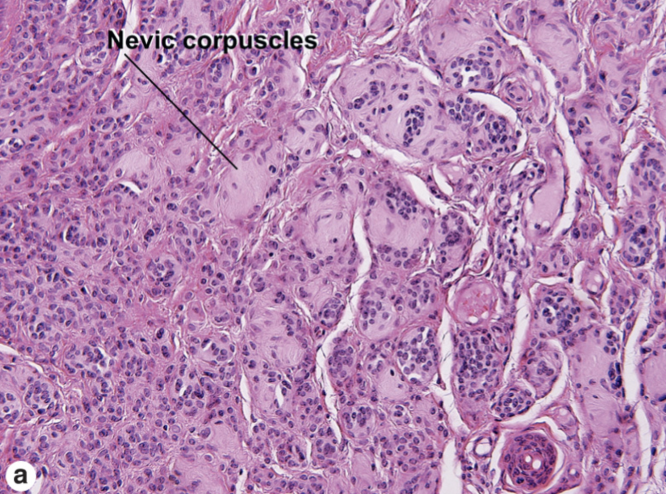
The nevic corpuscles of a neural nevus appear similar to what other structure?

“Little corn cob in dermal papilla that feels the lightest touch. They do not detect pain.”

What are the features of a neural nevus?

What are the features of a congenital nevus?

What type of collagen composes Kamino bodies in Spitz nevi?
Type IV collagen
What should be the staining pattern visualized for a Spitz nevus with the following stains: HMB-45, S100A6, and MIB-1?
What are the features of a “special site” nevus?

What are the features of an acral nevus?

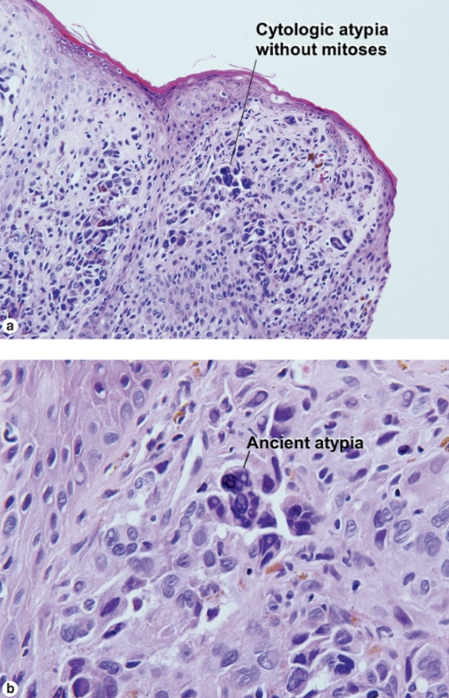
What are the features of an ancient nevus?

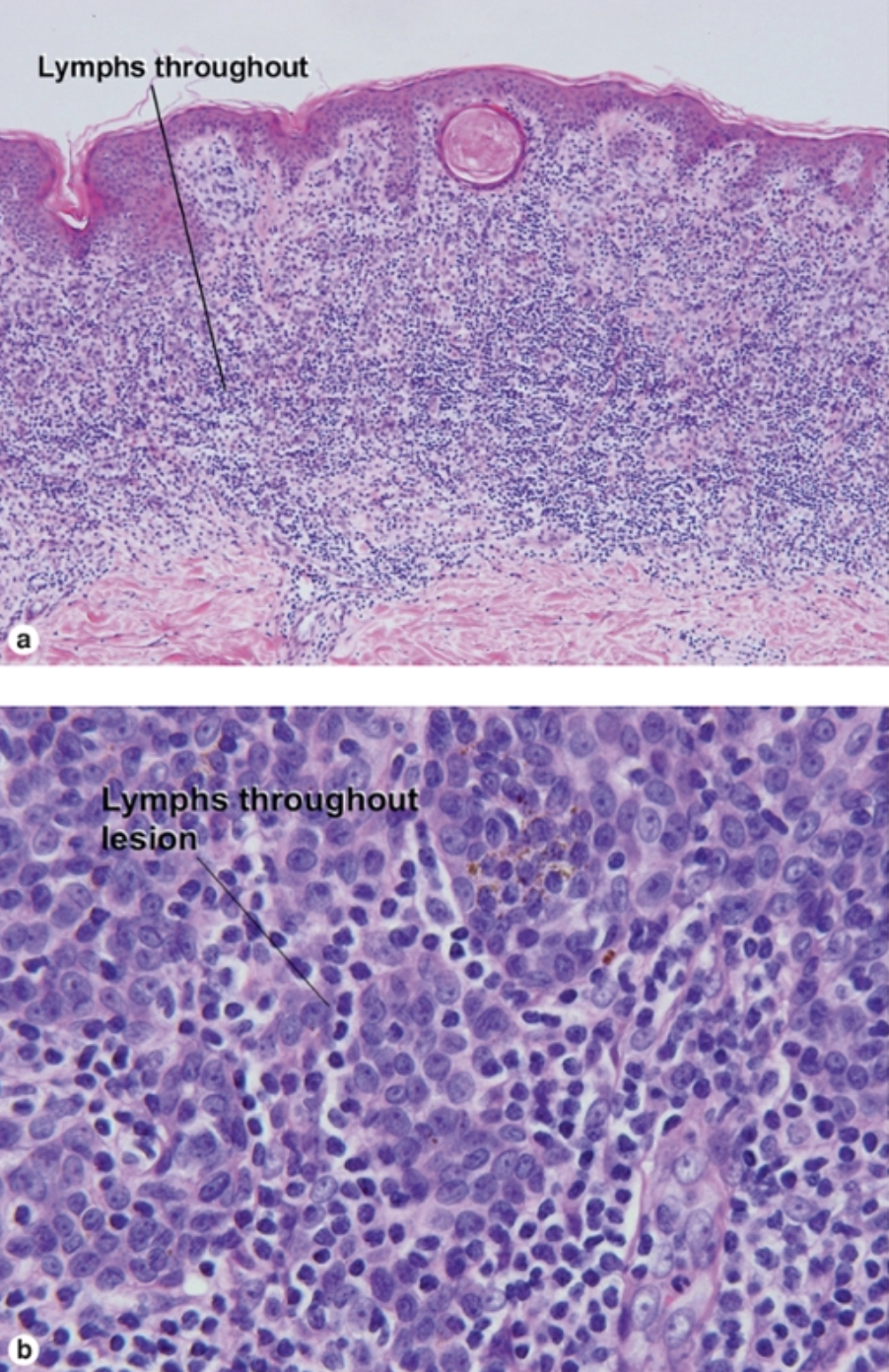
What are the features of a halo nevus?

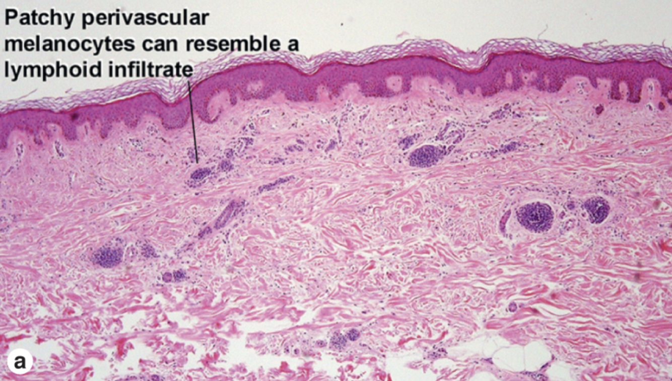
What are the features of a blue nevus?

What type of blue nevus is associated with Carney complex?
Epithelioid blue nevus

What are the features of a combined nevus?
Two or more populations of nevus cells

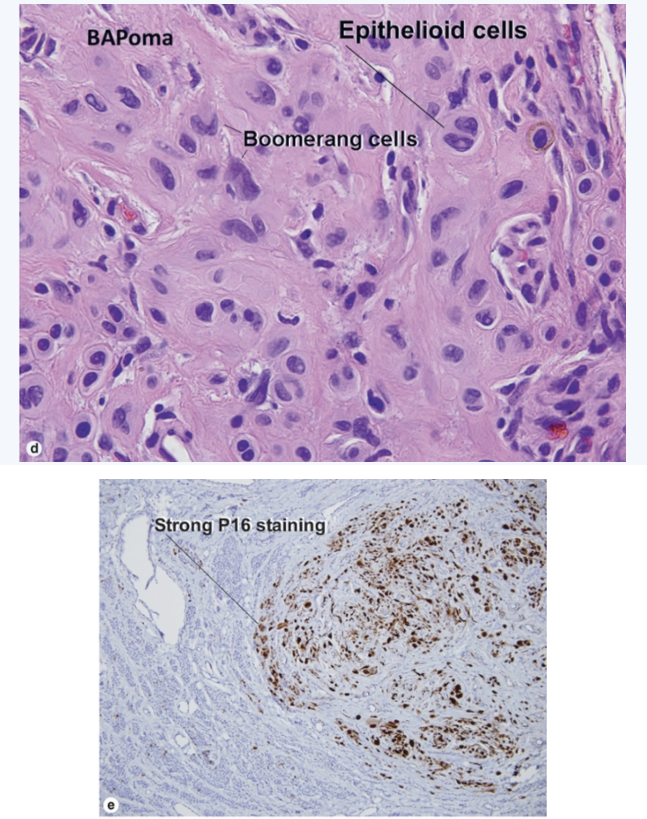
What are the features of a Wiesner nevus (benign BAPoma)?


Weisner nevus (BAPoma) is associated with what familial syndrome?
Familial uveal melanoma/renal carcinoma syndrome
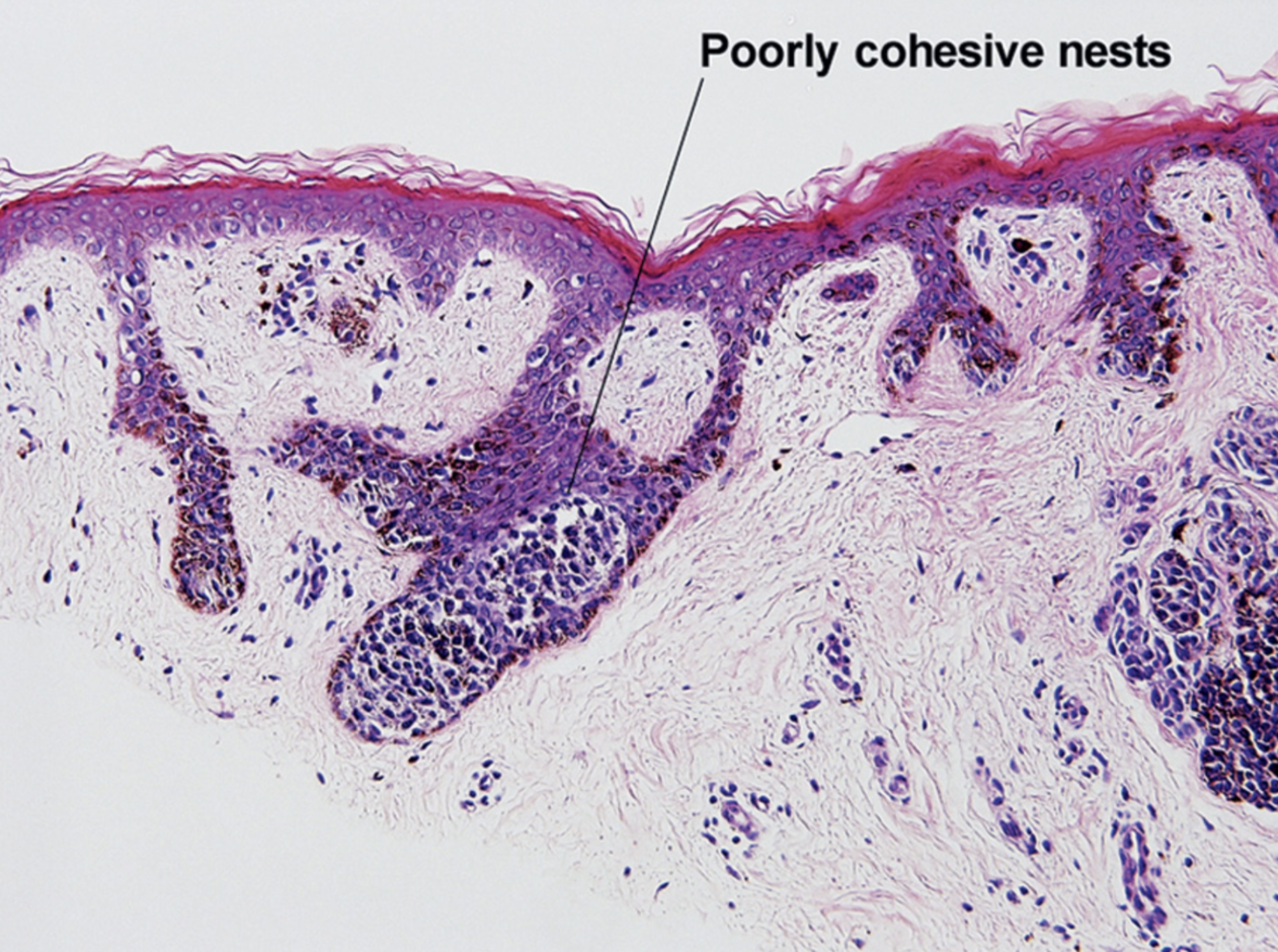
What are the features of a benign Clark nevus (dysplastic nevus)?


What are the features of a junctional lentiginous nevus?

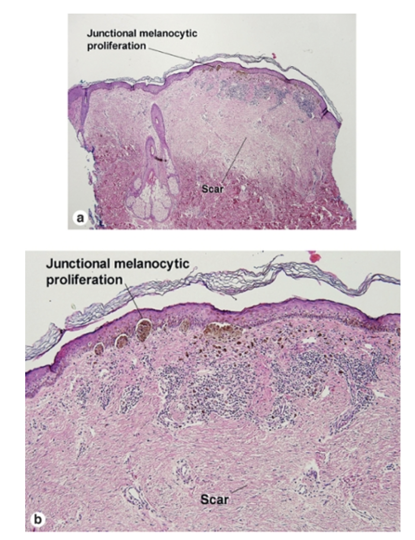
What are the features of recurrent nevus (also known as persistent nevus or pseudomelanoma)?

What are the features of a nevus of Ota/nevus of Ito?
