The Body - An Orientation
Anatomy - Levels of Studying
Levels of Organization

Integumentary System
Skeletal System

Muscular System

Nervous System

Endocrine System

Cardiovascular System

Lymphatic System

Respiratory System

Digestive System

Urinary System

Reproductive System

Interrelationships Among Body Systems (picture)

Body Tissues
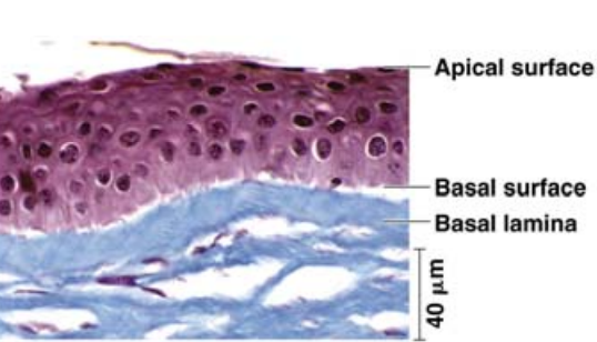
Epithelial Tissue


Connective Tissue

Extracellular Matrix
Classification of Connective Tissue
Loose Connective Tissue
Areolar Tissue (Loose)

Adipose Tissue (Loose)

Dense Connective Tissue
