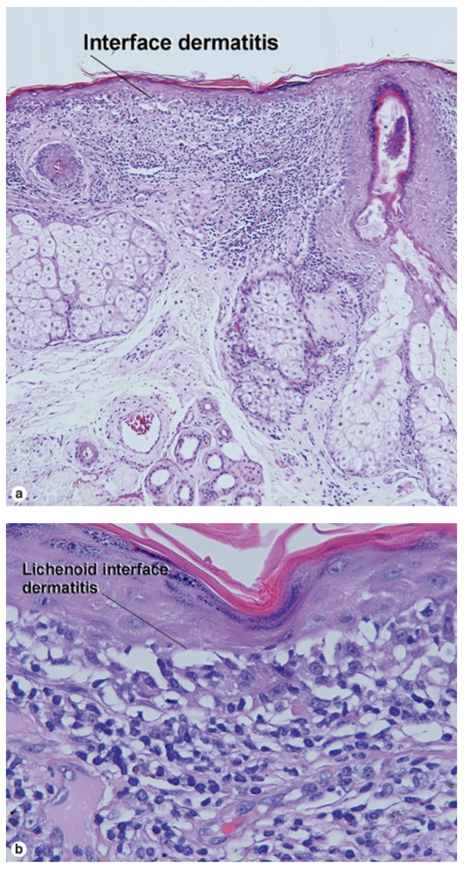
What are the three key features of lichenoid dermatitis?

True or False:
Lichen planus should not have parakeratosis or eosinophils.
True
What are the features of lichen planus?

What are civatte bodies?
Remnants of basal keratinocytes and pinched off bits of the basement membrane
What are the features of lichenoid drug eruption?

What are the features of a benign lichenoid keratosis (BLK)?

What are features of lichenoid graft-versus-host disease?

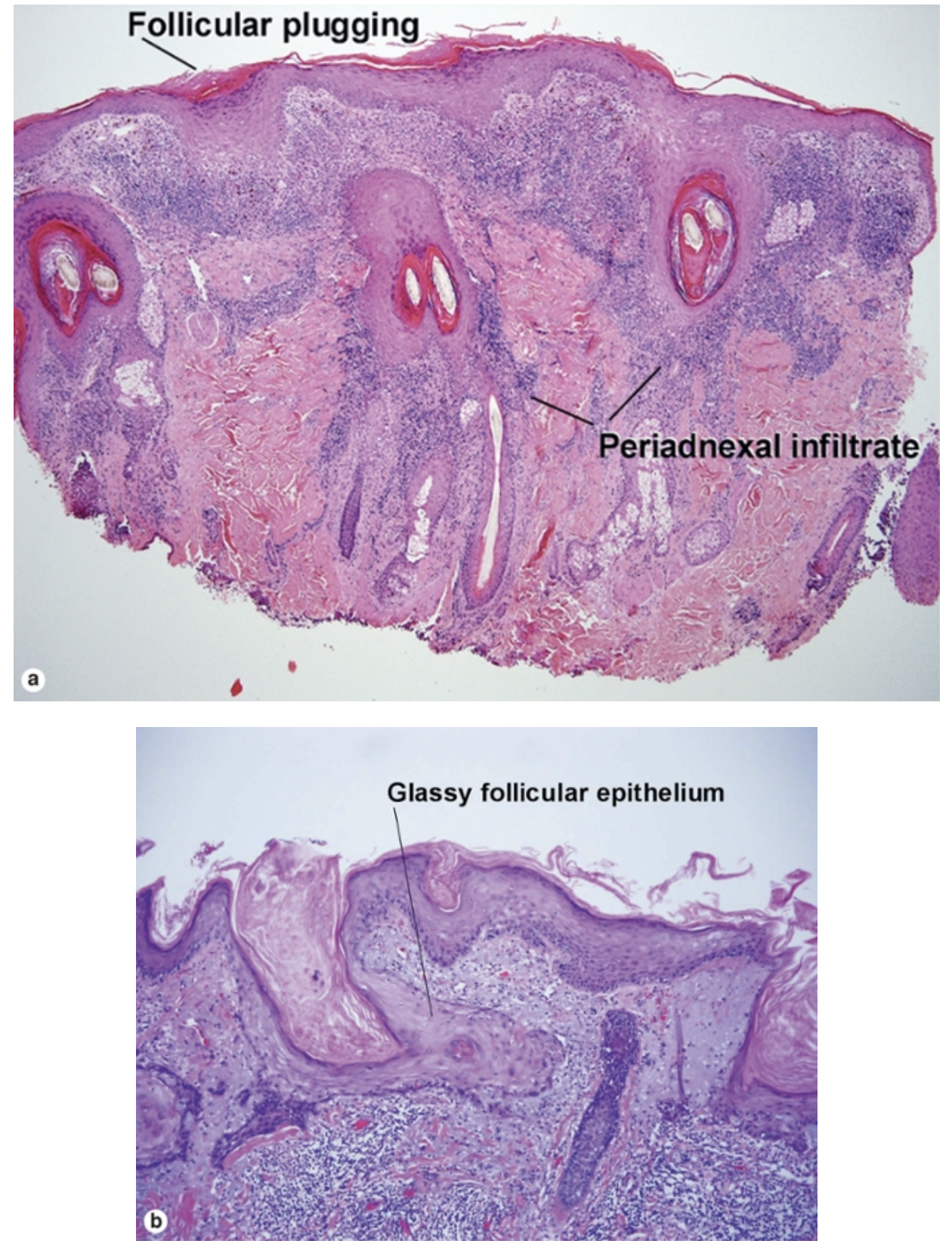
What are the features of hypertrophic lupus erythematosus?
What about on DIF?

What are the features of lichenoid regression of lentigo maligna?

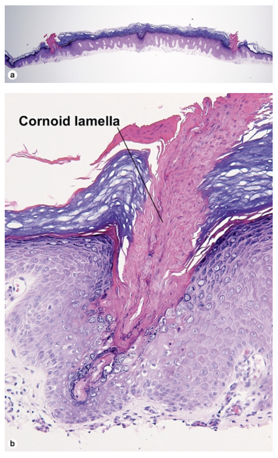
What are the features of a porokeratosis?

What are the three key features of vacuolar interface dermatitis?