define COPD
describe the risk factors of COPD
- TOBACCO IS THE MOST SIGNIFICANT RISK FACTOR
describe the physical exam findings
- TACHYPNEA with ACCESSORY MUSCLE USE
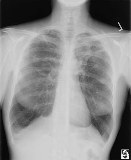
Chest X-ray exam: PA film
Posterior-anterior film

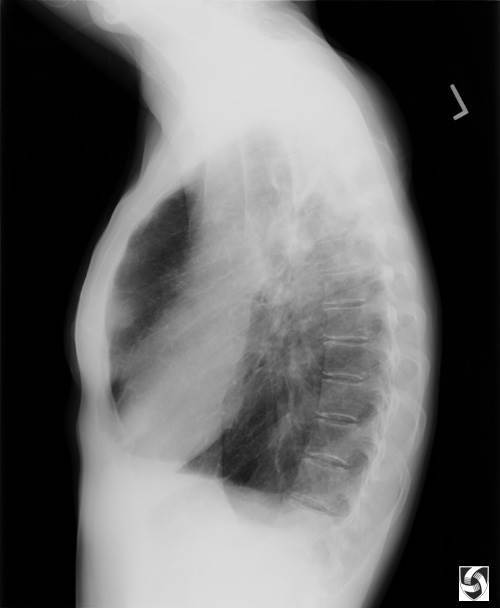
chest X-Ray: lateral film
lateral film

COPD vs asthma
FEV1/FVC ratio in COPD
TX for mild COPD
SHORT ACTING DILATORS
–> ALBUTEROL = Beta2-agonist
–> Ipratropium Bromide (ATOVENT) = muscarinic inhibitor
TX for moderate COPD
–> depends on severity of symptoms
tx for severe COPD
–> FLUTICASONE
dsecribe the 3 major criterion for COPD
**all 3 would be classified as a severe or type 1**
describe OUTPATIENT MANAGEMENT OF COPD exacerations
describe Inpatient management of COPD Exacerbations
–> dyspnea at rest
–> respriatory rate > 25
–> heart rate > 100
–> use of accessory muscles